Submit manuscript...
Advances in
eISSN: 2377-4290

Ophthalmology & Visual System

Research Article Volume 5 Issue 3

Long term outcomes after pars plana vitrectomy for the treatment of epiretinal membranes

Stratos V Gotzaridis, Vasiliki A Mela

Vitreoretinal Center, Greece

Correspondence: Vasiliki A Mela, Vitreoretinal Center 66, Vassilisis Sofias Avenue, Athens, Greece, Tel +30 210 7212200, Fax 30 210 7212201

Received: October 27, 2016 | Published: November 25, 2016

Citation: Gotzaridis SV, Mela VA. Long term outcomes after pars plana vitrectomy for the treatment of epiretinal membranes. Adv Ophthalmol Vis Syst. 2016;5(3):256-260. DOI: 10.15406/aovs.2016.05.00156

Download PDF

Abstract

Purpose: To report the long-term outcomes of surgical treatment of epiretinal membranes (ERM) with pars plana vitrectomy (PPV) and internal limiting membrane (ILM) peeling.

Methods: This was a retrospective interventional case series of patients with symptomatic ERM. 340 eyes of 322 patients were included in the study. Mean age of the sample was 68±12 years. Preoperative and postoperative Corrected Distance Visual Acuity (CDVA), as well as Intraocular Pressure (IOP) measurements were compared, Central Macular Thickness (CMT) from Optical Coherence Tomography (OCT) was correlated with CDVA at all time intervals.

Results: No intraoperative or immediate postoperative complications were observed. Mean preoperative CDVA was 0.6±0.3 logMAR. Statistically significant improvement was noted at all postoperative follow ups (P<0.002). Mean postoperative CDVA at last follow up visit was 0.2±0.2 logMAR. The rate of CDVA’s improvement was 67%. IOP measurements showed a statistically significant increase at the 1st postoperative month and then approached the preoperative values, without statistical significance. Mean CMT measurements showed gradual reduction at all follow up visits, from 427±91μm to 268±40μm at the last visit (P<0.0001). The preoperative CMT was statistically significant correlated with pre- and postoperative CDVA at the 6th month, 1 year and last follow up visit (p<0.05). Statistically significant correlations were also found between 1 month postoperative CMT and 1 year postoperative CDVA (P<0.02). CDVA at the last examination was significant correlated with postoperative CMT at 1 month, 6 months (P<0.0001). After multivariate linear regression, postoperative CMT at 1st month, 6th months and 1 year was correlated with CDVA at the last follow up examination.

Conclusion: PPV with ILM peel is a justifiable intervention for patients with ERMs, which may offer CDVA improvement and continuous regularization of foveal anatomy through the next years.

Keywords: epiretinal membranes, pars plana vitrectomy, internal limiting membrane, optical coherence tomography, central macular thickness

Abbreviations

ERM, epiretinal membrane; ILM, internal limiting membrane; PPV, pars plana vitrectomy; OCT, optical coherence tomography; CMT, central macular thickness; CDVA, corrected distance visual acuity; EDTRS, early treatment of diabetic retinopathy study; IOP, intraocular pressure; CMO, cystoid macular oedema

Introduction

Idiopathic epiretinal macular membrane (ERM) is a fibro cellular tissue which is formed between the vitreous and the internal limiting membrane (ILM). ILM is the basement membrane of the Muller cells. The cause of its existence is not yet clear. However, it has been attributed mostly to posterior vitreous detachment (PVD),1 which provokes glial cells (Muller) and extracellular components to accumulate and migrate on the ILM.2 The prevalence of ERM ranges from 1.02% to 18.5%.3 The risk group is comprised from individuals over 50 years old, whereas elderly people (over 70) are in a higher risk. ERM in early stages of formation is asymptomatic. However, after its formation it contracts, so the patient experiences a progressive loss of central vision, as well as paramorphopsia.

