Submit manuscript...
Advances in
eISSN: 2572-8490

Tissue Engineering & Regenerative Medicine: Open Access

Research Article Volume 8 Issue 1

Acute psychotic episode after surgical complication of endoscopic septoplasty with iatrogenic sella turcica injury and pituitary apoplexy

Eduardo Bordignon Peccin,1 Luciano Barroso de Albuquerque Filho,2 Isaac Dantas Sales Pimentel,2 Rodrigo Carvalho Paiva,2 Leonardo Régis Barreira de Figueirêdo,2 Thais Gomes de Matos Azevedo,2 Clara Valentinna Luz Batista,2 Ana Karoliny Martins Ponceano,2 Melissa Soares Viana,2 Luiza Targino Studart,2 Emanuel Inácio dos Santos,3 Júlio César Claudino dos Santos3,4,5

1Centro de Estudos José de Barros Falcão, CEJBF, Porto Alegre, Rio Grande do Sul, Brasil
2Faculdade de Medicina, Centro Universitário Christus, UNICHRISTUS, Fortaleza, CE, Brasil
3Universidade Federal de São Paulo, São Paulo, SP, Brasil
4Laboratório de Neurociências, Departamento de Neurologia e Neurocirurgia, Universidade Federal de São Paulo, São Paulo, SP, Brasil
5Faculdade Estácio de Sá, Estácio, Fortaleza, Ceará, Brasil

Correspondence: Júlio César Claudino dos Santos, Departamento de Neurologia e Neurociências, Universidade Federal de São Paulo, Rua Sena Madureira, 1500,Vila Clementino (SP), Brasil

Received: September 26, 2022 | Published: October 10, 2022

Citation: Peccin EB, Filho LBA, Pimentel IDS, et al. Acute psychotic episode after surgical complication of endoscopic septoplasty with iatrogenic sella turcica injury and pituitary apoplexy. Adv Tissue Eng Regen Med Open Access. 2022;8(1):18-21. DOI: 10.15406/atroa.2022.08.00130

Download PDF

Abstract

The nasal septum is an important structure, responsible for the centralization of the nose to the face. Septum deviation is a symptomatic condition, typically characterized by chronic nasal obstruction of the upper airways. Correction of deviated septum needs to occur through surgical therapy, notably through endoscopic septoplasty. Despite being considered a relatively safe procedure, endoscopic septoplasty surgery can cause complications. A 47-year-old man attempted suicide the night before presenting with psychosis following a septoplasty procedure to correct a deviated nasal septum six years ago. At the present date, in a psychiatric consultation, complaints of insomnia, restlessness and paranoid delusions. On psychiatric examination, he was lucid, with disorganized thinking and paranoid delusions. Properly medicated, the patient returns to medical care with an improvement in his general condition, but maintains the condition of psychic disorganization. However, the patient decided to suspend the prescribed medication and did not return for the appointment on the scheduled date. After a week, the patient developed psychotic symptoms, mystical delusions, insomnia and irritability that triggered a new suicide attempt. Referred to emergency and later to psychiatric hospitalization, where he remained for 22 days. The patient's diagnosis was mixed bipolar disorder. Magnetic resonance imaging (MRI) of the pituitary suggests an empty sella. The following case report depicts a rare case of hypopituitarism, resulting from an iatrogenic injury to the sella turcica and the pituitary gland, complications triggered by the performance of endoscopic septoplasty, which resulted in a severe psychotic condition.

