Submit manuscript...
eISSN: 2373-6372

Gastroenterology & Hepatology: Open Access

Review Article Volume 5 Issue 2

Endoscopic Management of Acute Cholangitis

Alberto Tringali

Endoscopic Unit, Niguarda Hospital, Italy

Correspondence: Alberto Tringali, Endoscopic Unit, Niguarda Hospital, Milan (Italy),, Tel 3.90264442901, Fax 3.90264E+11

Received: July 14, 2016 | Published: August 4, 2016

Citation: Tringali A (2016) Endoscopic Management of Acute Cholangitis. Gastroenterol Hepatol Open Access 5(2): 00133. DOI: 10.15406/ghoa.2016.05.00133

Download PDF

Background

Acute cholangitis is a systemic infectious condition with acute inflammation and infection in the bile duct. The incidence of acute cholangitis ranges from 0.3 to 1.6% with a proportion of severe cholangitis that reaches 12.3%. A proportion of acute cholangitis occurs after ERCP in about 0.5-2.4%. The most common cause of acute cholangitis is common bile duct stone.

Mortality rate in severe cholangitis remains significant without appropriate management. Advances in intensive care, antibiotic regimens and biliary drainage techniques have dramatically improved the mortality rate of more than 50% prior to the 1970s to less than 10% in the 1980s. Anyway still it remains about 3-10%. Clinical presentation ranges from mild symptoms to severe life-threatening with septic shock conducting rapidly to death.

Diagnosis is not more based on Charcot triad or Reynold pentad because of low sensitivity. The diagnostic criteria according to the Tokio guideline is mainly based on presence of systemic inflammmation, cholestasis and or jaundice and evidence on imaging studies of biliary obstruction.

Classification of severity is determined by the Tokio criteria that distinguish severe cholangitis that is associated with the onset of organ dysfunction from moderate that is associated with the onset of clinical signs and symptoms. Mild cholangitis does not meet the diagnostic criteria of severe or moderate cholangitis at initial diagnosis.

The rationale of the treatment is based on pathophysiology and taking into account the increased presence of bacteria inthe bile duct (bactibilia), biliary obstruction and aetiology. Therefore,antibiotic treatment started as soon as possible and biliary drainage are the treatment of choice.

Epidemiology

No large epidemiological study has been conducted to date, but it can be estimated that approximately 10 % of the general population have gallstone.1 According to a review by Friedman, 1-2 % of patients with asymptomatic gallstones and 1-3 % of patients with mild symptoms annually presented severe symptoms or complications (acute cholecystitis, acute cholangitis, severe jaundice, or pancreatitis).1 The probability of undergoing operation due to subsequent severe symptoms was 6-8 %/year in patients initially presenting moderate symptoms and the symptoms decreased year by year.1

The data coming from observational studies show that 20-40 % of patients with asymptomatic cholelithiasis have a risk for developing some type of symptoms and/or signs (1-3 % annually.1–6 The proportion of cases diagnosed as severe (grade III) according to the TG07 severity assessment criteria was12.3 %.7 It has been reported that the mortality rate of acute cholangitis was higher than 50 % before 1980, 10-30 % in1981-1990s, and 2.7-10 % after 2000 (8,9).The mortality rate in patients with acute cholangitis ranges from 2.7% to10%. Following endoscopic sphincterectomy (EST), recurrence occurred in 7-47 % of cases with complications in the biliary tract system (cholelithiasis, biliary tract colic, cholangitis) within the 2.5-15year follow-up period.10–15 The recurrence rates of bile duct stones are the same in the ES and EPBD (5.5 and8.8 % respectively) for both treatment methods.16

Etiology

The etiology of acute cholangitis are summarized in Table 1. Choledocholithiasis used to be the most frequent cause, but recently the incidence of acute cholangitis caused by malignant disease, sclerosing cholangitis, and non-surgical instrumentation of the biliary tract has been increasing. It is reported that malignant disease accounts for about 1-30 % of cases with acute cholangiti17,18 (Figure 1-7).