Optical coherence tomography (OCT) is a useful tool for diagnosing the ERM. In addition, it helps us to define the integrity and the changes of the inner and outer retinal layers at each follow up visit.4 The treatment of choice for ERM is pars plana vitrectomy (PPV) and ERM peeling. ERM is removed by the aid of a special substance which dyes the membrane on the ILM. Triamcinolone, indocyanine green and triphenylmethane (brilliant blue) are dyes which can be used during the operation.2 The rate of recurrence of ERM formation is 10%-16.3%.1 It is usual for the ILM to be peeled because it acts like a scaffold for cells’ proliferation on the macula. Furthermore, ILM peeling helps residual’s ERM removal and provides lower risk of ERM’s recurrence.5 However, the ILM peel is still an issue, because it may cause damage on the inner retinal layers and on the optic nerve fiber layer.2 In addition, the staining dyes may have a toxic effect on the retinal tissue, especially the triamcinolone, indocyanine green. The purpose of this study is to report the long-term outcomes of surgical treatment with PPV and ILM peel for symptomatic ERMs.

Methods

This study is a retrospective interventional case series of patients with idiopathic ERM, which was treated with PPV. We included patients with symptomatic ERM who presented to our eye center and were scheduled for surgical treatment between January 2006 and April 2016. All patients underwent a standard three port 25G PPV by the same surgeon (SG). Central and peripheral vitrectomy was performed in order to reach and handle the ERM. Brilliant blue dye was used to stain the ERM, which was peeled up to the vascular arcades with the use of 25 gauge forceps. Brilliant blue dye was again used to stain ILM and its remnants, so that all could possibly be peeled with careful attention. Before trocars’ removal peripheral check was performed to ensure that there are no iatrogenic retinal breaks. In any case of breaks’ appearance, the tear was treated by endolaser photocoagulation. Patients were given corticosteroid eye drops (Dispersadron C, Thea Laboratories), anti-inflammatory and steroid oint (Tobradex, Alcon Laboratories) and advised to use artificial tears.

Inclusion criteria were the presence of idiopathic ERM through fundoscopy, identified visual acuity less than 0.1 logarithm of the minimum angle of resolution (logMAR) and paramorphopsia. OCT features which contributed also to surgery decision, apart from the above mentioned findings, were irregular foveal contour with macular thickening and/or cystic formations. Patients with coexisting retinal pathology such as lamellar macular hole, full thickness macular hole or vitreomacular traction were excluded from the study. Exclusion criteria were also other ophthalmic disease such as glaucoma, optic nerve deficits, uveitis, vitreous hemorrhage, retinopathy due to diabetes, age related macular degeneration and ocular trauma. Patients who underwent cataract surgery or not before PPV were not excluded from the study.

All patients had a comprehensive ophthalmological examination, including visual acuity (VA) and intraocular pressure (IOP) measurements, fundoscopy, fundus photography in new patient cases and OCT evaluation of the ERM. The measurements which used for the study included corrected distance visual acuity (CDVA), IOP and central macular thickness (CMT). IOP was measured by air tonometer (TonoRef II, Auto Ref/Kerato, Tonometer, Nidek Co, LTD Japan) in mmHg scale. Postoperative complications were also noted. The data were recorded preoperatively and at 1st and 6th postoperative month, at the 1st postoperative year and at the last follow up examination, which differed among the patients according to the surgery date and the time of the study conduct.

CDVA was measured with an Early Treatment of Diabetic Retinopathy Study logMAR chart at a distance of 4 meters for all patients. In OCT evaluation, the CMT was measured by SOCT Copernicus (Optopol Technology SA, Zawiercie, Poland) and defined as the distance between the vitreoretinal surface and the retinal pigment epithelium at the foveola. Any IS/OS defect was considered as a lack of signal of the line representing the junction of the inner and outer segments of photoreceptors in healthy retina. CMT and CDVA were correlated preoperatively and at all postoperative time intervals. The study was conducted according to the declaration of Helsinki. All patients were agreed with their participation in the study and were accepted to sign an appropriate and detailed informed consent.

