Submit manuscript...
eISSN: 2469-2794

Forensic Research & Criminology International Journal

Research Article Volume 3 Issue 2

Can gonial measurements predict gender? a prospective analysis using digital panoramic radiographs

Saikiran CH,1 Ramaswamy P,2 Santosh N,2 Sudhakar S,2 Smitha B,2 Satish A2

1Department of Oral Medicine and Radiology, G.S.L Dental college and hospital, India
2Department of Oral Medicine and Radiology, St. Joseph Dental College, India

Correspondence: Saikiran CH, Department of Oral Medicine and Radiology, G.S.L dental college and hospital, Rajahmundry, India, Tel 91 9491113193

Received: July 27, 2016 | Published: December 9, 2016

Citation: Saikiran CH, Ramaswamy P, Santosh N, et al. Can Gonial measurements predict gender? a prospective analysis using digital panoramic radiographs. Forensic Res Criminol Int J. 2016;3(2):287-290. DOI: 10.15406/frcij.2016.03.00089

Download PDF

Abstract

Objective: The objective of the study was to evaluate the possible influence of Gonial measurements on sex determination.

Materials and methods: The present study consists of 188 subjects (94 males and 94 females) between 15 to 65 years of age. Suitable radiographs with visible gonial region were included in the study. GA and GI were measured according to the methods proposed by Bras & Mattila et al.1,2 respectively. The measurements obtained were tabulated in excel sheet and subjected to statistical analysis.

Results: The mean GI was significantly higher in males (1.56 ± 0.31 mm) when compared to females (1.42 ± 0.34 mm). Hence the present sample was subjected to discriminant analysis with gender as a grouping variable, GI and GA as independent variables. Based on Wilk’s lambda values Gonial index (GI) was observed to provide better sex determination when compared to Gonial angle (GA). Hence 2 different discriminant equations were obtained, one using GI alone and another one using both GI and GA.

Conclusion: The present study confirmed significant sexual dimorphism in the values of Gonial index. Males were observed to have higher GI when compared to females.

Keywords: gonial angle, gonial index, mandible, sex determination, panoramic radiographs

Introduction

The term “Gonion” is derived from the Greek word “ywvtx”, i.e. angle.3 It is a point in the extreme posterior portion of the inferior most region of mandibular angle.4 Gonial angle (GA) is the angle between an imaginary tangential line along the inferior border of mandible and another tangent along the posterior border of ramus of mandible.5 Gonial index (GI) is a term proposed by Bras et al.,1 which refers to the thickness of inferior cortical border of the mandible in the region of GA.1 GA is an easily identified radiographic landmark. Mattila et al.2 proposed that gonial angle can be easily measured in panoramic radiographs, with the same degree of accuracy as that of lateral cephalograms.1 Further the major disadvantage of superimposition of both the sides of mandible in lateral cephalograms, made panoramic radiographs, more precise tool for measuring GA. The muscles of mastication have strong influence on these gonial angles. Ingervall et al.6 proposed that edentulous subjects have strong masseter and anterior temporal muscle fibres, which result in small gonial angles.6 Males tend to have strong musculature when compared to females.7 GI is a well-known indicator of bone loss.1 It is a well-known fact that the incidence of osteoporosis is higher in women when compared to men.8 These basic differences in the muscle architecture and bone mass index can play crucial role in sex determination. The changes in GA were well established in dentulous and edentulous. But very few studies in the literature actually described the influence of gender on GA and GI. Hence the present study was conducted to evaluate the possible influence of sex on GA and GI, with an objective of deriving an equation for sex determination using GA and GI.

