Submit manuscript...
eISSN: 2373-6372

Gastroenterology & Hepatology: Open Access

Case Report Volume 11 Issue 3

Endoscopic lesions of Henoch-Schönlein purpura in adults: about an unusual presentation

Oubaha S,1 Lemfadli Y,2 Bouchrit S,2 Ait Errami A,2 Samlani Z,2 Krati K2

1Department of Physiology, Cadi Ayyad University, Morocco
2Gastroenterology department, Mohammed VI University Hospital, Morocco

Correspondence: Lemfadli Y, Cadi Ayyad University Gastroenterology Department, Mohammed VI University Hospital, Morocco, Tel +212645213382

Received: April 30, 2020 | Published: June 10, 2020

Citation: Oubaha S, Lemfadli Y, Bouchrit S, et al. Endoscopic lesions of Henoch-Schönlein purpura in adults: about an unusual presentation. Gastroenterol Hepatol Open Access. 2020;11(3):123-125. DOI: 10.15406/ghoa.2020.11.00426

Download PDF

Abstract

Henoch-Schönlein purpura (HSP) is a systemic vasculitis of the small vessels of the skin, joints, gastrointestinal tract and kidneys. It preferentially affects children but can also occur in adults. We report the case of a 28-year-old man who had had a digestive hemorrhage with renal failure. We found characteristic endoscopic signs in the stomach and duodenum at EGD/upper endoscopy. Histological examination of the renal biopsy samples made it possible to retain the diagnosis of HSP. Our case shows that gastrointestinal endoscopy and renal biopsy me be helpful for diagnosis in patients suspected of having HSP, especially in the absence of skin involvement.

Keywords: henoch-schönlein purpura, IgA vasculitis, endoscopy, gastrointestinal involvement

Introduction

Henoch-Schönlein purpura (HSP) is an IgA vasculitis, much more common in children than in adults. It combines a cutaneous vascular purpura, joint, gastrointestinal damage and sometimes kidney damage. Digestive damage usually affects the colon and the small intestine.1 We report the case of a HSP responsible for an original attack because mainly digestive and renal in a patient of 28years admitted for digestive hemorrhage and we discuss the clinical, para-clinical, therapeutic and progressive characteristics of the digestive attack of the HSP in adult.

Case report

A 28-year-old man was admitted for hematemesis and melena associated with abdominal pain in the epigastrium of moderate intensity. These symptoms appeared forty-eight hours before admission. He had no history and was not taking any treatment. On admission, he was asthenic, very pale and oliguric (less than 300ml/24). His temperature was 37.5°C and his blood pressure was 100/50mmHg. The abdomen was tenderness at the level of the epigastrium without defense or contracture. He had no joint or skin signs. The rest of the exam was normal.

The blood count had shown a white blood cell count of 23640mm3 (neutrophils: 19180/mm3), hypochromic microcytic anemia at 4.6g/(MCV: 77fL, MCH:25pg) dl and a platelet count at 175000/mm3. Coagulation panel was normal. The natremia was at 142 mmol/l, serum potassium at 3.8mmol/l, a serum calcium at 83mmol/l and a phosphoremia at 50mmol/l. The protidemia was 45g/L, the albumin level was 28g/L and the ferritin level was 267µg/L. The urine strip showed two blood crosses and two protein crosses. The proteinuria was at 4g/24 h. The blood creatinine level was 56 mg/l with a glomerular filtration rate calculated at 15ml/min. The renal ultrasound had shown kidneys reduced in size without obstacle. Cyto-bacteriological urinary examination was negative.

EGD/upper endoscopy had shown gastric and duodenal ulcers with wall hematomas (Figure 1). Histological examination of the antrofundic mucosa had shown an ulcerated coating. The chorion was inflammatory composed of lymphocytes from plasma cells and neutrophils. The glands were well differentiated. Helicobacter pylori were not observed. Duodenal biopsies showed retained villi of height. The epitium was cylindrical exulcated. The edematous and congestive chorion was the seat of an inflammatory infiltrate made of lymphocytes, plasma cells and neutrophils.

Figure 1 EGD/upper endoscopy showing gastric ulcers with wall hematomas.

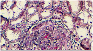
The digestive symptomatology associated with a nephrotic syndrome made suspect in the first place a vasculitis of the small vessels in particular a HSP. Anti-nuclear antibodies were negative. The serum IgA level was normal at 1.3g/L (N: 0.7 to 3.12g/L). A renal biopsy was performed showing a proliferation of mesangial cells and the presence in immunofluorescence of mesangial and pericapillary deposits of immunoglobulins. Given the severity of renal and digestive insufficiency, corticosteroid therapy at a dose of 1mg/kg/day by intravenous route was started with an oral relay on the seventh day. The patient had benefited during the first 4days from a total parenteral nutrition. He also received a blood transfusion and proton pump inhibitors. The evolution of the digestive damage was favorable. However, kidney damage was not recoverable with the need for periodic hemodialysis (Figure 2).

Figure 2 renal biopsy was performed showing a proliferation of mesangial cells.