Figure 1 Plastic stent migrated into common bile duct causing biliary obstruction.

Figure 2 Fungal infection forming a “fungal ball”.

Figure 3 Ascaris infection.

Figure 4 Leimmel syndrome.

Figure 5 Ampulloma.

Figure 6 Mirizzi Syndrome.

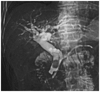
Figure 7 Common bile duct stone.

Causes

Gallstone

Common bile duct stone (Figure 7)

Mirizzi (Figure 6)

Malignant biliary stricture

 

Cholangiocarcinoma

Gallbladder cancer

Ampullary adenoma (Figure 5)

Ampulary carcinoma

Pancreatic cancer

Metastasis to liver or portohepatic lymphonodes

Benign biliary strictures

Post-surgical

Chronic pancreatitis

Primary sclerosing cholangitis

Autoimmune cholangiopathy

Parasitic

Ascaris lumbricoides (Figure 3)

Clonorchis sinensis

Fascicola hepatica

Opistorchis Felineus

Opistorchis viverrini

Other

Duodenal diverticula (Leimmel Syndrome (Figure 4)

Hemobilia

Sump syndrome (Obstruction by food after bilio-enteric anastomosis)

Biliary stent obstruction (Figure 1)

Fungal infections (Figure 2)

Table 1 Etiology of acute cholangitis

Pathophysiology of acute cholangitis

The mechanism that cause acute cholangitis is rely on biliary obstruction that determine an increase in bile duct pressure above the normal pressure that is between 7 to 14cm H2O. Usually this value reach 20cm H2O but could arrive to 30cm H2O in severe acute cholangitis. This cause a biliary-venous and lymphatic reflux because there is no basal membrane between sinuosoids and small biliary duct allowing the passage of bacteria in systemic circulation causing septic shock and death as shown in Figure 8. There are many protective mechanisms from acute cholangitis, provided in Table 2, that are divided in mechanical that is represented by Oddi sphincter and tight junction in the hepatocyte. Unfortunately the first one is removed from the sphincterotomy and the second by increased biliary pressure. The bacteriostatic mechanism such as bile flow and mucus, that prevent bacteria from adhering to the bile duct wall, are abolished from increased bile duct pressure. Finally the immunologic mechanisms such as Kupfer cell and immunoglobulin especially IgA, are compromised by the increased bile duct pressure.

Figure 8 Pathophysiology of acute cholangitis.

Protective Mechanism

Risk Factors Compromising Protective Mechanism

Mechanical

Sphincter of Oddi

Sphincterotomy; Biliary stent

Tight junction hepatocyte

Increased intrabiliary pressures

Bacteriostatic

Bile flow prevent bacteria from adhering to the bile duct wall

Increased intrabiliary pressure

Bile mucus

Bile stasis

Bile salts (bacteriostatic effect)

-

Immunologic

Kupfer cells

Increased intrabiliary pressure

Immunoglobulin (IgA)

Increased intrabiliary pressure

Table 2 Protective mechanism against acute cholangitis

Diagnosis

The diagnosis is not more based on clinical symptoms and signs (Charcot triad or Reynold pentade) as previously described because of low sensitivity accuracy (26%).19 The diagnostic criteria are based on Tokio criteria (TG13)19 and presented in Table 3.

A, Systemic Inflammation

Thresholds

A1 Fever and/or shaking chills

Body temperature > 38 °C

A2 Laboratory data: evidence of inflammatory response

WBC < 4000 or >10.000;CRP>1 mg/dl

B Cholestasis

 

B1 Jaundice

T. Bilirubin > 2 mg/dL

B2 Laboratory data: abnormal liver function tests

ALP/gGT/AST /ALT > 1.5 x STD

C Imaging

 

C1 Biliary dilation

 

C2 Evidence of the etiology on imaging(strictire, stone, stent etc)

 

Table 3 Diagnostic criteria for acute cholangitis according Tokio criteria (TG13)19

Suspected diagnosis: One item in A and one in either B or C
Confirmed diagnosis: One item in A, one item in B and one item in C

Prognosis

The severity of acute cholangitis depends on the onset of organ dysfunction and response to medical treatment.

