Submit manuscript...
Advances in
eISSN: 2377-4290

Ophthalmology & Visual System

Review Article Volume 4 Issue 5

Optical coherence tomography versus fundus fluorescein angiography in diagnosis of type 2 CNV in wet AMD

Fong May Chew, N Patel

East Kent University Hospitals Foundation Trust, UK

Correspondence: Fong May Chew, East Kent Hospitals University NHS Foundation Trust, Headquarters Kent and Canterbury Hospital, Ethelbert Road, Canterbury Kent, CT1 3NG, UK, Tel 01233 633331

Received: July 21, 2016 | Published: August 18, 2016

Citation: Chew FM, Patel N. Optical coherence tomography versus fundus fluorescein angiography in diagnosis of type 2 CNV in wet AMD. Adv Ophthalmol Vis Syst. 2016;4(5):137-139. DOI: 10.15406/aovs.2016.04.00126

Download PDF

Abstract

Purpose: OCT scans are frequently used in the diagnosis of new choroidal neovascularization membranes and are increasingly being used to replace FFA investigations, as they are less invasive. There have been very few studies looking at specificity and sensitivity of OCT vs FFA in the diagnosis of naïve CNV. However, none of them have successfully established a correlation between the two imaging modalities and disease pathology. As such, this study aims to quantitatively assess the correlation between two imaging modalities in patients with naïve classic CNV.

Methods: Retrospective analysis of images of patients who had OCT and FFA confirmed naïve CNV was performed. The OCT images at diagnosis were compared to the FFA images obtained on the same day. The sub retinal hyper reflective mass was used as the OCT biomarker. The size of this sub retinal hyper reflective lesion was quantitatively measured at it ’s widest. This was then compared to the widest diameter of the CNV leakage measured on FFA.

Results: Images of both OCT and FFA for 63 patients were analysed. The relationship between the OCT measurement of the CNV and the FFA leakage was analysed using the regression coefficient. The correlation between the OCT and FFA lesion size was found to have a linear relationship whereby the OCT measurement could be predicted with the equation y=0.8551x+483.94, where y is the OCT lesion size and x is the size of FFA leakage lesion. The coefficient determinant R2 was found to be 0.834.

Conclusion: This study shows that there was a strong correlation between the size of the OCT biomarker and the size of the active lesion on FFA. OCT was found to overestimate the size of the active lesion by approximately 483 microns. However, it is still an extremely useful tool in the diagnosis of active lesions. This results show us that we are able reasonably predict the size of the active lesion from the OCT biomarker, as such, this could be used to influence management decisions without angiography, if necessary.

Background

The most common cause of visual impairment in developed countries, particularly over the ages of 55 is Age related macular degeneration (AMD).1 Currently, the WHO has estimated that there will be approximately 8 million people affected by AMD by the year 2020.2 Whilst AMD was previously an untreatable disease, the wet form is currently treatable with the advent of anti-vascular endothelial growth factor (anti-VEGF) therapies. Patients who initially present to clinic with suspected AMD are first investigated by optical coherence tomography (OCT). If there is a suspicion of wet AMD, they are also investigated with fundus Fluorescein angiography (FFA) in addition to the OCT scan.3,4 OCT represents a time-efficient and non-invasive examination technique that constructs two-dimensional images of the posterior pole, whilst FFA is a more-invasive and time-consuming investigation which carries a minimal chance of a severe risk to the patient.

Introduction

Since the introduction of anti-vascular endothelial growth factor (anti-VEGF) therapies for wet AMD, there has been a large increase in fundus Fluorescein angiography (FFA) requests to diagnose and to assess the disease. This presents a significant challenge in managing AMD clinics as the approximate number of new diagnoses of wet AMD is estimated to be 26,000 per year in the UK and patients are often followed up for life.5 As such, OCT detection of the CNV is often used as the first line to diagnose the disease, and to observe the disease progression or regression. There have been a few studies looking at the specificity and sensitivity of OCT compared to that of the FFA in the diagnosis of naïve CNV,6,7 however until now there are no studies looking specifically at the quantitative lesion size between the two modalities in patients with naïve classic CNV. As such, this study seeks to quantitatively assess the correlation between the two imaging modalities in patients with the diagnosis of type 2 classic CNV.8

Methods

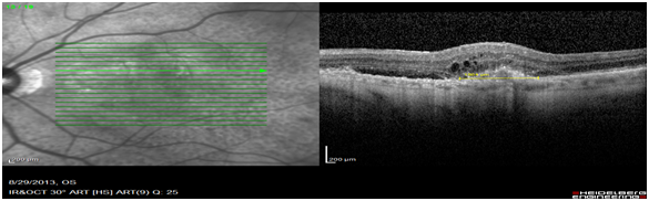
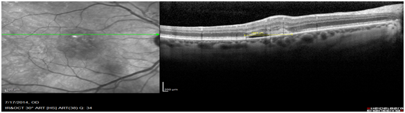
Images of patients (n=63) of patients who had classic type 2 CNV was retrospectively analysed. OCT images obtained on the Heidelberg spectral is at diagnosis were compared to the FFA images obtained on the same day. The OCT biomarker, the sub retinal hyper reflective mass (SRHRM) was used. The same photographer was used to minimise bias. The sub retinal hyper reflective mass was used as the OCT biomarker. The size of this SRHRM was measured at its widest using the caliper setting. This was then compared to the widest diameter of the CNV leakage measured on ultra high-resolution spectral is FFA by drawing a circle around the leage and noting its diameter (Figure 1A,1B & 2A,2B).

Figure 1A Measurement of SRHRM on the OCT scan using the caliper measurement (1353m).

