Submit manuscript...
eISSN: 2473-0815

Endocrinology & Metabolism International Journal

Case Report Volume 4 Issue 2

A case report of elevated hCG levels in menopause - a clinical dilemma

Nitesh D Kuhadiya,1 Abhijana Karunakaran,3 Manisha Garg,3 Rujuta Katkar,3 Patrick Mason2

1Division of Diabetes, Endocrinology, Metabolism at Renown Health, USA
2Quest Diagnostics, USA
3University at Buffalo, UB, USA

Correspondence: Nitesh D Kuhadiya, Director of Diabetes and Endocrinology Program at Renown Health, 10085 Double R Blvd, 325, Reno, NV 89521, USA, Tel 775-982-5073

Received: October 20, 2016 | Published: March 17, 2017

Citation: Kuhadiya ND, Karunakara A, Garg M, et al. A case report of elevated hCG levels in menopause - a clinical dilemma. Endocrinol Metab Int J. 2017;4(2):46-48. DOI: 10.15406/emij.2017.04.00082

Download PDF

Abstract

Context: We hereby describe a case report of an elevated hCG levels in a postmenopausal female.

Case description: Elevated hCG levels were incidentally found in a 54 year old menopausal lady (gravida 10, para 7, abortions 3) while she was undergoing a preoperative evaluation for her back surgery. She complained of nausea and vomiting (described as intermittent and similar to her morning sickness experienced during pregnancy), headache and weight loss. She reported being post-menopausal since 7 years and did not report irregular bleeding, visual disturbances or vasomotor symptoms of menopause since then. Physical exam was unremarkable. Lab investigations revealed 6 separate measurements of persistently elevated quantitative hCG ranging from 15 to 20mIU/ml (normal: < 10mIU/ml in menopause), indeterminate qualitative hCG assays and negative urine hCG tests over period of 10 months. hCG levels remained elevated even when measured using a different laboratory assay. Ovarian or uterine mass was absent on pelvic ultrasonography. Enhanced MRI of brain demonstrated a 3mm pituitary lesion. Her endocrine work up was negative except for a low estradiol 28pG/ml (menopausal range <32pG/ml) and elevated FSH 146.6mIU/ml (menopause range: 23.0-116.3mIU/ml) and LH 85.1mIU/ml (menopause range: 10.0-54.7mIU/ml). Considering the possibility of an hCG-secreting pituitary lesion, hormonal replacement therapy with combined estrogen and progesterone was initiated as this has shown to reduce hCG secretion but patient was unable to tolerate it due to fluctuations in mood.

Conclusion: This case highlights importance of appropriate and cost effective evaluation of positive hCG in a menopausal woman to avoid unnecessary treatment. Reporting of our case also facilitates estimation of true prevalence of this rare clinical entity.

Keywords: menopause, hCG, pituitary, gravid, para, abortions, treatment, patient, hormone

Abbreviations

HCG, human chronic gonadotropin; LH, luteinizing hormone; FSH, follicle stimulating hormone; ACTH, adrenocorticotropic hormone; TSH, thyroid stimulating hormone; IGF-1, insulin-like growth factor-1

Introduction

Pregnancy is indicated by a positive test for hCG in the premenopausal group while that in a menopausal group leads to a diagnostic challenge followed by increased health care expenditure resulting from a battery of costly investigative tests and sometimes even unnecessary treatment.1 Patient often gets frustrated and anxious due to lack of a clear underlying etiology and also its implications. We hereby describe a rare clinical entity of an elevated hCG levels and sequelae of events thereafter in a postmenopausal female.