Keywords: psychosis, septoplasty, pituitary apoplexy, precipitating factor, nasal surgery, sphenoid sinus

Introduction

Nasal septoplasty is a procedure widely used in the context of otorhinolaryngological and plastic surgeries. The main indication for performing this functional surgery is nasal septum deviation, as this alteration may result in significant and symptomatic obstruction of the upper airways.1,2 Structural and functional complications such as adhesion, bleeding, infection and anosmia may occur.3,4 In addition to these complications, rarer and more life-threatening issues can also occur, including injury to the base of the skull, causing traumatic rhinorrhea, meningitis, pneumocephalus, subarachnoid hemorrhage, brain abscess and pituitary apoplexy.5,6

Pituitary apoplexy is an acute clinical condition that develops as a consequence of acute hemorrhage and/or infarction of a pre-existing pituitary adenoma, typically macro adenoma, causing rapid enlargement of the pituitary tumor and compressing adjacent structures. However, it occasionally occurs in normal glands (10-40%).7–9 Typical symptoms of the syndrome include sudden headache, visual acuity/field defects, ocular palsies, altered mental status, nausea, vomiting, and endocrine dysfunction, such as panhypopituitarism.8,10 It can occur spontaneously, but precipitating factors, such as surgical procedures, are identified in 20% to 40% of cases.11

Psychiatric disorders associated with endocrine conditions are well recognized, particularly thyroid disorders.11–13 Acute psychosis has been reported in patients with Addison's disease, in which the destruction of the adrenal cortex results in primary hypoadrenalism.14 The association between hypopituitarism and psychosis, however, has been poorly reported with cases largely in women with a history of traumatic childbirth, diagnosed with Sheehan syndrome.15,16 Therefore, reports of hypopituitarism and psychosis in men are rare.13

In the present article we report the case of a male patient with an episode of psychosis one week after undergoing septoplasty surgery.

Case Report

A 47-year-old man, electronics technician, with no previous psychiatric history, was admitted to a psychiatric clinic after making a suicide attempt and suffering from persecutory delusions. Her first presentation of psychosis occurred in 2016 after undergoing septoplasty surgery to correct a deviated nasal septum. During the surgical procedure, there was an iatrogenic injury to the sella turcica and the pituitary gland. Two years later, he developed symptoms suggestive of Diabetes Insipidus (DI), when he started treatment with vasopressin and desmopressin. After approximately four years, he sought a medical emergency due to symptoms of restlessness, insomnia, muscle pain and anxiety. These symptoms had already been gradually increasing in recent months, associated with excessive work activity and decreased need for sleep. His biochemical tests showed hyponatremia, which condition was treated at the time at the local hospital, with subsequent discharge. After that, at his home, the patient started psychotic symptoms with mystical and persecutory delusions, associated with auditory hallucinations with command voices for heteroaggression. He was taken to the emergency room again, medicated with haloperidol and diazepam, and then released. He remained partially symptomatic, until they decided to seek specialist evaluation. At the present time, he sought medical help complaining of insomnia, restlessness, and persecutory delusions, especially regarding possible dehydration caused by ID. On psychiatric examination at the time of the interview, he was lucid and oriented allopsychically and autopsychically, hyperthymic mood, congruent mood affect, hypervigil and hypo tenacious, accelerated and disorganized thinking, monothematic and circumstantial speech and with persecutory delusions, inferred intelligence within the average, no sensory perception changes, no thoughts of death and suicidal ideation.

In the anamnesis, a pattern of professional functioning was identified with a long-standing inversion of sleep shifts, due to a career as an automation technician for years, with no perception of fatigue on the following day, increased libido, history of excessive spending and little financial control, in addition to tachypsychism. Drug treatment was started with 1 milligram of risperidone at night and 1 milligram of alprazolam twice a day until return, in one week.

After 15 days, he returns to the clinic with an improvement in his general condition and sleep quality, but paranoid delusions and psychic disorganization persist. The patient complained of weight loss associated with the use of Risperidone. Laboratory tests performed at the time showed no changes, which ruled out electrolyte imbalance and dehydration.

