Submit manuscript...
eISSN: 2469-2794

Forensic Research & Criminology International Journal

Case Report Volume 4 Issue 6

Wasp Sting Envenomation - A Case Report

Badiadka KK,1 Amir S,2 Pramod KL3

1Associate Professor, Department of Forensic Medicine, Yenepoya Medical College, India
2Postgraduate, Department of Forensic Medicine, Yenepoya Medical College, India
3Curator, Department of Forensic Medicine, Yenepoya Medical College, India

Correspondence: K Leena Pramod, Curator, Department of Forensic Medicine, Yenepoya Medical College, Deralakatte, Mangalore, India, Tel 91 9449366780

Received: May 01, 2017 | Published: May 12, 2017

Citation: Badiadka KK, Amir S, Pramod KL. Wasp sting envenomation - a case report. Forensic Res Criminol Int J. 2017;4(6):181-184. DOI: 10.15406/frcij.2017.04.00135

Download PDF

Abstract

Wasps belonging to the family vespidae is one of the dangerous hymenopteran when disturbed in its habitat either accidently or purposely. Wasp stings are common, especially in populations living in vicinity to forested areas all over the world. Local signs following stings are common and generally life threatening anaphylaxis may occur, including Kounis syndrome requiring immediate treatment. This case report is of a 67 yr old woman bitten by a swarm of wasps leading to her death due to envenomation and related complications.

Keywords: wasp sting, hymenopteran, anaphylaxis, kounis syndrome, envenomation

Introduction

The Phylum Arthropoda constitutes more than 50% of animal species found on earth, of which the insects, spiders belonging to the order Hymenoptera are the main cause for human mortality.1 The three group of stinging insects under this order belong to the family apidae (bees), Vespidae (wasps) and Formicidae (ants). The wasps are the most aggressive when provoked and its sting is of clinical significance in patients allergic to its venom especially in a case of multiple sting and can cause death due to anaphylaxis as a result of hypersensitivity.2 Death from wasp envenomation is a rare event. Most often it is caused by Type I anaphylaxis (IgE-mediated), and can be fatal even with a single sting. Wasp venom contains histamine, enzymes, neurotoxins, vasodilators and haemolysins. Local reactions manifested like dyspnoea, generalised oedema, vomiting, diarrhoea, acute renal failure, hypotension and collapse may also occur.1

Case Report

A 67 year old woman was stung by a swarm of wasps in a rural, semi forested area of Dakshina Kannada district of Karnataka, India. The victim had accidently disturbed a wasp hive while collecting firewood leading to the attack predominantly on the scalp, neck, upper limbs and lower limbs. This caused severe breathlessness and she was brought to the casualty in severe pain. On examination 29 sting bites were identified which resulted in swelling of face, shoulder and upper arms. System examination revealed bilateral crepitations in the lungs. The patient had a history of diabetes and vitiligo but previous history of wasp bite could not be confirmed. After 4 hours of admission patient had suddenly collapsed in the Intensive care Unit (ICU), the blood pressure and pulse was not recordable and after giving repeated Cardio Pulmonary resuscitation (CPR) the patient could not be revived. The police were intimated and after Inquest the police handed over the body to the forensic department for autopsy.

Crime scene visit

The scene was at Laxmigudde in Someshwar village of Dakshini Kannada district of Karnataka. It was a semi forested area with sparse population of people. The houses were surrounded by dense trees. It was an early summer season and a very humid day. The scene was a house under construction, with a front area covered with fallen leaves and a big tree. The tree was on edge of ground with roots exposed on one side. The exposed area was burnt and ash was seen near it (Figure 1). A remnant of wasp hive could be seen under it. A piece of the hive was broken (Figure 2) and taken as a sample along with one of the dead wasp for identification of the species (Figure 3).

Figure 1 Wasp nest near the root of the tree.

Figure 2 Hive collected from the cavity of the tree.

Figure 3 Dead wasp collected from the scene of the incident.

Autopsy finding

The dead body of a female, medium built and well nourished was received for autopsy. External examination showed generalized vitiligo present on the body (Figure 4). Multiple hyperaemic areas were present on the front of right shoulder, front of right middle of arm, right thigh and pelvic region. Twenty nine(29) stings bites were identified. Internal examination revealed all organs were congested. On dissecting the heart, the left ascending artery was found to be occluded (Figure 5). Bits of organs were collected in bottles containing 10% formalin and sent for histopathological evaluation.

Figure 4 Wasp sting mark over the thigh with surrounding reddish hypermic area.

Figure 5 Heart showed occlusion (80%) of left anterior branch of coronary artery.

