Submit manuscript...
Advances in
eISSN: 2373-6402

Plants & Agriculture Research

Research Article Volume 9 Issue 2

Molecular marker assisted selection of promising wheat genotypes for high grain protein content

Muhammad Umair Khalil,1 Zahid Akram,1 Marryam Rana,2 Zahid Husain Shah,3 Zaheer Ahmed4

1Department of Plant Breeding and Genetics, PMAS-Arid Agriculture University Rawalpindi, Pakistan
2Department of Plant Breeding and Genetics, University College of Agriculture and Environmental Sciences, Islamia University Bahawalpur, Pakistan
3Department of Arid Land Agriculture, King Abdul Aziz University, Saudi Arabia
4Department of Molecular and Cellular Biology, University of Guelph, Canada

Correspondence: Zahid Husain Shah, Department of Arid Land Agriculture, King Abdul Aziz University Jeddah, Saudi Arabia

Received: February 27, 2017 | Published: April 2, 2019

Citation: Khalil MU, Akram Z, Rana M, et al. Molecular marker assisted selection of promising wheat genotypes for high grain protein content. Adv Plants Agric Res. 2019;9(2):348-353. DOI: 10.15406/apar.2019.09.00447

Download PDF

Abstract

Wheat contributes about 30% to the total cereals consumption across the globe. The high grain protein content of wheat ranks it as good quality. The genetic diversity has key importance in crop improvement programs. The purpose of present study was to evaluate 25 elite Pakistani (Rainfed) bread wheat varieties both at biochemical and molecular level so we can isolate the lines with broad genetic base and high quality controlling parameters. Maximum grain protein and ash contents were reported in genotypes NRL-0707, 9C037 and AUP-1059. Whereas, wet and dry gluten percentages were found highest in lines NRL-0707, AUR-0809 and DN-84 while lines NR-397 and NR-399 has shown the highest moisture content. However, both biochemical and molecular evaluation has segregated the lines NRL-0707, NR 397, 9C037, AUP-1052 and AUR-0809 as the most diverse lines for further utilization in wheat improvement programs.

Keywords: cluster analysis, genetic diversity, gluten, protein, SSR makers

Introduction

Wheat is one of the most important cereal crop meeting one fifth caloric requirement of world population with per annum yield exceeding 680 million tonnes.1 Wheat has been a part of human diet since 8500 years, and currently it is providing 20% dietary protein.2 However, bread quality is a multipart aspect that relies on many factors. Most of the quality traits are usually complex and inherited quantitatively, especially milling yield, dough strength and extensibility. The quality and end-use suitability of wheat flour is associated with its grain protein composition.3 Environmental conditions strongly affect protein quantity while genotype and environment interaction determines its quality.4 Moreover, the grain storage proteins percentage can be referred as quality parameters as they determine the sustainability and plasticity of dough. However, the studies conducted during past few decades have provided a platform to understand the functionality of storage proteins and their links with allelic diversity.5 A cohesive and viscous proteinaceous compound, gluten, is prepared by storage proteins6 which means wheat proteins are analogous to other cereal proteins.6 When milled flour is mixed with water it attains the texture of dough, which retains air bubbles due to storage proteins. The structure of water insoluble gluten gets modify during various processing stages and it can be shaped into diversified kinds of food products.7 The selection efficacy of breeding germplasm has been enhanced by the development of functional markers linked to low and high molecular weight glutenin subunits.8,9

