Submit manuscript...
eISSN: 2373-6372

Gastroenterology & Hepatology: Open Access

Case Report Volume 6 Issue 2

An Unusual Case of Colitis in Immune-Competent Term Infant

Vibhor V Borkar,1 Vishnu Birader,1 Prashant Kadam,2 Vishal Baldua,2 Neil Castilino,2 Bhupendra Avasthi2

1Department of Pediatric Gastroenterology, India
2Pediatric intensive care unit, Surya Child Care, India

Correspondence: Vibhor V Borkar, Pediatric Gastroenterologist, Surya Mother and Child Care, Santacruz (W), Mumbai, 400054, India

Received: November 28, 2016 | Published: February 21, 2017

Citation: Borkar VV, Birader V, Kadam P, Baldua V, Castilino N, et al. (2017) An Unusual Case of Colitis in n Immune-Competent Term Infant. Gastroenterol Hepatol Open Access 6(2): 00189. DOI: 10.15406/ghoa.2017.06.00189

Download PDF

Abstract

Isolated Cytomegalovirus (CMV) enterocolitis in a term immune-competent infant is a rare entity. We are reporting a 4-month old, term girl who presented with diarrhea, protein-losing enteropathy, which progressed to colitis and then had hematochasia. Colonoscopy revealed features of pancolitis. PCR and histopathological evaluation of colonic mucosal biopsies confirmed the diagnosis of CMV colitis. She received intravenous Ganciclovir, followed by oral Valganciclovir. CMV PCR from blood sample on follow-up confirmed clearance of the virus and recovery of the patient. At follow-up, the child had normal development. In conclusion, timely diagnosis and treatment of CMV enterocolitis is life saving. Oral Valganciclovir may be considered for treatment of CMV colitis. CMV enterocolitis should be considered in a term infants who presents with chronic diarrhea and colitis.

Keywords: CMV; enterocolitis; infants; immune-competent

Abbreviations

CMV, cytomegalo virus; PCR, polymerase chain reaction; VEOIBD, very early onset inflammatory bowel disorder

Introduction

Cytomegalovirus (CMV) infection manifests in infants as congenital or acquired infection. CMV infection may be asymptomatic or has as a spectrum of presentation from a single system involvement to multisystem involvement. CMV infection can lead to severe intestinal disease in immune-compromised infants and children.1 We hereby report a 4 months old immune-competent girl who presented with an isolated CMV colitis, which itself is a rare manifestation.

Case details

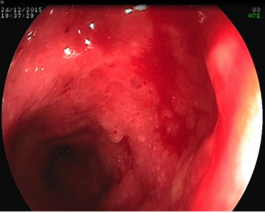
A 4-month-baby-girl presented with diarrhea of one-month duration. Her stools were loose, greenish and she used to defecate 4-5 times a day. In a week’s time, she was passing small amount of blood in stools, which was mixed with stool. She did not have fever, vomiting, dehydration or abdominal distension at the onset of symptoms. After 20 days of her illness, she was passing frank fresh red colored blood in stool. She was irritable, lethargic, pale and febrile. She was crying during passing the stool. She also developed pedal edema. She was first borne baby at term gestation from a non-consanguineous marriage and was exclusively breast-fed. Mother was ingesting milk products. Her pre-illness stooling pattern was normal. On the day of admission, her heart rate was 122/min, respiratory rate was 30/min and mean arterial blood pressure was 69 mm of mercury. She was lethargic, had pallor and pitting edema over feet. She did not have any rash, icterus, lymphadenopathy and petechiae, hepatomegaly, splenomegaly, perianal rash anal fissure or fistula. Her bowel sounds and per-rectal examination were normal. Her hemoglobin dropped from 11.2 to 9.5 g/dL. Her white blood cell count and platelets also decreased. C-reactive protein was raised. Fibrinogen was 211 mg/dL. Blood culture was sterile. Stool microscopic examination showed plenty of blood cells, pus cells. There were no parasites or fungal elements. Stool culture did not grow any pathogenic bacteria. Suspecting super-added sepsis and considering previous admissions at multiple hospitals, her antibiotics were upgraded to intravenous Meropenum and Fluconazole. She had hypo-proteinemia, hypo-albuminemia and electrolyte imbalance. Baby required packed red cell transfusion and albumin infusion. Clinically cow’s milk protein allergy, CMV colitis, immunodeficiency, very early onset inflammatory bowel disease (VEOIBD) and Clostridium difficile colitis were suspected. Colonoscopy showed entire colonic mucosa was erythematous, friable, ulcerated with complete loss of normal vascular markings and colonic haustral pattern. No pseudomembrane was seen. These findings were suggestive of pancolitis (Figure 1). Histo-pathological evaluation of mucosal biopsies revealed CMV colitis (CMV inclusion bodies). Tissue polymerase chain reaction (PCR) (qualitative) for CMV was positive. Blood PCR for CMV (qualitative) was also positive. CT enterography revealed normal small bowel. Mother’s IgG serology for CMV was positive. Babies IgM Serology was negative and IgG was 211 g/dL. The other systems like respiratory, central nervous system, eyes, hepato-biliary and bone marrow were unaffected. The child was treated with intravenous Ganciclovir (5 mg/ kg/ dose; 12 hourly) for 2 weeks and then oral Valganciclovir for 4 weeks. She stopped passing blood in stools after 7 days of Ganciclovir treatment. Her loose stools resolved in 10 days and after 2 weeks, she had complete resolution of symptoms. CMV DNA PCR was undetectable in the blood at 2 weeks, 6 weeks and 3 months of follow-up. Baby received total parental nutrition initially (7 days), followed by hypo-osmolar formula (from day 8 to day 14), and then term milk formula. The investigations for primary (B cells and T cell mediated) as well as secondary immunodeficiency (HIV serology) were normal. Cerebral spinal fluid analysis was not suggestive of meningitis. Stool toxin assays for Clostridium difficile were negative. At 6 months of follow-up, her stooling pattern was normal. She gained weight. Her albumin levels, and hemoglobin normalized. She was developmentally normal.