Materials and methods

The present study consists of 188 subjects (94 males and 94 females) between 15 to 65 years of age, who were advised for Orthopantamograph (OPG) from various treatment purposes. The institutional ethical clearance was obtained prior to the conduct of study. The patient’s demographic details, along with informed consent were taken at the time of examination. Patients with history of trauma, systemic diseases effecting the growth and development, clinical and radiographic evidences developmental anomalies and other bone disorders were excluded. Suitable radiographs with visible gonial region and radiographs with good anatomical details were included in the study. For each individual an OPG was taking using digital OPG machine, (Sirona XG Orthophos, Germany) with magnification factor of 1.31, under standard exposure conditions as recommended by manufacturer. The final images were obtained by accompanying software (SIDEXIS XG, version 2.5, Copyright© 2011 Sirona Dental Systems GmbH, Germany).

The following measurements were made:

  1. Gonial Angle (GA): It was assessed by tracing one line tangent to the lower border of mandible and another line tangent to the posterior border of the ramus of mandible, which was proposed by Mattila et al.2 The intersection of these lines forms the gonial angle (Figure 1).
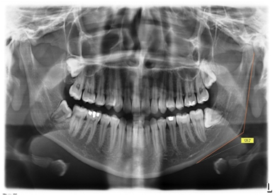
  2. Gonial Index (GI): It was measured as the mandibular cortical width on the bisectrix of the angle between the two tangent lines forming gonial angle which was proposed by Bras et al.1 GA and GI were measured on left side of all radiographs (Figure 2).
  3. The measurements obtained were tabulated in excel sheet and subjected to statistical analysis (SPSS version 16.01, SPSS.inc, Chicago, 1989-2007).The mean and standard deviations of these measurements were compared between males and females using t-test. The data was subjected to discriminant function analysis, with sex as classifying variable and GA and GI as independent variables. Thus obtained equation was evaluated for its reliability in gender differentiation.
Figure 1 The radiographic representation of the Gonial angle (GA) obtained by measuring the angle between the tangents drawn at the lower border of mandible and the posterior border of the ramus of mandible.
Figure 2 The radiographic representation of Gonial index measurement, which is obtained by measuring the thickness of mandibular cortex at thebisectrix of the Gonial angle.

Results

A total of 188 individuals were studied (94 males & 94 females) with age range of 15 to 65 years. The measurements were made by an experienced oral radiologist. They included Gonial angle (GA) and the Gonial index (GI) in the Orthopantamograph (OPG). A subset of 30 randomly chosen radiographs was revaluated by the same oral radiologist within a span of 3 weeks. The Cohen’s Kappa coefficients obtained for GA and GI are 0.913 and 0.892 respectively, which was found to be almost perfect agreement Table 1. The mean GI was significantly higher in males (1.56 ± 0.31) when compared to females (1.42 ± 0.34). But no significant difference was observed in the mean values of GA. Hence the present sample was subjected to discriminant analysis with gender as a grouping variable, GI and GA as independent variables. Wilk’s lambda is an interesting value which depicts the degree of sexual dimorphism, a variable can provide. These values were tabulated in Table 2 for GA and GI respectively. Gonial index (GI) was observed to provide better sex determination when compared to Gonial angle (GA). Based on the above results, 2 different discriminant equations were obtained. First equation was obtained using GI alone (D = [3.030 X GI] - 4.525). The second discriminant equation was obtained using both GI and GA as independent variables (D = [2.542 X GI] - [0.067 X GA] + 4.426). In these equations “D” represents discriminant score, which aids in sex prediction. The cut-off value calculated in both the equations was “0”.

 

Sex

N

Mean

Std. Deviation

Std. Error Mean

p-value

Gonial Angle

Males

94

121.995

7.7358

0.7979

0.058

Females

94

124.361

9.2387

0.9529

Gonial Index

Males

94

1.5627

0.31168

0.03215

0.005*

Females

94

1.4243

0.34747

0.03584

Table 1 Mean Values Estimation in Males And Females (T-Test)
*statistically significant. P<0.05

 

Wilks' Lambda

F

Sig.

