Submit manuscript...
Advances in
eISSN: 2377-4290

Ophthalmology & Visual System

Case Report Volume 2 Issue 2

Pigmentary glaucoma: an unusual association with wagner syndrome

Prasanth Baswati, M S Sudheer, Singh Anumeha, P M Sandhya

Department of Ophthalmology, Ahalia hospital Mussafah, UAE

Correspondence: Baswati Prasanth, Department of Ophthalmology, Ahalia hospital Mussafah, PO Box 2419, M 24, Mussafah, United Arab Emirates, Tel 02 8 119 119

Received: December 05, 2014 | Published: February 28, 2015

Citation: Baswati P, Sudheer MS, Anumeha S, et al. Pigmentary glaucoma: an unusual association with wagner syndrome. Adv Ophthalmol Vis Syst. 2015;2(2):39-42. DOI: 10.15406/aovs.2015.02.00035

Download PDF

Abstract

We report a rare case of a 11 year old boy who presented for a routine check up and was found to have moderate myopia, bilateral subluxation of lens, posterior subcapsular cataracts, lattice degeneration of retina and pigmentary glaucoma simulating Wagner syndrome. Wagner syndrome is an entity initially reported in Swiss families and has similar features to our patient. However, the association of pigmentary glaucoma is a new addition to the existing knowledge of Wagner syndrome. Glaucoma reported in Wagner syndrome till date has been open angle glaucoma due to anterior segment dysgenesis or neovascular glaucoma where the exact cause has not been elucidated. Patient was diagnosed to have pigmentary glaucoma on the basis of pigment dispersion over the corneal endothelium, increased trabecular pigmentation, midperipheral iris transillumination defects, pigment on the posterior capsule of the lens and raised intraocular pressure with disc changes.

Keywords: wagner syndrome, pigmentary glaucoma, moderate myopia, subluxation of lens, posterior subcapsular cataracts, lattice degeneration

Introduction

Wagner syndrome belongs to a heterogeneous group of hereditary vitreoretinopathies characterized by an anomalous vitreous with presence of avascular strands and veils, myopia, cataract, glaucoma, chorioretinal atrophy, and peripheral tractional or rhegmatogenous retinal detachment. This disorder can be differentiated from Stickler syndrome by the lack of systemic features and infrequent incidence of retinal detachments. Developmental abnormalities of the anterior chamber drainage angle predispose patients with Wagner syndrome to glaucoma. However the association of pigmentary glaucoma with Wagner syndrome has not been reported in literature. We report a case of Wagner syndrome who presented with all features of pigmentary glaucoma. This association is a new addition to the existing knowledge of Wagner syndrome.

Case Presentation

A 11 year old boy of Indian origin presented to us for the first time for reevaluation of his refractive status. He was previously diagnosed at various ophthalmic centres to have compound regular myopic astigmatism and had been prescribed glasses since five years of age. At presentation, his best corrected visual acuity in right eye was 6/9 with -3DS/-3.00 D Cyl at 20 degrees and in the left eye 6/6 with -3DS/-3.00 D Cyl at 160degrees. There was diffuse pigment dispersion on the corneal endothelium of both eyes. Anterior chamber was deep with slit like transillumination defects in both eyes in the mid peripheral iris. Phacodonesis was present in both eyes. On dilatation, posterior subcapsular cataract with subluxation of the lens for 2 clock hours in the right eye and 6-8 clock hours in the left eye was seen (Figure1A). Posterior capsule revealed a pigmented line superiorly in both eyes (Zentmeyers Line) (Figure1B).

Figure 1A Subluxation of lens (Right and Left eye).

Figure 1B Pigmentation over posterior lens capsule.

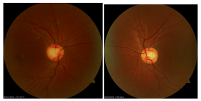
Vitreous revealed multiple bands like opacities. Fundus examination revealed a cup disc ratio of 0.7, with inferior thinning of the neuroretinal rim in the right eye and a cup disc ratio of 0.6, with inferior thinning of the neuroretinal rim in the left eye (Figure 2). Periphery of the retina showed lattice degeneration superiorly in both eyes (Figure 3A). Intraocular pressures were 25 mm Hg in the right and 17 mm Hg in the left eye respectively on two consecutive occasions. Gonioscopy revealed open angles with a 3+ trabecular pigmentation in both eyes (Figure 3B). Humphrey’s visual field (24-2) both eyes were within normal limits. Optical Coherence Tomograph (OCT) both eyes revealed an overall reduction of the nerve fibre layer when compared to the OCT reports of age matched patients in various studies. Central corneal thickness was 538 microns in the right eye and 542 microns in the left eye which was within normal limits.

Figure 2 Disc photos of right eye and left eye: Arrows showing thinning of neuroretinal rim in both eyes respectively.