Moreover, the moisture percentage in the white flour and whole wheat flour has been reported as 11.3% and 11% respectively.10 On the other hand the moisture percentage has reported in fine flour and whole meal flour as 11.4% and 10.6% respectively11 which can be due to different methodologies of storage and processing. Moreover high moisture content is positively correlated with the fiber contents of thewheat grains,12 However, high moisture contents is important as it lowers the amount of dry solids as well as the shelf life of wheat product due to enhanced microbial activities.13 Similarly, high ash content indicates the high amount of minerals such as, calcium and iron which can be determined by combusting the sample of flour in the form of ashes.14 The ash content of wheat varies from 1.5 to about 2.0%. Breeding efforts for increased yield in wheat was considered by most breeders in the past while grain quality improvement remained neglected. In the present scenario, it is required to include some criteria in our existing breeding programs for the improvement of quality along with quantity.15 The efficiency of breeding and genetic conservation programs can be enhanced through exploitation of genetic diversity. It is now well understood that genetic diversity plays a vital role in achieving the ever increasing demand targets of wheat.16 Molecular analysis of plant genomes for the detection of polymorphism at DNA level with the utilization of various molecular techniques has revolutionized the assessment of genetic diversity.17 Efficiency of plant breeding programs can be enhanced greatly by the use of molecular marker technology that is an important area of biotechnology. The objective of current study was to make biochemical and molecular evaluations of elite Pakistani bread wheat varieties adapted to rainfed conditions. Moreover to segregate diverse genotypes from those that have been eroded genetically, so it can be decided about the improvement in their genetics via suitable breeding programmes.

Materials and methods

In present study 25 selected genotypes from the “National Trials for Elite Entries (Rain-fed) 2014-15 (NTERF)” were evaluated for biochemical traits and genetic diversity.

Biochemical Evaluations

The germplasm was evaluated for biochemical contents like protein, moisture, ash and gluten. The obtained data were subjected to statistical analysis as advocated by Steel et al.18 The moisture percentage was calculated by simple air oven method, where 2 g flour sample was heated at 130˚C for one hour and the difference between the weights before and after heating was taken as moisture content. To determine ash content in wheat flour, known weight of flour was incinerated under controlled conditions and the left over residue was weighed. The percentage of ash was calculated based upon the original sample weight. However, protein content of the flour was determined by Dumus procedure while wet and dry gluten contents were determined by GLUTO-matic (Gultomatic-2200, Perten, Sweden) device.

Molecular evaluation

Seeds of these genotypes were grown in the growth chamber under strict controlled conditions. Tender leaf tissues from the young seedlings of all the genotypes were taken to extract DNA at the same time by using the method of Kang et al.19

PCR and Gel Electrophoresis

PCR was carried out in total 20 µl, contained 4 µl of total genomic DNA, 2 µl of each primer, 4 µl of dNTPs, 2 µl of Taq buffer with KCl, 1.2 µl MgCl2, 4.6 µl DEPC treated water and 0.2 µl of Taq DNA polymerase.20 The oligonucleotide sequences of the primers (forward and reverse) are given in Table 1. The amplification conditions for SSR analysis were as; denaturation for 1 minute at 93oC following 40 cycles, an annealing step at 60oC for 1 minute and an extension step at 72oC for 1 minute. The PCR amplified products using SSR were separated by gel electrophoresis and 2% high resolution agarose/TBE gel21 was utilized. Gels were stained with Ethidium Bromide and visualized under the UV light compartment and witnessed using the computer program UVI PhotoMW. For SSR analysis bands were scored as1 for present and 0 for absent. The 1-0 bivariate data matrix for each set of wheat lines based on the data of 2 SSR primer sets was used to construct dendrogram using computer program “Popgene32” version 1.31.22