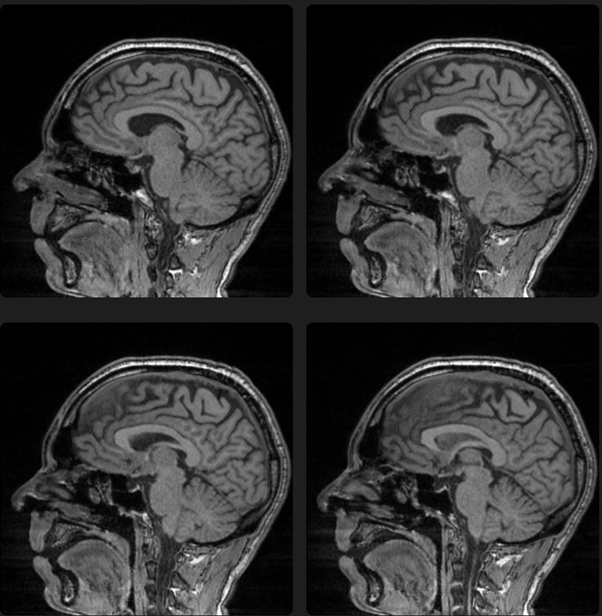
After that, the patient was referred to a neuroendocrinologist for a better diagnostic evaluation of Diabetes Insipidus, which was discarded after specific exams. After two weeks, the patient decided to stop taking risperidone because it was associated with dehydration and weight loss, in addition to not returning for consultation on the scheduled date. After a week, the patient evolved with worsening psychotic symptoms, mystical delusions, insomnia and irritability that triggered a suicide attempt with a stab wound and a sharp wound in the cervical region. He was referred to emergency and later to psychiatric hospitalization where he remained for 22 days. The patient was diagnosed with bipolar I disorder in a manic episode with psychotic symptoms. There was no family history or past history of psychiatric problems and no history of substance abuse. His diagnosis was bipolar disorder in a mixed episode. Magnetic resonance imaging (MRI) of the pituitary suggested an empty sella (Figure 1). Vague hypodensity is seen in the pituitary fossa. The pituitary is enlarged with remodeling of the pituitary fossa. Heterogeneous with high T1 and low T2 signal, particularly on the right

Figure 1 Pituitary apoplexy.

Discussion

This case report presents a rare condition of psychosis resulting from an iatrogenic lesion of the sella turcica and pituitary apoplexy, complications related to the surgical intervention of endoscopic septoplasty to correct a deviated nasal septum. The nasal septum consists of a cartilaginous and bony structure, present in the midline, responsible for the centralization of the nose to the face. Deviated nasal septum is a symptomatic condition, typically characterized by chronic nasal obstruction,17,18 which can also cause disorders, such as sinusitis, headache and snoring,6 and may directly contribute to sleep apnea.19

Nasal septum deviation can result from functional, aesthetic problems or post-traumatic events,17 affecting approximately 75-80% of individuals.20,21 Unlike other situations of nasal obstruction that can be treated clinically, through the administration of corticosteroids, decongestants, among other drugs, the correction of septum deviation needs to occur through surgical therapy, being the endoscopic septoplasty technique widely used by medical professionals in otolaryngology and plastic surgery. In Brazil, between 2014 and 2019, 24,459 septoplasty interventions were performed, aiming at the correction of septal deformities.17

The concept of septoplasty was registered in the literature at the beginning of the 19th century, but the conventional techniques of this medical intervention were introduced by Killian and Freer, who described submucosal resection procedures in the beginning of the 20th century.22 In 1947, Cottle proposed the standardization of septoplasty as the ideal surgical treatment for upper airway clearance. In the early 1990s, Stammberger and Lanza introduced endonasal endoscopic techniques, capable of providing greater illumination of the surgical field and expanding access to more remote regions, without compromising adequate exposure of the pathological site, consisting of a relevant evolution in compared to classic septoplasty techniques.23 Studies have shown a significant reduction in nasal obstruction, snoring, and other related problems in patients within three months of performing endoscopic septoplasty.24

