Submit manuscript...
Advances in
eISSN: 2377-4290

Ophthalmology & Visual System

Case Report Volume 8 Issue 3

Semiescleral lens adaptation in patient of 10 years after cornea transplantation

Núria Planas,1 Enrique Jiménez Gañán,1 Sergi Herrero2

1Ophthalmology Service, Sant Joan de Déu Hospital, Spain
1Ophthalmology Service, Sant Joan de Déu Hospital, Spain
2Servicio Técnico Laboratorios Conoptica, L’Hospitalet de Llobregat, Spain
2Servicio Técnico Laboratorios Conoptica, L’Hospitalet de Llobregat, Spain

Correspondence: Enrique Jiménez, Ophthalmology Service, Sant Joan de Déu Hospital, Barcelona, Spain, Tel 34 93.253.21.26

Received: January 01, 1971 | Published: May 21, 2018

Citation: Planas N, Gañán EJ, Herrero S. Semiescleral lens adaptation in patient of 10 years after cornea transplantation. Adv Ophthalmol Vis Syst. 2018;8(3):161?163. DOI: 10.15406/aovs.2018.08.00293

Download PDF

Abstract

This case report means to demonstrate how contact lenses can help with complex corneal pathology cases. A 10-year-old patient was presented to our hospital with a history of decreased visual acuity. Slit-lamp examination revealed mixed hyperemia and a large central corneal edema with possible rupture of Descemet's membrane. A presumptive diagnosis of corneal hydrops was made and the patient was treated with antiedema ointment, topical tobramycin, fluorometholone and cyclopegic. Following treatment the corneal edema decreased but a central corneal leukoma and a visual acuity of 0.2 persisted. A penetrating keratoplasty was performed. As a side effect of surgery and cataractogenic drugs, a posterior subcapsular cataract developed over time, worsening visual prognosis. Following the unsuccessful attempt to adapt the corneal lens, a semi-scleral lens was adapted, resulting in a visual acuity of 0.7 by the end of the procedure.

Keywords: hydrops, hyperemia cataratógeno, immunosuppressant, anti-inflammatory edema, cycloplegic keratoplasty, membrane of descemet, optical coherence tomography, corneal topography, refraction, visual acuity, fluorogram photophobia, posterior subcapsular cataract

Introduction

A 10-year-old patient who presented with a decrease in visual acuity (VA) and left eye (IT) itching of one day of evolution, with no personal history of interest. It does not report trauma or previous personal history of ocular infection. Interrogating the patient reports rubbing in both eyes for a long time. Under slit lamp mixed hyperemia and a large zone of central corneal edema of 5 x 5.5 mm are observed. It looks like a Descemet break located in the central zone. Tyndall or Seidel is not observed, and the anterior chamber appears preserved. The visual acuity that it presents in that eye is from fingers to 20 centimeters (in the right eye, healthy, it is from the unit) (Figure 1).

Figure 1 Hiperemia mixta y edema central corneal.

Methods

Under diagnostic suspicion of corneal hydrops is treated with antiedema ointment, topical tobramycin, fluorometholone, ciclopéjico and occlusion. In the control visits of the first days, the low visual acuity and central corneal edema persist. With the treatment the edema begins to decrease and the visual acuity to improve reaching 0.2. The edema disappears after 3 weeks but a central corneal opacity persists. On successive visits, the central corneal leucoma with descemet membrane folds is maintained and the visual acuity does not improve, then a penetrating keratoplasty is indicated.1 Penetrating keratoplasty is performed without complications and treatment is started with topical corticosteroid (prednisolone acetate), topical antibiotic (moxifloxacin) and an oral immunosuppressant (tacrolimus) to reduce the risk of transplant rejection.1 In the controls performed during the weeks following the surgery, the AV is 0.1, the Tacrolimusson levels are correct, the intraocular pressure is normal, the button is transparent, the anterior chamber without Tyndall, and presents a slight conjunctival hyperemia (Figure 2).

In the following months, the extraction of points in several sessions was carried out, producing a remarkable variation in the morphology of the corneal button, as can be seen in the following axial maps (Figure 3).2 Finally, four months later, the extraction of points is finished, leaving two intrastromal points. At this point, the VA of the patient is 0.4 dif, with a refraction in glasses of 180º -5.00 +2.00. The difficulty in the adaptation of contact lens that will be sought, lies in the morphological change of the cornea, since it is observed an encurvamiento of the same. Initially, the adaptation of corneal semi rigid lens (KA4 Reverse BTC) is attempted, but the lens is so raised in the lower area (it practically rests on the eyelid margin itself), which falls too easily. The power of the lens is +2.00/-1.25 reaching the patient an AV of 0.3. The lens is rectified looking for a closing of it. This improves the adaptation in the lower area and improves stability, but upper quadrant bubbles are formed between 2h and 3h (Figure 4), (Table 1A) (Table 1B). During subsequent visits, the formation of a posterior subcapsular cataract is observed, probably as a consequence of the surgery itself and the catatogenic effect of the medications prescribed as treatment (Figure 5). This adds one more difficulty to the prognosis of an acceptable VA2, which up to now was 0.3 with an unstable corneal lens. At this point, the corneal lens adaptation is abandoned and the semi-scleral lens is adjusted to 7.30, power -6.50 and diameter 16.50. Initially the patient shows greater comfort than with corneal lens and better vision, being the AV of 0.4, which with overrefraction of +1.00 D improves to 0.5+.

