Submit manuscript...
Advances in
eISSN: 2377-4290

Ophthalmology & Visual System

Research Article Volume 9 Issue 1

Unilateral blurred vision due to internal carotid artery occlusive disease

Ayse Gul Kocak Altintas,1 Cagri Ilhan,2 Mehmet Citirik1

1University of Health Sciences, Ankara Ulucanlar Eye Education and Research Hospital, Turkey
2MD, Hatay State Hospital, Turkey

Correspondence: Ayse Gul Kocak Altintas, University of Health Sciences, Ankara Ulucanlar Eye Education and Research Hospital, Ulucanlar Turkey, Tel 90-312-3126261, Fax 90-312-3124827

Received: November 13, 2018 | Published: January 10, 2019

Citation: Altintas AGK, Ilhan C, Citirik M. Unilateral blurred vision due to internal carotid artery occlusive disease. Adv Ophthalmol Vis Syst. 2019;9(1):1-3 DOI: 10.15406/aovs.2019.09.00331

Download PDF

Abstract

Ophthalmic artery provides blood supply of the eye that is a branch of internal carotid artery (ICA). ICA occlusive disease (ICAOD) causes reduction in perfusion pressure of the ophthalmic artery and its branches. So, unilateral blurred low vision can be seen due to chronic progressive ocular ischemia. We presented a subject with low vision and retinal arterial narrowing, arteriovenous nipping, retinal hemorrhages, roth spots, and loss of foveal light reflex were present in the fundus. Macular edema were seen with optical coherence tomography (OCT) and delay in arterial filling, capillary drop-out, and foveal late-phase leakage were seen with fundus fluorescein angiography (FFA).Our patient has several risk factors such as hypertension, atherosclerosis, smoking, and positive family history despite of his relatively young age. In this case report, we aimed to take attention the possibility of unilateral chronic low vision due to ICAOD in a young subject.

Keywords: retinal ischemia, internal carotid artery occlusion, amaurosis fugax hypertension

Introduction

The eye globe is a very specialized organ and internal carotid artery (ICA) provides blood supply of eye via ophthalmic artery which is the first intracranial branch of the ICA.1 In ICA occlusive disease (ICAOD), the blood flow in the ophthalmic artery reverses to supply the ipsilateral brain due to incomplete blood circulation at Willis polygon and this phenomenon called as “steal phenomenon”.2 Reduction in perfusion pressure of the ophthalmic artery and its branches especially central retinal artery and posterior ciliary artery, lead the decreased retinal and choroidal circulation and chronic progressive ocular ischemia.3

In this case report, we presented a subject with unilateral chronic blurred vision due to ICAOD. Although our subject is young, he had a several risk factors such as uncontrolled systemic hypertension, smoking, hyperlipidemia, and atherosclerosis. We aimed to take attention the possibility of unilateral chronic low vision due to ICAOD in a young subject.

Case report

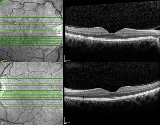
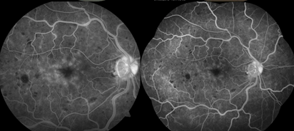
A 35-year-old, male, Caucasian patient presented to our clinic with complain of blurred vision in his right eye. Unilateral blurred and low vision has persisted for 6-month and the patient had been underwent an intravitrealinjection in the clinic. The patient was underwent a detailed ophthalmological examination. The best corrected visual acuity (BCVA) was found as 20/32 in the right eye and 20/20 in the left eye with Snellen chart. Intraocular pressure was bilateral 15mmHg with Goldmann applanation tonometer. In biomicroscopic examinations was completely normal for two eyes. After dilation, retinal arterial narrowing, arteriovenous nipping, retinal hemorrhages, roth spots, and loss of foveal light reflex were seen in the right fundus while the left fundus was completely normal (Figure 1). In optical coherence tomography (OCT), diffuse macular thickening in the right eye and normal macular configuration in the left eye were seen Figure 2. Fundus fluorescein angiography (FFA) was performed and delay in arterial filling, capillary drop-out, and foveal late-phase leakage were present in the right eye although left eye was normal (Figure 3). We looked for an anterior and posterior segment neovascularization using 3-mirror lens and we planned to closely follow-up for the patient because of there was no any neovascularization in clinical examination and suspicious leakage in previous FFA.