The severe acute cholangitis is characterized by the onset of organ dysfunction while moderate cholangitis is defined by the onset of the clinical signs or symptoms as summarized in Table 4.

Grade III Severe Acute Cholangitis

 

Grade III severe cholangitis is associated with the onset of dysfunction in at least one of any of the following organ

  1. Cardiovascular dysfunction

Hypotension requiring dopamine>5 mcg/kg or any dose of nor epinephrine

  1. Neurologic dysfunction

Disturbance of consciousness

  1. Respiratory dysfunction

PAo2/Fio2 ratio < 300

  1. Renal dysfunction

Oliguria, serume creatinine > 2 mg/dL

  1. Hepatic dysfunction

PT/INR> 1.5

  1. Hematologic dysfunction

Platelet count < 100.000/mm3

Grade II Moderate Acute Cholangitis

 

Grade II Moderate cholangitis is associated with any two of the following conditions

Abnormal WBC (>12000/mmc or < 4000/mmc)

 

High fever (>39°C)

 

Age (>75 y old)

 

Hyperbilirubinemia (total bilirubin> 5mg/dL)

 

Hypoalbuminemia (< STD x 0.7)

 

Grade I Mild Acute Cholangitis

 

Grade I does not meet the criteria of Grade III (severe) or Grade II (moderate) acute cholangitis at initial diagnosi

Table 4 Severity assessment of acute cholangitis according to the Tokio criteria (TG13)19

Treatment

Generally, antibiotic therapy is given empirically to all patients with suspected acute cholangitis as early as possible and for 7 to 10days.20 There is some evidence that once good drainage is established, 3days of antibiotic treatment may be sufficient.21 The most common microorganism isolated from bile cultures among patients with acute cholangitis are shown in Table 5Escherichia Coli and Klebsiella are the most common Gram-negative organisms and enterococcus for Gram-positive. It should be remembered that Anaerobes are common in patients sever ill, elderly and with severe cholangitis and sometimes in patients with biliary enteric anastomoses.22 Finally in patients with community acquired infections, shown in Table 6, become more frequent detection of resistant bacteria such as Klebsiella spp. and Pseudomonas spp. among Gram-negative and Enterococcus spp. and Staphylococcus among Gram positive, therefore a probability of resistant infection must be kept in mind (Figure 9).

Figure 9 Shows the principle of treatment in patients with acute cholangitis.

Isolated Microorganism from Bile Cultures

Proportion of Isolated Microorganism (%)

Gram negative

 

Escherichia Coli

31-44

Klebsiella spp

9-20

Pseudomonas spp

0.5-19

Enterobacter spp

5-9

Acinetobacter spp

-

Citrobacter spp

-

Gram positive

 

Enterococcus spp

3-34

Streptococcus spp

2-10

Staphylococcus spp

0

Anaerobes

4-20

Table 5 Common microorganisms isolated from bile cultures in patients with acute biliary infections

Isolated Microorganism

Proportion of Isolates (%)
Community Acquired Infections

Gram-Negative

 

Escherichia Coli

35-62

Klebsiella spp

12-28

Pseudomonas spp

4-14

Enterobacter

2-7

Acinetobacter spp

3

Citrobacter spp

2-6

Gram-positive

 

Enterococcus spp

10-23

Streptococcus spp

6-9

Staphylococcus spp

2

Anaerobes

1

Table 6 Common isolated microorganism from patients with acute biliary infections and community acquired infections

