Submit manuscript...
eISSN: 2473-0815

Endocrinology & Metabolism International Journal

Case Report Volume 8 Issue 5

Brain Catastrophe presented with endocrine disruption

Saadi JS AlJadir

Ministry of Higher Education & Scientific Research, Iraq

Correspondence: Saadi JS AlJadir, Ministry of Higher Education & Scientific Research, PO Box 498, Nassiryia, Thi Qar, Iraq

Received: October 01, 2020 | Published: September 30, 2020

Citation: AlJadir SJS. Brain Catastrophe presented with endocrine disruption. Endocrinol Metab Int J. 2020;8(5):104-110. DOI: 10.15406/emij.2020.08.00289

Download PDF

Abstract

Pituitary Apoplexy (PA) is an acute critical endocrine condition that is infrequently encountered in daily medical practice. Its life-threatening condition that mandates prompt diagnosis and urgent treatment and may be neurosurgical intervention. Majority of cases are attributed to ischemic infarction or hemorrhage of the pituitary gland usually in the vicinity of pituitary adenoma, and in most cases could be the initial manifestation of these tumors! In reviewing the literatures there is conflicting evidence of which are the predominant, non-functional, or functional adenomas, some reports were showed that prolactin-secreting are at highest risk. There are recognizable risk factors that might precipitate this endocrine emergency like hypertension, medications, major surgery, head injury, radiation, or dynamic testing, but in majority of cases at presentation no identifiable risk factor could be detected. The typical clinical scenario includes persistent worsening headache, vomiting, and altered level of consciousness, visual defect or loss with extreme hormonal derangements which are shown by hemodynamic instability, adrenal crises with variable hormonal deficiencies.

Keywords: febrile, severe frontal headache, photophobia, blurring, hypertension, medication

Clinical presentation

  1. A 47-year-old Filipino sailor brought from the ship and had been referred from the port’s clinic! Oct. 27. 2011, 3 days from leaving his homeland.
  2. Detailed patient history was lacking.1,2

Clinical impression

Middle aged man, confused, febrile, severe frontal headache, photophobia, blurring (double vision or transient loss sometimes), neck pain with persistent vomiting

  1. Temp 39.3Celsius.
  2. BP 129/84 mm Hg(H/O Hypertension on no Medication), PR 98/m, RR 24/m
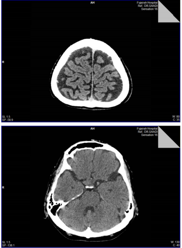
  3. Urgent CT of head was performed and reported as: An ill-defined soft tissue density lesion in the supra-sellar region with possible sellar extension, No intracranial hemorrhage, or edema, no midline shift.., MRI is recommended with contrast for better delineation of this lesion... (MRI was not feasible because of Patient’ clinical status!)
  4. Funduscopic examination was normal, both discs were clear, therefore CSF tapping was suggested.
  5. The patient had been managed initially in ICU as suspected Meningitis.3-6

CSF analysis

  1. The opening pressure(90-105mm H2O) was normal, fluid was clear, but somewhat yellowish and thick, paired samples were taken, for general examination and second for culture.7-9
  2. First fluid ‘sample showed: Proteins 129. 5mg/dL, Glucose 2. 4mmol/L(43. 2mg), Cl 111mmol/L,
  3. Total WBC 390 /cu. mm; Lymphocytes 55%, Polymorphs 45%.

Presumptive diagnosis of ? viral meningitis was suggested (ICU Diagnosis)

Clinical course:

  1. Patient was put on lateral position, but he suddenly complained of inability to see object clearly, Vital signs and Fundi checked; nochanges, therefore his status is considered as part of confusional state,
  2. He was managed (from the beginning) by Combinations Antibiotics, Anti-Viral medications, Fluids chart and necessary supportive measures.
  3. Next day referred to General Medical Ward to continue his management.

Lab. results

  1. Normal Blood Picture:WBC 5. 8 with normal differential count, ESR 32mm/h, CRP –ve;
  2. His initial electrolytes WNL(Na136, K 3. 9);
  3. Random Blood Glucose 7. 1mmol/L (127. 8 mg/dl), normal urea, creatinine and LFTs.
  4. Afebrile, BP 102/68 mm Hg, PR 98/m regular.