Statistical analysis was performed using the statistical package SPSS, version 20.0 for windows (SPSS, Inc., Chicago IL, USA). All variables were tested for their normality distribution according to Shapiro-Wilk test. The differences between the preoperative and postoperative measurements were examined by paired-samples t-test in normal distribution variables and by Wilcoxon signed rank test when variables had a non normal distribution. Correlations between CMT and CDVA were conducted by Pearson correlation coefficient. Stepwise multivariate analysis was performed to determine any correlations between postoperative CMT and CDVA. All values are presented as mean ± standard deviation (SD). A P<0.05 was considered as statistically significant.

Results

In total, 322 patients (340 eyes) diagnosed with idiopathic ERM were enrolled in the study. Among them, 53.4% (172/322) were males and 46.6% (150/322) were females. Eighteen patients (12 women and 6 men) had a bilateral PPV (not performed the same day). Mean patients’ age was 68±12 years (range 8-90). All patients underwent an uneventful PPV with ILM peel, without intraoperative and immediate postoperative complications. None of the patients needed a second surgery for ERM peeling. The success rate of surgery was 100%. Complete ERM removal was confirmed by dilated pupil biomicroscopy and OCT scans 1 week after the surgical procedure. Mean follow up after PPV was 5.25 years (range 0.5-10 years). 24 patients had the minimum follow up examination.

CDVA results are presented in Table 1. The mMean preoperative CDVA was 0.6±0.3 logMAR. There was a gradual improvement n CDVA at all postoperative follow up visits (Figure 1). At the last follow up mean CDVA was 0.2±0.2 logMAR. There is statistically significant improvement at all postoperative time intervals (P<0.002). The rate of CDVA’s improvement after 10 years of follow up at our sample was 67.09%. Mean preoperative IOP was 14±2 mmHg. At the 1st postoperative month, the mean IOP had a statistically significant increase at 14±2 mmHg (P=0.01), according to paired samples t-test (Table 1). Three months after PPV, IOP had a slight reduction, compared to the previous postoperative time interval, without however statistically significant results (compared to the preoperative measurements). Since then, until the last postoperative time visit, the mean IOP approached the preoperative measurements, without statistically significant results (P=0.13 and P=0.11, respectively). At all time intervals IOP remained at normal limits (highest measurement at 15.7 mmHg).

Figure 1 CDVA improvement after PPV, measured at preoperative and at each postoperative time visit. Error bars represent the 95% Confidence Interval (CI).

 

Preoperative

Postop 1m

Postop 6m

Postop 1yr

Last Follow up

CDVA

0.6±0.3

0.4±0.2

0.3±0.2

0.2±0.2

0.2±0.2

p-value

0

0

0

0

IOP

14.1±2.3

14.4±2.0

14.3±2.0

14.0±1.4

14.1±1.6

p-value

 

0.01

0.09

0.13

0.11

Table 1 Mean values
*The variables are presented preoperatively and at each postoperative visit as mean ± standard deviation (SD). CDVA is presented in Logarithm of the minimum angle of resolution (LogMAR) values and IOP in mmHg.
P-values represent the difference between preoperative and postoperative measurements.
Postop 1m=1st postoperative month, Postop 1yr= 1st postoperative year, CDVA=Corrected Distance Visual Acuity, IOP= Intraocular Pressure.

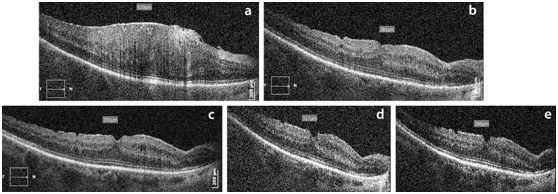
In the OCT examinations, the mean preoperative CMT was 426.1μm (SD 90.9μm). A progressive reduction of the CMT’s mean value was noted at all postoperative time visits. In particular, mean CMT was 340.3μm (SD 75.5μm) at the 1st postoperative month, 307.9μm (SD 57.3μm) at the 6th postoperative month, 280.6μm (SD 50.4μm) at the 1st postoperative year and 268.3μm (SD 40.5μm) at the last follow up visit. Statistically significant reduction was recorded at all postoperative examinations, where P<0.0001. Figure 2 depicts a 68 years old woman with gradual reduction of CMT. Mild cystoid macular oedema (CMO) is observed postoperatively. Foveal contour begins to form better at 6th postoperative month.

