Submit manuscript...
Advances in
eISSN: 2377-4290

Ophthalmology & Visual System

Research Article Volume 9 Issue 4

Ophthalmologic complications in patients with acquired immunodeficiency syndrome

Rafael Angel Caballero Artiles,1 Reinier Besse Díaz,2 Liliana Martinez Cantillo3

1Clinical and General Teaching Hospital, Juan Bruno Zayas Alfonso, Cuba
2Clinical and Surgical Hospital Universitario, Ambrosio Grillo Portuondo, Cuba
3Faculty of Medicine No. 2 University of Medical Sciences, Cuba

Correspondence: Reinier Besse Díaz, Clinical and Surgical Hospital Universitario, Ambrosio Grillo Portuondo, Cuba

Received: June 24, 2019 | Published: July 3, 2019

Citation: Artiles RAC, Díaz RB, Cantillo LM. Ophthalmologic complications in patients with acquired immunodeficiency syndrome. Adv Ophthalmol Vis Syst. 2019;9(4):92-95. DOI: 10.15406/aovs.2019.09.00353

Download PDF

Abstract

Introduction: Acquired immunodeficiency syndrome (AIDS) caused by infection caused by the human immunodeficiency virus (HIV), it is characterized by severe and progressive impairment of cellular immunity, leading to opportunistic infections and neoplasms.

Objective: Estimate the frequency of ophthalmologic complications in a cluster of patients with HIV-AIDS.

Method: A descriptive and cross-sectional study was conducted in patients with HIV-AIDS in the municipality of Santiago de Cuba, in order to estimate the frequency of the occurrence of ophthalmic complications, according to selected variables. a sample of 24 patients was selected through a random sampling, epidemiological and clinical variables were used as criteria expert.

Results:The predominant sex was male and the age group most epidemiological connotation was that of 25-34 years to 29.2%. There was a high frequency of ophthalmologic complications, with 20 patients representing 75%, with higher prevalence of retinopathy HIV, with 13 patients.

Conclusion: AIDS remains a health problem estimated changes in their appearance in terms of age and sex, with a higher number of men, being non-negligible way ophthalmologic complications, especially those produced by microangiopathic vascular involvement.

Keywords: AIDS complications, retinopathy, HIV

Introduction

AIDS, caused by infection caused by HIV, is characterized by severe and progressive impairment of cellular immunity, so during the course of the disease and neoplasias1,2 multiple opportunistic infections occur. In this sense, one of the most significant in dealing with this epidemic progress has been the development of antiretroviral therapy (HAART), which prevents or slows the progression of the disease, with the positive impact of decreasing circulating viral load, restore the immune system and improve the quality of life.3 Notwithstanding the foregoing, the world has been reporting every day sicker with AIDS.

Recent statistics concerning year-end 2017 report that 36.9 million [31.1 to 43.9 million] people were living with HIV worldwide, about 1.8 million [1.4 million-2 , 4 million] people were newly infected with HIV and 940,000 died [670 000-1.3 million] people around the world because of AIDS-related illnesses, compared with 1.9 million [1.4 million -2700000] 2004 and 1,400,000 [1 1000000-2000000] of 2010.4,5

All of this requires, by the medical staff, not only clinical knowledge of its causes, but uptake of the patient with the positive result and initial clinical evaluation and referral to specialized specific care unit, where it will be diagnosed and treatment is indicated oportuno.6 There are many opportunistic diseases that can affect patients with HIV, especially when progressively has deteriorated immune system and CD4 cells are decreased and it is necessary to recognize the role of the internist in recognizing, facilitating timely diagnosis of debut clinical AIDS, late diagnosis could increase mortality.6 In Internal Medicine, in the community and in specialized centers opportunistic infections such as oropharyngeal and esophageal candidiasis, neurotoxoplasmosis, cryptococcosis and some central nervous system disease, such as dementia and HIV encephalitis, undoubtedly with high costs are diagnosed for individual and family health and can even cause death in many of them, but despite this fact, about 30 to 70% of patients with HIV-AIDS will present some kind of ophthalmologic complications in the course of their disease, depending on various factors such as geographical location, population group, including others.1