Timing of endoscopic biliary drainage

Timing of endoscopic biliary drainage is not evidence-based but is mainly rely on expert opinion. In a Tokio consensus conference in 200 23 there was a good agreement between the expert about timing for severe and mild cholangitis respectively as soon as possible and after conservative treatment but there was a different approach for moderate cholangitis between Japanese and overseas expert. In fact Japanese usually performed endoscopic biliary drainage within 12hours while overseas expert after a conservative treatment. Kasbah et al.,24 have shown that delayed and failed ERCP are associated with prolonged hospital stays and increased costs of hospitalization. Furthermore delayed ERCP is associated with composite clinical outcome (death, persistent organ failure, and/or intensive care unit stay). Older age and higher levels of bilirubin also are associated with patients’ composite end-point. Lee et al reported that delayed ERCP is associated with persistent organ failure,25 and Navaneethan et al.,26 showed that higher ASA classification and delays ERCP are associated with adverse clinical outcomes and prolonged length of hospital stay.26 A recent Large USA cohort study assessing 23.661 patients admitted for cholangitis who required ERCP were divided in two groups; patients admitted on the weekday (76.5%) and patients admitted on the weekend (23.5%).This study showed that there was no weekend effect regarding to length of hospital stay, mortality or total cost of hospitalization. These results suggested that other factors in the management of cholangitis (e.g, antibiotics, intravenous fluids) contributes to outcomes.27

What is the most preferable biliary drainage

Endoscopic versus percutaneous versus surgical drainage for acute cholangitis

Tokio guideline (TG13) recommended endoscopic biliary drainage for acute cholangitis (recommendation 1, level B) and suggested that percutaneous trans-hepatic biliary cholangitis drainage may be considered as alternative methods when endoscopic biliary drainage is difficult (recommendation 2, level C). Endoscopic drainage should be considered the first-choice drainage procedure because several studies have described it as less invasive than other drainage techniques.28–32 Lai et al.,29 have shown that endoscopic biliary drainage is associated with low mortality rate, reduced need for ventilation support and duration of ventilator support.

What procedure should be used for endoscopic biliary drainage?

Tokio guideline suggested that either ENBD or EBS may be considered for biliary drainage (recommendation 2, level B).33 However, if ENBD is selected for the treatment of acute cholangitis, we should bear in mind that if the patient has discomfort from the trans-nasal tube placement, they are likely to remove the tube themselves, especially elderly patients. One RCT has revealed that biliary drainage is not mandatory after endoscopic clearance of the common bile duct in patients with choledocholithiasis-induced cholangitis.34 Furthermore should be remembered that goal of treatment is based on the relief of biliary obstruction therefore any effort should be made in a single session to solve the biliary stricture regardless the aetiology.

Furthermore a trial have shown that EST in addition to biliary stent insertion is not required for successful biliary decompression in patients with severe acute cholangitis.35 Therefore Tokio guideline suggest that EST should be determined according to the patient’s condition and operator’s skill (recommendation E level c). Moreover EST followed by stone removal without biliary drainage can be recommended as an alternative procedure in patients with choledocholithiasis-induced acute cholangitis (Recommendation 2 Level C). TG13 suggests that EPBD appears to be useful for treatment in patients who have coagulopathy and acute cholangitis caused by a small stone. On the other hand, theoretically, since the aim of EPBD is to preserve the function of the sphincter of Oddi, EPBD alone without biliary drainage is contraindicated for the therapy of acute cholangitis. In addition, EPBD should be avoided in patients with biliary pancreatitis. In the case of biliary drainage for therapy of acute cholangitis, skillful endoscopic technique is mandatory because long and unsuccessful procedures may lead to serious complications in critical ill patients. Therefore, endoscopists who perform endoscopic biliary drainage in these patients, should already have a high success rate of biliary cannulation including the precutting technique. An algorithm of treatment approach according to the Tokio criteria36 is shown in Figure 10.

Figure 10 Algorithm of treatment approach of acute cholangitis according to the Tokio guideline.

Acknowledgments

None.

Conflicts of interest

Author declares there are no conflicts of interest.