Case

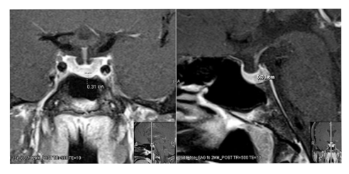
54 year old menopausal lady (gravida 10, para 7, abortions 3) with history of Chronic Obstructive Pulmonary Disease(COPD) and multiple back surgeries presented for endocrine evaluation for elevated serum hCG levels found incidentally during a preoperative evaluation for back surgery. She reported intermittent nausea and vomiting, similar to her morning sickness experienced when she was pregnant along with headaches and weight loss of 20 lbs over 4 years. She arrived at menopause 7 years prior to her current presentation and did not report irregular bleeding, visual disturbances or vasomotor symptoms of menopause since then. Physical exam revealed a BMI of 21 with chronic left lower extremity weakness. She denied using hCG supplements for weight management. She worked on a farm and handled animals for about 20 years. She also had detectable serum hCG 4 years ago which was not investigated further. Lab investigations revealed 6 separate measurements of persistently elevated quantitative hCG ranging from 15 to 20mIU/ml (normal: <10mIU/ml in menopause), indeterminate qualitative hCG assays and negative urine hCG tests over period of 10 months. Pelvic ultrasound showed normal uterus with 3mm endometrial stripe and no evidence of ovarian or uterine mass or free fluid in the cull de sac. Antibody interference by HAMA (human anti-mouse monoclonal antibody) was determined to be negative. Also, hCG was measured by two other different assays including Beckman DxI and Siemens Centaur platform were 26 mIU/ml and 18.6 mIU/ml respectively. With persistently elevated hCG on several occasions also verified through a different laboratory assay with no evidence of gestational trophoblastic disease pointed towards pituitary gland as the potential source. Enhanced MRI of the pituitary (Figure 1) showed a 3mm hypo enhancing focus concerning for pituitary adenoma. The complete endocrine work up revealed normal cortisol, thyroid function tests, prolactin, IGF-1, estradiol and elevated FSH of 146.6 mIU/ml (Menopause:23.0-116.3mIU/ml) and LH of 85.1 mIU/ml (Menopause: 10.0-54.7mIU/ml) consistent with menopause. Hormonal replacement therapy with 1 mg estradiol and 100 micrograms of micronized progesterone was initiated to potentially switch off the hCG secretion of pituitary origin, however patient could not tolerate it more than 3 days due to mood swings. She denied another trial. At ten months of follow up; she continues to have mild symptoms of nausea.

Figure 1 Enhanced MRI of the Pituitary showing a 3 mm Pituitary Adenoma.

Discussion

Elevated hCG levels in menopausal women leads to diagnostic challenges followed by costly investigations, increased patient anxiety and sometimes unnecessary treatment. There are many known causes of elevated hCG in a non-pregnant woman which includes gestational trophoblastic diseases such as hydatidiform moles, gestational trophoblastic neoplasia, and choriocarcinomas; gynecological malignancies like trophoblastic tumors and ovarian germ cell tumors. Elevated hCG has also been described as paraneoplastic syndrome in other nongynaecological malignancies including cancers of the bladder, kidney, prostate, GI-tract, breast, and lung.2 β-hCG producing lung tumor presenting with abdominal discomfort and vaginal bleeding, thus mimicking extra-uterine pregnancy in young female patient has also been reported.3 Moreover, false-positive results can be related to the assays used to detect hCG. Heterophile serum antibodies (eg., anti-mouse antibodies) can bind nonspecifically to antibodies used in the hCG assays, therefore, resulting in false-positive levels. Also, very high levels of β-hCG can supersaturate the antibodies in the assay and result in false low levels (hook effect). Different assays for measuring hCG also have significant heterogeneity in their ability to detect hCG variants.4 These scenarios were ruled out in our case.