Figure 2 Macular OCT of a 68 years old woman with mild postoperative CMO. (a) preoperative CMT at 610μm. Gradual reduction of the CMT at the postoperative examinations. (b) postop 1m: CMT at 381μm, (c) postop 6m: CMT at 331μm, (d) postop 1yr: CMT at 317μm, (e) postop 3 yrs: CMT at 288μm.

Pearson’s correlation coefficients were found between pre-and postoperative CMT’s and CDVA’s. Statistically significant correlations were found preoperatively (r=0.24, P<0.001). Preoperative CMT was significantly correlated with postoperative CDVA at 6 months (r=0.20, P=0.05), at 1 year (r=0.16, P=0.04) and at last follow up visit (r=0.25, P<0.001). Furthermore, one month postoperative CMT was significantly correlated with postoperative one year CDVA (r=0.21, P=0.02) and with the last postoperative examination (r=0.29, P<0.001). 6 months postoperative CMT had also a statistically significant correlation with CDVA at last postoperative visit (r=0.26, P<0.001).

Multivariate stepwise linear regression analyses showed that CMT at 1 postoperative month was significantly correlated with CDVA’s improvement (r=0.3, P=0.01) and CDVA at last follow up visit (r=0.27, P=0.001). In addition, CDVA at last follow up examination was significantly correlated with CMT at 6 months and 1 year after the surgical procedure (r=0.22, P<0.0002 and r=0.16, P<0.001, respectively). Adverse events or complications were recorded and presented in Table 2. In particular, 16.47% (56/340 eyes) of the patients had no complications. 30/340 eyes (8.82%) were diagnosed with cataract, which was not operated yet, while 24.71% (84/340 eyes) underwent uneventful phacoemulsification and posterior chamber intraocular lens implantation, due to cataract formation, secondary to PPV. In the majority of these 42 eyes, cataract developed approximately one year after the PPV. Cataract surgery did not have an adverse event or issue on the previous surgical procedure. Furthermore, 18.24% (62/340 eyes) of patients developed posterior capsule opacification (PCO) and underwent YAG laser capsulotomy, 31.76% (108/340 eyes) were diagnosed with mild CMO, which was treated by non- steroid anti-inflammatory eye drops.

Type of Adverse Event

Percentage

CMO

31.76%

Phaco IOL operation

24.71%

PCO

18.24%

Cataract inoperable

8.82%

No complications

16.47%

Table 2 Adverse events
Phaco IOL operation=place of intraocular lens for treating of cataracts.
CMO=cystoid macular oedema.

Discussion

The membranous tissue of idiopathic ERM was classified by Gass6 into 3 grades until its full formation (grade 0, grade 1, grade 2). Although the pathogenesis is not well elucidated yet, it has been correlated with PVD (75-93% of cases)7 and cellular and glial parts proliferation, which are migrating on the ILM surface. In addition, its formation may be secondary to age related diseases or vascular diseases, such as central vein occlusion, retinal detachment (RD), retinal photocoagulation and inflammation.8 The ILM is the region that communicates the vitreous body and the retina. The inner part of this surface is the basement membrane of Muller cells. These cells are important for the regular function of the whole retinal tissue. However, they may also transmit the distortion on the rest retinal layers. According to bibliography, the ILM plays also important role in the pathogenesis of idiopathic macular hole,9 where ERM may also exist and diabetic macular oedema (DMO). After ERM’s formation there is always progression. Thus, the only treatment is peeling of ERM under PPV.

