Submit manuscript...
eISSN: 2473-0815

Endocrinology & Metabolism International Journal

Case Report Volume 12 Issue 1

A case report: TSh-oma in patient with Down syndrome

Karam Bdour, Rania A, Al Asad, Abdallah A, Al Eyadeh, Nesreen el issa, Mu’taz alwadi, Suzan Eteiwi, Khaldon K, Al Sarihin, Mohammad al shorman, Ali A Alzu’bi, leen AlEyadeh

King hussein medical center, Jordan

Correspondence: Karam Bdour, King hussein medical center, Jordan

Received: January 19, 2024 | Published: January 29, 2024

Citation: Karam B, Rania A, Al-Asad, et al. A case report: TSh-oma in patient with Down syndrome. Endocrinol Metab Int J. 2024;12(1):13-16 DOI: 10.15406/emij.2024.12.00339

Download PDF

Abstract

Tsh-oma or Thyrotropinoma is a condition in which there is a pituitary adenoma that secretes TSH in an autonomous fashion, resulting in hyperthyroidism with its clinical aspects and complications. It is a very a rare condition comprising less than 0.1% of pituitary adenomas.

The diagnosis and evaluation of Tsh-oma are challenging, as the clinical manifestations and the biochemical profile resemble the thyroid hormone resistance syndromes. Therefore, a high index of suspicion is required.

Down syndrome is a chromosomal disease (trisomy 21) manifested in clinical, physical, and developmental impacts on affected persons. It is associated with thyroid autoimmune diseases and thyroid hypoplasia (congenital hypothyroidism) however, to our knowledge, there have been no described cases in the literature where Down syndrome was associated with a TSH-secreting pituitary adenoma. We hereby present a 34-year-old male known to have Down syndrome who was found to have a thyroid disorder (Tsh-oma) different from the known thyroid disorders linked to Down syndrome.

Keywords: tshoma, pituitary adenoma, thyrotoxicosis, Down syndrome

Introduction

TSH-secreting pituitary adenoma is an unusual cause of hyperthyroidism, characterized by high free thyroxine with inappropriately high TSH, as a result of the loss of negative feedback owing to the presence of autonomous pituitary adenoma.1

Diagnosing such a condition is quite challenging and requires a high index of suspicion, due to the similarity of the clinical and hormonal profile with thyroid resistance hormone syndromes. Both conditions have a high TSH level with a high free thyroxine level.

Pituitary adenomas and incidentalomas are encountered commonly in clinical practice, however, diagnosing TSH-secreting adenoma is infrequent. Tsh-omas exist in equal prevalence in men and women, in contrary to the female dominance in other thyroid diseases.

Down syndrome is linked to thyroid disorders, such as congenital hypothyrodism, Hashimoto's thyroiditis, and less commonly, Graves disease.2,3 We hereby present a middle-aged male known to have Down syndrome was discovered to have thyrotoixcosis due to a thyroid disorder (Tsh-oma) different from the known thyroid disorders linked to Down syndrome .

Case Presentation

Our patient, Mr. X, a 34-year-old male, was referred to an endocrine clinic (in King Hussain Medical Center) to assess his thyroid status. Upon evaluation, he was anxious and irritated, and his sister said he had some behavioral changes for the last few months. He was usually calm and friendly, she said he lost weight despite his increased appetite. His past medical history was significant for epilepsy and minor cardiac anomalies (atrial septal defect and atrioventricular canal). During examination, he had a small firm goiter with no bruit or thrill on palpation. He also had tremors of outstretched extremities, but no opthalmopathy which can be related to thyroid disorders, galactorrhea, or acromogelic features. His heart rate was 105, and his blood pressure was 127/80. His laboratory investigations showed a thyroid function test (tft) with elevated TSH level 17 (normal range: 0.34–5.6 μU/L) and elevated free thyroxine level 2.46 (normal range: 0.7-1.8 ng/dl). We ran the test again, and it revealed similar readings. Previous thyroid function tests were normal, so a thyrotoxic condition was considered. A beta-blocker was prescribed to the patient, and it had a dramatic effect on controlling his symptoms. Ultrasonography showed a mild goiter with hypervascularity, and the thyroid scintigraphy scan showed thyroid enlargement with hypervascularity (Figure 1), so a diagnosis of hyperthyroidism was confirmed. An auto-antibody panel was sent, and it came back negative. The sex hormone binding protein was a high normal 51.97 nmol/l (range 18.3–54.1), the alpha subunit wasn't done due to unavailability. Growth hormone and prolactin were normal. In addition, pituitary magnetic resonance imaging (MRI) (Figure 2), (Figure 3), (Figure 4) was done, and it showed a microadenoma of 9.9*8.4 mm dimensions with no pressure effect on the pituitary stalk and optic chiasm. He underwent visual perimetry and his visual fields were normal. As we suspected a TSH-secreting pituitary tumor, a somatoastain analogue was given to the patient for both diagnostic and therapeutic purposes.4–7 Tsh level showed significant suppression (15 to 5 normal range: 0.34–5.6 μU/L), four weeks following the somatostatin analogue injection. As surgery is the first-line treatment for Tsh-oma, his case was discussed with the neurosurgeons, and the patient was sent for surgery. Before surgery, his heart rate was controlled by beta blockers, and then he underwent transsphenoidal surgery by an expert neurosurgeon with no significant postoperative complications.8