3 days later (weekend period)

  1. The patient has showed worsening of his consciousness, abdominalpains, frontal headache and hypotension, bizarre behavior (that continued for some time, and required some neuroleptics to put him under control!)
  2. CT Head & Sinuseswas taken and reported: there is no middle line shift, no edema or signs of inflammations, same previous findings...

Abnormal electrolytes

  1. Electrolytes: sudden drop to Na111mmol/L (136-146), K4. 3, Cl 79 (95-112),
  2. Normal Bicarbonate, urea, creatinine.
  3. Patient was given intravenous Dexamethasone, dextrose saline infusion… plus shot of 250mg hydrocortisone,
  4.  CSF culture result was received showed no microbes, so antibiotics and anti-viral stopped.
  5. MRI of head was arranged.10-20

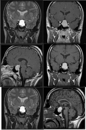
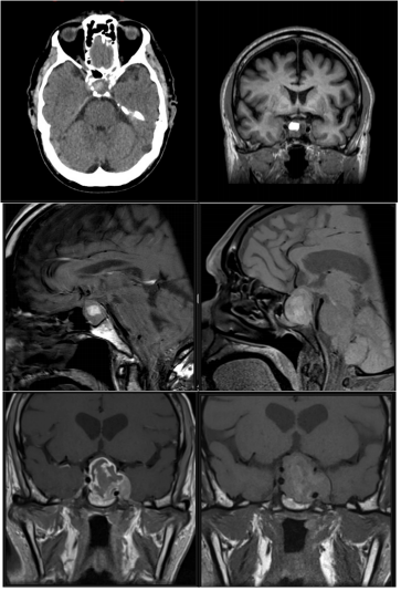
MRI of Head Nov. 01

  1. A large pituitary tumor measuring 26x22mm isointense with brain, showing suprasellar extension, it shows calcifications and peripheral enhancement.
  2. Brain, ventricles, & cisterns are normal, there is no shift of midline structures…
  3. Conclusion: Pituitary Adenoma with suprasellar Extension.

Follow up:

  1. On Confrontation showed typical bitemporal hemianopia with diagonal diplopia;
  2. Ophthalmologic referral was asked;
  3. Neurosurgical Consultation with tertiary center was arranged, and we discussed the option and timing; of decompression and intervention, Neurosurgeon preferred continuing conservative management.

Ophthalmology Report Nov. 03

  1. Confrontation showed Bitemporal Hemianopia;
  2. Normal Visual Acuity and Color Vision.
  3. Fundi : showed right eye minimal temporal pallor, no disc edema.
  4. Dilated Pupil on right eye, sluggishly reacting to light. 

Electrolytesestimations:

  1. Serum Na(mm/L) 111à119à121à 124 on serial estimations.
  2. On Nov. 09:Serum Na was 134 mmol(136-146);
  3. On the view of clinical status and course of patient‘s management, therefore we reached the Definitive Diagnosis?!
  4. But we required the imaging support!
  5. We reviewed all imaging with senior radiologists and the new conclusions that emerged had supported our Diagnosis.

Hormonal Profile Nov. 01

  1. FT3: 2.780 pmol/L (3.9-6.7);
  2. FT4:13.490 pmol/L (12-22);
  3. TSH: 0.028 µIU/ml (0.270-4.2);
  4. Serum Cortisol 11.390nmol/L (171-536M, 64-327E), Synacthen stimulation test was not done!
  5. LH, FSH& Testosterone are Low, Prolactinnormal!

Ophthalmology report on Nov. 10

  1. Bitemporal Hemianopia;
  2. Color Vision grossly disturbed;
  3. Bilateral temporal pallor;
  4. Conclusion: compression of optic nerve tracts with disturbance of optic nerve function….
  5. Neurosurgical consultation is advised…

Tumor & Optic Nerve(literature’sreview)

Courtesy of Juliette Siegfried (www. brain-surgery. com).

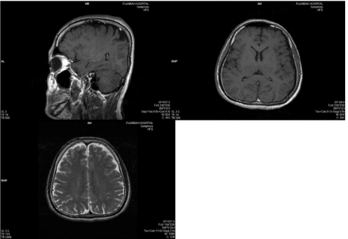
  1. Based on the detailed history given by Dr. AlJadir, both CT and MRI images of the pituitary were reviewed.
  2. CTHead showed a dense enlarged pituitary gland with a hyperdense area on its right side consistent with hemorrhage… 

Imaging 

A well-circumscribed mass is present within the expanded sellaturcica. This mass has suprasellar extension and demonstrates iso-intense signal on T1 weighted imaging, heterogeneous but predominantly low signal on T2 weighted imaging, and has predominantly peripheral enhancement, the lesion mildly bulges into the right cavernous sinus with no definite invasion. The optic chiasm is superiorly displaced by the mass and drapes over it. The lesion elevates anterior aspect of floor of the third ventricle without causing hydrocephalus. 

