Submit manuscript...
eISSN: 2473-0815

Endocrinology & Metabolism International Journal

Case Report Volume 12 Issue 4

Primary pituitary lymphoma

Salem F Alshammari, Mohammed H Alqambar, Abdulaziz M Alwosaibei, Nazik A Alsaeed, Manal F Alshammari, Ghadeer F Bu Saeed

Department of Medicine, Endocrinology section, King Fahd Specialist Hospital, Saudi Arabia

Correspondence: Mohammed H Alqambar, Endocrinologist, King Fahad Specialist Hospital, Dammam 31444 PO Box 15215, Saudi Arabia, Tel + 966 13 8043333

Received: November 10, 2024 | Published: December 2, 2024

Citation: Alshammari SF, Alqambar MH, Alwosaibei AM, et al. Primary pituitary lymphoma. Endocrinol Metab Int J. 2024;12(4):127-129. DOI: 10.15406/emij.2024.12.00358

Download PDF

Abstract

Primary pituitary lymphoma (PPL) is an exceedingly rare clinical entity in immunocompetent individuals. It has several clinical features including hypopituitarism, headache, hemianopia, diplopia, and fever. Here we present a 57 year old woman who came to our clinic complaining of headache, nausea, vomiting, and blurred vision. Laboratory investigations revealed elevated prolactin level and panhypopituitarism. Moreover, pituitary enhanced magnetic resonance imaging (MRI) was performed, and it revealed 2.1 cm pituitary macroadenoma. The patient was started on cabergoline then present later with worsening of her symptoms, increase in the mass size, with optic chiasm compression. For which debulking surgery was performed, and histopathology showed a high-grade primary central nervous system (CNS) B-cell lymphoma. Bone Marrow Biopsy was done that was unremarkable which proved that it is a primary CNS lymphoma. PPL is a rare, emerging entity that can clinically mimic other pituitary conditions, posing diagnostic challenges. Pathological evaluation is essential, as PPL shares features with other sellar tumors. Early and accurate diagnosis of PPL is important to guide appropriate multimodal therapy. Further research is needed to improve understanding and management of this rare condition.

Keywords: primary pituitary lymphoma, central nervous system lymphoma, hypopituitarism, hyperprolactinemia, radiotherapy.

Introduction

Primary pituitary lymphoma (PPL) is an extremely rare clinical condition, with just about 40 cases reported in the literature of patients who are immunocompetent. Histologically, B cell origin is considered to be the most common type of primary central nervous system (CNS) lymphoma.1 Patients will present clinically with variety of manifestations including, hypopituitarism (including fatigue, muscle weakness, loss of libido, amenorrhea, thirst and polyuria), headache, hemianopia, diplopia, and fever.2 We provide a detailed clinical description and analysis of surgically removed PPL in a 57-year-old woman including clinical features, management, and outcomes. In addition to, discuss the relevant medical literature on this rare CNS tumor.

Case report

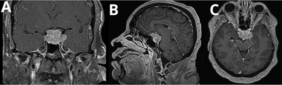
A 57-year-old postmenopausal woman with a medical history of diabetes mellitus, hypertension and dyslipidemia. Her surgical history is remarkable for hysterectomy for uterine fibroids 12 years ago. She presented to our hospital in early 2023 complaining of headache, nausea, vomiting, and blurred vision. Investigations was done and found elevated prolactin level of 2000 ng/mL (5.18-26.53 ng/mL) and MRI findings of a 2.1 cm expansive pituitary fossa with dural extension. Diagnosis of pituitary macroprolactinoma was made, and patient was started on cabergoline (0.5 mg orally once weekly). In addition, her laboratory results also showed panhypopituitarism (central hypothyroidism, secondary adrenal insufficiency, and hypogonadism), for which she was commenced on appropriate hormonal replacement therapy. By December 2023, the patient experienced worsening symptoms, including headaches, nausea, vomiting, and blurred vision in the left eye. Repeated MRI at this time revealed an increase in the pituitary mass size to 3.2 cm with optic chiasm compression (Figure1).

Figure 1 T1 post-contrast images in coronal (A), sagittal (B), and axial (C) views, demonstrating a sellar lesion with diffuse homogeneous enhancement pre-operatively.