Funding

None.

References

  1. Friedman GD. Natural history of asymptomatic and symptomatic gallstones. Am J Surg. 1993;165(4):399–404.
  2. Persson GE. Expectant management of patients with gallbladder stones diagnosed at planned investigation. A prospective 5- to 7-year follow-up study of 153 patients. Scand J Gastroenterol. 1996;31(2):191–199.
  3. Festi D, Reggiani ML, Attili AF, et al. Natural history of gallstone disease: Expectant management or active treatment? Results from a population-based cohort study J Gastroenterol Hepatol . 2010;25(4):719–724.
  4. Ransohoff DF, Gracie WA, Wolfenson LB, et al. Prophylactic cholecystectomy or expectant management for silent gallstones. A decision analysis to assess survival. Ann Intern Med. 1983;99(2):199–204.
  5. Stinton LM, Myers RP, Shaffer EA. Epidemiology of gallstones. Gastroenterol Clin North Am. 2010;39(2):157–169.
  6. Portincasa P, Moschetta A, Petruzzelli M, et al. Gallstone disease: Symptoms and diagnosis of gallbladder stones. Best Pract Res Clin Gastroenterol England. 2006;20(6):1017–1029.
  7. Kiriyama S, Kumada T, Tanikawa M, et al. Verification of the current JPN guidelines for the management of acute cholangitis and cholecystitis: diagnostic criteria and severity assessment. Abdom Emerg Med. 2011;31:475–482.
  8. Thompson JE, Pitt HA, Doty JE, et al. Broad spectrum penicillin as an adequate therapy for acute cholangitis. Surg Gynecol Obstet .1990;171(4):275–282.
  9. Salek J, Livote E, Sideridis K, et al. Analysis of risk factors predictive of early mortality and urgent ERCP in acute cholangitis. J Clin Gastroenterol. 2009;43(2):171–175.
  10. Ando T, Tsuyuguchi T, Okugawa T, et al. Risk factors for recurrent bile duct stones after endoscopic papillotomy. Gut. 2003;52(1):116–121.
  11. Sugiyama M, Atomi Y. Risk factors predictive of late complications after endoscopic sphincterotomy for bile duct stones: long-term (more than 10 years) follow-up study. Am J Gastroenterol. 2002;97(11):2763–2777.
  12. Costamagna G, Tringali A, Shah SK, et al. Long-term follow-up of patients after endoscopic sphincterotomy for choledocholithiasis, and risk factors for recurrence. Gastrointest Endosc. 2002;34(4):273–279.
  13. Tanaka M, Takahata S, Konomi H, et al. Long-term consequence of endoscopic sphincterotomy for bile duct stones. Gastrointest Endosc. 1998;48(5):465–469.
  14. Prat F, Malak NA, Pelletier G, et al. Biliary symptoms and complications more than 8 years after endoscopic sphincterotomy for choledocholithiasis. Gastroenterology. 1996;110(3):894–899.
  15. Boerma D, Rauws EA, Keulemans YC, et al. Wait-and-see policy or laparoscopic cholecystectomy after endoscopic sphincterotomy for bile-duct stones: a randomised trial. Lancet. 2002;360(9335):761–765.
  16. Liu Y, Su P, Lin S, et al. Endoscopic papillary balloon dilatation versus endoscopic sphincterotomy in the treatment for choledocholithiasis: a meta-analysis. J Gastroenterol Hepatol. 2012;27(3):464–471.
  17. Lipsett PA, Pitt HA. Acute cholangitis. Surg Clin North Am. 1990;70(6):1297–1312.
  18. Gigot JF, Leese T, Dereme T, et al. Acute cholangitis. Multivariate analysis of risk factors. Ann Surg. 1989;209(4):435–438.
  19. Kiriyama S, Takada T, Strasberg SM, et al. TG13 guidelines for diagnosis and severity grading of acute cholangitis (with videos). J Hepatobiliary Pancreat Sci. 2013;20(1):24–34.