Pituitary apoplexy (literature brief review)

  1. Acute life-threatening hemorrhagic infarction of the anterior pituitaryoften associated with an infarcted pituitary adenoma or other tumor or rarely in non-tumorous pituitary like hypophysitis.
  2. Usually occurs in a tumor of the pituitary that had not been diagnosed previously in80% of cases as in our case.

Pituitary apoplexy

  1. Sudden headache
  2. Visual field defect
  3. Double vision (compression of cavernous sinus) diagonal in 3rdcranial nerve& horizontal in 6thcranial nerve
  4. Stroke like on Internal Carotid artery territory
  5. Hormonal insufficiency (adrenalCrisis)
  6. Meningismus(due to leaking blood to meninges) 

Incidence

  1. Because the disease presentation are variable and may simulate other unrelated disorder , therefore the precise number of cases can be difficult to estimate , some series said that incidence of PA in pituitary adenoma is estimated between 1% -26% , on clinical , surgical and histopathological evidences .
  2. 0. 6 – 9. 1% apoplexy in pituitary adenomas treated surgically
  3. 0. 6 – 25. 7% hemorrhage in pituitary adenomas treatedsurgically
  4. Age incidence: most of cases are occurred in individual in their 5th and 6th decades with mean age of 46. 7 years and showed slight male preponderance in most series (1. 3:1 , or some series 2:1 )
  5. We expect 18per million every year (based on extrapolation of existing data, but actual figure probably lower) 

Diagnosis

  1. MRI(far better than CT-Scan), blood tests, Hormonal deficiencies; some appear acutely and others may continue requiring replacements overtime.
  2. Surgical Compression is usually required.
  3. First case was recorded in 1898 by Pearce Baily, in 1950 Brougham and his colleagues recognized the syndrome in 5 patients and eventually coined the term pituitary apoplexy (PA). 

Acute symptoms

  1. Initial symptoms of PA related to increased pressure in &around pituitary gland.
  2. 95% sudden onset; headache behind the eyes or around the temples, often associated with nausea &vomiting.
  3. 24% meningitis like picture (neck rigidity, intolerance to bright light, disturbed level of consciousness)
  4. 60-75%Visual Field defect (Bitemporal Hemianopia).
  5. More than 50% Visual Acuity is reduced. 

Cavernous sinus compression

  1. 70% of patients experience diplopia.
  2. 50% Oculomotor nerve: diagonal double vision and dilated pupils.
  3. Trochlear 4thcranial nerve& Abducent 6thcranial nerve cause diagonal& horizontal.
  4. Carotid Artery; one-sided weakness & ischemic stroke like symptoms. 

Endocrine dysfunction: hypopituitarism

  1. 70% Lack of ACTH: adrenal Crisis.
  2. 40% Hyponatremia causes confusion, seizures, it is caused by low Cortisol or SIADH.
  3. Another hormonal deficiency might be in sub acute phase.
  4. 50% TSH deficiency; fatigue, weight gain, cold intolerance!! (patient asked for hot bottles)
  5. 70 % low FSH & LH 

Hormonal profile on Nov. 10 (patient name: S.D.)

  1. FT4: 11. 330pmol/L (12-22)
  2. FT3: 2. 630pmol/L (3.9-6.7)
  3. TSH: 0. 023µ IU/ml (0.270-4.2)
  4. Rx 50mcg thyroxin was initiated.
  5. Serum Cortisol 16. 750nmol/L stilllow (N: 171-536M).
  6. Dexamethasone was tapered and oral Hydrocortisone Acetate is initiated:
  7. 20 mg Morning& 10mg Evening.
  8. LH & FSH still low but better than before.
  9. Testosterone (free)<0.089nmol/L (9.9-27).
  10. Prolactin normal.

