Submit manuscript...
eISSN: 2373-6372

Gastroenterology & Hepatology: Open Access

Research Article Volume 14 Issue 5

Endoscopic removal of ingested foreign body in children: experience of a tertiary care hospital of Bangladesh

Md Wahiduzzaman Mazumder,1 Ruhina Tasmeen,2 Fahmida Begum,1 Khan Lamia Nahid,1 Rubayat Alam,3 Nadira Musabbir,3 Rafia Rashid,4 Md Zakaria,5 Md Rukunuzzaman6

1Associate Professor, Department of Paediatric Gastroenterology & Nutrition, Bangabandhu Sheikh Mujib Medical University (BSMMU), Bangladesh
2Research Assistant, Department of Paediatric Gastroenterology & Nutrition, Bangabandhu Sheikh Mujib Medical University (BSMMU), Bangladesh
3Assistant Professor, Department of Paediatric Gastroenterology & Nutrition, Bangabandhu Sheikh Mujib Medical University (BSMMU), Bangladesh
4Assistant Professor (Pediatric Gastroenterology), Dr. MR Khan Shishu Hospital & Institute of Child Health, Bangladesh
5Junior consultant (Paediatrics), Sunamganj Sadar Hospital, Bangladesh
6Professor & Chairman, Department of Paediatric Gastroenterology & Nutrition, Bangabandhu Sheikh Mujib Medical University (BSMMU), Bangladesh

Correspondence: Md. Wahiduzzaman Mazumder, Department of Paediatric Gastroenterology & Nutrition, Bangabandhu Sheikh Mujib Medical University (BSMMU), Dhaka, Bangladesh

Received: July 20, 2023 | Published: September 6, 2023

Citation: Mazumder W, Tasmeen R, Begum F, et al. Endoscopic removal of ingested foreign body in children: experience of a tertiary care hospital of Bangladesh. Gastroenterol Hepatol Open Access. 2023;14(5):135-137. DOI: 10.15406/ghoa.2023.14.00558

Download PDF

Abstract

Purpose: Foreign body ingestion is a common incident in children & majority of ingested foreign body removed spontaneously, few percentages (10%) remain in GI tract. The timing of endoscopy depends on some clinical & radiological parameters. The aim of this study to is to observe clinical profile of foreign body ingestion in children in Bangladesh.

Methods: This cross-sectional descriptive study was conducted from February 2016 to December 2019 in the department of Paediatric Gastroenterology and Nutrition, Bangabandhu Sheikh Mujib Medical University (BSMMU), Dhaka. A total of 29 cases of upper GI tract foreign bodies were studied. Patients with history of ingested foreign body, were clinically examined. Asymptomatic foreign body ingestion was frequently observed. Routine neck and chest X-ray in both AP and lateral views were obtained for these cases. Flexible endoscopy for foreign body extraction with suitable foreign body retriever was used to remove the foreign bodies. Data were expressed as percentage & number.

Results: Foreign body was commonly seen 22 (75.9%) in 1-5 years of age. Sex distribution of foreign body ingestion cases, where 15 (51.7%) were male child. Among the ingested foreign bodies only 3 (10.3%) were removed within 24 hours of ingestion, 10 (34.5%) cases were removed between 24-48 hours and the remaining 16 (55.2%) were removed after 48 hours. Coin was the most common foreign body 19(65.5%). Other foreign bodies were metallic chain 3 (10.3%), button battery 2 (6.9%), others 5 (17.2%).

Conclusion: The study showed that foreign body ingestion is more common in 1-5 years age group, coin was the most commonly ingested foreign body.

Keywords: children, foreign body ingestion

Introduction

In chil­dren foreign body ingestion is a potentially serious problem at times that peaks six months to three years of age. Severe morbidity occurs in less than one percent of all patients, and 1,500 deaths per year occurs due to ingestion of foreign bodies in the United States approxi­mately.1,2 In contrast to adults, 98% of foreign body ingestions (FBIs) in children are accidental, noticed to medical attention as ingestion was witnessed or reported, usually involves common objects found in the surroundings, such as coins, toys, jewelry, magnets, and batteries.2,3 Children may present with symptoms, like stridor, drooling, fussiness, chest pain, abdominal pain, feeding refusal, wheezing, fever and respiratory distress, also some children may be completely asymptomatic, brought in medical attention as ingestion witnessed by a care giver.