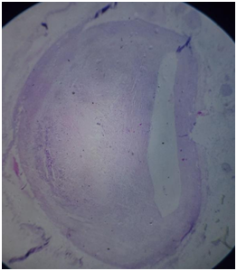
Histopathology report stated lungs showed few hyper inflated alveolar spaces with breakdown of alveolar septa, the spleen had oedematous and congested parenchyma. Liver showed extensive hepatocellular necrosis, fatty change & congestion. Section from coronary artery showed an intimal lesion composed of macrophages, lymphocytes, fibroblasts, smooth muscles and cholesterol clefts occluding the vascular lumen (80%), showing atheroma of coronary artery (Figures 6–8).

Figure 6 Low Power (4x) view showing a large vessel with an occlusion atheromatous plaque.

Figure 7 Higher power view (10x) showing the same atheromatous plaque with cholestro cleft, foamy macrophages, fibroblasts and smooth muscle - all in the intima.

Figure 8 High power (40x) showing the cholesterol clefts in the tunica intima - classical.

Discussion

Coronary arteries have two kinds of histamine receptor, H1 and H2. The stimulation of the H1 receptors with small doses of histamine in patients with healthy coronary arteries and causes vasodilation in the epicardial coronary arteries as well as in the smaller resistance vessels, via the release of nitrous oxide which is an endothelium-dependent vasodilation.3,4 The stimulation of the same receptors in a patient with a past history of angina causes spasm of the epicardial coronary arteries. This is a particularly interesting finding that could be due to an increased concentration of mast cells in the adventitia of the patient’s coronary arteries and hence the release of histamine in relatively high concentrations, and/or to the coexistence of endothelial damage in these arteries, that would interrupt their tone and as explained by Hamilos et al.,5 will lead to spasm rather than vasodilation due to the local release of histamine5 According to Ewan6 response to a wasp sting can be prolonged or severe in allergic persons and in certain cases, anaphylaxis may follow, with urticaria, bronchospasm, circulatory collapse, renal failure.6 This is due to the sequence of events including the release of serotonin and histamine and the formation of leukotrienes.7 Numerous pharmacologically active constituents of wasp venom have been isolated containing histamine, serotonin, dopamine, noradrenaline, and a bradykinin like substance which may itself induce histamine release. Endogenous secretion of adrenaline and noradrenaline is stimulated by histamine and serotonin. Altogether, these substances can provoke myocardial ischemia either by profound hypotension or by increasing myocardial oxygen demand by direct inotropic or chronotropic effects in the presence of a compromised myocardial blood supply.8 Platelet aggregation is brought by serotonin and adrenaline. Adrenaline also hastens thrombus formation in animals and in man, possibly by increased factor V activity, and has been found in animals to release a thromboplastin-like substance from of the vessel wall.9 It causes both coronary vasodilatation and increased myocardial oxygen demand by direct inotropic and chronotropic effect. It has been earlier used as a provocation test for angina pectoris and is often used in the treatment of anaphylactic shock.10 The Wasp species involved in this study was identified to be Vespa affinis, as in case of study done by Chowdhury et al.,11 & Kularatne et al.,12 Wasps have a stinging apparatus at the tail end of their abdominal segment; they deliver between 100 ng and 50 μg of venom. Anaphylactic reactions after wasp sting may induce cardiovascular events, with acute myocardial infarction, even in patients with normal coronary arteries.

Active venom substances are liable for direct venom cardio toxicity causing vasoconstriction and platelet aggregation. These vasoactive mediators can cause myocardial ischemia either by hypotension or by increasing myocardial oxygen demand through direct inotropic or chronotropic effects. Serotonin, epinephrine and thromboxane’s induce platelet aggregation hastening the thrombus formation; epinephrine that is often administered in the hospital setting of anaphylaxis can aggravate myocardial ischemia, especially in elderly patients with coronary heart disease.6 The mechanisms responsible for myocardial infarction might be coronary artery spasm and/or secondary in situ thrombosis. The allergic angina, which can progress to acute allergic myocardial infarction, was firstly described in 1991 by Kounis et al.,10 Allergic angina and allergic myocardial infarction are now referred as “Kounis syndrome”.13 According to James et al.,8 an unusual complication following multiple wasp stings is disseminated intravascular coagulation, neuromyotonia, cerebral infraction, acute renal failure and thrombotic microangiopathy. In this case since there was no clear history of the patient having cardiovascular problems the findings in the heart could be due to Type I or Type II variant of Kounis Syndrome.14,15 Multi organ failure following wasp stings are infrequent and needs histological evaluation.16,17

Conclusion

The coronary occlusion seen in the victim could have been a possible cause of anaphylaxis related acute myocardial infarction. The coronary artery complications after a wasp sting are very rarely reported complication. Patients of sting bites with no previous cardiovascular history should be evaluated on the basis of Kounis Syndrome.