This in turn prompted an endoscopic trans-sphenoidal debulking of the suprasellar lesion. A biopsy was taken, which confirmed a diagnosis of high-grade primary CNS B-cell lymphoma. Bone Marrow Biopsy was done that was unremarkable and showed variably cellular marrow with trilineage hematopoiesis; no morphologic or immunophenotypic evidence of bone marrow infiltration by lymphoma. Positron Emission Tomography-Computed Tomography (PET-CT) was unremarkable as well. Considering the rarity of the disease and the fact that the literature has included trimodality therapy in many instances, a multidisciplinary team meeting was held and based on their consensus the treatment was commenced with the R-CHOP regimen (Rituximab, Cyclophosphamide, Doxorubicin Hydrochloride, Vincristine and Prednisone) along with high-dose methotrexate, starting on December 24, 2023. Despite an infusion reaction to rituximab and transient acute kidney injury (AKI), she completed the first cycle. A second cycle followed in January 2024, complicated by severe AKI and methotrexate toxicity that revolved later on. An MRI in February 2024 showed an evidence of significant interval regression of the seller mass (from 3.2x1.7x3 cm to 2.4x 0.8 x 1.1 cm) at maximum mediolateral, craniocaudal and anteroposterior dimensions, respectively, but it was incomplete response. From February to May 2024, she received four doses of nivolumab, with mild side effects including dry skin and pruritus. A follow-up MRI in May 2024 indicated stable post-operative changes with no significant interval changes regarding size, signal, and morphology (Figure 2).

Figure 2 T1 post-contrast images in sagittal (A) and coronal (B) views, showing post-operative regression of the sellar mass.

Subsequently, she underwent whole brain radiation therapy (WBRT) and a pituitary boost from June to July 2024, totaling 45 Gy over 25 fractions, resulting in mild side effects such as fatigue and skin erythema. As for the last follow-up, the patient reports significant improvement in her headaches without vision deterioration or nausea, and the management plan includes ongoing MRI monitoring and to continue radiotherapy as planned. Upon follow up, as patient last seen in our clinic her symptoms (headache, nausea, vomiting, and blurred vision) has been improved and currently she is on levothyroxine 100 mcg daily and Prednisolone 7.5 for hypopituitarism and she is well replaced. Follow up MRI brain on October 15, 2024, shows suprasellar tumor resection with stable postoperative changes and residual tissue (2.4 x 1 x 1.7 cm), essentially unchanged (as pre-operative size was 3.2x1.7x3 cm).

Discussion

Primary pituitary tumors account for 15 % of intracranial tumors, pituitary adenomas represent the most frequent type of pituitary mass lesion accounting for up to 10–15% of intracranial neoplasms.3,4 However, when addressing abnormal intrasellar masses, various etiologies can be considered, including germ cell tumors, gliomas, meningiomas, metastatic tumors, vascular lesions, granulomatous conditions, as well as infectious and inflammatory processes.4

Among pituitary tumors, primary pituitary lymphoma (PPL) is an extremely rare clinical entity. It is defined as diffuse lymphoma which is confined to the sellar or parasellar regions with no signs of systemic involvement.1,3  While primary intracranial lymphoma is a rare disease, its incidence has been reported to be increasing globally in recent years.3 Primary CNS lymphoma (PCNSL) is a form of extranodal non-Hodgkin's lymphoma, which exclusively involves the brain, leptomeninges, spinal cord, or eyes, and typically remains confined to the CNS.5 It is a rare cancer which compromises about 4% of newly diagnosed CNS tumors and 4% to 6% of all extranodal lymphomas. Another rare central localization includes the pituitary gland. Even if these peculiar localizations are intracranial, they may not be considered as part of the CNS because of their different embryological origin.3 Histologically, similar to PCNSL, most of the cases were B cell origin compared to T cell or NK/T cell origin.1

The specific pathogenesis of PPL is still uncertain. PPL may arise from the neoplastic transformation of normal lymphocytes that enter the CNS during inflammatory processes or from the transformation of pre-existing normal lymphoid tissue within the CNS.3 It was proposed that polyclonal lymphocytic infiltrate could transform into a monoclonal population due to an infectious agent, such as Epstein–Barr virus (EBV) or another herpes virus, and this leads to malignant transformation.1,3,6 This is frequently seen positive in PCNSL cells in immunocompromised patients. However, the EBV positivity was not specified in most cases of PPL.1,3 Another suggested theory is lymphocytic hypophysitis or pituitary adenoma, although few cases support these theories.7 Furthermore, previous exposure to radiation or chemotherapy for prior brain tumors is an additional risk factor for PPL.3