Vascular microangiopathy is the most common observed in AIDS patients retinal disorder, its incidence is high and appears as some series, with more than 70% (30-94%) of these pacientes.1,7 It can also be seen in asymptomatic carriers of HIV. Its presence is related to a significant degree of immunological decline being inversely proportional to the CD4 lymphocytes (50% when CD4 count is less than 100 .mu.l). The presence of this microangiopathy in a patient with clinical AIDS, indicating disease progression and poor prognosis, with lower survival than patients with AIDS and Fundus normal.7 In our town this subject is novel, there are few studies that reflect this problem, apparently there is a marked tendency to insufficient comprehensive approach to this group of patients, perhaps because of the mistake of believing that only ophthalmology can diagnose eye disorders in this sensitive and reproved community of patients, taking into account the real and hypothetical reason and based on scientific reasoning, a research question arises:

Will remarkable frequency of ophthalmologic complications in patients with HIV-AIDS in our series of research in relation to that reported in the national and international literature in this regard?, the preparation of this work is justified, with the aim of estimate the frequency of ophthalmologic complications in this cluster of patients, depending on selected clinical and epidemiological variables.

It should also be emphasized that this research is one of the priority lines of scientific research at the Center of Hygiene and Epidemiology Santiago municipality, which gives output in addition to social determinants, risk and disease prevention in vulnerable groups, which is a line MINSAP research, which will enable to implement evaluation systems that enable surveillance and identification of health problems in our society. 

Methods

a descriptive and cross-sectional study was conducted in patients with HIV-AIDS in the municipality of Santiago de Cuba, in order to estimate the frequency of occurrence of ophthalmic complications according to some selected variables, according to criteria of experts in this branch of scientific knowledge. A sample of 24 patients were selected by random sampling, epidemiological and clinical variables such as age, sex, frequency of occurrence and type of ophthalmic complications were used.

This research was conducted at the Clinical and Hospital Dr. "Juan Bruno Zayas Alfonso" Santiago de Cuba municipality, in the period October 2015 to the same month 2017 period. We used the percentage as a summary measure for quantitative variables. Test x2 homogeneity was used to identify statistically significant association between the criteria of interest. He was selected a level of α=0.05 significance. Statistician test was used:

Χ2=i=1ij=1j(OijEij)2/Eij χ2,con(filas1)*(columnas1)degrees of freedom.

Statistician test was used:

   Χ 2 =  [ 12/ N * K * ( K+1 ) * ( R.j ) 2   [ 3 * N * ( K+1 )]]  χ 2 , con ( k1 ) MathType@MTEF@5@5@+=feaagaart1ev2aaatCvAUfeBSjuyZL2yd9gzLbvyNv2CaerbuLwBLnhiov2DGi1BTfMBaeXafv3ySLgzGmvETj2BSbqefm0B1jxALjhiov2Daebbfv3ySLgzGueE0jxyaibaieYlf9irVeeu0dXdPi=BHaVhbbf9v8qqaqFr0xc9pk0xbba9q8WqFfea0=yr0RYxir=Jbba9q8aq0=yq=He9q8qqQ8frFve9Fve9Ff0dmeaabaqaciGacaGaaeqabaWaaeaaeaaakeaajugibabaaaaaaaaapeGaeu4Pdmucfa4damaaCaaaleqabaqcLbmapeGaaGOmaaaajugibiabg2da9iaabccajuaGpaWaaKGiaOqaaKqzGeWdbiaaigdacaaIYaGaai4laiaad6eajuaGpaWaaSbaaSqaaKqzGeWdbiaacQcaaSWdaeqaaKqzGeWdbiaadUeajuaGpaWaaSbaaSqaaKqzGeWdbiaacQcaaSWdaeqaaKqbaoaabmaakeaajugib8qacaWGlbGaey4kaSIaaGymaaGcpaGaayjkaiaawMcaaKqbaoaaBaaaleaajugib8qacaGGQaaal8aabeaajuaGdaqadaGcbaqcLbsapeGaeyyeIuUaamOuaiaac6cacaWGQbaak8aacaGLOaGaayzkaaqcfa4aaWbaaSqabeaajugWa8qacaaIYaaaaKqzGeGaeyOeI0IaaeiiaaGcpaGaay5waiaawUfaaKqzGeWdbiaaiodajuaGpaWaaSbaaSqaaKqzGeWdbiaacQcaaSWdaeqaaKqzGeWdbiaad6eajuaGpaWaaSbaaSqaaKqzGeWdbiaacQcaaSWdaeqaaKqbaoaabmaakeaajugib8qacaWGlbGaey4kaSIaaGymaaGcpaGaayjkaiaawMcaaKqzGeGaaiyxaiaac2fapeGaaeiiaiabgkziUkabeE8aJLGba+aadaahaaWcbeqaaKqzadWdbiaaikdaaaqcLbsacaGGSaGaaeiiaiaadogacaWGVbGaamOBaiaabccajuaGpaWaaeWaaOqaaKqzGeWdbiaadUgacqGHsislcaaIXaaak8aacaGLOaGaayzkaaaaaa@81B3@