  20. Dooley JS, Hamilton-Miller JM, Brumfitt W, et alAntibiotics in the treatment of biliary infection. Gut.1984;25(9):988–998.
  21. Van Lent AU, Bartelsman JF, Tytgat GN, et al. Duration of antibiotic therapy for cholangitis after successful endoscopic drainage of the biliary tract. Gastrointest Endosc. 2002;55(4):518–522.
  22. Bourgault AM England MD. Clinical characteristics of anaerobic bactibilia. Arch Intern Med. 1979;139:1346–1349.
  23. Nagino M, Takada T, Kawarada Y, et al. Methods and timing of biliary drainage for acute cholangitis: Tokyo Guidelines. J Hepatobiliary Pancreat Sur. 2007;14(1):68–77.
  24. Khashab MA, Tariq A, Tariq U, et al. Delayed and Unsuccessful Endoscopic Retrograde Cholangiopancreatography Are Associated With Worse Outcomes in Patients With Acute Cholangitis. Clin Gastroenterol Hepatol. 2012;10(10):1157–1161.
  25. F Lee, Ohanian E, L Laine, et al. Delayed endoscopic retrograde cholangiopancreatography is associated with persistent organ failure in hospitalized patients with acute cholangitis. Aliment Pharmacol Ther. 2015;42(2):212–220.
  26. Navaneethan U. Factors predicting adverse short-term outcomes in patients with acute cholangitis undergoing ERCP: A single center experience. World J Gastrointest Endosc. 2014;6(3):74.
  27. Inamdar S, Sejpal DV, Ullah M, et al. Weekend vs. Weekday Admissions for Cholangitis Requiring an ERCP: Comparison of Outcomes in a National Cohort. Am J Gastroenterol . 2016;111(3):405–410.
  28. Tsuyuguchi T, Takada T, Kawarada Y, et al. Techniques of biliary drainage for acute cholecystitis: Tokyo Guidelines. J Hepatobiliary Pancreat Surg. 2007;14(1):46–51.
  29. Lai E, Mok F, Tan E, et al. Endoscopic Biliary Drainage for Severe Acute Cholangitis. N Eng J Med. 1992;331(210):1582–1586.
  30. Leung JW, Chung SC, Sung JJ, et al. Urgent endoscopic drainage for acute suppurative cholangitis. Lancet. 1989;1(8650):1307–1309.
  31. Boender J, Nix GA, de Ridder MA, et al. Endoscopic sphincterotomy and biliary drainage in patients with cholangitis due to common bile duct stones. Am J Gastroenterol United States. 1995;90(2):233–238.
  32. Lau JY, Chung SC, Leung JW, et al. Endoscopic drainage aborts endotoxaemia in acute cholangitis. Br J Surg. 1996;83(2):181–184.
  33. Itoi T, Tsuyuguchi T, Takada T, et al. TG13 indications and techniques for biliary drainage in acute cholangitis (with videos). J Hepatobiliary Pancreat Sci. 2013;20(1):71–80.
  34. Lee JK, Lee SH, Kang BK, et al. Is it necessary to insert a nasobiliary drainage tube routinely after endoscopic clearance of the common bile duct in patients with choledocholithiasis-induced cholangitis? A prospective, randomized trial. Gastrointest Endosc. 2010;71(1):105–110.
  35. Hui CK, Lai KC, Yuen MF, et al. Does the addition of endoscopic sphincterotomy to stent insertion improve drainage of the bile duct in acute suppurative cholangitis? Gastrointest Endosc. 2003;58(4):500–504.
  36. Miura F, Takada T, Strasberg SM, et al. TG13 flowchart for the management of acute cholangitis and cholecystitis. J Hepatobiliary Pancreat Sci. 2013;20(1):47–54.
Creative Commons Attribution License

©2016 Tringali. This is an open access article distributed under the terms of the, which permits unrestricted use, distribution, and build upon your work non-commercially.