Figure 1B Measurement of the CNV lesion in the early phase of the FFA scan (1504m).

Figure 2A Measurement of SRHRM on OCT scans using the caliper measurement (1654m).

Figure 2B Measurement of CNV in the early phase on FFA scan (1355m).

Results

Images of both the OCT and FFA for 63 patients were analysed. The size of the SRHRM on the OCT scan and the leakage size on the FFA was measured and analysed. The relationship between the measurement on the OCT scan using the calipre setting and the measurement of the CNV leakage on FFA was analysed using Spearman’s regression coefficient. The correlation between the OCT and FFA lesion was found to have a linear relationship whereby the OCT lesion size measurement could be predicted with the equation y=0.8551x +483.94, where y is the OCT lesion size and x is the size of CNV leakage lesion. The coefficient determinant R2 was found to be 0.834 (P<0.001). Figure 3 shows the quantitative linear relationship between the OCT biomarker and the size of the CNV leakage measured on FFA.

Figure 3 Shows the linear relationship and the correlation between the OCT biomarker and the FFA leakage lesion size (p<0.001).

Discussion

This study shows a strong correlation between the size of the OCT biomarker and the size of the CNV lesion on FFA. The OCT was found to overestimate the size of the active lesion by approximately 483 microns. This is especially true for larger CNV lesions, where the SRHRM biomarker on the OCT scan tends to overestimate the lesion size as compared to the FFA lesion size measurement. This may be due to the fact that larger CNV lesions tend to bleed into the sub retinal space resulting in a larger OCT measurement compared to the FFA which only measures the amount of CNV leakage but does not take into account the sub retinal haemorrhage. When the large lesions are eliminated, the measurements correlate.

This study shows that there is a statistically significant quantitative relationship between the lesion sizes measured both on the OCT and FFA scans. It is still, however, an extremely useful tool in the diagnosis of active lesions. Newer technologies, namely the OCT angiography (OCTA) which is minimally invasive and quick could be the next step forward towards quicker, non-invasive and showing accurate vascular detail.9–11 Various studies have shown that OCTA shows high specificity in the diagnosis of CNV compared to FFA.12,13 OCTA would also be extremely being helpful in independently determining the response of anti-platelet derived growth factor (anti-PDGF) studies.14

This result shows that we are able to accurately predict the size of the active lesion from the OCT biomarker; as such this could be used to influence management decisions without angiography, if necessary. Further studies would be necessary to further investigate the correlationship between the lesion size of other types of CNV on OCT and FFA. We will also be looking at correlating the best corrected visual acuity to the size of the SRHRM at diagnosis, in addition to quantitatively measuring the SRHRM lesion size in response to the different anti-VEGF treatment modalities.

Acknowledgments

None.

Conflicts of interest

The authors declare there are no conflicts of interest.

Funding

None.

References

  1. http://www.who.int/blindness/causes/en/
  2. Wong WL, Su X, Li X, et al. Global prevalence of age-related macular degeneration and disease burden projection for 2020 and 2040: a systematic review and meta-analysis. Lancet Glob Health. 2014;2(2):e106–e116.
  3. Chauhan DS, Marshall J. The interpretation of optical coherence tomography images of the retina. Invest Ophthalmol Vis Sci. 1999;40(10):2332–2242.
  4. Hee MR, Izatt JA, Swanson EA, et al. Optical coherence tomography of the human retina. Arch Ophthalmol. 1995;113(3):325–332.
  5. https://www.nice.org.uk/news/press-and-media/nice-gives-green-light-to-treatment-for-wet-amd-in-final-guidance
  6. Castillo MM, Mowatt G, Elders A, et al. Optical Coherence Tomography for the Monitoring of Neovascular Age-Related Macular Degeneration: a systematic review. Ophthalmology. 2015;122(2):399–406.
  7. Sandhu SS, Talks SJ. Correlation of optical coherence tomography, with or without additional colour fundus photography, with stereo fundus fluorescein angiography in diagnosing choroidal neovascular membranes. Br J Ophthalmol. 2005;89:967–970.
  8. Van de Moere A, Sandhu SS, Talks SJ. Correlation of optical coherence tomography and fundus fluorescein angiography following photodynamic therapy for choroidal neovascular membranes. Br J Ophthalmol. 2006;90(3):304–306.
  9. Talisa E de Carlo, Andre Romano, Nadia K Waheed, et al. A review of optical coherence tomography angiography (OCTA). International Journal of Retina and Vitreous. 2015;1:5.
  10.  Matsunaga D, Yi J, Puliafito CA, et al. OCT Angiography in Healthy Human Subjects. Ophthalmic Surg Lasers Imaging Retina. 2014;45(6):510–515.
  11. de Carlo TE, Bonini Filho MA, Chin AT, et al. Spectral-Domain Optical Coherence Tomography Angiography of Choroidal Neovascularization. Ophthalmology. 2015;122(6):1228–1238.
  12. A Phase 3 Safety and Efficacy Study of Fovista® (E10030) Intravitreous Administration in Combination With Either Avastin® or Eylea® Compared to Avastin® or Eylea® Monotherapy
  13. Talks JS, Sandhu SS. The Correlation of Optical Coherence Tomography with Stereo Fundus Fluoroscein Angiography in Diagnosing Choroidal Neovascular Membranes. Invest Ophthalmol Vis Sci. 2004;45(13):3170.
  14. Hee MR, Izatt JA, Swanson EA, et al. Optical coherence tomography of the human retina. Arch Ophthalmol. 1995;113(3):325–332.
Creative Commons Attribution License

©2016 Chew, et al. This is an open access article distributed under the terms of the, which permits unrestricted use, distribution, and build upon your work non-commercially.