Locus

Right primer

Left primer

Xgwm4-4A

TTCACCTCGATTGAGGTCCT

GCTGATGCATATAATGCTGT

Xgwm68-7B

CTCCCTAGATGGGAGAAGGG

AGGCCAGAATCTGGGAATG

Xgwm99-1A

GCCATATTTGATGACGCATA

AAGATGGACGTATGCATCACA

Xgwm102-2D

TGTTGGTGGCTTGACTATTG

TCTCCCATCCAACGCCTC

Xgwm146-7B

CTCTGGCATTGCTCCTTGG

CCAAAAAAACTGCCTGCATG

Xgwm164-1A

TTGTAAACAAATCGCATGCG

ACATTTCTCCCCCATCGTC

Xgwm190-5D

GTCCCACGTACCTTTG

GTGCTTGCTGAGCTATGAGTC

Xgwm257-2B

CCAAGACGATGCTGAAGTCA

AGAGTGCATGGTGGGACG

Xgwm325-6D

TTTTTACGCGTCAACGACG

TTTCTTCTGTCGTTCTCTTCCC

Xgwm332-7A

AGTGCTGGAAAGAGTAGTGAAGC

AGCCAGCAAGTCACCAAAAC

Table 1 List of SSR primers used for molecular evaluation

Results

Biochemical evaluation

Protein content

Wheat flour with protein content 11 % or more has better bread making quality. The analysis of variance for protein contents among these genotypes has shown significant difference (Table 2). Mean values for protein contents varied between 12.12 (genotype NRL-0707) to 14.24 % (PR-105) as shown in Table 3.

Sr. No.

Traits

DF

Genotypic mean squares

Error mean squares

1

Protein content

24

0.59728**

0.02475

2

Moisture content

24

1.04960**

0.07385

3

Ash content

24

0.00773**

0.00016

4

Gluten content wet

24

4.89185**

0.09903

5

Gluten content dry

24

0.43672**

0.00128

Table 2 Analysis of variance for biochemical characters
** Highly significant

Sr. No.

Genotypes

Protein (%)

Moisture (%)

Ash (%)

Wet gluten (%)

Dry gluten (%)

1

PR-104

12.45

9.74

1.36

21.2

8.06

2

PR-105

12.12

9.92

1.29

20.41

8.05

3

AUR-0809

12.4

9.63

1.32

22.66

8.13

4

AZRC-2

12.32

10.34

1.34

19.52

7.76

5

NRL-0707

14.24

10.23

1.42

24.74

9.16

6

DN-84

12.38

11.31

1.37

21.46

8.26

7

VO8BT022

12.31

9.96

1.28

20.2

7.97

8

V-11183

12.3

10.45

1.31

21.5

8.19

9

V-08314

12.19

9.85

1.32

19.55

7.79

10

NR-399

12.41

11.43

1.21

20.44

7.93

11

NR-400

12.22

11.06

1.28

19.66

7.87

12

9C037

13.22

10.39

1.38

19.08

7.24

13

DH-31

12.75

9.65

1.26

18.73

7.05

14

10C033

12.18

10.76

1.3

20.64

8.08

15

06 FJS3013

12.64

11.35

1.33

20.4

8.06

16

NR-419

12.52

9.79

1.28

19.67

7.75

17

NR-420

12.37

10.56

1.29

20.33

8.13

18

NIA-MB-2

12.25

10.46

1.31

21.48

8.22

19

NR-403

12.68

9.7

1.28

19.77

7.65

20

AUP-1052

12.37

9.96

1.27

19.59

7.89

21

AUP-1059

13.08

10.25

1.43

20.64

7.85

22

Pirsabak-0

12.56

9.84

1.34

19.56

7.78

23

NARC-2009

12.33

10.49

1.3

20.1

8.04

24

Chakwal-50

12.41

10.34

1.26

19.67

7.93

25

NR 397

12.19

11.54

1.27

19.2

7.59

Table 3 Mean estimated values of various biochemical analyses

Moisture content

The analysis of variance for moisture content has revealed significant difference among all genotypes (Table 2). Mean values for moisture content ranged between 9.63 (AUR-0809) to 11.54% (NR-397) as represented in Table 3.

Ash content

Significant differences were witnessed among all wheat lines for ash percentage (Table 2) with mean values ranging between 1.21 (NR-399) to1.43% (AUP-1059) as mentioned in Table 3.

Wet gluten content

Gluten in wheat is considered to be a rough estimate of its total protein content. The gluten content of flour increased with the increase in its protein content. The gluten contents estimated among all these genotypes were significantly different. A wide range of mean values was seen for wet gluten varying between 18.73 (DH-31) to 24.74% (NRL-0707) as mentioned in Table 3.

