Submit manuscript...
eISSN: 2373-6372

Gastroenterology & Hepatology: Open Access

Case Report Volume 9 Issue 1

Esophageal Metastatic Sub-mucosal Lesion of Hepatocellular Carcinoma Diagnosed by EUS

Pradermchai Kongkam,1 Veeravich Jaruvongvanich,1 Chadin Tharavej,2 Akira Aso,3 Takashi Osoegawa,3 Shuji Shimizu,3 Pinit Kullavanijaya1

1Gastrointestinal Endoscopy Excellent Center, Department of Medicine, Thailand
2Department of Surgery, Chulalongkorn University and King Chulalongkorn Memorial Hospital, Thailand
3Department of Endoscopic Diagnostics and Therapeutics, Kyushu University Hospital, Japan

Correspondence: Pradermchai Kongkam, Gastrointestinal Endoscopy Excellent Center, Department of Medicine, Faculty of Medicine, Chulalongkorn University and King Chulalongkorn Memorial Hospital, Thai Red Cross Society 1873, Rama 4 Road, Patumwan, Bangkok, Thailand 10330,, Tel +66-2-256-4356, Fax +66-2-652-4219

Received: September 11, 2017 | Published: January 8, 2018

Citation: Kongkam P, Jaruvongvanich V, Tharavej C, Aso A, Osoegawa T et al. (2018) Esophageal Metastatic Sub-mucosal Lesion of Hepatocellular Carcinoma Diagnosed by EUS. Gastroenterol Hepatol Open Access 9(1): 00282. DOI: 10.15406/ghoa.2018.09.00282

Download PDF

Abstract

Esophageal metastatic lesions are rare particularly of hepatocellular carcinoma (HCC). The majority of reported cases were diagnosed pot-mortem, only a few cases were identified by upper endoscopy. Endoscopic ultrasound (EUS) has never been reported as a diagnostic tool for esophageal metastasis from HCC, nor has EUS-FNA ever been used for this purpose. We reported a 59-year-old male who was under surveillance post liver transplant from HCC 4years ago, had elevated alpha fetoprotein (AFP) at 258.3ng/ml and a positron emission tomography–computed tomography (PET-CT) showing an increased uptake lesion of standardized uptake value (SUV) 7.5 at gastro-esophageal junction. EUS showed a homogeneous hypoechoic mass measuring 35x20mm from the 3rd layer of the distal esophageal wall and EUS-FNA was performed. Cytopathology was consistent with metastatic HCC. The patient expired 20months later from progressive disease with systematic bacterial infection despite multidisciplinary treatments.

Keywords: endosonography, endoscopic ultrasound, eus, hepatocellular carcinoma, esophagus, metastasis, esophageal metastasis, eus-fna

Abbreviations

EUS, endoscopic ultrasound; EUS-FNA, endoscopic ultrasound-guided fine needle aspiration; AFP, alpha fetoprotein; PET-CT, positron emission tomography–computed tomography; SUV, standardized uptake value

Introduction

Esophageal metastatic lesions are rare particularly of hepatocellular carcinoma (HCC). The majority of reported cases were diagnosed pot-mortem, only a few cases were identified by upper endoscopy. Endoscopic ultrasound (EUS) has never been reported as a diagnostic tool for esophageal metastasis from HCC, nor has EUS-FNA ever been used for this purpose. We recently used both EUS and EUS-FNA to diagnose esophageal metastasis.

Case presentation

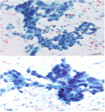
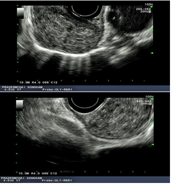
A 59-year-old male who was under surveillance post liver transplant from HCC 4years ago, had elevated alpha fetoprotein (AFP) at 258.3ng/ml and a positron emission tomography–computed tomography (PET-CT) showing an increased uptake lesion of standardized uptake value (SUV) 7.5 at gastro-esophageal junction (Figure 1). Upper endoscopy showed unremarkable esophageal mucosa so EUS was performed showing a homogeneous hypoechoic mass measuring 35x20mm from the 3rd layer of the distal esophageal wall (Figures 2.1 & 2.2) and EUS-FNA was performed. Cytopathology was consistent with metastatic HCC (Figures 3.1 & 3.2). The patient expired 20months later from progressive disease with systematic bacterial infection despite multidisciplinary treatments.