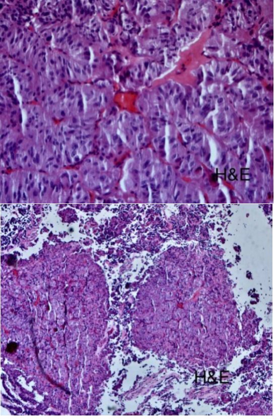
Histopathological staining proved the thyrotropinoma diagnosis (Figure 5) (Figure 6).9

Figure 1 Sagittal pituitary MRI.

Figure 2 Coronal pituitary MRI.

Figure 3 Technitium scan of the thyroid.

Figure 4 Hematoxylin and eosin stain.

Figure 5 Synaptophysin stain.

Figure 6 TSH stain.

The patient was followed closely for a few months postoperatively, and his TSH level dropped to 2 (normal range: 0.34–5.6 μU/L), free t4 was 0.9 (normal range: 0.7-1.8 ng/dl), and his heart rate was 76, so the beta blockers were stopped gradually. The rest of the anterior pituitary hormone levels were within normal, and subsequently, all of his symptoms have subsided.10 So an endocrinological remission was achieved.

Discussion

Thyrotoxicosis is commonly encountered in clinical practice. In patients who have an intact pituitary-thyroid axis, the TSH level is ideally suppressed as a result of the elevated free thyroxine level in circulation (negative feedback). The most common causes of thyrotoxicosis include Graves' disease, the thyrotoxic phase of thyroiditis, and rare cases of thyroid hormone secretion from ectopic tissue. In all these cases, the TSH level is typically low, as the primary pathology is the thyroid tissue. However, in cases in which both TSH and free thyroxine levels are high, the differential diagnosis tends to include TSH-oma versus thyroid hormone resistance syndrome.

SH-oma is a central hyperthyroidism that results from an autonomous pituitary lesion. Thyrotroph cells are less than 5% of all pituitary cells, which accounts for the rarity of thyrotropinomas.11

TSH-oma is diagnosed biochemically by high/normal Tsh with high ft4 and total T3 associated with an elevated sex hormone-binding globulin level and a high alpha-subunit/TSH molar ratio. In ~25% of cases, there is co-secretion of growth hormone and prolactin and other anterior pituitary hormones.12,13 The condition is characterized by a reduction in TSH level after somatostatin analogue administration, no response to anti-thyroid agents, and the presence of a pituitary adenoma. In contrast, patients with the syndrome of thyroid resistance hormone don't have significant signs and symptoms of thyrotoxicosis and show a blunted response to somatostatin analogues with a normal pituitary gland and normal sex hormone binding globulin level, and an unchanged alpha subunit level.4

In TSH-secreting pituitary adenoma, the mean duration from symptoms to diagnosis is the main concern, as early management leads to a higher rate of remission, but in most cases, diagnosis is delayed. The average time to diagnose tsh-oma is 2.5 years.13

The purpose of therapy includes the successful removal of the adenoma and the achievement of a normal thyroid state. Other treatment options include medical treatment with somatostatin analogues (SSAs) and in some cases, radiotherapy.

Here we highlight a link between thyrotropinoma and Down syndrome, which is associated with many thyroid disorders such as thyroiditis, hypothyroidism, and less frequently, autoimmune hyperthyroidism. To our knowledge, there are no cases in which tsh-oma was described in Down syndrome patients.

Our patient presented with tachycardia, weight loss, and behavioral changes, the workup revealed a high free thyroxine level with inappropriately high TSH. The challenge was whether it was thyroid hormone resistance syndrome or a TSH-secreting adenoma. The diagnosis between TSH-oma and thyroid hormone resistance syndrome can be difficult if the pituitary lesion is small. A proper assessment was done, which resulted in a diagnosis of a TSH-secreting pituitary tumor. Our patient was diagnosed almost six months following the onset of his symptoms, he had a microadenoma with no visual field defects.

The patient was prepared with a beta-blocker and somatoastain analogue,10,11 and then an adenomectomy via transphenoidal approach was done for him, which led to a complete cure and no permanent pituitary insufficiency.