degrees of freedom. The participation of individuals in research depended on the ethical principles contained in the Declaration of Helsinki.

Results

The majority of patients were male (Table 1), with a total of 19 patients, and the age group most epidemiological connotation was 25-34, to 29.2%. There was a high frequency of ophthalmic complications, with 20 patients representing 75% (Table 2). Regarding the type of ophthalmic complication presented patients, there was evidently increased prevalence of retinopathy HIV, with 13 patients 18 (Table 3).

Age Group (in years)

 Sex

   

 Male

 Female

 Total

 Do not.

 % *

 Do not.

 % *

 Do not.

 % **

18-24

4

21.1

 two

40

6

25.1

25-34

6

31.6

 one

20

7

29.2

35-44

3

15.8

one

20

4

16.6

45-54

3

15.8

one

20

4

16.6

55-64

two

10.5

0

0

two

8.3

65 and more

one

5.3

0

0

one

4.2

Total

19

100

5

100

24

100

Table 1 Patients age and sex

*Percentages calculated on the basis of total categories by age group.

**Percentages calculated on the basis of all patients.

Ophthalmologic complications

Frequency

%

Yes

18

75

Do not

6

25

Total

24

100

Table 2 Ophthalmological complications

Type of ophthalmologic complications

Frequency

%

HIV Retinopathy

13

72.2

anterior uveitis

one

5.6

Cytomegalovirus retinitis

one

5.6

Kaposi sarcoma palpebral

two

11.1

Conjunctival Kaposi sarcoma

one

5.5

Total

18

100

Table 3 Type of ophthalmologic complications

Discussion

The female population in Cuba is less affected by the disease; However, globally women account for 50.0% of the epidemic. With reference to the above, the prevalence of the sex in America and Europe can probably have as main reason the social and cultural differences, but to confirm further studies should be done in order epidemiológico.8−10 The primacy of men in this study coincided with the results of other series,11,12 developed in the municipalities of Santiago de Cuba and Havana respectively, in which higher rates of male were reported, which is due to the characteristics typical of the epidemic in this country. Similarly, a recent study conducted in the city of Santiago de Cuba, showed that male sex was the most afectado.13 Regarding age, in Cuba the epidemic is showing an increasing trend in older ages; for example, in a study in people living with HIV, it was shown that 64.2% had ages 25 to 44, and the highest proportions of men were in that age group (63.7%).14 However, in this case mix prevailed affected between 25 and 34 years, which could be related to sexual practices, because in contemporary society the onset of sex and unprotected sex is increasingly early, although it is valid to note that every day is increasing the age group of seniors, or the number of cases in older ages; results coincide with those of other authors, which could indicate that the number of older people diagnosed with AIDS has been aumentando.14

AIDS is the most severe form of infection by the human immunodeficiency virus (HIV). Since the first reports of the disease has been described a number of ophthalmological disorders affecting these patients at some point in their evolution. CD4 lymphocyte counts in peripheral blood has shown from the beginning to be a reliable indicator of the risk of ocular complications of HIV infection. The introduction, in the late nineties, antiretroviral therapy (HAART), has improved the immune status of patients and changed the course and the frequency of occurrence of ocular pathologies sida.15 In our investigation it found that this condition is associated with a high frequency of ocular complications estimated values ​​high percentage of them. Since 1981 they have published several cases of HIV patients who had ocular manifestations such as retinal microangiopathy (MA), cytomegalovirus retinitis (RCMV) and Kaposi's sarcoma (KS).15 Estudios16-18 series reveal that these complications are very prevalent in the population of patients with the virus, making it a great challenge for the internist and ophthalmologist discovered in time these pathologies, then recommends the appropriate use of the ophthalmoscope and performing a good fundus and eye exam, always supported by an ophthalmologist. In the field of medicine, where diagnostic testing of eye infections HIV (vitreous cytology) remain invasive, of limited application, and where the clinical diagnosis remains the primary diagnostic method is a permanent challenge for any doctor or trained to treat these patients, preserving visual function of patients with HIV / -AIDS.