Prevention

The wasps become aggressive when disturbed so in a warm humid weather one has to be cautious when outdoors. They are attracted to bright colours, sweets, alcohol, and perfumes, so all this should be avoided when venturing in forested areas.18 Trying to kill one of them will be dangerous as the pheromones released will attract the whole swarm. So one has to stay calm if accidently close to a colony and move away slowly as wasps do not attack beyond their area. The wasp stings are alkaline and are neutralised by applying lemon juice which is acidic. Other Local methods include placing ice cubes, applying aloe vera gel, curds etc.1

Limitation

All the previous medical records of the patient was not available. The only history mentioned was of Diabetes.

Acknowledgments

We would like to thank Department of Forensic Medicine and Department of Pathology of Yenepoya Medical College for their support and guidance.

Conflicts of interest

None.

References

  1. Dongal Y, Dhananjaya BL, Shrestha RK, et al. Pharmacological and Immunological Properties of Wasp Venom. In: Gowder SJT, editor. Pharmacology and therapeutics. InTech, India. 2014.
  2. Sharmila RR, Chetan G, Narayanan P, et al. Multiple organ dysfunction syndrome following single wasp sting. Indian J Pediatr. 2007;74(12):57–58.
  3. Aminiahidasti H, Laali A, Samakoosh AK, et al. Myocardial infraction following a bee sting - a case report of Kounis. Ann Card Anaesth. 2016;19(2):375–378.
  4. Sivakumar S, Kirubanand N, Kannaw R. Kounis syndrome (type I) following bee sting. IOSR JDMS. 2016;15(8):9–11.
  5. Hamilos MI, Kochiadakis GE, Skalidis EI, et al. Acute myocardial infraction in a patient with normal coronary arteries after an allergic reaction. Hellenic J Cardiol. 2005;46(1):79–82.
  6. Ewan PW. Venom allergy. BMJ. 1998;316:1365–1368.
  7. Ralapanawa DM, Kularatne SA. A case of Kounis syndrome after a hornet sting and literature review. BMC Res Notes. 2014;7:867.
  8. James E, Joy M. Acute myocardial infraction after a wasp sting. British Heart Journal. 1988;59(4):506–508.
  9. Ahmadi S, Bagi HM, Aalace GF, et al. Acute myocardial infraction after a yellow jacket sting in 22 years old man in Iran. Int J Curr Res Aca Rev. 2014;2(11):235–241.
  10. Kounis NG, Hohalis G, Manola A, et al. Kounis syndrome (allergic angina and allergic myocardial infraction). In: Gallo AP, Jones ML, editors. Angina pectoris:etiology,pathogenesis and treatment, Nova Science Publishers, Inc., USA. 2008;1–74.
  11. Chowdhury AR, Bari MS, Shafi AM, et al. Acute Kidney injury following Rhabdomyolosis due to multiple wasp stings (Vespa Affinis). Asia Pae J Med Toxicol. 2014;3(1):41–43.
  12. Kularatne SA, Gawarammana IB, de Silva PH. Severe multi-organ dysfunction following multiple wasp (Vespa affinis) stings. Ceylon Med J. 2003;48(4):146–147.
  13. Kounis NG, Zavras GM. Histamine-induced coronary artery spasm: the concept of allergic angina. Br J Clin Pract. 1991;45(2):121–128.
  14. Kounis NG, Zavras GM. Allergic angina and allergic myocardial infarction. Circulation. 1996;94(7):1789.
  15. Vetter RS, Visscher PK, Camazine S. Mass envenomations by honey bees and wasps. West J Med. 1999;170(4):223–227.
  16. George P, PawarB, Calton N, et al. Wasp sting: An unusual fatal outcome. Saudi J Kidney Dis Transplant. 2008;19(6):969–972.
  17. Triggiani M, Patella V, Staiano RI, et al. Allergy and the cardiovascular system. Clin Exp Immunol. 2008;153(Suppl 1):7–11.
  18. Nathan A. Advising on insect bites and stings. The Pharmaceutical Journal. 2007;278:557–560.
Creative Commons Attribution License

©2017 Badiadka, et al. This is an open access article distributed under the terms of the, which permits unrestricted use, distribution, and build upon your work non-commercially.