ro 8.30/7.70 DO 7.00
r1 7.20 D1 9.00
r2 7.90 D2 9.30
r3 10.60 D3 10.40
Pot +2.00/-1.25

A

ro 8.20/7.50  DO 7.20
r1 7.20  D1 9.40
r2 7.95  D2 10.00
r3 10.60 D3 11.20
Pot +1.50/-2.50

B

Table 1A and 1B Parameters of corneal lenses

Figure 2 Corneal button after penetrating keratoplasty.

Figure 3 Corneal topography after extraction of sutures.

Figure 4 Second adaptation of corneal contact lens.

Figure 5 Posterior subcapsular cataract.

Figure 6 No constriction of blood vessels at conjunctiva level.

Figure 7 Fluorescein pattern with semi-scleral lens.

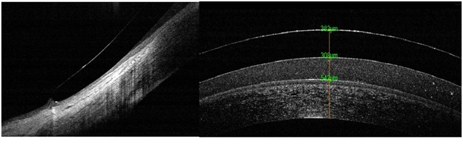
Figure 8 OCT image of lens support in conjunctiva, and cut where we observed the lacrimal reservoir between cornea and lens.

Results

After rectifying the power of the lens and with two weeks of use (from 4 to 6 hours a day), the AV is 0.7, exceeding all expectations. The patient manifests comfort and ease in both the placement and removal of the lens. In adapting this lens you can point out several concepts:3

  1. No constriction of blood vessels (Figure 6).
  2. Good pattern with fluorescein (Figure 7).

Correct support in bulbar conjunctiva and good lacrimal reservoir (Figure 8).             

Discussion

The adaptation of scleral or semi-scleral lenses is a good option to restore vision in those patients with irregular corneas. They reach values of visual acuity that surprise both the patient and the contactologist. Part of the success lies in the fact that the optical quality of the eye is improved as an optical system by regularizing an irregular cornea.

  1. The main indications for the adaptation of these lenses are:3
  2. Corneal ectasia.
  3. Corneal transplants.
  4. Post-traumatic or post-herpetic corneal scars.
  5. As protection of the ocular surface and medication administration. Due to the retention of a fluid reservoir behind the scleral lens.

As a counterpart or problems in the adaptation of these lenses, it can be noted:3

  1. The formation of air bubbles in the insertion of the lens. The patient, at the time of placing the lens, has to position his face completely parallel to the horizontal plane, and the lens must be completely filled with fluid (physiological serum or, preferably, artificial tear).
  2. Conjunctival staining. For a closed edge of the lens.
  3. Suction below the lens of a loose conjunctiva.
  4. Limbal edema. It is more likely to occur compared to another type of lens due to mechanical compression or adhesion.
  5. Accumulation of mucin and waste on the inner side of the lens. Due to the low renovation of the tear reservoir.

As a key point in the adaptation, it is to indicate that the semi-scleral or scleral lenses must have a total diameter capable of supporting the total weight of the lens in the anterior ocular surface and form a sufficient tear reservoir. Although talking about these lenses as contact lenses would be questionable, since there is no corneal contact, there is peripheral contact at the conjunctival level. Since no surveyor provides information on this contact area, extensive analysis by slit lamp and OCT image support is of great importance. When the cornea is isolated in a lacrimal reservoir, it is of great importance to monitor the quality of the tear to control the hours of use and indicate a correct maintenance system

Summary

Through the case that will be presented in this article, it is intended to show to what extent contact lenses can help in complex cases of corneal pathology. A 10-year-old patient who attended due to decreased visual acuity. Under slit lamp mixed hyperemia is observed, large central corneal edema with possible rupture of the Descemet membrane. It is oriented as corneal hydrops and is treated with antiedema ointment, topical tobramycin, fluorometholone and ciclopéjico. With the treatment the edema diminishes but there remains a central corneal leucoma and a visual acuity of 0.2. Penetrating keratoplasty is performed. As a secondary effect to the surgical intervention and cataractogenic drugs, a posterior subcapsular cataract develops over time, complicating the visual prognosis. After the unsuccessful attempt to adapt the corneal lens, a semi-scleral lens was adapted, achieving a visual acuity of 0.7 at the end of the adaptation.

Acknowledgements

None.

Conflict of interest

The author declares that there is no conflict of interest.

References

Creative Commons Attribution License

©2018 Planas, et al. This is an open access article distributed under the terms of the, which permits unrestricted use, distribution, and build upon your work non-commercially.