Figure 1a Entire colon had multiple deep ulcers.
Figure 1 Colonoscopy images showing pancolitis.

Figure 1b Mucosa was edematous and friable.
Figure 1 Colonoscopy images showing pancolitis.

Discussion

We hereby report a rare case of CMV infection having isolated involvement of gut that presented as protein-losing enteropathy and pancolitis in an immune-competent term infant. CMV affects neonates as congenital or acquired infection. Congenital CMV infection is a multisystemic disease and manifests as hepatitis, meningitis, sensory neuronal hearing loss, bone marrow involvement, hepatosplenomegaly, chorio-retinitis, cerebral calcifications.2 In the indexed case, IgM CMV serology was negative at 4 months of age, which suggests it was a post-natal infection. Acquired CMV infections mostly presents as CMV pneumonia. CMV infection is documented in immunocompromised patients like stem cell transplant recipient, solid organ transplant recipients.1 However; isolated gastrointestinal infection in immunocompetent term baby is a very rare manifestation. CMV enterocolitis has been reported in extreme preterm babies and often confused with necrotizing enter colitis.3

In the index case, immunodeficiency was ruled out after thorough investigations. CMV infection was limited to intestines. Other diagnoses like bovine milk protein allergy, clostridium difficile infection, VEOIBD were ruled out. We got CMV PCR positive in blood as well as from colonic biopsies. Detection of inclusion bodies on histopathological examination further confirmed the diagnosis of CMV colitis.4 CMV enter colitis is generally not considered in the differential diagnosis of colitis in infants. The diagnosis requires histological confirmation and hence may be an under-diagnosed condition. The reported literature on CMV enterocolitis in infants showed that the most of the infants get CMV infection in first three months of life.5,6

In the immune-competent children, viral invasion of the mucosa is followed by T cell activation leading to mucosal inflammation and ulcer formation.7 Erosions of blood vessels from ulcer can cause profuse bloody diarrhea. Severe inflammation and vasculitis may lead to ischemia and transmural necrosis. If left untreated, life-threatening complications like perforation, massive hemorrhage and obstruction may follow.8 High mortality (80%) reported from case series in adult patients highlights importance of early recognition and treatment of CMV colitis.9

There are no universally accepted recommendations for treating CMV colitis in immune-competent children.10 We initially gave IV Ganciclovir and then oral Valganciclovir. The PCR for CMV DNA confirmed decrease in the viral load along with recovery of symptoms. After 2 weeks of therapy the PCR from blood was negative. There was no recurrence of symptoms after withdrawal of treatment. The duration of treatment may be limited by development of neutropenia.

Conclusion

CMV enter colitis should be suspected when infants present with severe intractable colitis. This entity may be under-reported due to difficulties in the diagnosis. Early recognition of CMV colitis and adequate treatment with monitoring CMV viral load can cure the disease and halt further complications.

Funding

None.

Acknowledgement

None.

Conflict of interest

The authors declare no conflict of interest.

References

  1. Slyker JA. cytomegalovirus and paediatric HIV infection. J Virus Erad. 2016;2(4):208–214.
  2. Naing ZW, Scott GM, Shand A, et al. Congenital cytomegalovirus infection in pregnancy: a review of prevalence, clinical features, diagnosis and prevention. Aust N Z J Obstet Gynaecol. 2016;56(1):9–18.
  3. Chenong JL, Cowan FM, Modi N. Gastrointestinal manifestations of postnatal cytomegalovirus infection in infants admitted to a neonatal intensive care unit over a five year period. Arch Dis Child Fetal Neonat Ed. 2004;89(4):367–369.
  4. Nishimoto Y, Matsumoto T, Suekane H, et al. Cytomegalovirus infection in a patient with ulcerative colitis: Colonoscopic findings. Gastrointest Endosc. 2001;53(7):816–818.
  5. Refai Z, Nicholls S. Garga Infant death due CMV enter colitis. BMJ Case Reports. 2012;14.  
  6. Bar-Meir M, Farrow KN, Melin-Aldana H. Cytomegalovirus Enterocolitis Mimicking Necrotizing Enterocolitis: Case Report and Review of the Literature. J Pediatric Infect Dis Soc. 2013;2(1):71–75.
  7. Quiros-Tejeira RE, Ament ME, Rivera-Penera T, et al. Cytomegalovirus enter colitis in an immunocompetent infant host: another cause of treatable intractable diarrhea in infancy. J Pediatr Gastroenterol Nutr. 1999;29(1):86–90.
  8. Gupta AK, Maria A, Goyal D, et al. Intractable diarrhoea caused by cytomegalovirus entercolitis in an immunocompetent term neonate. J Trop Pediatr. 2013;59(6):509–11.
  9. Kaufman H, Kahn AC, Iacabuzio-Donahue C, et al. Cytomegaloviral enterocolitis clinical associations and outcome. Dis Colon Rectum. 1999;42(1):24–30.
  10. Fischler B, Casswell TH, Malmborg P, et al. Ganciclovir treatment in infants with cytomegalovirus infection and cholestasis. J Pediatr Gastroenterol Nutr. 2002;34(2):154–157.
Creative Commons Attribution License

©2017 Borkar, et al. This is an open access article distributed under the terms of the, which permits unrestricted use, distribution, and build upon your work non-commercially.