There is a controversy on ILM peeling apart from the ERM. Basically, these two membranes are likely to be attached to one another, so they both deteriorate. The theories against ILM peeling indicate that the removal of this layer may cause retinal trauma and secondary anatomical and functional changes on the tissue and the optic nerve,10 even retinal hemorrhages. Actually, in our group of patients, we performed PPV and ILM peel by the aid of brilliant blue dye to reassure that there are no remnants of ERM in the area. Incomplete removal of ERM may cause recurrence of this cellophane tissue.11 Among our 340 eyes, where PPV with ILM performed, none of the patients needed a second surgery (success surgery rate at 100%), because the ERM was successfully peeled by the first operation. In addition, there were no mechanical changes, neither at the inner retina, nor at the optic nerve due to ILM peel, as well as no toxicity effect due to brilliant blue dye.

Our surgery success of non-recurrence of ERM, as a result of ILM peeling in conjunction with ERM peel, has been reported also, by Park et al.,5 where none of the eyes undergoing ILM peel had recurrent ERM, in contrast to another group of patients who did not undergo ILM peel, in which 21% showed ERM recurrence. In addition, VA had better improvement in the group with ILM peeling. We believe that is extremely important to reassure to the patient that the retina will be clear with only one surgery and that we may achieve the best possible outcomes on VA’s improvement. In our series of patients, we demonstrated that there was s statistically significant CDVA improvement at all postoperative follow up visits. Our results agree with Donati et al.,12 where there was a VA improvement of two or more lines on the eye chart. After 1 year, according to Resin et al.,13 VA may achieve its best goal.

In order to gain more lines on the chart and have better CDVA improvement is important not to have a longstanding ERM and low pre-surgery VA. Certainly, the patient may re-gain the one-half of the VA that had been lost, but there will be better prognosis if the preoperative VA is 0.25 logMAR or better, according to Rise et al.14 We actually believe that this is correct to a certain extent, because our mean baseline preoperative CDVA was worse (0.6±0.3logMAR) and 1 year after the surgical procedure, mean CDVA was well improved approximately to four lines on the eye chart at 0.2±0.2 logMAR. We would like also to note here that full formation of cataract in patients who had not undergo a phacoemulsification surgery before PPV was completed one year after PPV, contributing to even better CDVA results at the last follow up visit.

IOP results showed a statistically significant increase at the first postoperative month. This increase may be attributed to steroid eye drops use, which was given to patients after the surgery. In the next postoperative time visits, the IOP seemed to be unaffected by the surgical procedure. All patients had normal IOP measurements, without any optic nerve degeneration. Similar IOP results were found by Mitsui et al.,15 who also compared their IOP measurement between 25G and 27G tools for performing PPV. They found that IOP remained stable, approaching the preoperative measurements at the 1st until the 6th postoperative month. Significant reduction of CMT measured by OCT was noted at all postoperative time visits from the 1st postoperative month. Even the patients who developed CMO at the postoperative time interval, by the use of anti-inflammatory eye drops could handle the complication, without having high CMT, beyond the expected limits. Our study showed that there can be a continuous reduction of CMT, even 2 or 3 years after the surgical procedure, according to our findings. Kumagai et al.,16 have also reported that there can be a continuous decrease of the macular thickness for at least 3 years after ERM surgery.

CMT’s reduction results are correlated also with CDVA’s improvement findings preoperatively, as well as almost five years on average postoperatively. This means that the progressive thinning and normalization of the retinal tissue has an important impact on patients’ VA, which is therefore longstanding. Through stepwise multiple linear regression analysis, CMT measured at 1 month, 6 months and 1 year after PPV was found to play an important role on postoperative CDVA of our patients. Similar results have also been presented in the literature, about 1 month postoperative CMT measurement and its correlation with CDVA, even 2 years after the surgery for ERM.16,17

Conclusion

Uneventful PPV can be performed on patients with idiopathic ERM’s, without causing serious adverse events, even a decade later. ILM peeling is suggested for minimize the possibility of ERM’s recurrence. CDVA can be improved not only at the first postoperative month, but also has a longstanding effect for many years. This fact was confirmed by objective CMT measurements performed by OCT which showed us that the retinal tissue can be dynamic and reforming for more than five years.