Gonial Angle

0.981

3.624

0.058

Gonial Index

0.957

8.264

0.005*

Table 2 Wilk’s Lambda values for parameters
 *statistically significant. P<0.05

A greater value of D (D>0) would definitely represent male sex and a value less than zero would indicate female sex. The more extreme the D value moves from the cut-off value, the higher will be the probability, that the predicted sex would be correct. The obtained discriminant equations were applied to the given sample and the overall accuracy rates were calculated for both equations in Tables 3 & 4. The results obtained in the study confirmed that the equation 2 using GA and GI has successfully identified 64.9% males & 61.7% females, with an overall accuracy rate of 63.3% (Table 3). These results were much superior when compared to the equation 1 using GI alone where 53.2% of males and 60.6% of females were identified correctly with an overall accuracy rate of 56.9% (Table 4).

Equation 2:

Sex

Predicted Group Membership

Functions at Group Centroids

Males

Females

Total

D = [2.542 X GI] – [0.067 X GA] + 4.426

Males

61

33

94

0.255

%

64.9

35.1

100

Females

36

58

94

-0.255

%

38.3

61.7

100

Table 3 Reliability of obtained formula in the present sample data

Equation 1:

Sex

Predicted Group Membership

Functions at Group Centroids

Males

Females

Total

D = [3.030 X GI] – 4.525

Males

50

44

94

0.21

%

53.2

46.8

100

Females

37

57

94

-0.21

%

39.4

60.6

100

Table 4 Reliability of obtained formula in the sample data
56.9% of original grouped cases correctly classified

Discussion

Sex determination of unidentified human remains is a crucial part in forensic medicine; in situations where the whole body of the deceased is not found.9 The skeletal component that is most often investigated for sex determination is mandible. Because of its dense layer of compact bone, it is highly durable and well preserved. When skeletal sex determination was considered, radiometric analysis of radiographs was found to be the best possible methods in terms of accuracy and reproducibility.10 Hence we have considered OPGs for evaluation of Gonial values in our study. Keen et al.10 proposed that after tooth extraction, there will be chronic and progressive resorption of residual alveolar ridge, which finally results in widened gonial angle.11 Israel proposed that as age advances and as the dentulous status slowly transforms to edentulous, the equilibrium between the elevator and depressor muscles will be lost.12 This statement was supported by Kasai et al.13 study where he found a significant difference in the morphology of superior masseter muscle between dentulous and edentulous subjects.14 But interestingly such presentation was not observed in the present study. We did not find any significant correlation between age and gonial angle in both males and females. This can be attributed to the fact that we have confined the study only to complete dentulous mandibles. Obviously the change in the mandibular angle would be least in such conditions.

Jensen et al.14 found a significant difference in the gonial angle between males and females.14 Casey et al.3 proposed that, usually males have 3-5° greater gonial angles than female.3 However the present study showed no significant difference in the mean gonial angles between males and females. This presentation was further supported by similar results in studies conducted by Raustia, Upadhyay & Güngör et al.15-17 stated that there were no significant differences between the right and left gonial angles.18 Hence in the present study only left gonial measurements were taken into consideration inorder to minimize the discrepancy based on sides and to obtain the maximum possible sexual dimorphism. Gonial index (GI) is an excellent device to investigate the changes in cortical thickness at gonial angle (GA). Bras et al.4 reported that osteoporosis in women has a significant effect on GI.4 Kribbs et al.18 concluded that systemic osteoporosis has a classic presentation of thinner cortex at Gonion.18 Osteoporosis is more common in women because they have less bone tissue than men and experience a rapid phase of bone loss due to hormonal changes at menopause. Hence in the present study we observed a significant difference in GI values between males and females. Kribbs et al.18 insisted upon the importance of GI value, whose value less than 1mm is an excellent indicator of metabolic bone loss.18 In the present study the GA values were observed to be 121degrees, 124 degrees in males and females respectively. Whereas GI values were observed to be 1.54 and 1.45mm respectively. These results buoyed the importance of GI in predicting gender. However, better results were obtained when both GI and GA were taken into account.