Adenomectomy via the transsphenoidal approach for thyrotropinomas is the treatment of choice as the cure rate after surgery is considerably high and the risk of hypopituitarism is unlikely if the surgery is done at centers with high loads of pituitary surgeries.6,9

In one of the largest studies and probably the only national study by Lisa Önnestam et al,14 done in Sweden, 28 patients were diagnosed with Tsh-oma over a 20-years period (1990-2010), they presented with unidentified thyrotoxicosis, and all were diagnosed with TSH-secreting pituitary adenomas. The median age was 56.0 years, most of the patients were females (17 (60.7%) vs. males (11 (39.3%), the average time to diagnose them was 1.5 years, and 11 patients had microadenomas the remaining patients had macroadenomas and some of them had visual field defects and other pituitary hormonal deficiencies.15

Surgery was done in 22 cases (78.%). The other six person, 5 of them managed by somatostatin analogs as initial medical intervention (two of them achieved euthyroidism and three failed to achieve it), and the remaining patient received ratiotherapy and anti-thyroid medications, both of which resulted in the resolution of the patient's symptoms. The cure occurred in 72.7% of patients who underwent surgery. Those who failed with surgical treatment underwent radiotherapy as a next-line treatment. Postsurgical hypopituitarism occurred in eight patients.15

Early detection and successful pituitary adenomectomy by an experienced neurosurgeon can cure thyrotropinoma with the avoidance of long-term medical management.9

Conclusion

Down syndrome is associated with a variety of thyroid disorders; however, thyrotropinomas haven't been published before to our knowledge in Down syndrome patients. This is the first patient with Down syndrome who presented with thyrotoxicosis resulting from a TSH-secreting pituitary adenoma and was promptly diagnosed and successfully managed, which resulted in an excellent clinical outcome. Early management and diagnosis are crucial for such patients.

Acknowledgments

We declare that this case report has been investigated and managed solely in our institute, the patient and his first of kin approved on publishing his case and information and all subjects provided their informed consent for inclusion before they participated in the study.

Conflicts of interest

Authors declare that there is no conflict of interest exists.

Funding

None.

References

  1. Foppiani L, Monte P, Ruelle A, et al. TSHsecreting adenomas: Rare pituitary tumors with multifaceted clinical and biological features. Journal of endocrinological investigation. 2007;30:603–609.
  2. Amr NH. Thyroid disorders in subjects with down syndrome: An update. Acta Biomed. 2018;89(1):132–139.
  3. Prasher V. Down syndrome and thyroid disorders: A review. Down Syndrome Research and Practice. 1999;6(1):25–42.
  4. Rulai H, Liyun S, Jie Z, et al.Diagnosing thyrotropin-secreting pituitary adenomas by short-term somatostatin analogue test. Thyroid. 2020;30(9):1236–1244.
  5. Yu B, Zhang Z, Song H, et al. Clinical importance of somatostatin receptor 2 (SSTR2) and somatostatin receptor 5 (SSTR5) expression in thyrotropin-producing pituitary adenoma (TSHoma). Med Sci Monit. 2017;23:1947–1955.
  6. Wallace IR, Healy E, Cooke RS, et al. TSH-secreting pituitary adenoma: benefits of pre-operative octreotide. Endocrinology Diabetes & Metabolism Case Reports. 2015;2015:150007.
  7. Iglesias P. Long-term preoperative management of thyrotropin-secreting pituitary adenoma with octreotide. J Endocrinol Invest. 1998;21(11):775–778.
  8. Burkhardt T, Rotermund R, Sauer N, et al. Surgical treatment and outcome of TSH-producing pituitary adenoma. Endocrine Abstracts; 2016.
  9. Nakayama Y, Jinguji S, Kumakura S, et al. Thyroid-stimulating hormone (thyrotropin)-secretion pituitary adenoma in an 8-year-old boy: Case report. Pituitary. 2012;15(1):110–115.
  10. Kim SH, Ku CR, Na M, et al. Immediate postoperative measurement of thyroid-stimulating hormone as an early predictor of remission in thyroid-stimulating hormone–secreting pituitary adenomas. Journal of Neurosurgery. 2020:1–7.
  11. Fatemi N, Dusick J, Mattozo C, et al. Pituitary hormonal loss and recovery after transsphenoidal adenoma removal. Neurosurgery. 2008;63(4):709–718.
  12. Zhang CF, Liang DZ, Li Y. Eficacy of the long-acting octreotide formulation in patients with thyroid stimulating hormone-secreting pituitary adenom as after incomplete surgery and octreotide treatment failure. Chin Med J (Engl). 2012;125(15):2758–2763.
  13. Beck PL, Persani S, Mantovani D. et al. Thyrotropin-secreting pituitary adenomas. Metabolism. 1996;45:75–78.
  14. Lisa Ö, Katarina B, Pia B, et al. National incidence and prevalence of TSH-secreting pituitary adenomas in Sweden. The Journal of Clinical Endocrinology & Metabolism. 2013;98(2):626–635.
  15. Jee HY, Wonsuk C, Ji YP, et al. A challenging TSH/GH co-secreting pituitary adenoma with concomitant thyroid cancer; a case report and literature review. BMC Endocrine Disorders. 2021;21(1):177.
Creative Commons Attribution License

©2024 Karam, et al. This is an open access article distributed under the terms of the, which permits unrestricted use, distribution, and build upon your work non-commercially.