Submit manuscript...
eISSN: 2473-0815

Endocrinology & Metabolism International Journal

Clinical Images Volume 6 Issue 4

Dysphagia due to goiter with retrolaryngeal growth

Olaia Diaz Trastoy, Paula Sanchez Sobrino, Olaia Diaz Trastoy

Endocrinology and Nutrition, Spain

Correspondence: Paula Sanchez Sobrino, Endocrinology, Nutrition, Spain

Received: July 09, 2018 | Published: August 2, 2018

Citation: Diaz-Trastoy O, Sobrino PS, Iraeta AR. Dysphagia due to goiter with retrolaryngeal growth. Endocrinol Metab Int J. 2018;6(4):308. DOI: 10.15406/emij.2018.06.00194

Download PDF

Clinical images

A 77year-old woman is admitted to our hospital by general syndrome and dysphagia. Among her antecedents highlights a toxic multinodular goiter treated with low doses of metimazol. She referred having goiter from childhood, with progressive growth in the past six months in addition to upper dysphagia for liquids and solids. Moreover, she related asthenia and loss of weight without hyporexia. She denied having dyspnea nor dysphonia. On examination a slight increased in the size of thyroid with nodules is noticed (goiter grade Ib)

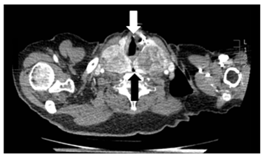
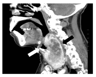
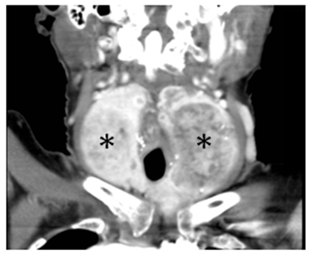
Laboratory testing reveals a TSH 1.14μU/mL (0,35-5,28). Chest radiography does not show tracheal deviation. Gastroscopy does not present esophageal alterations. Cervicothoracic CT shows a multinodular goiter with posteromedial spreading of both lobes that compress faryngoesophageal union and proximal esophagus (black arrows in Figures 1 and Figure 2). Also, larynx and trachea are displaced forward (white arrows in Figures 1 and Figure 3). Right thyroid lobe measures 5,2x4,9x7,8cm. Left thyroid lobe measures 5,7x4,9x8,8cm. Patient is dismissed for surgery due to high anesthetic risk. Currently, patient tolerates turmix diet and fluids with thickeners. Although isolated dysphagia is an uncommon symptom in compressive goiters, whose main manifestation is dyspnea, it is important to rule out an enlargement of the thyroid gland as a cause of dysphagia even in the absence of dyspnea, dysphonia or visible goiter.

Figure 1

Figure 2

Figure 3

Acknowledgements

None.

Conflict of interest

The author declares no conflict of interest.

Creative Commons Attribution License

©2018 Diaz-Trastoy, et al. This is an open access article distributed under the terms of the, which permits unrestricted use, distribution, and build upon your work non-commercially.