Another potential cause of hCG production is the pituitary gland in peri- or postmenopausal women.1 The exact mechanism of hCG production in gonadotropic cells is unknown. The most likely explanation is the reduction of ovarian steroid hormone synthesis that releases the negative feedback control of gonadotropin-releasing hormone (GnRH). Under this overstimulation, the pituitary may secrete hCG.5,6 However hCG release from a pituitary adenoma as the sole endocrine disturbance has rarely been reported. It’s quite possible that elevated gonadotropins in the peri/post-menopausal state induce low levels of hCG production and this may be a normal physiologic process. However, it is rarely checked in menopausal woman except sometimes as a part of pre-operative evaluation like our case and other reported cases.1,7,8 Snyder et al.,9 reported that concentrations of hCG in non-pregnant women increase with age resulting in false-positive hCG elevations in non-pregnant peri- or postmenopausal group and has also suggested to increase the upper limits of normal of serum hCG for post-menopausal women to 14.0 IU/L. Furthermore, hCG has also been localized through immunostaining to the gonadotrophs of the pituitary glands in post-menopausal females.6-10 This confirms the pituitary source of hCG production. Suppression of pituitary hCG production with a minimum of 2 weeks of treatment with estrogen-progesterone hormone-replacement therapy was recommended in one case series of 28 patients.1 Outcome information was provided for 18 of the 28 patients (64%). In all 18 patients, hormone-replacement therapy suppressed the production of hCG to less than 2 mIU per milliliter. This observation further confirms the pituitary source of hCG.1 Elevated hCG levels have also been reported in pre and post-menopausal women with chronic kidney disease;8 however our patient although post-menopausal had normal kidney function. Mildly elevated hCG after menopause is well diagnosed with other reported cases in the literature.1-8 but concomitant nausea and vomiting has not been reported to the best of our knowledge. It is possible that even mild elevations in hCG can result in nausea and vomiting similar to morning sickness experienced during pregnancy. Further research should also aim to investigate the predictors of such symptoms in these cases and if there is a correlation with hCG levels. It is important for endocrinologists to be aware of this clinical entity and its appropriate management especially in menopause as this is classified as a “hormonal disturbance or pituitary disorder” and thus trigger referral from other providers.

Understanding this physiology will avoid unnecessary and costly interventions and treatments resulting from a misinterpreted diagnosis including possible gestational trophoblastic tumors.7 The presented case shows that there is often an incorrect assumption in the medical community that an elevated serum hCG implies that a patient is pregnant or has a trophoblastic disease. Ultimately this resulted in our case in unnecessary extensive testing and postponement of required surgery, which could have been easily avoided. Moreover, it becomes important to report such cases to estimate the true prevalence of this rare clinical entity.

Acknowledgments

We would like to thank our patient for being very cooperative during the entire work-up and for not missing her follow up appointments.

Conflicts of interest

The author declares there is no conflict of interest

References

  1. Cole LA, Sasaki Y, Muller CY. Normal production of human chorionic gonadotropin in menopause. N Engl J M. 2007;356(11):1184–1186.
  2. Berndt S, Blacher S, Munaut C, et al. Hyperglycosylated human chorionic gonadotropin stimulates angiogenesis through TGF-beta receptor activation. FASEB J. 2013;27(4):1309–1321.
  3. Sagaster P, Zojer N, Dekan G, et al. A paraneoplastic syndrome mimicking extrauterine pregnancy. Ann Oncol. 2002;13(1):170–172.
  4. Whittington J, Fantz CR, Gronowski AM, et al. the analytical specificity of human chorionic gonadotropin assays determined using WHO International Reference Reagents. Clin Chim Acta. 2010;411(1-2):81–85.
  5. Gronowski AM, Fantz CR, Parvin CA, et al. Use of serum FSH to identify perimenopausal women with pituitary hCG. Clin Chem. 2008;54(4):652–656.
  6. Matsuura S, Ohashi M, Chen HC, et al. Physicochemical and immunological characterization of an HCG-like substance from human pituitary glands. Nature. 1980;286(5774):740–741.
  7. Cole LA, Khanlian SA, Muller CY. Detection of perimenopause or postmenopause human chorionic gonadotropin: an unnecessary source of alarm. Am J Obstet Gynecol. 2008;198(3):e1–e7.
  8. Soni S, Menon MC, Bhaskaran M, et al. Elevated human chorionic gonadotropin levels in patients with chronic kidney disease: Case series and review of literature. Indian J Nephrol. 2013;23(6):424–427.
  9. Snyder JA, Haymond S, Parvin CA, et al. Diagnostic considerations in the measurement of human chorionic gonadotropin in aging women. Clin Chem. 2005;51(10):1830–1835.
  10. Suginami H, Kawaoi A. Immunohistochemical localization of a human chorionic gonadotropin-like substance in the human pituitary gland. J Clin Endocrinol Metab. 1982;55(6):1161–1166.
Creative Commons Attribution License

©2017 Kuhadiya, et al. This is an open access article distributed under the terms of the, which permits unrestricted use, distribution, and build upon your work non-commercially.