Submit manuscript...
Advances in
eISSN: 2377-4290

Ophthalmology & Visual System

Research Article Volume 6 Issue 4

TES in Different Optic Neuropathies and RP

Umur Kayabasi

Department of Neuroophthalmology, Liv HospitalIstinyeUniversity, Turkey

Correspondence: Umur Kayabasi, Asst Prof Neuroophthalmology, Liv Hospital- IstinyeUniversity, Turkey, Tel 90532 6129050

Received: March 05, 2017 | Published: April 5, 2017

Citation: Kayabasi U (2017) TES in Different Optic Neuropathies and RP. Adv Ophthalmol Vis Syst 6(4): 00191. DOI: 10.15406/aovs.2017.06.00191

Download PDF

Abstract

Objective: Aim was to achieve improvement in visual acuity and visual fields in optic neuropathies and retinitis pigmentosa (RP) by transcorneal electrical stimulation (TES).

Methods: 20 patients with non-arteritic anterior ischemic optic neuropathy (NA-AION), 10 patients with traumatic optic neuropathy (TON) and 10 patients with RP were stimulated using different protocols.

Results: Inallgroups, improvement both in vision and visual fields was achieved. The average improvement in visual acuity in all groups was 2 Snellenlines. Improvement in mean deviation before and after stimulations was statistically significant. (P:0.001).

Conclusion: TES can be considered as a safe and effective treatment modality in certain optic neuropathies and RP.

Keywords: TES, opticneuropathy, RP, visual field

Introduction

Trans corneal electrical stimulation (TES) is an accepted treatment modality in retinitis pigmentosa (RP).1 Electrical stimulaton may be used to induce neuroprotective growth factors in the retina. The main aim of TES has been declared to stabilize vision and to stop visual field (VF) deteriation in this progressive disease.2 The results of some multicenter studies have been encouraging and patients have been instructed to use TES themselves at their home settings.3 This treatment modality is continued for about a year and patients are periodically examined by their physicians. There are also ongoing clinical trials for this therapy in non-arteritic anterior ischemic optic neuropathy (NA-AION) and trauma ticoptic neuropathy (TON).4 Another study performed for 10 days using lid electrodes and transorbital stimulation instead of transcorneal impulses in optic neuropathies resulted in an average of 25% improvement in VF defects.5 In this study, alternating current therapy was applied through the eyelids. In the treatment of optic neuropathies TES may be as effective as the transorbitalroute since stimulation may give more benefit when passing through a liquid environment (Figure 1).

 

Figure 1 TES device.

Methods

TES therapy was performed in 20 NA-AION, 10 TON and 10 RP patients. Okuvision GmbHdevice was used for the therapy. Tran corneal stimulations were done for 40 minutes per day for 10 consecutive days in patients with optic neuropathies where as in RP TES was performed for 30 minutes per week for 6 months. The phosphene threshold was detected in each patient and 200% of this level was applied. The stimulations were performed at least 2 months after the initial visual loss in optic neuropathies. The age range of patients was between 19 and 66. In patients with optic neuropathy, the involved eye was stimulated; in RP, both eyes were stimulated.