Dry gluten content

The differences in gluten content may be ascribed to the differences in parents of the selected wheat lines, variation in climatic conditions and differences in cultural practices. Analysis of variance for dry gluten content in Table 2 has represented highly significant differences among all genotypes. The mean values were observed in a range between 7.06 % (DH-31) to 9.16% (NRL-0707) as indicated in Table 3.

Molecular evaluation

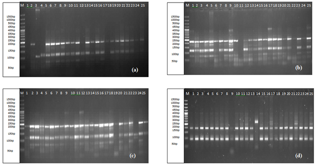
For the detection of DNA polymorphism among selected genotypes a total set of 10 primers was used as shown in Table 1. Collectively, these primers had amplified 532 bands in all these genotypes with size ranging from 50bp to 1000bp. Maximum number of bands, 111 were traced by primer Xgwm332-7A, while the lowest, 25 by the primer Xgwm102-2D. Different primers revealed variation in their ability to detect polymorphism, primers Xgwm4-4A (Figure 1d), Xgwm68-7B, Xgwm102-2D, Xgwm146-7B, Xgwm164-1A, Xgwm190-5D (Figure 1c) and Xgwm332-7A (Figure 1b) amplified all genotypes. While primers, Xgwm257-2B and Xgwm325-6D (Figure 1a) have shown amplification in 23 genotypes. However, only Xgwm99-1A has amplified 24 genotypes.

Figure 1 Amplification patterns of SSR primers, Xgwm325-6D (a) Xgwm332-7A; (b) Xgwm190-5D; (c) Xgwm4-4A; (d) analyzed using the computer program UVI PhotoMW.

Dendrogram interpretation

On the basis of genetic distances data dendrogram was obtained which has grouped these genotypes in seven clads as indicated in Figure 2. Three genotypes PR-104 (V1), NRL-0707 (V5) and NR-397 (V25) are the part of same clad. The overall genetic distance of this cluster lies between 2.00 to 2.65%. Among these genotypes, line PR-104 and NRL-0707 has shown least genetic distance of 2.00% and are the part of same sub group. However, the line NR-397 was the most diverse line in this cluster with a genetic distance of 2.65%. Moreover this clad is totally isolated as compared to the other clusters in the dendrogram. Similarly, 9C037 (V 12) and AUP-1059 (V 21) were also genetically distinct as compare to other genotypes as they were separated from other clads of dendrogram.

Figure 2 Dendrogram showing the grouping of genotypes based upon bivariate data obtained from SSR primers.

Discussions

Ahmad et al.23 Khan et al.24 Rharrabti et al.25 Maghirang et al.26 and Ikhtiar and Alam15 reported the presence of protein content from 12- 15% in their studies which are in complete agreement with our findings. Moreover, flour with high protein and cakes with low protein are more expensive usually. Hence, there is a good correlation between bakery performance of flour and protein content. Pearson et al.26 Ahmad et al.23 Samman et al.27 and Ikhtiar & Alam15 noted moisture content of different wheat genotypes from 8 to 12%. We also reported analogous results in our study. It is miller’s interest to keep moisture contents in wheat below 14%, as above this moisture content flour becomes unstable due to exponential microbial growth which produces bad odor in flour and deteriorate its quality. Moreover, the ash amount in the wheat kernel is 1 to 2%, with 0.35% concentrated in endospermic region that constitute 80% part of kernel.15,23,25 This was in complete agreement with our results. Ash content is a measure of the amount of impurity present in wheat flour. Hence, it is the objective of the millers to separate non-endospermic part to get high starch flour with low ash contents.