Figure 1 Colored fundus photography images of the patient.

Figure 2 Optical coherence tomography images of the patient.

Figure 3 Fundus fluorescein angiography images of the patient.

When questioned the history of chronic medication and systemic diseases, the patient said he has systemic hypertension since 2009, even he was given the combination of 2 drug he had not used any drug regularly. There was no any significant condition, trauma or surgical history in the patient’s medical history except smoking for 10 pack years. The patient’s father died 10-year ago after stroke and then he was 52-year-old. His 57-year-old mother and 3 brothers are healthy as far as he knows. Then we consulted our patient to an experienced internist to look for any systemic conditions can be related unilateral retinal hemorrhages, prominent vascular tortuosity and increased macular thickness.

We consulted our patient to an experienced internist to look for any systemic conditions can be related unilateral retinal hemorrhages and macular edema and cardiovascular surgeon to evaluate any carotid artery stenosis and plaque. One -week later, the patient come to our clinic again together with the notes of the previous ophthalmology clinic reports. Although we cannot reach previous ocular examination documents such as OCT evaluation, we learned that the patient had been underwent intravitrealbevacizumab (Avastin, Genentech, San Francisco, CA, USA) injection in 2010 for treatment of central retinal vein occlusion. And he had received two more intravitreal injection of anti-vascular endothelial growth factor (anti-VEGF) bevacizumab 2-month ago one month apart, without any other documents similar to previous injections.

According to the internist’ evaluation and high resolution carotid Doppler ultrasonography capable of determining the degree of stenosis and nature of plaques a 50% carotid artery stenosis was noticed. Multiple minimal, heterogeneous, smooth, irregular, moderate and unspecified plaques were observed in right internal carotid artery. Catheter angiography was not done by the cardiovascular surgeons neither for diagnosis nor for treatmentthe plaque by cardiovascular surgeon.

Due to, a unilateral ICA occlusion accompanying by uncontrolled systemic hypertension, hyperlipidemia, and atherosclerosis the internist prescribed medications for systemic hypertension and the cardiovascular surgeon planned to regular follow up to evaluated the size of stenosis. Although the patient have not any rheumatological, hematological, or oncological disorders it was plan to regular control for each of them. Written informed consent was obtained from the subject to use of his clinical documents for academic purposes.

Discussion

There is a close relationship between ICAOD and unilateral severe ocular complains. The presence of these conditions including transient monocular blindness, cholesterol plaques at fundoscopy, neovascularization of the iris or retina, ischemic optic neuropathy, venous stasis retinopathy, and ocular ischemic syndromes should be alert to clinician in terms of ICAOD.4–6 In our subject, patient had history of amaurosis fugax which was defined as sudden, transient blurring or obscuration of vision or transient visual loss in an eye, with normal recovery of vision after the episode. The visual loss or blurring mostly involved the entire visual field, although in some patient it only corresponded to the area of the retina involved. In amaurosis fugax a scotomatous defect and retinal changing were not developed. Only those cases had other ocular lesions associated with such as prominent retinal hemorrhages and roth spots, hypertensive retinopathy findings and less prominent of foveal light reflex those are considered as a unilateral chronic posterior segment ischemia as we observe in our patient. In these conditions, ICAOD has been found in a range of 0% to 24% after diagnostic testing as in our case.7,8

The most prominent and devastating ischemia related finding is neovascularization at retina or iris which are caused by blood flow decrease in the ophthalmic artery through central retinal and posterior ciliary arteries (9).Nevertheless, any anterior or posterior segment neovascularization were not seen with 3-mirror lens and FFA, in our subject. In some cases, this can be a challenge to diagnose of the subject’s clinic but Yamamoto et al.10 reported that 67.6% of eyes with ICAOD had a relatively good blood supply due to collateral circulation which may preserves anterior and posterior segment chronic ischemia. Additionally, there was a history of intravitreal anti-vascular endothelial growth factor (anti-VEGF) injection in our case and we did not know that was there any neovascularization focus before intravitreal anti-VEGF injection.