Etiology of pituitary apoplexy(literature’s review)

  1. Pituitary Adenoma; a benign tumor, in 80% patients previously unaware
  2. Small proportion of them go to apoplexy, no specific type related!
  3. Risk higher in tumor >10mm, tumor growing rapidly.
  4. Majority of case are not precipitated by a recognized cause.
  5. 25 % H/O of Hypertension (as our patient); a common problem
  6. Major Surgery (esp. CABG), anticoagulants, radiation therapy(gamma knife), traumatic brain injury, pregnancy, treatment of prolactinoma with Dopamine AMs or withdrawal, less with TRH, GnRH agonists. 

It is unclear why pituitary tumors are 5times amenable to bleed than other brain tumors, many

Mechanisms forrisks of infarction or hemorrhage had been postulated:

  1. Pituitary Gland normally derives blood supply from vessels passing through the hypothalamus, anterior pituitary derives 70-90 of its blood supply from portal system.
  2. Tumor develops a blood supply from the nearby inferior hypophyseal artery that generates a higher pressurereadily for risk of bleeding.
  3. Tumor may be more sensitive to fluctuations in blood pressure, and might be associated with structural abnormalities of vessels, rendering them vulnerable for bleeding.
  4. Infarction alone causes little than hemorrhage or hemorrhagic infarction… 

Outcome

  1. Large series mortality was 1.6-3%
  2. Surgical intervention mortality 1.9%
  3. No death for adequate treatment for those conservatively managed.
  4. After episode of PA 80% develop hypopituitarism; require some hormonal replacement
  5. Growth Hormone (>80%), ACTH (60-80%), TSH; thyroid hormone replacement in 50-60% of cases
  6. 60-80% Testosterone replacement
  7. 10-25% Diabetes Insipidus 

Differential diagnosis

  1. Sub-arachnoid hemorrhage (SAH) from aneurysmal rupture.
  2. Spontaneous hemorrhage from hypertension, amyloid angiopathy.
  3. Migraine
  4. Temporal arteritis
  5. Meningitis
  6. Diabetic oculomotor palsy
  7. Optic neuritis
  8. Cavernous sinus thrombosis 

Patient clinical course

  1. Patient complains of intermittent headache relieved partially by analgesics …
  2. Persistent visual field defect with some improvement in visual acuity & diplopia.
  3. Ambulant and communicates with some difficulty, but responds with clear answers
  4. We had managed to stabilize him to be readily fit for flight back home.

CT- head nov. 20

  1. The hyper density noted in the Pituitary Gland in the previous studies resolved completely, indicating that there is no fresh hemorrhage …
  2. Normal brain parenchyma and ventricular system, normal cerebral sulci and basal cistern…

On discharge:

  1. Hydrocortisone oral 20mg M & 10 mg E
  2. Thyroxin 50µg OD
  3. Perindopril 10 mg +indapamide 1. 5mg
  4. BP was reported 162/104 , on discharge 124/92
  5. Analgesics as required
  6. Final Clinical Diagnosis: Pituitary Apoplexy with Pituitary Adenoma
  7. A detailed clinical report was given, and neurosurgical intervention had been recommended in his homeland, Philippines.

Acknowledgments

  1. Dr. M. Haroun Dahniya FRCR, FWACS, DMRD, Freetown, Sierra Leone (formerly Consultant Radiologist, Fujairah Hospital)
  2. Dr. Yasar Sami Al Ali FRCR, DMRD, Consultant radiologist, Medway NHS F. T, UK
  3. Dr. Rasha H. Al Safah, DMRD, Babylon, IRAQ
  4. I appreciate their efforts for performing, reviewing, and sharing the discussion of clinical events of the case, the images and their sound conclusions.21-28

Conflicts of interest

None.

Funding

None.

