Submit manuscript...
eISSN: 2473-0815

Endocrinology & Metabolism International Journal

Proceeding Volume 2 Issue 2

Outcomes of trans-cervical surgical management of massive substernal thyroid goiters

Majid Al Thobaiti, Marc Camilon, Gabriel Calzada, Vincent Chen, Marc Davison, Peter Martin, Michael McNicoll, Young Oh, Noubar Ouzounian

Department of Head, Neck Surgery, Southern California Permanente Medical Group, USA

Correspondence: Magid Althbety, Department of Head, Neck Surgery, Southern California Permanente Medical Group, USA, Tel 00966554999047

Received: October 31, 2014 | Published: June 6, 2015

Citation: Thobaiti MAL, Camilon M, Calzada G, et al. Outcomes of trans-cervical surgical management of massive substernal thyroid goiters. Endocrinol Metab Int J. 2015;2(2):66-68. DOI: 10.15406/emij.2015.02.00014

Download PDF

Back ground

A Retrosternal goiter is defined in which at least 50% of the gland is located in the mediastinum as detected by computed tomography (CT) and operative findings. Although extirpation of the gland can be performed via a collar incision, the surgeon should be prepared for a thoracic approach especially in extensive mediastinal thyroid masses. There is no clear distinction for determining preoperatively which cases will require sternotomy versus open thoracic approach. The aim of this study is to analyze the outcomes of 9 patients with retrosternal goiter.

Methods

  1. Retrospective review between 2006 and 2011 (6 years)
  2. We present 9 cases of massive substernal thyroid goiters surgically treated.
  3. Chart review included: age, sex, diagnosis, extent of goiter, treatment, diseases status, survival (months), size (gm), complications, and blood lose (ml) (Table 1).
  4. Comparison with pre and post operative function: breathing, speech, and swallowing was made (Table 2).

Pt #

Survival (Months)

Age

Diagnosis

Stage

Left lobe (Grams)

Right lobe (Grams)

Total Wt (Grams)

Pathology

1

18

69

PTC, MG

T1N0

156

95

251

No parathyroid glands, lymph nodes - neg

2

10

44

PTC, MG

T3N1bM0

15

85

100

2 parathyroid glands on each side, LN - 17 +

3

10

52

MNG

Adenomatous thyroid

168.1

184.5

353

no parathyroid glands

4

26

70

MNG

Adenomatous thyroid

114

14

128

no parathyroid glands

5

66

59

MNG

Adenomatous thyroid

113

106

119

no parathyroid glands

6

63

43

MNG

Adenomatous thyroid

NA

NA

179

2 parathyroid glands, no lymph nodes

7

46

86

MNG

Adenomatous thyroid

68

81

147

No parathyroid glands

8

34

45

PTC, MG

T1N0

 

 

206

1 parathyroid gland

9

20

64

MNG

Adenomatous thyroid

32

137

169

No parathyroid glands

Table 1 Includes age, sex, diagnosis, extent of goiter, treatment, diseases status, survival (months), size (gm), complications, and blood lose (ml)

Pt #

Procedure

VC injury

Parathyroid gland function

Extent of dissection thyroid gland into mediastinum

EBL (ml)

1

Total thyroidectomy, upper mediastinal exploration and tumor resect, bilat neck explor

LVC paralysis

Calcium supplementation

Under arch of aorta

50

2

Total thyroidectomy, bilat neck dissection 2-4, central neck diss, mediastinal dissection

None

Calcium supplementation

under arch of aorta to right main stem bronchus

500

3

Total thyroidectomy, mediastinal dissection

LVC paresis

Calcium supplementation

Middle of arch of aorta

300

4

total thyroidectomy, mediastinal dissection

RVC paresis

Okay

Under arch of aorta

50

5

Total thyroidectomy, bilat neck dissection, mediastinal dissection

None

Okay

Middle of arch of aorta

300

6

Total thyroidectomy, mediastinal dissection

None

Calcium supplementation

Middle of arch of aorta

50

7

Total thyroidectomy, mediastinal dissection

None

Okay

Middle of arch of aorta

100

8

Total thyroidectomy, mediastinal dissection

none

Calcium supplementation

Middle of arch of aorta

100

9

Total thyroidectomy, mediastinal dissection

None

Calcium supplementation

Under arch of aorta

50

Table 2 Comparison with pre and post operative function: breathing, speech and swallowing was made

Results

  1. 9 patients: 2 males and 7 females which 6 had multi-nodular goiters and 3 had goiters with papillary thyroid carcinoma.
  2. Extent of the goiters- 4 cases extended under the aortic arch, 5 cases extended to mid-arch. All compressed the trachea to some extent.
  3. All surgically underwent total thyroidectomy and mediastinal dissection via trans-cervical approach (neck dissections in 3 cases) average gland size was 184 grams
  4. All patients still alive and cancer free at 26.3 months. All returned to normal breathing, speech, and swallowing.
  5. Complications: 1 cases of vocal cord paralysis, 2 cases of vocal cord paresis, 6 cases of long term calcium supplementation
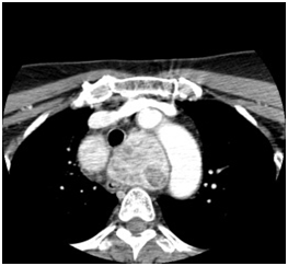
  6. A higher frequency of recurrent laryngeal nerve injury was noted in cancer cases due to tumor invasion (Figures 1-6)

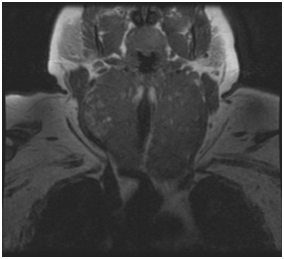
    Figure 1 MRI demonstrating goiter extending under aortic arch.

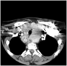
    Figure 2 Axial view of mediastinal goiter.

    Figure 3 Goiter extend below aortic arch to level of carina

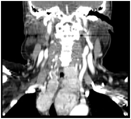
    Figure 4 Goiter extending under aortic arch (coronal view).

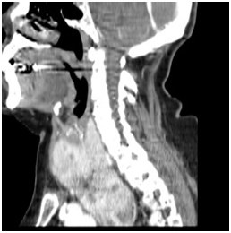
    Figure 5 Goiter extending under aortic arch (sagittal view).

    Figure 6 Bilateral goiter specimen.

Conclusion

Massive substernal goiters can be surgically removed via trans-cervical approach, thus avoiding sternotomy. Long term follow up patient needed for future study. Our hospital settings, although not large, is a good representation of potential outcomes in a non-university hospital.

Acknowledgments

None.

Conflict of interest

The author declares there is no conflict of interest.

Creative Commons Attribution License

©2015 Thobaiti, et al. This is an open access article distributed under the terms of the, which permits unrestricted use, distribution, and build upon your work non-commercially.