Analogous to Oak et al.28 and Khan et al.29 we also reported wet gluten from 18 to 25% that is quantitative measure of the protein responsible for gluten formation which not only enhances dough mixing but also improves baking quality. Furthermore, the mean values for dry gluten content were observed from 7.06 to 9.1%. which is according to the findings of Ahmad et al.23 Anjum et al.30 Oak et al.28 and Samman et al.27 However, Khan et al.29 found gluten content from 10.49 to 13.60%. On the other hand, Bonomi et al.7 found that there is no co-relation among the concentration of gluten, and ash. But our findings revealed a positive co-relation between moisture and gluten. Biochemical study suggested that lines NRL-0707, 9C037 and AUP-1052 were found rich in grain protein and ash content. Gluten content were found highest in lines NRL-0707, AUR-0809 and DN-84 while lines NR 397 and NR-399 performed best for moisture content in wheat (Table 3). Moreover, the genotypes those were rich in proteins contents also shown high gluten contents as indicated in Table 3. However, cluster analysis recommended lines NRL-0707, NR 397, PR-104, 9C037 and AUP-1052 as most diverse lines among all. This indicated that these lines would result well in further breeding programs due to their maximum genetic diversity. The fall outs attained in this molecular study are in settlement with the genetic diversity estimation of wheat conducted by Borner et al.31 Zhang et al.32 In a previous study conducted by Bryan et al.33 Huang et al.34 Ni et al.35 and Nisar et al.36 who utilized SSR markers for genetic diversity estimation of grain protein in wheat. From both biochemical and molecular evaluations we can conclude that the lines NRL-0707, NR 397, 9C037, AUP-1052 and AUR-0809 (Figure 3) are lines that are superior in their quality and genetically less eroded, hence they can be used further in breeding programmes.37‒47

Figure 3 Showing the genotypes with minimum and maximum level of biochemical contents as well as high percentage of diversity.

Conclusion

Along with quantity emphasis should also be given on the quality parameters of wheat that are concerned directly with the health of human being. So, breeders should also target the nutritional aspects of wheat when exploiting the diversity for broadening the genetic base of their germplasm. Hence our conducted study will help the breeders to formulate further hypothesis by linking nutritional parameters with genetic diversity of wheat.

Acknowledgements

None.

Conflicts of interest

The authors declare that there is no conflict of interest.