According to the classification established by Mladina, there are seven possible types of deformities in the nasal septum, with the effectiveness of endoscopic septoplasty being more noticeable in types V, VI and IV, when compared to the use of traditional techniques.24 Thus, although endoscopic septoplasty is a reliable surgical therapeutic approach,23 it is essential that the health professional properly identify the type of deformity in the preoperative period, in order to select the appropriate surgical strategy for the specific case.24

The standard procedure for performing endoscopic septoplasty surgery consists of a few phases, namely: performing diagnostic endoscopy to analyze all septal deformities and plan the subsequent surgical repair; subperichondral infiltration, aiming to limit intraoperative bleeding and start the hydrodissection process; incision of the nasal cavity mucosa; dissection of the left septal surface; cartilage incision; dissection of the right septal surface; anterior cartilage resection; access to the posterior part of the septum; resection of the maxillary crest; endoscopic revision and additional resections, closure and placement of stents, with the aim of reducing the risk of bruising in the postoperative context and ensuring uniform healing of the nasal septum.24,25 The objective of septoplasty surgery is to create a caudal septal plate at the point of fixation of the so-called Keystone Area, or “Area K” (point of support for the nasal pyramid), which needs to be stable, adequate and fixed to ensure nasal clearance.26,27

A thorough analysis of the patient's anatomical conditions and the prevention of potential undesirable factors are crucial aspects for the success of the intervention. However, despite the observance of such care, the advent of undesirable results is possible. The complication rate in nasal surgery is moderate, ranging from 4% to 19%.21 The most common intercurrences consist of bleeding, the most frequent situations;27 temporary anosmia, due to the possible formation of edema; empty nose syndrome (ENS), a condition caused by excessive nasal permeability, affecting neurosensory receptors; anosmia;28,29 septal hematoma; septal perforation; adhesion formation;26 atrophic rhinitis and local infection.26,30,31

Endoscopic septoplasty surgery may present rarer complications that are more life-threatening to the patient, such as rhinorrhea, which consists of the release of cerebrospinal fluid due to rupture of the dura mater and bone lesion at the base of the anterior portion of the skull. Studies show that trauma to the skull base region and iatrogenic injuries related to the nasal septoplasty procedure, conditions present in this case report, are the main factors that cause cerebrospinal fluid fistulas in adults.32 In addition, septoplasty can result in neuro-ophthalmic consequences (temporary reduction in quality of vision and complete visual loss), meningitis, pneumoencephalitis, cavernous sinus thrombosis, septal perforation, hemorrhage, nasal and brain abscess, and pituitary apoplexy.26,32

Pituitary apoplexy is an uncommon neuroendocrine condition caused by a sudden bleeding crisis or pituitary infarction. Although it can occur in an apparently healthy pituitary gland, this phenomenon usually occurs more frequently in a preexisting pituitary adenoma, resulting in the accelerated growth of a benign pituitary tumor. It is usually related to symptoms such as nausea, sudden retro-orbital headaches and eye problems, because this compression can affect the 3rd cranial nerve, leading to ocular paralysis in 70% of cases, and may also cause neurological deficits.33

Some factors prior to the identification of pituitary apoplexy should be taken into account, such as hypertension and hypotension, pregnancy, coagulation disorders, head trauma and submission to surgical procedures in general.33 Nasal surgeries, such as septoplasty, as well as any surgical therapy, are potential precipitating factors for pituitary apoplexy. Thus, considering the patient's risk of having a pituitary macroadenoma, notably from manifestations such as headache, neuro-ophthalmic deterioration and neuropsychiatric conditions, the condition must be taken into account in relation to the surgical risk. In addition, the possibility of performing transsphenoidal surgery to remove a pituitary tumor simultaneously with the septoplasty procedure should be evaluated by the surgeon.33