References

  1. Nawar RN, Abdel-Mannan D, Selma WR, et al. Pituitary tumor apoplexy: A review. J Intensive Care Med. 2008;23:75–89. 
  2. Rolih CA, Ober KP. Pituitary apoplexy. Endocrin Metab Clin North Am. 1993;22:291–302. 
  3. Wakai S, Fukushima T, Teramoto A, et al. Pituitary apoplexy: Its incidence and clinical significance. J Neurosurg. 1981;55:187–193.
  4. Nielsen EH, Lindholm J, Bjerre P, et al. Frequent occurrence of pituitary apoplexy in patients with non-functioning pituitary adenoma. Clin Endocrinol (Oxf). 2006;64:319–322. 
  5. Findling JW, Tyrreell JB, Aron DC, et al. Silent pituitary apoplexy: Subclinical infarction of an adrenocorticotropin-producing adenoma. J Clin Endocrinol Metab. 1981;52:95–97. 
  6. Onesti ST, Wisniewski T, Post KD. Clinical versus subclinical pituitary apoplexy: Presentation, surgical management, and outcome in 21 patients. Neurosurgery. 1990;26:980–986. 
  7. Mohr G, Hardy J. Haemorrhage, necrosis and apoplexy in pituitary adenomas. Surg Neurol. 1982;18:181–189.
  8. Mohanty S, Tandon PN, Banerji AK, et al. Haemorrhage into pituitary adenomas. J Neurol Neurosurg Psychiatry. 1977;40:987–991.
  9. Biousse V, Newman NJ, Oyesiku NM. Precipitating factors in pituitary apoplexy. J Neurol Neurosurg Psychiatry. 2001;71:542–545.
  10. Ahmed M, Rifai A, Al-Jurf M, et al. Classical pituitary apoplexy presentation and a follow-up of 13 patients. Horm Res. 1989;31:125–132.
  11. Randeva HS, Schoebel J, Byrne J, et al. Classical pituitary apoplexy: Clinical features, management and outcome. Clin Endocrinol (Oxf). 1999;51:181–188.
  12.  Moller-Goede DL, Brandle M, Landau K, et al. Pituitary apoplexy: Re-evaluation of risk factors for bleeding into pituitaty adenomas and impact on outcome. Eur J Endocrinol. 2011;164:37–43. 
  13.  Chacko AG, Chacko G, Seshadri MS, et al. Haemorrhagic necrosis of pituitary adenomas. Neurol India. 2002;50:490–493. 
  14.  Chanson P, Lepeintre JF, Ducreux D. Management of pituitary apoplexy. Expert Opin Pharmacother. 2004;5:1287–1298.
  15. Milazzo S, Toussaint P, Proust F, et al. Ophthalmologic aspects of pituitary apoplexy. Eur J Ophthalmol. 1996;6:69–73. 
  16. Bjerre P, Lindholm J. Pituitary apoplexy with sterile meningitis. Acta Neurol Scand. 1986;74:304–307.
  17. Arlt W, Allolio B. Adrenal insufficiency. N Engl J Med. 1996;335:1206–1212.
  18. Flerko B. The hypophyseal portal circulation today. Neuroendocrinology. 1980;30:56–63.
  19. Cardoso ER, Peterson EW. Pituitary apoplexy: A review. Neurosurgery. 1984;14:363–373.
  20. Hirano A, Tamiyasu U, Zimmerman HM. The fine structure of blood vessels in chromophobe adenoma. Acta Neuropathol. 1972;22:200–207.
  21. Rovit RL, Fein JM. Pituitary apoplexy: A review and reappraisal. J Neurosurg. 1972;37:280–288.
  22. Semple PL, Jane JA Jr, Laws ER. Clinical relevance of precipitating factors in pituitary apoplexy. Neurosurgery. 2007;61:956–961.
  23. Arafah BM, Taylor HC, Salazar R, et al. Apoplexy of a pituitary adenoma after dynamic testing with gonadotropin releasing hormone. Am J Med. 1989;87:103–105.
  24. L’Huillier F, Combes C, Martin N, et al. MRI in the diagnosis    of so-called pituitary apoplexy: Seven cases. J Neuroradiol. 1989;16:221–237. 
  25. Murad-Kejbou S, Eggenberger E. Pituitary apoplexy: Evolution, management and prognosis. Curr Opin Ophthalmol. 2009;20:456–461.
  26.  Chokyu I, Touyuguchi N, Goto T, et al. Pituitary apoplexy   causing internal carotid artery occlusion: Case report. Neurol Med Chir (Tokyo). 2011;51:48–51.
  27.  Pelkonen R, Kuusisto A, Salmi J, et al. Pituitary function after pituitary apoplexy. Am J Med. 1978;65:773–778.
  28. Gruber A, Clatton J, Kumar S, et al. Pituitary apoplexy: Retrospective review of 30 patients: Is surgical intervention always necessary? Br J Neurosurg. 2006;20:379–385. 
Creative Commons Attribution License

©2020 AlJadir. This is an open access article distributed under the terms of the, which permits unrestricted use, distribution, and build upon your work non-commercially.