References

  1. Rasheed MA, Mckenna SA, Carter AB, et al. Contrasting recovery of shallow and deep water seagrass communities following climate associated losses in tropical north Queensland, Australia. Marine Pollution Bulletin. 2014;83(2):491–499.
  2. Braun HJ, Atlin G, Payne T. Multi‒location testing as a tool to identify plant response to global climate change. In: Reynolds MP, Editor. Climate change and crop production. CAB International, London. 2010;115‒138.
  3. Khelifi D, Branlard G. The effects of HMW and LMW subunits of glutenin and gliadin on the technological quality of progeny from four crosses between poor bread making quality and strong wheat cultivars. Journal of Cereal Science. 1992;16(3):195‒209.
  4. Dupont FM, Altenbach SB. Molecular and biochemical impacts of environmental factors on wheat grain development and protein synthesis. Journal of Cereal Science. 2003;38(2):133‒146.
  5. Ma W, Anderson O, Kuchel H, et al. Genomics of quality traits. In: Feuillet C, Muehlbauer GJ, Editors. Genetics and genomics of the triticeae. Springer, New York. 2009;611‒652.
  6. Shewry PR. Seed proteins. In: Black M, Bewley JD (Eds) Seed Technology and Its Biological Basis. Sheffield Academic Press, Sheffield. 2000;42‒84.
  7. Bonomi F, Iametti S, Mamone G, et al. The performing protein beyond wheat proteomics. Cereal Chemistry. 2013;90:358‒366.
  8. Liu Y, He ZH, Appels R, et al. Functional markers in wheat: current status and future prospects. Theoretical and Applied Genetics. 2012;125(1):1‒10.
  9. Anderson OD, Huo N, Guo YQ. The gene space in wheat: the complete v‒gliadin gene family from the wheat cultivar Chinese Spring. FunctIntegr Genomics. 2013;13(2):261‒273.
  10. Banu I, Georgeta S, Violetas I, et al. Effect of the addition of wheat bran stream on dough rheology and bread quality. Food Technology. 2012;36:39‒42.
  11. Zlatica K, Jolana K. Impact of potassium iodate on the quality of wheat‒spelt baked goods. Acta Sci Pol Technol Aliment. 2010;9:443‒450.
  12. Maneju H, Udobi CE, Ndife J. Effect of added brewers dry grain on the physico‒chemical, microbial and sensory quality of wheat bread. American Journal of Food Nutrition. 2011;1(1):39‒43.
  13. Ezeama CF. Food microbiology: fundamentals and applications. Natural Prints Ltd Lagos. 2007.
  14. Scade J. Cereals. Oxford University Press, London. 1975.
  15. Ikhtiar K, Alam Z. Nutritional composition of Pakistani wheat varieties. Journal of Zhejiang Universal Science. 2007;8(8):555‒559.
  16. Mujeeb‒Kazi A, Gul A, Farooq M, et al. Rebirth of synthetic hexaploids with global implications for wheat improvement. Australian Journal of Agricultural Research. 2008;59:391‒398.
  17. Sud S, Bains NS, Nanda GS. Genetic relationships among wheat genotypes, as revealed by microsatellite markers and pedigree analysis. Journal of Applied Genetics. 2005;46(4):375‒379.
  18. Steel RGD, Torrie JH, Deekey DA. Principal and procedures of statistics: A Biometrical Approach. 3rd Edition. McGraw Hill Book Co, NY. 1997;400‒428.
  19. Kang HW, Cho YG, Yoon UH, et al. A rapid DNA extraction method for RFLP and PCR analysis from a single dry seed. Plant Molecular Biology Reports. 1998;16(1):1‒9.
  20. Dweikat I, Mackenzie S, Levy M, et al. Pedigree assessment using RAPD‒DGGE in cereal crop species. Theoretical and Applied Genetics. 1993;85(5):497‒505.
  21. Roder MS, Korzun V, Wendehake K, et al. A microsatellite map of wheat. Genetics. 1998;149:2007‒2023.
  22. Yeh FC, Yang RC, Boyle T. Popgene version 1.31. Microsoft window based freeware for population genetics analysis. Quick user guide, Alberta, Canada, 28. 1999.
  23. Ahmad I, Anjum FM, Ali A, et al. Physico‒chemical and Farinographic properties of some new Pakistani wheat varieties. Pakistan Journal of Agricultural Science. 1994;31(1):80‒83.
  24. Khan MU, Chowdhry MA, Khalid I, et al. Morphological response of various genotypes to drought condition. Asian Journal of Plant Science. 2003;2(4):392‒394.
  25. Rharrabti Y, Villegas D, Royo C, et al. Durum wheat quality in Mediterranean environments II. Influence of climatic variables and relationships between quality parameters. Field Crops Research. 2003;80(2):133‒140.