The process of apoplexy in pituitary adenomas reduces the hypersecretion of pituitary hormones, usually generating a condition of hypopituitarism, a clinical condition present in approximately 80% of patients.33 It is a metabolic disorder characterized by the decrease or suspension of the production of one or more hormones secreted by the pituitary gland, notably growth hormone (GH), prolactin (PRL), adrenocorticotropic hormone (ACTH), follicle stimulating hormone (FSH), luteinizing hormone (LH), antidiuretic hormone (ADH) and oxytocin (OXT), responsible for the regulation of other glands essential to the body, such as the thyroid, adrenals and pancreas.34

In addition, hyponatremia, an electrolyte disorder characterized by a blood serum sodium concentration lower than 136 mEq/L,35 whose condition was verified in the biochemical tests demonstrated in the present case report, manifests itself in approximately 5.7% of patients with some type of of sellar pathology, especially arachnoid cysts and pituitary apoplexy,36 may trigger syndrome of inappropriate antidiuretic hormone secretion (SIADH). Under regular physiological conditions, ADH is secreted by the pituitary in response to a decrease in extracellular volume or due to an increase in plasma osmolarity, resulting in the reabsorption of water present in the distal renal collecting ducts. SIADH occurs when ADH is continuously secreted, even in the absence of physiological stimuli, thus decreasing serum osmolarity and sodium concentrations, and may present a spectrum of varied symptoms, such as fatigue, nausea, convulsions, respiratory arrest,37 sensory changes and delirium.34

The appearance of neuropsychiatric manifestations in patients with hypopituitarism is uncommon. However, it is possible that late or unspecific psychiatric diagnosis is contributing to the low incidence indicated in the literature. A Swedish study reported a 3.5-fold increased incidence of psychiatric illness in women with hypopituitarism and GH deficiency who were operated on for a pituitary tumor. In terms of age, the condition of hypopituitarism also results in significant effects, as individuals aged 18 years and over had a higher incidence of psychiatric disorders compared to the general population.34

Certain endocrine and metabolic conditions, such as hypothyroidism, testosterone deficiency, and renal failure, can contribute to the onset of cognitive disorders, depression, anxiety, and psychosis.34 Thus, the triggering mechanisms for the occurrence of psychotic conditions, in the context of hypopituitarism, result from combinations of interactions between pituitary hormones in reduced levels of secretion and dominant neurotransmitters, such as serotonin, dopamine, gamma-amino butyric acid (GABA) and glutamate and alterations metabolic disorders in the central nervous system, resulting from hypothyroidism, hypoglycemia, adrenal insufficiency38 and hypocorticism.34 Thus, it is possible to identify, in this context, the increased risk of psychiatric diseases, and it should be emphasized again that GH deficiency can also contribute to the worsening of the condition.39

Conclusion

Endoscopic septoplasty, despite being a safe therapy in most cases, represents a potential risk for patients with preexisting pituitary adenoma, due to the risks of pituitary apoplexy and consequent hypopituitarism. Thus, patients who are candidates for endoscopic septoplasty should undergo a careful semiological neurology procedure in order to investigate the characterization of preoperative factors, such as headache, vision loss and neuropsychiatric conditions, elements typically identified in hypopituitarism. In addition, it is essential that patients undergoing endoscopic septoplasty undergo endocrine, neurological and psychiatric follow-up, as a way of promoting the reestablishment or guaranteeing the maintenance of hormonal balance, investigating possible iatrogenic injuries resulting from the surgical therapy, as well as analyzing possible solutions for manifestations of psychic disorganization.

Acknowledgments

Medical School of University Center Christus, UNICHRISTUS, Fortaleza, CE, Brazil

Conflicts of interest

The authors declare that they have no conflicts of interest. All authors read and approved the final manuscript.