PPL usually has atypical characteristics which makes it difficult to differentiate it from other pituitary tumors. Signs and symptoms tend to be consistent with locations of involvement and have been found to assist tumor localization.1,8 As a result of expanding intracranial masses, more than half of the patients experience symptoms such as headache, visual field defects, diplopia, blurred vision, and cranial nerve involvement. Regarding mass effect, hypopituitarism is a common finding in patients with PPL.9 Hypopituitarism caused by expanding pituitary masses typically progresses in a characteristic order, starting with reduced gonadotropin secretion, followed by deficiencies in growth hormone (GH), thyroid stimulating hormone (TSH), and adrenocorticotropic hormone (ACTH). However, this sequence of hormone deficiency can vary.4 Anterior hypopituitarism was present in the majority of the patients (70%), while more than one-third had diabetes insipidus which is associated with poor prognosis.1 According to the literature, hypopituitarism and headache were the most frequent presentations of PPL as it was seen in our patient, along with blurred vision in the left eye, nausea, and vomiting.

No distinct radiological features were observed in sellar and suprasellar lymphomas, making pathological analysis necessary for confirming the diagnosis and guiding treatment adjustments. PCNSL tumors are generally hyperdense on CT images, hypodense on T2-weighted MR images, and homogeneously enhancing after administration of contrast agent. However, high variability in MRI features is commonly encountered.8,9 PPL in MRI are mass lesions which are isointense or hypo intense on T1- and T2- weighted images. The lack of T2 hyperintensity can be attributed to dense cellularity and high nucleus-to-cytoplasm ratio of these tumors.10 Pituitary tumors exhibiting perineural spread, infiltrative growth, and rapid disease progression between successive examinations may indicate lymphoma, particularly in immunocompromised or elderly individuals.8 Histologically, a predominance of large B cell lymphoma in comparison to T cell lymphoma was found for PPL (ratio 5.5:1), similar to what is observed in PCNSL.3

Since there are very few PPL cases reported in the literature, PCNSL guidelines are followed in the treatment of this disease.3 Management usually is a combination of surgery, chemotherapy, and/or radiotherapy. The trans sphenoidal approach may be a viable surgical option given the specific location and bulk of the PPL lesion. However, surgical intervention appears to offer no clear benefits for the outcome of PCNSL, with its primary purpose being to establish a diagnosis through biopsy. Chemotherapy has been shown as an effective treatment for PCNSL. The therapeutic regimen includes high-dose chemotherapy based on methotrexate (HD-MTX) combined with rituximab and other cytostatic drugs that can penetrate the blood-brain barrier and is strongly recommended when the patient’s overall condition allows.1 Our patient's management plan included trimodality therapy in many instances. She received chemotherapy with high-dose methotrexate along with the R-CHOP regimen (Rituximab, Cyclophosphamide, Doxorubicin Hydrochloride, Vincristine, and Prednisone). She received 2 cycles and showed significant interval regression in the follow-up MRI. However, it was incomplete response. Afterward, the patient received four doses of nivolumab. The follow-up MRI indicated no significant interval changes. Finally, she underwent WBRT and a pituitary boost 45 Gy over 25 fractions. Our management plan showed significant improvement in our patient’s symptoms.

