Case Report Volume 12 Issue 2
1 Endocrinology and Sports Medicine, Myolab, Sao Paulo, Brazil
2 Medical Student at Faculdade Israelita de Ciências Albert Einstein, Sao Paulo, Brazil
Correspondence: Ronaldo Arkader, Endocrinology and Sports Medicine Myolab, Rua Indiana 358, ZIP 04562000, Sao Paulo, Brazil , Tel 5511981423090
Received: May 28, 2024 | Published: June 12, 2024
Citation: Arkader R, Arkader BZ. Teriparatide in athlete stress fracture healing: a case report and review of literature.Endocrinol Metab Int J. 2024;12(2):43-45 DOI: 10.15406/emij.2024.12.00345
Teriparatide, a recombinant human parathyroid hormone (rhPTH), is primarily used to treat osteoporosis but is also being investigated for its potential to accelerate fracture healing in athletes. This review examines the current evidence supporting Teriparatide's efficacy in treating stress fractures in athletes. The first reported use of Teriparatide in this context was documented in a 2015 case series, where five athletes with metatarsal stress fractures experienced significant pain reduction and increased bone mineral density after six weeks of treatment. Subsequent studies, including a series involving metatarsal fractures and a randomized controlled trial with tibial fractures, have shown similar benefits, including decreased fracture size and enhanced bone density. However, despite these promising results, there is a need for more extensive research, particularly large, randomized controlled trials, to confirm these findings. A case report of a 43-year-old marathon runner demonstrated complete fracture healing and return to activity after four months of Teriparatide treatment. In conclusion, Teriparatide shows potential as a treatment to accelerate fracture healing in athletes, but further research is necessary to establish its efficacy and safety fully. Athletes considering this treatment should consult with their healthcare providers to understand the risks and benefits.
Keywords: Teriparatide, recombinant human parathyroid hormone, stress fractures, athletes, fracture healing, sports medicine, tibial fractures
Stress fractures are common injuries among athletes, resulting from repetitive mechanical loading that exceeds the bone's ability to repair itself. These fractures can lead to significant pain and prolonged downtime from training and competition. Traditional treatment approaches include rest, reduced weight- bearing, and physical therapy. However, the healing process can be slow, prompting the need for more effective treatments.1
Teriparatide, a recombinant form of human parathyroid hormone (rhPTH), is well- established in the treatment of osteoporosis due to its anabolic effects on bone formation. It stimulates osteoblast activity, enhancing bone remodeling and increasing bone mineral density (BMD).2
Given its mechanism of action, Teriparatide has been explored for its potential to accelerate fracture healing in various contexts, including in athletes with stress fractures. The first description of Teriparatide's use in athletes to treat fractures was in a case report published in the Journal of Orthopedic & Sports Physical Therapy in 2015. The report described five athletes with metatarsal stress fractures treated with Teriparatide, all of whom experienced significant reductions in pain and increases in BMD at the fracture site after six weeks of treatment.3
This initial report spurred interest in further investigating Teriparatide's efficacy in this population. Subsequent studies have supported these findings. For instance, a randomized controlled trial involving ten athletes with tibial stress fractures found that Teriparatide treatment led to a significant increase in BMD and a reduction in fracture size after twelve weeks of treatment.4
Another study highlighted Teriparatide's role in reducing healing time and improving clinical outcomes in athletes with various types of stress fractures.5
Furthermore, a systematic review and meta-analysis concluded that Teriparatide could enhance fracture healing in athletes by promoting faster union and improving BMD, although it emphasized the need for more large-scale randomized controlled trials to confirm these benefits.
This review analyzed multiple studies, reinforcing the potential of Teriparatide as an adjunctive therapy in managing stress fractures. Research into the molecular mechanisms underlying Teriparatide's effects has also provided valuable insights.
Studies have shown that Teriparatide not only increases osteoblast activity but also enhances angiogenesis and reduces apoptosis in osteocytes, creating a more favorable environment for bone repair. These effects are particularly beneficial in stress fractures, where increased bone turnover and remodeling are critical for healing.