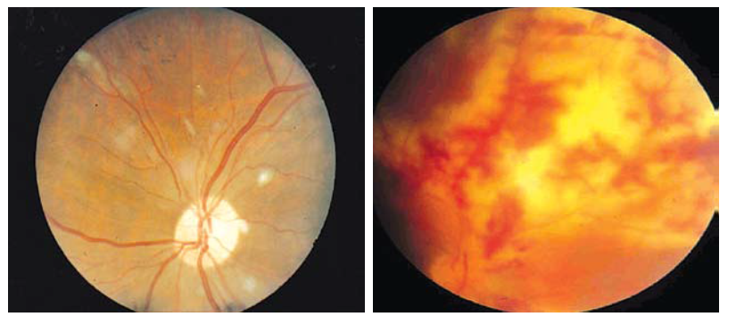
A high percentage of patients with HIV-AIDS (between 50% and 70%) developed Ophthalmic being the retina most frequently affected ocular tissue, showing mainly cytomegalovirus retinitis (CMV) (Figure 1) and retinal microvasculopathy(2).18 According to some research series, retinal microangiopathy, retinopathy or non-infectious HIV AIDS retinopathy is the most frequently observed in patients with sida7,18 ophthalmologic alteration. This type of retinopathy is characterized by the presence of spots or cotton wool exudates, superficial and deep retinal hemorrhages and microvascular changes as microaneurysms and telangiectasia. It is thought that vascular disorders related to the virus occur by any of the following mechanisms:

  1. Vasculopathy mediated circulating immune complexes formed by HIV itself and immunoglobulins,
  2. Irregularities and obstruction of capillary lumen caused by abnormalities endothelial cells and hemorheological changes caused by infection HIV.7.

Figure 1 HIV retinopathy. It is observed retinal microangiopathy (right). Cytomegalovirus retinitis (left).

In our series prevalence of vascular complications such as retinopathy HIV, coinciding with data concerning these international literature was observed. Other eye diseases which can occur in these patients are Kaposi's sarcoma (KS) and cytomegalovirus retinitis, this first is a neoplasm of mesenchymal origin, vascular, painless, affecting skin or mucosa, red or violet, usually multiple (Figure 1). About 3% of patients with AIDS and SK have ophthalmologic involvement. The palpebral, the most common, SK has no features that distinguish them from other skin areas and is shown as a purple red injury or infection may ulcerate and may secondarily cause edema, Entropion or triquiasis.17,18 The conjunctival SK is presented as a nodular lesion, bright red, bulbar conjunctiva or in palpebral the, most often in the lower conjunctival sac. It can be mistaken for a bleeding or hemangioma. Rarely interferes eyelid function or visión.18 In our research there were two cases of Kaposi sarcoma and one palpebral conjunctival, coinciding with these studies. We also found a case of cytomegalovirus retinitis, although they may be biased cases of our series.

A study at a university in the US, reports that the SK is a frequent cause of ocular involvement in patients with AIDS.17 The dry eye syndrome is another eye condition prevalent in this investigation, data that does not match ours, partly due the small sample with which it worked. It should be noted, the possibility of further research in this field of medicine, in view of other scrutiny on this subject. The same article states that dry eye is the third most common in HIV patients (10-25%) pathology, often undiagnosed because it is not known high incidence and not be suspected to nonspecific patient discomfort. Must be proficient at diagnosis of patients with HIV, it would be advantageous to diagnose these diseases in the course of a rather cumbersome process, to which he should take care of the most precious of organs, "vision".

