Submit manuscript...
Advances in
eISSN: 2377-4290

Ophthalmology & Visual System

Mini Review Volume 8 Issue 2

Paediatric cataract

Smita Kapoor, Rajesh Prabu, Swarna Udayakumar

Sankara Eye Hospital, India

Correspondence: Smita Kapoor, Sankara Eye Hospital Sathy Road, Coimbatore, India, Tel 9566632262

Received: December 30, 2017 | Published: March 21, 2018

Citation: Kapoor S, Prabu R, Udayakumar S. Paediatric cataract. Adv Ophthalmol Vis Syst. 2018;8(2):89 – 90. DOI: 10.15406/aovs.2018.08.00277

Download PDF

Abstract

Congenital and developmental cataracts are leading causes of childhood blindness therefore early diagnosis, management and follow-up are essential. All neonates should be screened by red reflex examination at birth and early surgery should be performed to achieve best visual outcomes. Cataract surgery is just the starting point of a long journey.

Introduction

The incidence of paediatric cataract ranges from 1.8 to 3.6/10,000 per year. The prevalence of childhood cataract is higher in low income countries as compared to high income. The main causes of childhood cataract are genetic, metabolic, prematurity, intrauterine infections, trauma, drug/radiation/laser therapy (for ROP) induced and idiopathic. Morphologically, paediatric cataracts can be classified into anterior polar, posterior polar, anterior subcapsular, posterior subcapsular, lamellar, nuclear, membranous, pyramidal, oil-droplet, coralline, sutural, wedge-shaped and total. Ocular examination should include visual acuity assessment, pupillary response and ocular motility. The slit lamp examination should be done to evaluate the size, density, and location of cataract.1,2

Discussion

Although 60% of paediatric cataracts are idiopathic, based on the antenatal history, family history and the type of cataract, a baseline laboratory workup should be performed. Laboratory workup is not required for unilateral cataracts, as most cases are isolated and nonhereditary. In children with bilateral cataracts the following should be ruled out –TORCH infection, galactokinase deficiency and galactosemia. Urine screening for reducing substances and erythrocyte assays are effective ways to diagnose galactosemia. Lowe syndrome should be ruled out by checking the urine for amino acids in children with congenital glaucoma, hypotonia, and developmental delay. Serum calcium, phosphorus and glucose should be tested based on the child’s systemic examination by a paediatrician. Management of cataract is different in children as compared to adults. The mean axial length changes from 16.5 mm to 23 mm by 13 years of age. The corneal curvature changes from 51.2 D in newborns to 43.5 D in adults. Calculating the IOL power becomes a challenge as there is a myopic shift with age. The recent report of IATS recommended Holladay 1 and SRK/T formulae to be used for infant eyes. Dahan et al. have suggested under correcting biometry reading by 10% in children between 2 to 8 years and 20% for children younger than 2 years.3–5

Nonsurgical management can be done in peripheral lens opacities and punctate opacities with intervening clear zones. Mydriatics can be used for opacities less than 3 mm in diameter. The associated refractive error and amblyopia should be treated by glasses and patching. Surgical removal of unilateral congenital cataracts by 4–6 weeks and bilateral congenital cataracts within the first 6–8 weeks of life can prevent the development of stimulus-deprivation amblyopia, strabismus, and nystagmus as the first 6 weeks of life are critical for visual development.  Surgical steps include an anterior and posterior capsulorhexis followed by anterior vitrectomy. Recent studies have shown clinically insignificant difference between scleral tunnel and clear corneal incisions, with spontaneous regression of astigmatism over a period of time. Capsule staining dye, 0.6% trypan blue gives better visualization of the anterior capsule. The lens material may be removed using phaco aspiration or automated irrigation and aspiration.  PCCC is performed in children less than 6-8 years and children with nystagmus or developmental delay who may not cooperate for YAG capsulotomy. Most surgeons prefer to perform anterior vitrectomy along with primary PCCC to decrease the incidence of PCO. Anterior vitreous acts as a scaffold and helps in lens epithelial cell migration and proliferation. In children, hydrophobic IOLs are considered better than PMMA IOLs in terms of greater biocompatibility and smaller incision size, with late onset and lower rate of PCO formation.6,7

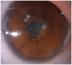
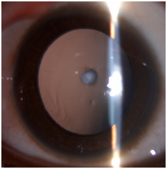
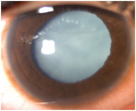
Intraoperative challenges in paediatric cataract surgery are running off capsulorhexis due to elasticity of the capsule, positive intravitreal pressure, intraoperative miosis and wound leak. These complications have significantly reduced using closed chamber surgical technique. Postoperative complications include uveitis, posterior capsule opacification, glaucoma, pupillary capture and retinal detachment. Visual axis opacification (VAO) is the most common complication after a successful cataract surgery in children. The PCO is amblyogenic and the purpose of surgery is defeated if long-term clear visual axis is not achieved. A child’s eye tends to show more tissue reaction than an adult. The inflammatory response can be managed with the use of intensive topical steroid tapered over a period of 6 to 8 weeks. Topical antibiotics are instilled for two weeks and cycloplegic eye drops for four weeks to prevent posterior synechiae formation. Refraction should be done as soon as inflammation subsides and appropriate correction with aphakic glasses, contact lenses or bifocals should be provided based on the age of the child (Figures 1–5).

Figure 1 Lamellar cataract.
Figure 2 Anterior Polar cataract.
Figure 3 Complicated cataract.
Figure 4 Total cataract.
Figure 5 Well centered IOL with anterior and posterior capsulorhexis.

Conclusion

Thus, performing surgery in a child with cataract is just the beginning of a long term follow-up.

Conflict of interest

No financial assistance was provided for the work.

Acknowledgements

None.

References

Creative Commons Attribution License

©2018 Kapoor, et al. This is an open access article distributed under the terms of the, which permits unrestricted use, distribution, and build upon your work non-commercially.