Conclusion

The present study confirmed significant sexual dimorphism in the values of Gonial index. Males were observed to have higher GI when compared to females. Even though many methods are available for sex determination, most of them are used only as an adjunct, because the probability of sex determination varies from method to method. Hence there is a need for evaluating all the possible methods and establishing a comprehensive and contemporary database of these methods, for increasing the prospect of identifying the correct sex. The results in the present study have supported the use of GA and GI as an adjunct tool for sex determination.

Acknowledgments

None.

Conflicts of interest

None.

References

  1. Bras J, Vanooij CP, Abraham IL, et al. Radiographic interpretation of the mandibular angular cortex: A diagnostic tool in metabolic bone loss. Part II. Renal osteodystrophy. Oral Surg Oral Med Oral Pathol. 1982;53 (6):541‒545.
  2. Mattila K, Altonen M, Haaviko K. Determination of the gonialangle from the orthopantomogram. Angle Orthod. 1977;47(2):107‒110.
  3. Ghosh S, Vengal M, Pai KM. Remodelling of the human mandible in the gonial angle region: a panoramic, radiographic, cross-sectional study. Oral Radiol. 2009;25(1):2‒5.
  4. Lux CJ, Conradt C, Burde D, et al. Dental arch widths and mandibular-maxillary base widths in class II malocclusions between early mixed and permanent dentitions. Angle Orthod. 2003;73(6):674‒685.
  5. Casey DM, Emrich LJ. Changes in the mandibular angle in the edentulous state. J Prosthet Dent. 1988;59(3):373‒380.
  6. Ingervall B, Thialander B. Relation between facial morphology and activity of masticatory muscles. J Oral Rehabil. 1974;1(2):131‒147.
  7. Miller AEJ, MacDougall JD, Tarnopolsky MA, et al. Gender differences in strength and muscle fiber characteristics. Eur J Appl Physiol Occup Physiol. 1993;66(3):254‒262.
  8. Choi YJ, Oh HJ, Kim DJ, et al. The prevalence of osteoporosis in Korean adults aged 50 years or older and the higher diagnosis rates in women who were beneficiaries of a national screening program: The Korea National Health and Nutrition Examination Survey 2008-2009. J Bone Miner Res. 2012;27(9):1879‒1886.
  9. Kiran CH, Ramaswamy P, Khaitan T. Frontal sinus index - A new tool for sex determination. Journal of Forensic Radiology and Imaging. 2014;2(2):77‒79.
  10. Ponnuswamy Indira A, Archan M, David MP. Mandibular ramus an indicator for sex determination-A digital radiographic study. J forensic Dent Sci. 2012;4(2):58‒62.
  11. Keen JA. A study of the angle of the mandible. J Dent Res. 1945;24(2):77‒86.
  12. Israël H. The failure of aging or loss of teeth to drastically alter mandibular angle morphology. J Dent Res. 1973;52(1):83‒90.
  13. Kasai K, Richards LC, Kanazawa E, et al. Relationship between attachment of the superficial masseter muscle and craniofacial morphology in dentate end edentulous humans. J Dent Res. 1994;73(6):1142‒1149.
  14. Jensen E, Palling M. The gonial angle. Am J Orthod. 1954;40(2):120‒133.
  15. Raustia AM, Salonen MA. Gonial angle and condylar and ramus height of the mandible in complete denture wearers- a panoramic radiograph study. J Oral Rehab. 1997;24(7):512‒526.
  16. Upadhyay RB, Upadhyay J, Agrawal P, et al. Analysis of gonial angle in relation to age, gender, and dentition status by radiological and anthropometric methods. J Forensic Dent Sci. 2012;4(1):29‒33.
  17. Güngor K, Sagir M, Ozer I. Evaluation of the gonial angle in the Anatolian populations: from past to present. Coll Antropol. 2007;31(2):375‒378.
  18. Kribbs PJ, Chestnut CH, Ott SM, et al. Relationships between mandibular and skeletal bone in an osteoporotic population. J Prosthet Dent. 1987;62(6):703‒707.
Creative Commons Attribution License

©2016 Saikiran, et al. This is an open access article distributed under the terms of the, which permits unrestricted use, distribution, and build upon your work non-commercially.