Results

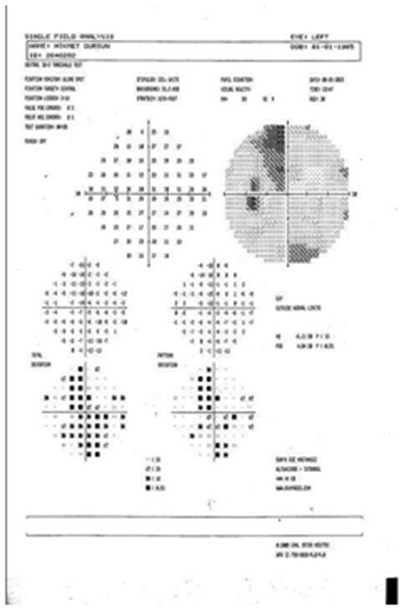
In 4 patients with NA-AION, visual acuity improvement more than 3 Snellenlines was observed. In 10 patients, improvement in visual acuity was between 1 and 3 Snellenlines. 6 patients were stable, but reported increase in brightness and color sensations. Ischihara color plate examination revealed more than 2 plates improvement in 3 of these patients. VF examination demonstrated improvement in 10 patients (Figure 2). In TON group, visual acuity improvement more than 3 Snellenlines was achieved in 3 patients. In 4 patients improvement was between 1 and 3 lines. In the other 3 patients, no change was observed. VF expansion more than 10 degrees was detected in 4 patients (Figure 3-6). In the RP group, visual acuity improved more than 3 Snellenlines in 3 patients and in 2 patients improvement was between 1 and 3 lines (Table 1). No adverse effects were recorded. As a whole, average improvement of VA by 2 lines was achieved. Improvement in VF was investigated by calculating the change in mean deviation (MD) before and after stimulations in all the groups. Average improvement in MD was statistically significant (P≤0.001).

Figure 2 PRE and POST TES in AION.

Figure 3 PRE TES in TON.

Figure 4 POST TES (after 10 days).

Figure 5 PRE TES in TON.

Figure 6 POST TES in TON.

 

AION

TON

RP

VA>3 Line

4 Patients

3 Patients

3 Patients

1<VA<3

10 Patients

4 Patients

2 Patients

Stable

6 Patients

3 Patients

5 Patients

Table 1 The results

Discussion

TES, by stimulating the retina of the patients (retino-fugal stimulation), induces a series of action potentials that travel in the optic nerveto the visual center of the brain. The brain interprets these signals as light sensations (phosphenes). The TES device was designed to promote cell regeneration in photo receptors and delay progressive sight loss by sending small amounts of electrical current to stimulate the retina, optic nerve and pathways in the brain. The results of a pilot study in 2011 demonstrated that patients with RP receiving stimulation showed a statistically significant improvement in their field of vision.1 The results of our study suggest that TES is able to stimulate some inactive cells on the optic nerve and the electrical current has the capability of making these cells active again. Between the dead neurons and healthy cells in partial optic nerve damage, there may be some inactive cells in the transitionz one which can be reactivated by microelectrical current.6 The improvement in patients with VF defects may also suggest that the stimulation is effective in the visual pathways in the brain, too. Some of the patients with NA-AION and TON in our study showed marked improvement in VF as demonstrated by the computerized visualfield testing.

Another theory is that electrical stimulation can change the functional status of retinal neurons by adjusting the activity of voltage-gatedion channels in the retinal neuron membrane. It has been proven that the electrical stimulation enhances the Ca2+ influx through the L-type voltage-gated channels and triggers off neuro trophinexo cytosis. Moreover, the Ca2+ influx can activate an anti apoptotic cellular pathway and initiates neuroprotection.7 There have been some prior publications about improvements in optic neuropathies after TES; Miyake et al.8 reported that a single TES given immediately after partial optic nerve injury can induce a rapid functional recovery of visual evoked potentials within hours and protect RGC saxons from degeneration. But, our study is the first that reports improvement both in optic neuropathies and retinal degenerations after stimulations. The optimal duration of TES in NA-AION, TON and RP is open to debate and there is the possibility of furher improvement with the continuation or repetition of stimulations after a certain amount of time. Current recommendation in RP has been persistent stimulation because of some observations regarding deterioration of vision after finishing the therapy. Furher studies may be necessary to resolve these issues.

Conclusion

Our results which disclose improvements but in visual acuity and VF may suggest that TES is a safe and effective treatment modality in certain optic neuropathies and RP.

Funding

None.

Acknowledgments

None.

Conflicts of interest

Author declares that there is no conflict of interest.

References

Creative Commons Attribution License

©2017 Kayabasi. This is an open access article distributed under the terms of the, which permits unrestricted use, distribution, and build upon your work non-commercially.