Submit manuscript...
eISSN: 2473-0815

Endocrinology & Metabolism International Journal

Case Report Volume 12 Issue 3

Spindle cell neoplasia in ovaries

Luisa de Oliveira e Silva , Ana Carolina Dala Riva, Bruna Mariah Martins Batista Lopes, Gabriel Canhete Machado, Gláucia Alves de Carvalho, Liana Messia Castro Costa, Daniella Cardoso Crocetta, Manuela da Silva Sposito, Carolina de Oliveira Castro, Juliana Vinadé Portela, Dorval Braga Hochmuller, Marilia Lagranha Tramunt

Medical Student - Federal University of Pelotas, Faculty of Medicine, Department of Clinical Medicine, Brazil

Correspondence: Gabriel Canhete Machado, Medical Student, Federal University of Pelotas, Faculty of Medicine, Department of Clinical Medicine, Pelotas, Rio Grande do Sul, Brazil

Received: July 29, 2024 | Published: August 29, 2024

Citation: Machado GA, Silva LDO, Riva ACD, et al. Spindle cell neoplasia in ovaries. Endocrinol Metab Int J. 2024;12(3):80‒81. DOI: 10.15406/emij.2024.12.00352

Download PDF

Abstract

This case report describes a rare instance of spindle cell neoplasia in the ovaries of a 40-year-old female patient with a history of chronic pelvic pain. The patient presented with bilateral ovarian masses, identified via magnetic resonance imaging and transvaginal ultrasound, which were highly suggestive of malignancy (O-RADS 5). Histological analysis post-videolaparoscopy confirmed spindle cell neoplasia with moderate atypia and a low mitotic index, favoring a diagnosis of high-grade sarcoma in both ovaries. The patient underwent a type 1 hysterectomy, bilateral oophorectomy, and omentectomy, leading to significant postoperative pain relief. Due to the aggressive nature of the tumor, ongoing oncological follow-up was recommended. This report highlights the rarity of spindle cell tumors in the ovaries and underscores the importance of radical surgery combined with adjuvant therapies to manage the potential for recurrence and metastasis.

Keywords: ovarian spindle cell neoplasia, high-grade ovarian sarcoma,chronic pelvic pain linked to ovarian tumors; rare and malignant spindle cell tumors in the ovaries

Introduction

Ovarian cancer is one of the most lethal gynecological malignancies, characterized by significant histopathological diversity. The majority of ovarian tumors about 95% originate from epithelial cells, which can give rise to various cancer types, including serous, endometrioid, and clear cell carcinomas.1 However, less common tumors, such as those derived from stromal cells, also present important clinical challenges.2

Spindle cell tumors, a rare form of stromal neoplasms, are particularly noteworthy due to their spindle-shaped cells and potential for aggressive behavior. These tumors can resemble other malignancies, complicating diagnosis, and are often associated with high cellular atypia and mitotic activity.3,4 Despite their rarity, they can exhibit significant malignant potential, with risks of invasion and metastasis, underscoring the need for prompt and decisive surgical intervention.5

The literature on ovarian spindle cell neoplasms is limited, with few case reports detailing their clinical behavior and prognosis.6 Nonetheless, extensive surgical resection combined with adjuvant therapies is generally recommended to reduce the risk of recurrence.7,8

This report describes a rare case of bilateral ovarian spindle cell neoplasia in a 40-year-old patient, emphasizing the importance of thorough evaluation and surgical management in such cases. This case adds to the scarce literature on this tumor type, highlighting the need for further research to improve understanding and treatment.

Case report

A 40-year-old female patient, with a history of smoking, multiple cesarean sections, and tubal ligation, presented to a gynecological clinic with a complaint of chronic pelvic pain that had persisted for six years and was recently exacerbated by dyspareunia. On physical examination, a palpable mass was detected in the hypochondrium and mesogastrium, characterized by poorly defined margins. Transvaginal ultrasound imaging revealed an amorphous, irregular mass in the cul-de-sac. Subsequent magnetic resonance imaging (MRI) identified highly suspicious bilateral ovarian masses consistent with neoplasia, classified as O-RADS 5, indicating a high probability of malignancy.

