Submit manuscript...
eISSN: 2473-0815

Endocrinology & Metabolism International Journal

Case Report Special Issue Thyroid Research

Anaplastic thyroid carcinoma with tongue metastases as primary presentation

María De Lourdes Flores García, Olga Beltrán Rodriguez Cabo

Department of Otorhinolaryngology and Head and Neck Surgery, Instituto Nacional de Rehabilitación Luis Guillermo Ibarra Ibarra, Mexico City, Mexico

Correspondence: María De Lourdes Flores García MD, Department of Otorhinolaryngology and Head and Neck Surgery, Mexico, Instituto Nacional de Rehabilitación Luis Guillermo Ibarra Ibarra, Mexico City, Mexico, Tel +5255127120548

Received: May 18, 2017 | Published: November 15, 2018

Citation: García MDLF, Cabo OBR. Anaplastic thyroid carcinoma with tongue metastases as primary presentation. Endocrinol Metab Int J. 2018;6(6):398-399. DOI: 10.15406/emij.2018.06.00220

Download PDF

Abstract

Anaplastic thyroid carcinoma is one of the most aggressive neoplasms with the worst prognosis, systemic metastases occur in 75% of patients, but Lingual metastases are exceedinglyr are. Were port a 71 year old female presented with a white nodular painful mass on the left lateral side of the tongue, two weeks later a left node appeared on the second level of the neck. Computed tomography revealed a hypodense mass on the left side of the tongue, heterogenous lymph node on the second left level of the neck and a hypodense mass in the left lobe of the thyroid with calcifications. She was admitted for an incisional biopsy of the tongue tumor, and fine-needle aspirationcytology (FNAC) of the node and thyroid tumor. Histopathologic report was a primary anaplastic thyroid carcinoma with tongue and neck metastases. This case is a very unusual presentation of the usual behavior of anaplastic carcinoma.

Introduction

Anaplastic thyroid carcinoma is one of the most aggressive neoplasms with the worst prognosis, it has an average survival of 4-12 months from diagnosis. This carcinoma accounts for 1-2% of all thyroid cancers with a mean age of presentation between 55-65 years, with a female-to-male ratio of 3:1. Clinically, patients present with symptoms of a rapidly enlarging bulky neck mass with secondary symptoms of hoarseness, dysphagia and dyspnea. Extensive extra thyroidal extension is usually noted at time of surgery, complicating complete resection of the mass. Histologically, anaplastic thyroid carcinoma is characterized by pleomorphic cells with a spectrum of morphologies (spindle, giant cell, rhabdoid and squamoid), frequent mitotic figures including atypical forms, necrosis and vascular invasión.1 Systemic metastases occur in 75% of patients and occur most frequentlyin lung (80%), bone (6-15%) and brain (5-13%); less frequent metastases such as hepatic, cutaneous, gastrointestinal, and cardiac have been described in the literature. Lingual metastases from anaplastic thyroid carcinoma are exceedingly rare, with only one case reportin the international literature and no report for lingual metastases as a primary manifestation.2-9

Case report

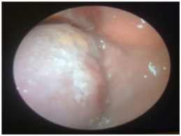
A 71 year old female patient with history of chronic smoking, type 2 diabetes mellitus and arterial hypertension, presented with a white nodular painful mass on the left lateral side of the tongue of one month of duration. She had been treated with mouth washes, antibiotics and antimycotics with no improvement. Two weeks later she noticed aslow-growing, non-painful tumoron the left side of the neck. Physical examination revealed limitation of the oral opening dueto pain and a very painful tumor on the Left part of the Tongue fixed to the floor of the mouth (Figure 1). On the neck an enlarged thyroid was palpated with predominance of the left lobe and a second level node of 3cm, indurated and fixed to the under lyingt issue. Three weeks after the primary evaluation, she presented with increased volume of the tongue tumor, involving submental region and both submandibular triangles with predominance of the left one. Computed tomography showed an hypodense tumor on the left side of the tongue, heterogenouse lymph node on the second left level of the neck and a hypodense mass in the left lobe of the thyroid with calcifications on the inside. She was admitted for an incisional biopsy of the tongue tumor, and fine-needle aspiration cytology (FNAC) of the node and thyroid tumor (Figure 2). Histopathologic report was a primary anaplastic thyroid carcinoma with tongue and neck metastases (Figure 3). The patient was sent to the National Cancer Institute of Mexico, where they only offered palliative care because she rejected any other therapeutic measures.

Figure 1 Left part of the tongue fixed to the floor of the mouth.
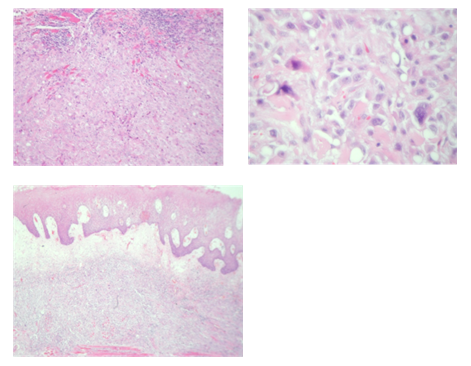
Figure 2 Histopathologic report of thyroid carcinoma with tongue and neck metastases.
Figure 3 Anaplistic thyroid carcinoma & lingual metastases of anaplastic thyroid carcinoma.

Discussion

Anaplastic carcinoma as a very aggressive behavior, that’s why it is very rare to debut as a primary manifestation with a distant metastasis. Pomorsky et al.9 reported that 2.7% of 975 patients with thyroid carcinoma presented as primary manifestation with nodular or distant metastasis, however none of them with anaplastic strain.9 Because of its aggressiveness, it is common to present distant metastases as a secondary manifestation; however, as mentioned above, the most frequent are lung, bone and brain; there are other sites of less frequent metastes described in the literature, however there’s only one reported as a lingual metástasis,8 so this would be the second report of anaplastic thyroid carcinoma metastasis to the tongue and the first one a a primary manisfestation.

Conclusion

This case is a very unusual presentation of the usual behavior of anaplastic carcinoma.

Acknowledgements

None.

Conflict of interest

The authors declare no conflicts of interest.

References

Creative Commons Attribution License

©2018 García, et al. This is an open access article distributed under the terms of the, which permits unrestricted use, distribution, and build upon your work non-commercially.