Intervention is urgent (i.e., removal of the foreign body) if ingested object is sharp, long (>5 cm), or a super absorbent polymer, the ingested object is a high-powered magnet or magnets / a disk battery is in the esophagus, with signs of airway obstruction, evidence of esophageal obstruction (e.g., patient cannot swallow secretions), with signs or symptoms suggesting intestinal obstruction or inflammation (abdominal pain, or vomiting, fever).4-6 For blunt foreign bodies without the above-mentioned characteristics, lodged in the esophagus without any symptoms, observation for 12 to 24 hours is reasonable for spontaneous passage.1,7,6 Objects lodged for more than 24 hours/for an unknown period should be removed,4,5 after this period complications such as trans-mural erosion, perforation, and fistulae are more likely to occur. Complications are more likely when the ingested foreign body was disk battery, a sharp or pointed object, non-radio-opaque, or located below the upper third of the esophagus which needs aggressive approach. There are minimal publications about foreign bodies’ ingestion in children of Bangladesh. The purpose of the study to is to observe clinical profile of foreign body ingestion in children attending Bangabandhu Sheikh Mujib Medical University (BSMMU) a tertiary care hospital of Bangladesh to raise awareness of physicians regarding management.

Material and methods

We studied the Patients who presented with history of foreign body ingestion, between February 2016 -December 2019. A total of 29 cases of foreign bodies ingestion were removed (Table 1). Children with history of foreign body ingestion, were examined clinically. Asymptomatic foreign body ingestion was observed frequently. For all children X-ray neck and chest in both AP and lateral views were obtained routinely. Flexible fiber-optic oesophago-gastroscopy was done after written informed consent from parents/caregivers, by faculty members, under sedation with intravenous midazolam, using Olympus CV-150 model endoscopy machine in endoscopy room. Different types of foreign body forceps were used for removal of foreign body. After removal, oesophagoscope was re-introduced and site of foreign body impaction was re-examined for any erosion/injury of mucosa, second foreign body. After the procedure, children were monitored closely. Data were expressed as percent & number. The study was done after approval from the departmental ethical committee.

Results

Age distribution of patients shown in Table 1, Foreign body was commonly seen 22 (75.9%) in 1-5 years of age, as shown in Table 1. Table 2 shows sex distribution of foreign body ingestion cases, where 15 (51.7%) were male child. Among the ingested foreign bodies only 3 (10.3%) were removed within 24 hours of ingestion, 10 (34.5%) cases were removed between 24-48 hours and the remaining 16 (55.2%) were removed after 48 hours (Table 3). Coin was the most commonly ingested foreign body 19 (65.5%). Other foreign bodies were metallic chain 3 (10.3%), button battery 2 (6.9%), others 5 (17.2%), (Figure 1 - Figure 3). Most of the ingested foreign bodies were found in the stomach, few were in upper esophagus (Table 4). There were no complications either during endoscopy or after foreign body removal.

Age

No (%)

<12 months

2 (6.9%)

1-5 years

22 (75.9%)

>5 years

5 (17.2%)

Sex

 

Male

15 (51.7%)

Female

14 (48.3%)

Table 1 Age and sex distribution of the studied children
Values are presented as number (%).

Time

No (%)

<24 hours

3 (10.3%)

24-48 hours

10 (34.5%)

>48 hours

16 (55.2%)

Table 2 Time of removal of foreign bodies
Values are presented as number (%).

Type of foreign bodies

No (%)

Coins

19 (65.2%)

Metallic chain

3 (10.3%)

Button battery

2 (6.9%)

Others

 

Plastic toy

2 (6.9%)

Magnet of toy

1 (3.4%)

Leather piece

1(3.4%)

Metallic locket

1(3.4%)

Table 3 Types of foreign bodies removed
Values are presented as number (%).

Location

No (%)

Upper esophagus

2 (6.9%)

Lower esophagus

4 (13.7%)

Stomach

23 (79.3%)

Table 4 Location of ingested foreign bodies (n=29)
Values are presented as number (%).

Figure 1 Various ingested foreign bodies removed by using Olympus CV-150 model endoscopy.

Figure 2 Endoscopic picture showing an ingested foreign body of 3-year-old child.

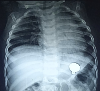
Figure 3 X-ray chest showing foreign body in stomach of a 2-year-old child.