References

  1. Güvenç G, Eren E, Arslanoğlu S, et al. A rare complication of septoplasty: tension pneumocephalus without rhinorrhea. J Craniofac Surg. 2014;25(4):e360–361.
  2. Karaman M, Tek A. Deleterious effect of smoking and nasal septal deviation on mucociliary clearance and improvement after septoplasty. Am J Rhinol Allergy. 2009;23(1):2–7.
  3. Rettinger G, Kirsche H. Complications in septoplasty. Facial Plast Surg. 2006;22(4):289–297.
  4. Ketcham AS, Han JK. Complications and management of septoplasty. Otolaryngol Clin North Am. 2010;43(4):897–904.
  5. Soni RS, Choudhry OJ, Liu JK, et al. Postoperative cerebrospinal fluid leak after septoplasty: a potential complication of occult anterior skull base encephalocele. Allergy Rhinol (Providence). 2013;4(1):e41–e44.
  6. Harju T, Alanko J, Numminen J. Pituitary apoplexy following endoscopic nasal surgery: A case report. SAGE Open Med Case Rep. 2019;7.
  7. Randeva HS, Schoebel J, Byrne J, et al. Classical pituitary apoplexy: clinical features, management and outcome. Clin Endocrinol. 1999;51(2):181–188.
  8. Johnston PC, Hamrahian AH, Weil RJ, et al. Pituitary tumor apoplexy. J Clin Neurosci. 2015;22:939–944.
  9. Lazaro CM, Guo WY, Sami M, et al. Haemorrhagic pituitary tumours. Neuroradiology. 1994;36(2):111–114.
  10. Gohil J, Gowda A, George T, et al. Pituitary apoplexy and panhypopituitarism following acute leptospirosis. Pituitary. 2021;24(6):854–858.
  11. Briet C, Salenave S, Chanson P. Pituitary apoplexy. Endocrinol Metab Clin North Am. 2015;44:199–209.
  12. Roberts CG, Ladenson PW. Hypothyroidism. Lancet. 2004;363:793–803.
  13. Dissanayake SA, Leiberman DM. Hypopituitarism with paranoid psychosis: a description of two cases. J Neurol Neurosurg Psychiatry. 1969;32:233–235.
  14. Anglin RE, Rosebush PI, Mazurek MF. The neuropsychiatric pro- file of Addison’s disease: revisiting a forgotten phenomenon. J Neuropsychiatry Clin Neurosci. 2006;18:450–459.
  15. Hanna SM. Hypopituitarism (Sheehan’s syndrome) presenting with organic psychosis. J Neurol Neurosurg Psychiatry. 1970;33:192–193.
  16. Leo RJ, Burnett GJ, Hassett MJ. Psychosis associated with hypopituitarism. Gen Hosp Psychiatry. 1998;20:248–254.
  17. Corrêa J M de A, Pereira Vdos RP, Sant’Ana IC da S, et al. Epidemiological analysis of septoplasts for correction of nasal septal deviation in brazil. Revista Ibero-Americana De Humanidades, Ciências E Educação. 2022;8(6):1072–1077.
  18. Taghiloo H, Halimi Z. The frequencies of different types of nasal septum deviation and their effect on increasing the thickness of maxillary sinus mucosa. Journal of dental research, dental clinics, dental prospects. 2019;13(3):208–214.
  19. Mahmoud Elhabashy, Ayman Abdelfatah, Ayman Abdelaziz, et al. Effectiveness of septoplasty with or without inferior turbinate reduction in patients with obstructive sleep apnea European Respiratory Journal. 2019;54:PA4163.
  20. Dąbrowska-Bień J, Skarżyński PH, Gwizdalska I, et al. Complications in septoplasty based on a large group of 5639 patients. Eur Arch Otorhinolaryngol. 2018;275:1789–1794.
  21. Çetin YS, Akin R. Dacryocystitis With Skin Defects Secondary to Septorhinoplasty. J Craniofac Surg. 2022;33(1):e69–e71.
