Submit manuscript...
Advances in
eISSN: 2377-4290

Ophthalmology & Visual System

Editorial Volume 10 Issue 5

Perspective on retinal findings in COVID-19

Hashim Ali Khan,1 Muhammad Aamir Shahzad,2 Muhammad Amer Awan,3 Ameen Marashi4

1SEHHAT Foundation Hospital, Danyore, Gilgit, Pakistan
2Aziz Fatimah Medical and Dental College, Faisalabad, Pakistan
3Shifa International Hospital/ Shifa College of Medicine, Islamabad Pakistan
4Marashi Eye Clinic, Aleppo, Syria

Correspondence: Hashim Ali Khan, SEHHAT Foundation Hospital, Main KKH, Danyore, Gilgit, Pakistan, Tel +923124307909

Received: September 08, 2020 | Published: October 13, 2020

Citation: Khan HA, Shahzad MA, Awan MA, et al. Perspective on retinal findings in COVID-19. Adv Ophthalmol Vis Syst. 2020;10(5):121-122 DOI: 10.15406/aovs.2020.10.00395

Download PDF

Editorial

To Editor,

Paula Marinho and colleagues recently reported coronavirus disease 2019 (COVID-19) related retinal findings.1 In their correspondence, they described purported retinal changes in twelve confirmed cases of COVID-19 with ages ranging between 25-69 years. Optical coherence tomography and optical coherence tomography angiography were acquired for all eyes. Hyperreflective lesions at the level of ganglion cell layer and inner plexiform layer, with more profound involvement of papillomacular bundle, were seen on optical coherence tomography scans in all eyes in settings of normal optical coherence tomography angiography. Cotton wool spots were also reported in four patients.

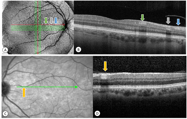
We are concerned about the interpretation and reporting of observed hyperreflective foci seen on optical coherence tomography and their description as COVID-19 related retinal changes. While the authors have localized these bands to ganglion cell layer and inner plexiform layer, they are confined to the ganglion cell layer only. From the displayed scans, each of the bands is associated with some degree of posterior shadowing.2,3 These observations, in settings of normal optical coherence tomography angiography, are consistent with normal retinal vasculature from the superficial vascular plexus seen as hyperreflective bands. Figure 1 shows similar findings in normal eyes of two individuals from our practice. As macula is relatively more perfused region, these bands are more commonly seen on scans along the papillomacular bundle. Cotton wool spots are the non-specific manifestation of a variety of ocular and systemic diseases that develop secondary to axoplasmic flow disruption or localized ischemia and appear as white lesions in the retinal nerve fiber layer.4 They are characteristically associated with corresponding areas of retinal ischemia seen as low flow areas on optical coherence tomography angiography. Hence the described and displayed lesions are not consistent with cotton wool spots. We acknowledge the contribution from authors on this important aspect of COVID-19 and share our viewpoint on these findings for the consideration of medical community to avoid any potential ambiguity in the interpretation of these data.

Figure 1 Retinal optical coherence tomography from two normal individuals. (A) Horizontal red line on panel. (B) Correspond to the retinal location of cross-sectional scan. (C) Was taken along horizontal green line. (D) The cross section. (A&C) Similar colored pairs of arrows indicate the same vessel on reference images. (B&D) And hyperreflective band with posterior shadows on cross sections. Multiple subtle hyperreflective dots at ganglion cell layers are small vessels.

Conflicts of interest

No author(s) have any potential conflicts of interests to disclose.

Acknowledgments

None.

Funding

None.

References

Creative Commons Attribution License

©2020 Khan, et al. This is an open access article distributed under the terms of the, which permits unrestricted use, distribution, and build upon your work non-commercially.