Submit manuscript...
Advances in
eISSN: 2377-4290

Ophthalmology & Visual System

Case Report Volume 2 Issue 4

Pseudo-foster kennedy syndrome due to diabetic papillopathy

Vignesh AP, Renuka Srinivasan

Department of Ophthalmology JIPMER India

Correspondence: Vignesh AP Senior Resident Department of Ophthalmology JIPMER No 12 Kamaraj Street Tagore Nagar Pondicherry India, Tel 919894910033

Received: April 13, 2015 | Published: May 12, 2015

Citation: Vignesh AP, Srinivasan R. Pseudo-foster kennedy syndrome due to diabetic papillopathy. Adv Ophthalmol Vis Syst. 2015;2(4):112-113 DOI: 10.15406/aovs.2015.02.00050

Download PDF

Abstract

Pseudo-Foster Kennedy is described when there is pallor in one eye and disc edema in the contralateral eye in the absence of any intracranial mass. In literature it has been usually reported in cases of Benign Intracranial hypertension, Ischemic optic neuropathies and Optic nerve hypoplasia. A fifty year old man presented with type 2 Diabetes Mellitus presented to us with optic disc pallor in the right eye and disc edema in the left eye. His vision was 20/20 in both the eyes. Other causes of disc edema were ruled out by appropriate investigations. We report a rare case of Diabetic papillopathy presenting as Pseudo-Foster Kennedy syndrome.

Keywords: pseudo-foster kennedy syndrome; diabetic papillopathy

Introduction

Pseudo-Foster Kennedy is described when there is pallor in one eye and disc edema in the contralateral eye in the absence of any intracranial mass.1 In literature it has been usually reported in cases of Benign Intracranial hypertension,2 Ischemic optic neuropathies and Optic nerve hypoplasia.1 We report a rare case of Diabetic papillopathy presenting as Pseudo-Foster Kennedy syndrome.

Case presentation

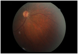
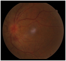
A 50 year old man who is a known case of type 2 diabetes mellitus for 5 years who was on irregular treatment came to the ophthalmology Out-patient department for diabetic retinopathy screening. His visual acuity in both eyes was 20/20. He had no other significant ocular complaints. There was no history of headache or jaw claudication. His anterior segment examination was unremarkable. His pupillary reactions were brisk in both eyes. His right eye fundus showed disc pallor and left eye showed disc edema with dilated vessels over the disc with few splinter hemorrhages. Both eyes had few hard exudates and micro aneurysms. His colour vision was normal in both the eyes. Fluoresce in angiography revealed no evidence of neovascularization or choroidal hypo perfusion and his visual fields were normal. His CNS examination revealed no abnormalities. His Blood sugar was 326mg/dl, MRI brain showed no evidence of any intracranial mass. His ESR was 10m/hr. Carotid Doppler showed no evidence of any obstruction. Other infectious causes of disc edema were ruled out by doing appropriate tests. The patient was put on started on Insulin and kept on strict glycemic control. The Disc edema resolved in 2 months and the patient was kept on close follow up (Figure 1&2).

Figure 1 Right eye showing disc pallor.

Figure 2 Left eye showing disc edema.

Discussion

Diabetic papillopathy presents as unilateral or bilateral disc edema with telangiectatic vessels over the disc associated with diabetic retinopathy.3 These patients don’t have any vision loss and around 20% develop disc pallor in the long term. Pseudo-Foster -Kennedy syndrome has been described in a number of conditions like NAION, Optic neuritis, and Optic disc hypoplasia. Pseudo-Foster-Kennedy is usually a diagnosis of exclusion. Other causes like intracranial mass and ischemic optic neuropathies were ruled out by a normal neuroimaging and normal visual acuity and visual field. The fluorescein angiography revealed no choroidal hypo perfusion. There was no other cause for the disc edema except the high blood sugar leading to diabetic papillopathy. In the right eye minimal pallor has set in due to untreated diabetic papillopathy and poor glycemic control. On strict glycemic control the disc edema resolved. Mallika et al.3 described a case of diabetic papillopathy which resolved with strict glycemic control. So it was concluded that the Pseudo-Foster-Kennedy syndrome in this case was due to Diabetic papillopathy.

Acknowledgments

None.

Conflicts of interest

Author declares that there is no conflict of interest.

References

Creative Commons Attribution License

©2015 Vignesh, et al. This is an open access article distributed under the terms of the, which permits unrestricted use, distribution, and build upon your work non-commercially.