  22. Ramesh K, Rajendrakumar B, Prateek R.To Study the Effect of Septoplasty Inrelieving Nasal Obstruction and on Quality of Life. European Journal of Molecular & Clinical Medicine, 2022;9(3):211071–11082.
  23. Dell'Aversana OG, Romano A, Abbate V, et al. Effectiveness of endoscopic septoplasty in different types of nasal septal deformities: our experience with NOSE evaluation. Acta otorhinolaryngologica Italica. 2022;38(4):323–330.
  24. Pons Y, Champagne C, Genestier L, et al. Endoscopic septoplasty: Tips and pearls. Eur Ann Otorhinolaryngol Head Neck Dis. 2015;132(6):353–356.
  25. Lee D, Jo H, Kwon H, et al. Persistent Septal Deviation After Septoplasty: Causes and Surgical Management. Research Square. 2022.
  26. Dąbrowska-Bień J, Skarżyński PH, Gwizdalska I, et al. Complications in septoplasty based on a large group of 5639 patients. Eur Arch Otorhinolaryngol. 2018;275(7):1789–1794.
  27. Khaled Badran, Amjed Tarifi, Amjad Shatarat, et al. Are we mindful of nasal dorsal integrity during septal surgery? An imaging study of nasal keystone area. Authorea. 2022.
  28. Sheik-Ali S, Ellis S, Bondin D. Scarring of the Eustachian tube: an unusual presentation following septoplasty and inferior turbinate reduction. Ann R Coll Surg Engl. 2022;104(8):e236–e238.
  29. De Figueiredo EL, Neto, AMR, Rocha PMB, et al. Effects of orthognathic surgery with maxillary impaction plus septoplasty and total turbinectomy on breathing. Research Society Development. 2022;11(4):e53411427683.
  30. Han JK, Stringer SP, Rosenfeld RM, et al. Clinical Consensus Statement: Septoplasty with or without Inferior Turbinate Reduction. Otolaryngol Head Neck Surg. 2015;153(5):708–720.
  31. Kotisalmi I, Hytönen M, Mäkitie AA, et al. Septoplasty with and without additional sinonasal surgery: postoperative sequelae and the use of prophylactic antibiotics. Eur Arch Otorhinolaryngol. 2022;279(7):3449–3458.
  32. Gülşen S, Yilmaz C, Aydin E, et al. Meningoencephalocele formation after nasal septoplasty and management of this complication. Turk Neurosurg. 2008;18(3):281–285.
  33. Moreno C, Gomes L, Paiva I, et al. Pituitary apoplexy in the emergency department. Portuguese Journal of Endocrinology Diabetes and Metabolism. 2015;51(2).
  34. Wei IH, Huang CC. Risk of Mental Illnesses in Patients with Hypopituitarism: A Nationwide Population-Based Cohort Study. Psychiatry Investig. 2022;19(6):418–426.
  35. Boyer S, Gayot C, Bimou C, et al. Prevalence of mild hyponatremia and its association with falls in older adults admitted to an emergency geriatric medicine unit (the MUPA unit). BMC Geriatr. 2019;19:265.
  36. Bordo G, Kelly K, McLaughlin N, et al. Sellar Masses that Present with Severe Hyponatremia. Endocr Pract. 2014;20(11):1178–1186.
  37. Hall BR, García JAA, Johnson PJ. Acute symptomatic hyponatremia following elective rhinoplasty: A case report. JPRAS Open. 2018;18:18–21.
  38. Jegede O, Jeyakumar A, Balakumar T, et al. Neuropsychiatric Manifestations in a Patient with Panhypopituitarism. Case Rep Psychiatry. 2017;2017:5082687.
  39. Harju T, Alanko J, Numminen J. Pituitary apoplexy following endoscopic nasal surgery: A case report. SAGE Open Med Case Rep. 2019;7:2050313X19855867.
Creative Commons Attribution License

©2022 Peccin, et al. This is an open access article distributed under the terms of the, which permits unrestricted use, distribution, and build upon your work non-commercially.