However, while the current evidence is promising, there are still gaps in the research. Large-scale randomized controlled trials are necessary to establish standardized protocols for Teriparatide use in athletes and to better understand its long-term safety and efficacy.2
Moreover, understanding the optimal dosing regimens and duration of treatment remains a priority for future studies. In summary, Teriparatide has shown considerable promise in enhancing the healing of stress fractures in athletes.1
Its ability to increase BMD and accelerate bone remodeling makes it a valuable tool in sports medicine. However, further research is essential to fully establish its role and ensure safe and effective use in this population.
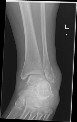
A 43-year-old female marathon runner presented with a stress fracture in the distal region of the fibula. She had been experiencing pain in her ankle for several weeks, and the pain had worsened recently. She was unable to run or walk without pain. The patient did not have any underlying osteometabolic pathologies and used an intrauterine device for contraception. She also underwent regular nutritional monitoring and maintained an adequate sleep schedule, which is crucial for bone health and overall recovery. X-rays and MRI confirmed the presence of a stress fracture.
The MRI showed significant edema and a clear fracture line in the distal fibula. Initially, she was placed in a walking boot and instructed to rest her leg, reducing weight-bearing activities to allow the bone to heal. After four weeks of rest, her pain had improved, but the fracture was not yet fully healed, as indicated by follow-up imaging. Given her active lifestyle and the need for a quicker recovery, the patient was started on teriparatide 20 mcg daily.
This decision was based on evidence suggesting that teriparatide can accelerate fracture healing by stimulating osteoblast activity and enhancing bone remodeling. Over the course of the treatment, the patient continued her nutritional monitoring, ensuring adequate intake of calcium and vitamin D to support bone health. After four months of teriparatide treatment, follow-up imaging showed complete consolidation of the fracture.
The patient reported significant pain reduction and was able to gradually return to her running routine under the guidance of her healthcare team. Physical therapy was also incorporated to strengthen the surrounding muscles and prevent future injuries. Throughout the treatment, the patient's progress was closely monitored, and she experienced no adverse effects from the teriparatide therapy.
Her recovery was marked by a steady improvement in pain levels and functional outcomes, allowing her to resume her athletic activities with confidence. (Figure 1,2)
Teriparatide shows considerable promise in enhancing the healing of stress fractures in athletes, potentially reducing recovery time and improving functional outcomes. Its anabolic effects on bone remodeling and osteoblast stimulation are particularly beneficial in accelerating the healing process, making it a valuable therapeutic option for athletes who require rapid recovery to return to their high-demand physical activities.
While the safety profile of Teriparatide is generally acceptable, with common side effects including mild nausea and dizziness, further research is necessary to fully establish its efficacy and long- term safety in this population. The long-term effects of Teriparatide use, particularly in younger and otherwise healthy athletic populations, need to be thoroughly investigated to ensure that the benefits outweigh any potential risks. Teriparatide could represent a significant advancement in the management of athlete stress fractures, contributing to quicker and more reliable recoveries.
The potential to reduce downtime and enhance functional recovery could have a profound impact on an athlete's career longevity and performance. Additionally, understanding the optimal dosing regimens and duration of treatment is crucial for maximizing the benefits while minimizing any risks associated with its use.
However, more research is needed to confirm its effectiveness through large-scale, randomized controlled trials. These studies should focus on diverse athletic populations and various types of stress fractures to provide comprehensive guidelines for clinical practice. Furthermore, integrating Teriparatide therapy with other treatment modalities, such as physical therapy and nutritional support, may offer a holistic approach to fracture management Athletes who are considering Teriparatide treatment should engage in thorough discussions with their healthcare providers to understand the potential risks and benefits. Shared decision- makingisessentialtoensurethatthetreatmentplanalignswiththeathlete'shealthgoals,trainingschedule,andoverallwell-being.
As research progresses, it is hoped that Teriparatide will become a standard part of the therapeutic arsenal for managing stress fractures in athletes, contributing to their swift and safe return to peak performance.
None.
The authors declare there are no conflicts of interest.
Research project was partially or fully sponsored by Ronaldo Arkader.
©2024 Arkader, et al. This is an open access article distributed under the terms of the, which permits unrestricted use, distribution, and build upon your work non-commercially.