  26. Pearson D, Egan H, Kirk RS, et al. Pearson’s Chemical analysis of Food. Edinburgh: Churchill Livingston. 1981.
  27. Samman J, El‒Khayat GH, Manthey FA, et al. Durum wheat quality: II‒ The relationship of kernel physico‒chemical composition to semolina quality and end product utilization. International Journal of Food Science & Technology. 2006;41(Suppl. 2):47‒55.
  28. Oak MD, Tamhankar S, Rao VS, et al. Relationship of HMW, LMW Glutenin subunit and gliadin with gluten strenght in Indian Durum wheat. Journal of Plant Biochemistry and Biotechnology. 2004;13(1):51‒55.
  29. Khan MR, Anjum FM, Zahoort, et al. Biochemical and technological characterization of Paksitani spring wheats. Pakistan Journal of Agricultural Science. 2009;46(4):271‒279.
  30. Anjum FM, Niazm, Butt MS. Suitability of different wheat flours for the commercial production of crackers. Pakistan Journal of Food Science. 2002;12(3‒4):1‒6.
  31. Borner A, Chebotar S, Korzun V. Molecular characterization of genetic integrity of wheat (Triticumaestivum) germplasm after long term maintenance. Theoretical and Applied Genetics. 2000;100(3‒4):494‒497.
  32. Zhang LY, Bernard M, Leroy P, et al. High transferability of bread wheat EST‒derived SSRs to other cereals. Theoretical and Applied Genetics. 2005;111(4):677‒687.
  33. Bryan GJ, Collins AJ, Stephenson P, et al. Isolation of microsatellites from hexaploid bread. Theoretical and Applied Genetics. 1997;94(5):557–563.
  34. Huang XQ, Börner A, Röder MS, et al. Assessing genetic diversity of wheat (Triticumaestivum L.) germplasm using microsatellite markers. Theoretical and Applied Genetics. 2002;105(5):699–707.
  35. Ni J, Colowit PM, Mackill DJ. Evaluation of genetic diversity in rice subspecies using microsatellite markers. Crop Science. 2002;42:601–607.
  36. Nisar M, Ghafoor A, Ahmad H, et al. Evaluation of genetic diversity of pea germplasm through phenotypic trait analysis. Pakistan Journal of Botany. 2008;40(5):2081‒2086.
  37. Alvarez JB, Caballero L, Nadal S, et al. Development and gluten strength evaluation of introgression lines of Triticum urartuin durum wheat. Cereal Research Community. 2009;37(2):243‒248.
  38. Dreisigacker S, Zhang P, Van‒Ginkel M, et al. SSR and pedigree analysis of genetic diversity among CIMMYT wheat lines targeted to different mega environments. Crop Science. 2004;35:1859‒1865.
  39. Gornall AG, Bardawill CJ, David MM. Determination of serum proteins by means of the biuret reaction. Journal of Biology and Chemistry. 1949;177:751‒766.
  40. Maghirang EB, Lookhart GL, Bean SR, et al. Comparison of quality characteristics and breadmaking functionality of hard red winter and hard red spring wheat. Cereal Chemistry. 2006;83(5):520‒528.
  41. Mcintosh RA, Dubcovsky J, Rogers WJ, et al. Catalogue of gene symbols for wheat: 2011 supplement. Annual Wheat Newsletter. 2011;57:303–321.
  42. Nei M, Li WH. Mathematical model for studying genetic variation in terms of restriction endonucleases. Proceedings of theNationall Academy of Science USA. 1979;76(10):5269‒5273.
  43. Puppo MC, Calvelo A, Anon MC. Physiological and rheological characterization of wheat flour dough. Cereal Chemistry. 2005;82:173‒181.
  44. Rehman S, Ahmed R, Siddique MI, et al. Bread making qualities of Pakistani wheat varieties. Pakistan Journal of Food Science. 1996;6:57‒61.
  45. Wahab S, Khan S, Khattak M, et al. Nutritional qualities of different wheat varieties grown in North West Frontier Pakistan. Sarhad Journal of Agricultur. 2007;23(4):1131‒1136.
  46. Waines JG, Payne PI. Electrophoretic analysis of the high‒molecular‒weight glutenin subunits of Triticummonococcum, T. urartu, and the A genome of bread wheat (T. aestivum). Theoretical and Applied Genetics. 1987;74(1):71‒76.
  47. Xu SS, Khan K, Klindworth DL, et al. Evaluation and characterization of high‒molecular weight 1D glutenin subunits from Aegilopstauschii in synthetic hexaploidwheats. Journal of Cereal Science. 2010;52(2):333‒336.
Creative Commons Attribution License

©2019 Khalil, et al. This is an open access article distributed under the terms of the, which permits unrestricted use, distribution, and build upon your work non-commercially.