Ophthalmologic complications are more frequent in patients with severe impairment of cellular immunity and present, they diminish their quality of life, making its more expensive and complicated therapeutic management. No doubt the use of antiretroviral drugs has been changed largely the clinical course of HIV, robustly reducing mortality from this severe immune condition, and modifying the clinical spectrum of presentation of patients diagnosed with HIV and the disease HIV-associated eye. So it has improved the survival rate of these patients and reduce the risk of ceguera.13,19

Conclusion

Notwithstanding the foregoing it can be said as a colophon, that AIDS remains a health problem in the province of Santiago de Cuba, where variations are estimated at their appearance in terms of age and sex, with a number superior men, being so not insignificant ophthalmologic complications such as retinopathy and other retinal, especially those produced by vascular involvement microangiopathic possible immunological cause.

Acknowledgments

None.

Conflicts of interest

Authors declares that there is no conflicto of interest.

References

  1. GN Holland, Pepose JS, Pettit TH, et al. Acquired immune deficiency syndrome: ocular manifestations. 1983;90(8):859−873.
  2. Pepose JS, Holland GN, Nestor MS, et al. Acquired immune deficiency syndrome: ocular pathogenic Mechanisms of disease. 1985;92(4):472−484.
  3. Betancourt J. Gambino adherence to antiretroviral therapy in HIV patients. Cuban Journal of General Medicine. 2019;34(3).
  4. Health Statistical Yearbook 2017. Address medical records and health statistics. Ministry of Public Health. Cuba.
  5. Fact Sheet. Latest statistics on the state of the AIDS epidemic. 2017.
  6. Mendo 6- Alcolea Neity, Eduardo Perez Jesus Mesa, Rafael Barrios Neyra, et al. Adverse antiretroviral drugs in patients with HIV reactions. 2018;22(8):674−682.
  7. Spain E, Diaz M. Retinal microangiopathy and other vascular disorders. In: M. Díaz Llopis AIDS in ophthalmology. Madrid: Editorial Tecnimedia, 1996. p. 237−252.
  8. Informational page. World stats. Geneva: UNAIDS; 2016.
  9. Sheet 2015. Global statistics; 2015.
  10. Besse Diaz R, V SANI Bridge, Martinez Cantillo L, et al. Minier Pouyou clinical and epidemiological in patients with acquired immunodeficiency syndrome in the province of Santiago de Cuba aspects. 2018;22(3).
  11. Castaneda Vargas E, Baute Pareta N, Silva Sanchez M, et al. Jimenez Cardero behavior with HIV/AIDS in the municipality of II Front. 2014;18(6).
  12. Valdés Fuster JL, Oliva Venereo DC, Vinas Martinez AL, et al. Clinical and epidemiological patients with Human Immunodeficiency Virus Features Drovers 2013. Rev Habanera Medical Sciences. 2016;15(6).
  13. Diaz DRB, Artiles RAC, Sani VP, et al. With Antiretroviral effectiveness Cuban Generics in Patients with HIV/AIDS in the province of Santiago de Cuba. MOJ Toxicol. 2019;5(3):106−110.
  14. Besse Diaz R, Romero Garcia LI, Cobo Montero E, et al. Suárez clinical and epidemiological of patients with HIV/AIDS seen in an accident and emergency Focus. 2018;22(7).
  15. Nishijima T, Yashiro S, Teruya K, et al. Routine Eye screening by an Ophthalmologist Is Clinically Useful for HIV-1-Infected Patients With CD4 Count Less than 200/uL. PLoS One. 2015;10(9):e0136747.
  16. Morjaria R, Sood V, Manavi K, et al. Lowering the limit: reducing the CD4 T-cell threshold for ophthalmic screening in Patients With HIV in an ethnically diverse UK population. Clin Ophthalmol. 2014;8:2029−2034.
  17. Findings in the retina of patients with HIV-AIDS in San José Hospital. Number of cases. 2019.
  18. Chiotan C, Radu L, Serban R, et al. Posterior segment ocular manifestations of HIV/AIDS patients. J Med Life. 2014;7(3):399−402.
  19. E Perez-Blazquez, Redondo MI, Grace T. AIDS and ophthalmology: a current view. Anales Sis San Navarra. 2008;31 (Suppl 3):69−81.
Creative Commons Attribution License

©2019 Artiles, et al. This is an open access article distributed under the terms of the, which permits unrestricted use, distribution, and build upon your work non-commercially.