Acknowledgments

None.

Conflicts of interest

Authors declare that there is no conflict of interest.

References

  1. Liu H, Zuo S, Ding C, et al. Comparison of the Effectiveness of Pars Plana Vitrectomy with and without Internal Limiting Membrane Peeling for Idiopathic Retinal Membrane Removal: A Meta-Analysis. J Ophthalmol. 2015;974568.
  2. Roh M, Eliott D. Internal Limiting Membrane Peeling During Idiopathic Epiretinal Membrane Removal: Literature Review. Int Ophthalmol Clin. 2015;55(4):91‒101.
  3. Zhu XF, Peng JJ, Zou HD, et al. Prevalence and risk factors of idiopathic epiretinal membranes in Beixinjing blocks, Shanghai, China. PLoS One. 2012;7(12):e51445.
  4. Falkner-Radler CI, Glittenberg C, Hagen S, et al. Spectral-domain optical coherence tomography for monitoring epiretinalmembrane surgery. Ophthalmology. 2010;117(4):798‒805.
  5. Park DW, Dugel PU, Garda J, et al. Macular pucker removal with and without internal limiting membrane peeling: pilot study. Ophthalmology. 2003;110(1):62‒64.
  6. Gass JDM. Macular dysfunction caused by epiretinal mem brane contraction. In: Stereoscopic Atlas of Macular Diseases: Diagnosis and Treatment. St Louis: Mosby. 1997;2(4):938‒590.
  7. Johnson MW. Posterior vitreous detachment: evolution and complications of its early stages. Am J Ophthalmol. 2010;149(3):371‒382.e1.
  8. Semerano F, Morescalchi F, Duse S, et al. Current Trends about Inner Limiting Membrane Peeling in Surgery for Epiretinal Membranes. J Ophthalmol. 2015;671905.
  9. Kampik A. Pathology of epiretinal membrane, idiopathic macular hole, and vitreomacular traction syndrome. Retina. 2012;32(Suppl 2):194‒198.
  10. Clark A, Balducci N, Pichi F, et al. Swelling of the arcuate nerve fiber layer after internal limiting membrane peeling. Retina. 2012;32(8):1608‒1613.
  11. Kumagai K, Hangai M, Ogino N. Progressive Thinning of Regional Macular Thickness AfterEpiretinal Membrane Surgery. Invest Ophthalmol Vis Sci. 2015;56(12):7236‒7242.
  12. Donati S, Caprani SM, Semeraro F, et al. Morphological and Functional Retinal Assessment in Epiretinal Membrane Surgery. Semin Ophthalmol. 2016;10:1‒8.
  13. Pesin SR, Olk RJ, Grand MG, et al. Vitrectomy for premacular fibroplasia: prognostic factors, long-term follow-up, and time course of visual improvement. Ophthalmology. 1991;98(7):1109‒1114.
  14. Rice TA, De Bustros S, Michels RG, et al. Prognostic factors in vitrectomy for epiretinal membranes of the macula. Ophthalmology. 1986;93(5):602‒610.
  15. Mitsui K, Kogo J, Takeda H, et al. Comparative study of 27-gauge vs 25-gauge vitrectomy for epiretinal membrane. Eye (Lond). 2016;30(4):538‒544.
  16. Kumagai K, Hangai M, Ogino N. Progressive Thinning of Regional Macular Thickness After epiretinal membrane. Invest Ophthalmol Vis Sci. 2015;6(12):7236‒7242.
  17. Kim J, Rhee KM, Woo SJ, et al. Long-term temporal changes of macular thickness and visual outcome after vitrectomy for idiopathic epiretinal membrane. Am J Ophthalmol. 2010;150:701‒709.
Creative Commons Attribution License

©2016 Gotzaridis, et al. This is an open access article distributed under the terms of the, which permits unrestricted use, distribution, and build upon your work non-commercially.