Submit manuscript...
eISSN: 2373-6372

Gastroenterology & Hepatology: Open Access

Opinion Volume 5 Issue 3

At The Focal Point-Impacted Foreign Body in Sigmoid Colon Diverticula

Valle Arturo, Navarrete Claudio, Sáenz Roque

German School of Clinical Medicine, University Development, Chile

Correspondence: Sáenz Roque, The Latin American GIE Training Center, German School of Clinical Medicine, University Development, Santiago, Chile

Received: August 27, 2016 | Published: September 13, 2016

Citation: Arturo V, Claudio N, Roque S (2016) At The Focal Point-Impacted Foreign Body in Sigmoid Colon Diverticula. Gastroenterol Hepatol Open Access 5(3): 00140. DOI: 10.15406/ghoa.2016.05.00140

Download PDF

Opinion

An 80 years old lady, was scheduled for follow up colonoscopy, due to previous advanced polyps removaland relative sigmoid colon stenosis secondary to severe diverticular disease. She was asymptomatic, without any pain or fever.1,2

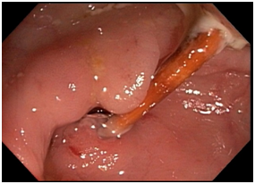
At colonoscopy, an impacted foreign body (Toothpick) was found, impacted in two sigmoid colon (“face to face”) diverticulum, one at each end. There was purulent secretion from one of those ends. It was not easy to remove, and mobilization resulted in more purulent exudate. The perforation hazard was considered. It couldn’t be cut in its central portion and finally with easy movements with a grasping forceps, it was dislodged from one of its edges, and removed with a snare. The risky meal, assumed to be responsible for the ingestion of the foreign body, was 6 days prior to the colonoscopy.3‒10

An abdominal ultrasound failed to show any collection. Patient had no further symptoms, while 7 follow up days, under antibiotic treatment11 (Figure 1).

Figure 1 Sigmoid colon diverticulum. Impacted foreign body and purulent secretion at the edges.

References

Creative Commons Attribution License

©2016 Arturo, et al. This is an open access article distributed under the terms of the, which permits unrestricted use, distribution, and build upon your work non-commercially.