Submit manuscript...
eISSN: 2373-6372

Gastroenterology & Hepatology: Open Access

Case Report Volume 2 Issue 6

Diaphragmatic Hernia after Hepatic Resection: A Case Report

José Jacob Motos Micó, Javier Martín Cano, Teresa Abad Aguilar, Rafael Rosado Cobián

Servicio de Cirugía General y Aparato Digestivo, Hospital Torrecárdenas (Almería), Spain

Correspondence: José Jacob Motos Micó, Nº4, ACC A, BL 3, 2ºE 04131, Servicio de Cirugía General y Aparato Digestivo, Hospital Torrecárdenas, El Toyo-Retamar, Almería. Spain , Tel 633257986

Received: January 15, 2015 | Published: October 19, 2015

Citation: Micó JJM, Cano JM, Aguilar TA, Cobián RR (2015) Diaphragmatic Hernia after Hepatic Resection: A Case Report. Gastroenterol Hepatol Open Access 2(6): 00062. DOI: 10.15406/ghoa.2015.02.00062

Download PDF

Introduction

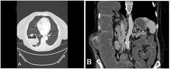
Iatrogenic diaphragmatic hernia is a rare complication and there are few cases in the literature.1 We report a case of a patient of 63 years with medical history of epilepsy, toxoplasmosis and necrotic and ulceratedhydatidcystwithseveregranulomatousforeignbodyreactionneeds formal right hepatectomy. She visited the emergency department of our hospital referring abdominal pain of 48 hours of evolution associated with constipation, nausea and vomiting. On examination, distended abdomen, painful on palpation, no defense and no abdominal peritonitis. Analytically objective leukocytosis with left shift. Presents a TC with intravenous contrast thoraco abdomino pelvic reporting of intestinal obstruction in relation to colon herniation through defect in right diaphragm (Figure 1). Naso gastric tube tone with plenty of intestinal contents, fluid therapy and broad spectrum antibiotics. The patient was operated emergency through the subcostal incision prior right aiming serous fluid turbid in moderation, firm adhesions in bed after surgery and diaphragmatic hernia hole about 4 cm through which laboriously reduces the hernia sac containing colon transverse dilated, and retrieving color peristalsis. Right diaphragmatic hernia repair is performed. She presented a good clinical response, initiating oral tolerance and intestinal transit recovering the 3rd day. The chest x-ray postoperative objectives the resolution of the right diaphragmatic defect (Figure 2). With standardization of analytical parameters and subcostal wound with good evolution is discharged to the 5th postoperative day.

Figure 1 Thoracoabdominal CT with intravenous contrast: 1A coronal cut, 1B sagittal section. Intestinal obstruction in relation to the transverse colon herniation through defect in right diaphragm.

Figure 2 2A. Chest x-ray before herniorrhaphy, 2B. Chest x-ray after herniorrhaphy.

Acquired diaphragmatic hernias are usually secondary to a penetrating thoraco abdominal trauma or iatrogenic injury that occur most often after hiatal hernia repair.2 Late diagnosis of diaphragmatic hernias acquire discommon, especially in conjunction with small puncture wounds. In the absence of obstruction or strangulation viscera, the main complaint is chronic pain, nausea, vomiting, or reflux with or without respiratory changes. With regard to radiology, chest radiography is the best screening test, but only 40% -50% of patients show a pathological finding.3,4 Computed helical CT with coronal and sagittal reconstruction is useful to establish the definitive diagnosis,5 as in our case. Hypotheses about the causes of non-traumatic diaphragmatic hernia are:

  1. Direct trauma to the diaphragm during hepatectomy. Secondary diaphragmatic injury Hepatic lobectomy standard aim less transplant is a very rare find, as presented by our patient.
  2. Thermal diaphragmatic injury during surgery. These cases have been described in patients undergoing radiofrequency ablation lesions adjacent to the diaphragm.6,7
  3. Diaphragmatic injury during assisted laparoscopic liver resection. However, produced by a diaphragmatic hernia acquired injury is due to the pressure gradient between the abdominal and thoracic cavity, as well as delayed healing is due to constant diaphragmatic movement or weak diaphragm musculature. Surgery is required in case of diaphragmatic hernia with intestinal obstruction or perforation. The approach for the repair of diaphragmatic hernia may be transabdominal or transthoracic.8 Pathogenesis iatrogenic case presented probably due to mechanical or thermal injury to the diaphragm unrecognized intraoperatively. You should consider the possibility of a diaphragmatic defect base. However, during the operative findings revealed a diaphragm herniorrhaphy normal thickness and any other area of weakness. During the following period, the laceration was expanded gradually, probably due to adhesions with traction on the diaphragm post operative inflammatory tissue, allowing the colon herniar within the thoracic cavity.

Conclusion

In conclusion, when surgery is performed in close proximity to the diaphragm should always check with particular thorough nessits integrity.

Acknowledgments

None.

Conflicts of interest

The authors declare there is no conflict of interests.

Funding

None.

References

Creative Commons Attribution License

©2015 Micó, et al. This is an open access article distributed under the terms of the, which permits unrestricted use, distribution, and build upon your work non-commercially.