Discussion

Henoch-Schönlein purpura (HSP) is a leukocytoclastic vasculitis of small vessels (capillaries, arterioles, venules) with the formation of immune complexes and deposits of IgA and the fraction C3 of the complement.1 HSP mainly affects children between the ages of 5 and 15, with a predominance of men, but can also occur in adults.2 It is characterized by the association of a skin purpura predominant in the lower limbs, of symmetrical arthralgia affecting large joints and abdominal signs such as abdominal pain or digestive bleeding.3,4 Renal damage conditions the prognosis of the disease.1,2 Cutaneous purpura is an almost constant sign in HSP. It is a vascular, petechial and ecchymotic, bilateral, symmetrical purpura, predominant in the lower limbs. The absence of purpura, as in our case, is exceptional, but should not rule out the diagnosis.5

The digestive manifestations are frequent but exceptionally inaugural of the disease as in our observation.6 The most frequently reported are abdominal pain, vomiting, diarrhea, digestive hemorrhages.6,7 Peritoneal or occlusive syndrome, perforation of the small intestine, exudative enteropathy are rarely reported.7–10 The digestive endoscopy can direct the diagnosis in certain atypical situations especially if the digestive attack is inaugural of the disease. The lesions are segmental and vary in association with purpura, edema, ulcerations, hemorrhagic areas, hematomas or transparietal necrosis.11,12 Lesions predominate over the small intestine, but esophageal, gastric and colic localizations have been described.11,13,14

Most histological studies of gastrointestinal lesions have shown nonspecific inflammation.9,14 Indeed the deposit of IgA is weak in digestive mucosa, even with macroscopic anomaly.5 However, markers of vasculitis in intestinal samples can be found in patients who have multiple ulcers and hematoma-like protrusions.9 Immunohistochemistry can distinguish HSP from other causes of gastrointestinal inflammation. Endoscopic findings in our patient and histological inflammation not compatible with others causes and especially the presence of kidney failure, made HSP more likely.

Skin or renal biopsies with histological study confirm the diagnosis of HSP. In renal biopsy, the anatomopathological study with immunofluorescence reveals glomerular nephropathy with deposits of mesangial and/or parietal immunoglobin A, characteristics of HSP.5 The treatment of HSP with digestive disorders is essentially based on an exclusive parenteral diet. In kidney damage, corticosteroids, immunosuppressants present the basics of treatment.15–17 The evolution is generally rapidly reversible without sequelae. The prognosis is linked to kidney damage and the possibility of new attacks.

Conclusion

Digestive manifestations are frequent in Henoch-Schönlein purpura in adults and may be initial. Faced with digestive ulcers, one must think of vasculitis in the same way as inflammatory or infectious disorders.

Acknowledgments

None.

Conflicts of interest

Authors declare that there are no conflicts of interest.

Funding

None.

References

  1. Jennette JC, Falk RJ, Bacon PA, et al. 2012 Revised International Chapel Hill Consensus Conference Nomenclature of Vasculitides. Arthritis Rheum. 2013;65(1):1–11.
  2. María José López Meiller, Javier Alberto Cavallasca, María del Rosario Maliandi, et al. Henoch–Schonlein Purpura in adults. Clinics. 2008;63(2):273–276.
  3. Saulsbury FT. Clinical update: Henoch–Schonlein purpura. Lancet. 2007;369(9566):976–978.
  4. Chen O, Zhu XB, Ren P, et al. Henoch Schonlein Purpura in children: clinical analysis of 120 cases. Afr Health Sci. 2013;13(1):94–99.
  5. Jarasvaraparn C, Lertudomphonwanit C, Pirojsakul K, et al. Henoch–Schönlein without Purpura: A Case Report and Review Literature. J Med Assoc Thai. 2016;99(4):441–445.
  6. Kang Y, Park JS, Ha YJ, et al. Differences in clinical manifestations and outcomes between adult and child patients with Henoch–Schönlein purpura. J Korean Med Sci. 2014;29(2):198‐203.
  7. Kaswala D, Chodos A, Ahlawat S. Henoch–Schonlein purpura with gastrointestinal involvement in an adult patient. Gastroenterol Hepatol. 2016;12(5):321.
  8. Nakamura A, Fuchigami T, Inamo Y. Protein–losing enteropathy associated with Henoch–Schönlein purpura. Pediatr Rep. 2010;2(2):e20.
  9. Ebert EC. Gastrointestinal manifestations of Henoch–Schonlein purpura. Dig Dis Sci. 2008;5(8):2011–2019.
  10. Sohagia AB, Gunturu SG, Tong TR, et al. Henoch–schonlein purpura–a case report and review of the literature. Gastroenterol Res Pract. 2010;2010:597648.
  11. Chen MJ, Wang TE, Chang WH, et al. Endoscopic findings in a patient with Henoch–Schonlein purpura. World J Gastroenterol. 2005;11(15):2354‐2356.
  12. Sen G, Solmaz D, Kayahan H, Özmen M. Endoscopic appearance of Henoch–Schönlein purpura. Eur J Rheumatol. 2014;1(1):48.
  13. Han Y, Jin SY, Kim DW, et al. Endoscopic and microscopic findings of gastrointestinal tract in Henoch–Schönlein purpura: Single institute experience with review of literature. Medicine (Baltimore). 2019;98(20):e15643.
  14. Nishiyama R, Nakajima N, Ogihara A, et al. Endoscope images of Schonlein–Henoch purpura. Digestion. 2008;77(3–4):236–241.
  15. Ozen S, Marks SD, Brogan P, et al. European consensus–based recommendations for diagnosis and treatment of immunoglobulin A vasculitis–the SHARE initiative. Rheumatology (Oxford). 2019;58(9):1607‐1616.
  16. Audemard–Verger A, Terrier B, Dechartres A, et al. Characteristics and Management of IgA Vasculitis (Henoch–Schönlein) in Adults: Data From 260 Patients Included in a French Multicenter Retrospective Survey. Arthritis Rheumatol. 2017;69(9):1862‐1870.
  17. Audemard–Verger A, Pillebout E, Guillevin Let al. IgA vasculitis (Henoch–Shönlein purpura) in adults: Diagnostic and therapeutic aspects. Autoimmun Rev. 2015;14(7):579‐585.
Creative Commons Attribution License

©2020 Oubaha, et al. This is an open access article distributed under the terms of the, which permits unrestricted use, distribution, and build upon your work non-commercially.