To further investigate, a videolaparoscopy was performed to biopsy the abdominal mass. Histological analysis of the biopsy specimens revealed spindle cell neoplasia with a low mitotic index, suggesting a relatively indolent tumor despite its concerning appearance (Figure 1). Based on these findings, a decision was made to proceed with a type 1 hysterectomy, which included bilateral oophorectomy and omentectomy to achieve complete resection of the tumor.

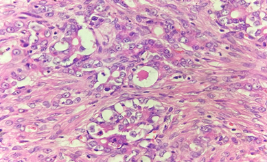
Figure 1 Spindle cell neoplasia with a low mitotic index.

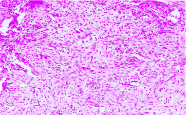
The final anatomopathological examination of the surgical specimens confirmed the presence of spindle cell neoplasia (Figure 2) with moderate cellular atypia, supporting a diagnosis of high-grade sarcoma affecting both ovaries. Additionally, an intramural leiomyoma was identified in the uterine body. Postoperatively, the patient reported substantial relief from her previous pain. However, given the aggressive nature of the tumor, she was discharged with a comprehensive outpatient follow-up plan to continue with oncological therapies and ongoing surveillance.

Figure 2 Spindle cell neoplasia with moderate cellular atypia.

Discussion

Spindle cell neoplasms of the ovary are rare and present unique diagnostic and management challenges. These tumors, characterized by their spindle-shaped cells, are less common compared to the more frequently encountered epithelial ovarian cancers. Their rarity and histological similarity to other malignancies can make diagnosis particularly challenging. Spindle cell tumors may present as sarcomas or sarcomatoid variants, often exhibiting aggressive behavior with potential for high malignancy, local invasion, and distant metastasis.5

In our case, the patient presented with chronic pelvic pain and dyspareunia, symptoms that are nonspecific and can overlap with various gynecological conditions. The imaging findings, including an amorphous mass on transvaginal ultrasound and highly suspicious bilateral ovarian masses on MRI, were critical in guiding the diagnosis. The O-RADS 5 classification indicated a high likelihood of malignancy, which was confirmed by histological examination.7

The presence of spindle cells with a low mitotic index initially suggested a less aggressive tumor; however, the moderate atypia and high-grade sarcoma identified in the final anatomopathological study underscored the tumor's potential for aggressive behavior.3

Management of spindle cell neoplasms typically involves radical surgical intervention due to the risk of recurrence and metastasis. Our patient underwent a type 1 hysterectomy with bilateral oophorectomy and omentectomy, which is consistent with current recommendations for similar tumors.8

The postoperative relief from pain was significant, yet the patient’s treatment plan included ongoing outpatient follow-up and oncological therapies, reflecting the need for continuous surveillance given the tumor’s aggressive nature.6

The limited literature on ovarian spindle cell tumors highlights the need for further research to improve understanding and treatment. Studies focusing on the clinical outcomes, molecular characteristics, and optimal therapeutic strategies for these rare tumors are essential to enhance patient management and prognosis.4

Future research should aim to refine diagnostic criteria and treatment protocols, incorporating both clinical and molecular data to better address the challenges posed by these uncommon ovarian neoplasms.1

Conclusion

Spindle cell tumors of the ovary, while rare, pose significant challenges due to their potential for aggressive behavior and diagnostic complexity. This case demonstrates the importance of thorough imaging and histopathological assessment for accurate diagnosis. Radical surgical treatment combined with adjuvant therapies was effective in managing the tumor and alleviating symptoms, though continued follow-up is crucial due to the tumor’s aggressive nature. This case highlights the need for ongoing research to improve understanding and management of ovarian spindle cell neoplasms.

Acknowledgments

None.

Conflicts of interest

The authors declare there are no conflicts of interest.

Funding

None.

References

Creative Commons Attribution License

©2024 Machado, et al. This is an open access article distributed under the terms of the, which permits unrestricted use, distribution, and build upon your work non-commercially.