Submit manuscript...
Advances in
eISSN: 2377-4290

Ophthalmology & Visual System

Image Article Volume 10 Issue 3

Large colloid drusen in young patient instead

Mehdi Khamaily, Joumany Brahim Salem, Imane Tarib, Taoufik Abdellaoui, Yassine Mouzari, Fouad El Asri, Karim Reda, Abdelbarre Oubaaz

Department of Ophthalmology, Faculty of Medicine and Pharmacy, Mohammed V University, Morocco

Correspondence: Mehdi Khamaily, Department of Ophthalmology, Faculty of Medicine and Pharmacy, Mohammed V University, Morocco

Received: May 02, 2020 | Published: June 22, 2020

Citation: Khamaily M, Salem JB, Tarib I, et al. Large colloid drusen in young patient instead. Adv Ophthalmol Vis Syst. 2020;10(3):59-60 DOI: 10.15406/aovs.2020.10.00385

Download PDF

Image article

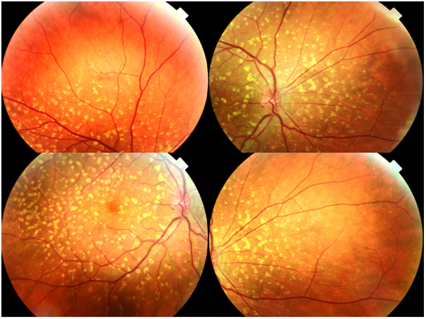
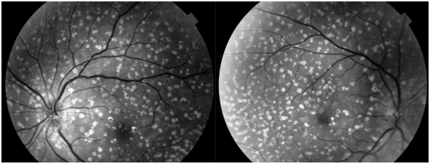
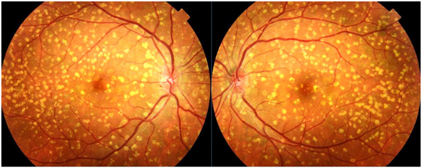
Drusen are yellow or white accumulations of extracellular material made up of lipids and proteins that build up between basal blade of retinal pigment epithelium and collagen layer of Bruch’s membrane. They are the most common clinical manifestation of aging and usually occur in the population over 50 years old, however a special entity may occur earlier, especially Large Colloid Drusen.1,2 Large Colloid Drusen most often develops in women with no family history of retinopathy, with a low risk of choroidal neovascularization or significant loss of visual acuity.3 We report the case of a 45 years old female patient, with no prior ophthalmological or general history, who presented to the consultation for decreased near visual acuity. The far visual acuity was 20/20 OU without correction, examination of the anterior segment was normal. At the Fundoscopy: Large bilateral lesions, yellowish under retinal from the posterior pole to the mid-periphery(Figure 1), without reaching the extreme retinal periphery (Figure 2). Fluorescein angiography objected: hyperfluocescence in early and late times (Figure 3). Macular OCT: Convex shaped drusen with homogeneous internal hyper-reflectivity, and attenuation of the ellipsoid zone in relation without reaching the fovea (Figure 4).

Figure 1 Large bilateral lesions, yellowish under retinal from the posterior pole to the mid-periphery.

Figure 2 Yellowish lesions stop at mid-periphery.

Figure 3 Hyper fluorescence from the early stage.

Figure 4 Drusen's appearance with homogeneous hyper-reflectivity, with attenuation of the ellipsoid area in relation without reaching the fovea.

Keywords

drusen, young, colloid

Acknowledgments

None.

Funding

None.

Conflicts of interest

Author declares that there is no conflict of interest.

References

Creative Commons Attribution License

©2020 Khamaily, et al. This is an open access article distributed under the terms of the, which permits unrestricted use, distribution, and build upon your work non-commercially.