Discussion

Foreign body ingestion and impaction in upper gastrointestinal tract in children has been a problem for a long time. Sometimes foreign bodies may pass through the gut without creating any problem for the patients but often requires endoscopic removal. Usually, foreign bodies less than 2.5 cm in diameter and/or <5 cm in length, pass through the gut. Foreign bodies which are large or sharp may be impacted. Hardly, foreign bodies which are not large may be impacted in esophagus due to smooth muscle spasm and strictures of esophagus.8

The children included in the study were aged between 10 months and 16 years, with a median age of 3.25±4.7 years, with more than one-third of the patients (75.9%) being under 5 years of age. Gender distribution showed a slight male predominance (51.7%). These findings are consistent with another report of Adhikari and other authors regarding age and gender distribution where 55.7% were below 6 year of age & 52.4% were male.8 High prevalence of foreign body ingestions in children under 5 years of age, may be explained by the exploratory habits of these children, and the gender involvement is not significant in this regard.

We found a variety of swallowed objects like coins, magnets, plastic toys etc. In our study the frequently ingested objects were coins (65.5%), which were reported 89.55 % by Shivkumer et al.6 A recent study from USA showed coins were most common (61.7%) ingested foreign body in children.9 The probable explanation of high incidence of coin as foreign body ingestion is, coins are more widely available in the whole world than other objects, also for its attractive colour and texture.

2 children (6.9%) had ingested alkaline batteries from toys, remote controls, and watches in the study, which was 6.8% in another study.9 Ingestion of button batteries is increasing worldwide with its expanding use in video games and other recreation products. We found other ingested foreign bodies like small ornamental metallic chain (10.3%), small plastic toys (6.9%), which might be explained by age-specific preferences for different kinds of available objects and toys in children under the age of five. We removed 55% of foreign bodies after 48 hours, 34% within 24-48 hours, and only 10% within 24 hours. The majority of children who reported after 48 hours came from different parts of our country may be due to local consultation, imaging & travel time to this tertiary hospital. Upper GI endoscopy is the most common method used to retrieve ingested foreign bodies, as discussed by Waltzman et al.10 In our study of children presenting with foreign body ingestions we did not find any underlying condition of the esophagus, except for one child who had un-diagnosed esophageal stenosis. As Kramer et al. reported, eosinophilic esophagitis, esophageal stenosis, or diverticula may favor esophageal impaction.11

No deaths were recorded, which is consistent with the low mortality rates associated with foreign body ingestions worldwide reported by other studies.1

Conclusion

The study showed that foreign body ingestion is more common in the 1-5 years age group, majority of children’s reported hospital after 48 hours, and coin was the most commonly ingested foreign body.

Funding

This study was not supported by any research grant.

Acknowledgments

None.

Conflicts of interest

None.

References

  1. Chen MK, Beierle EA. Gastrointestinal foreign bodies. Pediatr Ann. 2001;30(12):736–742.
  2. Dahshan A. Management of ingested foreign bodies in children. J Okla State Med Assoc. 2001;94(6):183–186.
  3. Arana A, Hauser B, Hachimi Idrissi S, et al. Management of ingested foreign bodies in childhood and review of the literature. Eur J Pediatr. 2001;160(8):468–472.
  4. Simic MA, Budakov BM. Fatal upper esophageal hemorrhage caused by a previously ingested chicken bone: case report. Am J Forensic Med Pathol. 1998;19(2):166–168.
  5. Eisen GM, Baron TH, Dominitz JA, et al. Guideline for the management of ingested foreign bodies. Gastrointest Endosc. 2002;55(7):802–806.
  6. Shivakumar AM, Naik AS, Prashanth KB, et al. Foreign body in upper digestive tract. Indian Journal of Otolaryngology and Head Neck Surgery. 2006;58(1):63–68.
  7. Nandi P, Ong GB. Foreign body in the oesophagus: review of 2394 cases. Br J Surg. 1978;65(1):5–9.
  8. Adhikari P, Shrestha BL, Baskota DK, et al. Accidental foreign body ingestion: analysis of 163 cases”. Intl Arch Otorhinolaryngol. 2007;11(3):267–270.
  9. Orsagh-yentis D, Mc Adams RJ, Roberts KJ, et al. Foreign-Body ingestion of young children treated in US emergency department 1995–2015. Pediatrics. 2019;143(5):e20181988.
  10. Waltzman ML, Baskin M, Wypij D, et al. Randomized clinical trial of the management of esophageal coins in children. Pediatrics. 2005;116(3):614–619.
  11. Kramer RE, Lerner DG, Lin T, et al. Management of ingested foreign bodies in children: a clinical report of the Naspghan endoscopy committee. J Pediatr Gastroenterol Nutri. 2015;60(4):562–574.
Creative Commons Attribution License

©2023 Mazumder, et al. This is an open access article distributed under the terms of the, which permits unrestricted use, distribution, and build upon your work non-commercially.