Comparing our case to a case of 74-years old male with concomitant primary pituitary lymphoma (diffuse large B-cell non-Hodgkin’s lymphoma) and FSH adenoma and underwent a surgery. He also completed 4 cycles of chemotherapy included R-CHOP and intrathecal methotrexate, administered over about 6 weeks, in addition to 6 days of granulocyte-colony stimulating factor (G-CSF) support. This patient has remission for over 32 months.11 Another case of 61-years old woman with diffuse large B-cell lymphoma, somatotroph hyperplasia who treated with 3 cycles of R-CHOP followed by 3600 cGy of stereotactic RT with 180 cGy for 20 fractions over 27 days. Radiological remission achieved eight months after the initial pathological diagnosis.12 Furthermore, a case of 37-years old male with large B-cell lymphoma was reported. This patient was treated with surgery, 6 cycles of CHT with the CHOP protocol, and radiotherapy. At 52 months’ follow up a minor, stable visual field defect and stable remnant of the tumor was identified.10 Lian Duan reported two cases of PPL that were treated exclusively with chemotherapy. In the first case, a combination of rituximab, MTX, and lenalidomide, along with intrathecal dexamethasone and cytarabine. This case showed an improvement in the headache and ptosis. The MRI showed a reduction in the mass size after two courses of chemotherapy.1 However, the second case had a poor outcome as there was an obvious enlargement of the sellar mass three months after diagnosis, and after eight months of diagnosis, the patient died.1 PPL is associated with a significantly worse prognosis compared to the pituitary involvement of systemic lymphoma. In immunocompetent patients, the overall mean survival rate is 14.4 months. While no substantial difference has been observed across the adjuvant treatment strategies, a combination of radiotherapy and chemotherapy has shown a slight advantage in extending the mean survival rate compared to using either modality alone.1

Conclusion

PPL is a rare emerging entity that can closely mimic other pituitary disorders, making diagnosis particularly challenging. Due to its clinical and radiological similarities with other sellar tumors, a high index of suspicion is necessary, and pathological analysis remains the gold standard for accurate diagnosis. Early and precise identification of PPL is essential to guide appropriate treatment, typically involving a combination of surgery, chemotherapy, and radiation therapy. Further research is needed to deepen our understanding of the pathophysiology, refine management strategies, and improve long-term outcomes for this rare condition.

Acknowledgments

None.

Conflicts of interest

The authors declare that there are no conflicts of interest.

References

  1. Duan L, Liu J, Zhang Y, et al. Primary pituitary lymphoma in immunocompetent patients: a report on two case studies and the review of literature. front endocrinol (lausanne). 2021;11:562850.
  2. Li Y, Zhang Y, Xu J, et al. Primary pituitary lymphoma in an immunocompetent patient: a rare clinical entity. J Neurol. 2012;259(2):297–305.
  3. Tarabay A, Cossu G, Berhouma M, et al. Primary pituitary lymphoma: an update of the literature. J Neurooncol. 2016;130(3):383–395.
  4. Giustina A, Gola M, Doga M, et al. Primary lymphoma of the pituitary: an emerging clinical entity. J Clin Endocrinol Metab. 2001;86(10):4567–4575.
  5. Grommes C, DeAngelis LM. Primary cns lymphoma. J Clin Oncol. 2017;35(21):2410–2418.
  6. Moshkin O, Muller P, Scheithauer BW, et al. Primary Pituitary Lymphoma: A Histological, Immunohistochemical, and Ultrastructural Study with Literature Review. Endocrine Pathology. 2009;20(1):46–49.
  7. Özbaş B, Canöz Ö, Güven Z, et al. Pituitary Gland as a Rare Primary Localization of Lymphoma. Turk J Endocrinol Metab. 2022;26(1):55–60.
  8. Pejavar S, Haas-Kogan DA. Pediatric CNS Tumors. Springer, 2017.
  9. Caputo M, Prencipe N, Bisceglia A, et al. Primary pituitary lymphoma as rare cause of a pituitary mass and hypopituitarism in adulthood. Endocr Pract. 2020;26(11):1337–1350.
  10. Rudnik A, Larysz D, Blamek S, et al. Case report primary pituitary lymphoma. Folia Neuropathologica. 2007;45(3):144–148.
  11. Ban VS, Chaudhary BR, Allinson K, et al. Concomitant primary cns lymphoma and fsh-pituitary adenoma arising within the sella. entirely coincidental?. Neurosurgery. 2017;80(1):170–175.
  12. Ravindra VM, Raheja A, Corn H, et al. Primary pituitary diffuse large B-cell lymphoma with somatotroph hyperplasia and acromegaly: case report. Journal of Neurosurgery. 2017;126(5):1725–1730.
Creative Commons Attribution License

©2024 Alshammari, et al. This is an open access article distributed under the terms of the, which permits unrestricted use, distribution, and build upon your work non-commercially.