Figure 3A Lattice degeneration as seen by goldmann's 3–mirror.

Figure 3B Gonio photos showing Open angles with increased pigmentation of the trabecular meshwork.

The patient was advised Eyedrops Dorzolamide 2% in the right eye owing to the high intraocular pressures and disc changes. The left eye was not treated due to lack of any obvious clinical evidence of glaucoma. When reviewed after one month, the intraocular pressure in the right eye reduced to 13 mmHg and the left eye was 15 mmHg. Patient was prescribed glasses and has been asked to review every six months. The patient was reviewed by an orthopaedic and ENT surgeon and was found to have no evidence of any arthropathy or sensorineural deafness.

Discussion

Wagner first reported a Swiss family affected by low myopia (3.00 diopters or less), a fluid vitreous, and cortical cataracts with no extraocular features.1 This syndrome was termed by him as “degeneratio hyaloideo-retinalis hereditaria”. The original family reported by Wagner increased to a pedigree of twenty eight patients involving five generations, as reported by Bohringer et al.2 Ricci3 identified a group of patients with vitreoretinal degenerations who had night blindness, mild myopia with normal visual acuity at presentation but later went on to develop presenile cataracts reducing their visual acuity temporarily. Vision loss in such patients occurred during the latter course of the disease either due to glaucoma or chorioretinal degeneration. However, none of these patients developed retinal detachments in contrary to the series of patients described by Alexander and Shea4 under the eponym “Wagner disease” who showed a virtual degeneration in association with an increased incidence of retinal detachments.

Glaucoma in Wagner syndrome is known to develop as an open-angle glaucoma resulting from anterior segment dysgenesis. However, few cases of neovascular glaucoma have been reported in literature.5 The authors came across this patient with pigmentary glaucoma and other ocular findings of Wagner syndrome which seems to be the first of its kind. A thorough PubMed search did not find any mention of such an association in literature. The presence of increased trabecular pigmentation, midperipheral iris transillumination defects and pigment over the posterior capsule and pigment dispersion over the corneal endothelium qualifies this patient to have true pigmentary glaucoma. Humphrey’s field report was within normal limits. Since there was substantial evidence of thinning of nerve fibre layer on OCT as compared to agematched patients from various studies, this case can be considered as a case of Preperimetric glaucoma. The intraocular pressure in the right eye was higher than the left eye despite the fact that subluxation was more in the left eye. This suggests that the pigment dispersion and raised intraocular pressure in our case was probably not related to the subluxation of the lens which could have resulted by rubbing and release of iris pigments.

The conflicting association of extraocular features and retinal detachments became clear when Stickler6 and his colleagues described similar conditions in two reports. The first report described a new dominant syndrome consisting of progressive myopia beginning in the first decade of life and resulting in retinal detachment and blindness along with premature degenerative joint disease with a mild epiphyseal dysplasia and joint hypermobility. In the second paper, Stickler and Pugh7 described changes in the vertebrae and hearing deficit as part of the syndrome, as well as the midface hypoplasia that is characteristic of the phenotype. Stickler syndrome, also known as hereditary progressive arthro-ophthalmopathy, is thus described as a genetically heterogenous connective tissue disorder affecting the ocular, orofacial, and skeletal systems wherein a link is attributed to the Type II collagen gene COL 2A 1 located on chromosome 12. Myopia which usually begins in the first decade of life is usually severe and may be associated with lattice degeneration. Arthropathy seen in sticklers is usually age dependent, variable and subtle and can be picked up only through x rays. It ranges from prominent joints and hyperextensibility in infancy to hypermobility in early childhood to the development of osteoarthritis in adults. Midface hypoplasia is usually evident in early life, and affected persons may demonstrate cleft palate or bifid uvula. Sensorineural hearing loss is a variable feature of the syndrome and may be progressive. Sticklers syndrome is known to have three subtypes, affected individuals with mutations in STL1 and STL2 demonstrate a combination of ocular and systemic manifestations whereas STL3 involves only non-ocular manifestations. Wagner syndrome on the other hand is associated with mutations with versican (VCAN) gene that encodes for a chondroitin sulfate proteoglycan8 and is usually free from systemic associations. Schwartz et al.9 suggested that Wagner syndrome is characterized by vitreoretinal degeneration without extraocular manifestations, whereas Stickler syndrome also has extraocular manifestations in the musculoskeletal and craniofacial systems. The absence of extraocular features in our case suggests it to be Wagner syndrome.

Acknowledgements

None.

Conflicts of interest

Author declares that there is no conflict of interest.

References

Creative Commons Attribution License

©2015 Baswati, et al. This is an open access article distributed under the terms of the, which permits unrestricted use, distribution, and build upon your work non-commercially.