There are several systemic risk factors of low vision related ICAOD. Atherosclerosis, advanced age, hypertension, hyperlipidemia, diabetes, smoking and positive family history are well known the most important risk factors.11,12 Thrombophilia, high blood viscosity, systemic vasculitis, or autoimmune diseases are other systemic risk factors.12–15 Our patient has also several risk factors such as hypertension, atherosclerosis, smoking, and positive family history despite of his relatively young age.

Conclusion

ICAOD can be a reason of unilateral chronic low vision and it can be occurred in a young subjects when coexistence of risk factors. Detailed examination and closed follow up are essential for that patient to prevent life and organ treated complication.

Acknowledgments

None.

Conflicts of interest

Author declares there is no conflict of interest.

References

  1. Hayreh SS. the central artery of the retina. Its role in the blood supply of the optic nerve. Br J Ophthalmol. 1963;47:651–663. 
  2. Reynolds PS, Greenberg JP, Lien LM, et al. Ophthalmic artery flow direction on color flow duplex imaging is highly specific for severe carotid stenosis. J Neuroimaging. 2002;12(1):5–8.
  3. Keyser BJ, Duker JS, Brown GC, et al. Combined central retinal vein occlusion and cilioretinal artery occlusion associated with prolonged retinal arterial filling. Am J Ophthalmol. 1994;117(3):308–313.
  4. Fisher CM. Transient monocular blindness associated with hemiplegia. Trans Am Neurol Assoc. 1951;56:154–158.
  5. Hollenhorst RW. Significance of bright plaques in the retinal arterioles. JAMA. 1961;178:123–129.
  6. Muller M, Kessler Ch, Wessel K, et al. Low–tension glaucoma (a comparative study with retinal ischemic syndromes and anterior ischemic optic neuropathy. Ophthalmic Surg. 1993;24(12):835–838.
  7. Bull DA, Fante RG, Hunter GC, et al. Correlation of ophthalmic findings with carotid artery stenosis. J Cardiovasc Surg. 1992;33(4):401–406.
  8. Sharma S, Brown GC, Pater JL, et al. Does a visible retinal embolus increase the likelihood of hemodynamically significant carotid artery stenosis in patients with acute retinal artery occlusion? Arch Ophthalmol. 1998;116(12):1602–1606.
  9. Costa VP, Kuzniec S, Molnar LJ, et al. Collateral blood supply through the ophthalmic artery. A steal phenomenon analyzed by color Doppler imaging. Ophthalmology. 1998;105(4):689–693.
  10. Yamamoto T, Mori K, Yasuhara T, et al. Ophthalmic artery blood flow in patients with internal carotid artery occlusion. Br J Ophthalmol. 2004;88(4):505–508.
  11. Kolar P. Risk factors for central and branch retinal vein occlusion: a meta–analysis of published clinical data. J Ophthalmol. 2014;2014:724–780.
  12. Schmidt D. Comorbidities in combined retinal artery and vein occlusions. Eur J Med Res. 2013;18(1):27.
  13. Parsons MR, Stoner MC, Doyle A, et al. Lights Out: An Unusual Case of Amaurosis Fugax. Am J Med. 2018;131(2):e39–e42.
  14. Wang H, Wang YL, Li HY. Subfoveal choroidal thickness and volume in severe internal carotid artery stenosis patients. Int J Ophthalmol. 2017;10(12):1870–1876.
  15. Tran KD, Read SP, Patel NA, et al. Antiphosphospholipid syndrome presenting with amaurosis fugax and cotton wool spots. Am J Ophthalmol Case Rep. 2017;7:143–145.
Creative Commons Attribution License

©2019 Altintas, et al. This is an open access article distributed under the terms of the, which permits unrestricted use, distribution, and build upon your work non-commercially.