Figure 1 Positron emission tomography (PET) scan showed abnormal uptake of SUV 7.5 at gastroesophageal junction of distal part of the esophagus.

Figure 2a & 2b Endoscopic ultrasound showed a sub-mucosal homogeneous hypo-echoic mass measuring 20x35 mm in diameter, being located at 34-39 cm from incisor. The lesion originated from third layer of esophageal wall as shown in figures.

Figure 3a & 3b a) Malignant cells resembling hepatocyte present in trabeculae; b) Pseudoacinar pattern. They were stained with Papanicolaou stain with original magnification 400X.

Discussion

Gastro-intestinal metastasis from HCC is rare with an incidence of only 2%.1 Only 10 cases of the metastases have been reported in the PUBMED (Table 1).2–11 The majority of patients presents with gastrointestinal bleeding, dysphagia and elevated AFP. Diagnosis was mostly made by biopsy from endoscopy.

 

Gender/Age

Presentation

Diagnostic Method

Shape

Tissue Diagnosis

AFP (ng/ml)

Survival Time* (months)

Note

Sohn et al.3

M/74

Anorexia

Esophagogram

Polypoid

EGD

ND

ND

 

Kume et al.4

M/56

Dysphagia, tarry stool

EGD

Polypoid

Autopsy

12,200

2

 

Sohara et al.5

M/54

Melena

EGD

SMT

EGD

4,987

3

 

Sohara et al.5

M/46

Hematemesis

EGD

Polypoid

Autopsy

990

7

 

Cho et al.6

M/50

Dysphagia, hematemesis

EGD

Polypoid

EGD

Elevated

13

EUS was utilized

Tsubouchi et al.7

M/63

Epigastric pain

EGD

Polypoid

EGD

4,130

14

EUS was utilized

Choi et al.8

M/66

Hematemesis

EGD

SMT progressed to polypoid in 1 month

EGD

3.47

7

EUS was utilized

Xie et al.9

M/50

Dysphagia, odynophagia

EGD

Polypoid

EGD

ND

More than 7

OLT 3y

Hsu et al.10

M/54

Hematemesis, tarry stool

EGD

Polypoid

EGD

ND

4

OLT 2y

Fukatsu et al.11

M/63

Progressive anemia

EGD

Polypoid / SMT

EGD

ND

1

 

Table 1 Clinical characteristics of patients with HCC with esophageal metastasis were shown in this table

It is hypothesized that esophageal metastasis from HCC came about through the tumor invading the portal vein through hepatofugal portal blood flow12 or direct invasion of tumor cells to the left gastric vein to the esophagus. 7  This case supports a hypothesis of hematogenous spread mechanism of HCC due to the detection of tumor in the submucosa without mucosal involvement.

Based on available information, the majority of esophageal metastases present either as polypoid masses or sub-mucosal lesions which mainly were discovered during endoscopy. EUS were applied in only 3 cases only after the lesions were detected by endoscopy.6–8 In this case, the esophageal metastasis was incidentally suspected from the PET scan. Upper endoscopy did not detect any lesion. Nevertheless, EUS successfully identified the lesion with positive results of HCC from EUS-FNA. This suggests that patients with history of HCC with positive results of PET-CT in the gastrointestinal wall, EUS should be considered as an investigation of choice despite negative finding from endoscopy.

In general, prognosis of esophageal metastasis is extremely poor with an average survival time shorter than 1month.8 Given the fact that this current case was detected in earlier stage than other previously reported cases, his survival time was then longer than other ones.

Conclusion

This case report demonstrated that EUS can diagnose early esophageal metastasis despite negative endoscopic findings. It is hence a potential investigation of choices to search for gastrointestinal wall metastasis including esophagus in patients with positive PET scan. This current case report also supports a hypothesis of hematogenous spreading mechanism of hepatocellular carcinoma.

Conflicts of interest

None.

Acknowledgments

None.

Funding

None.

References

  1. Chen LT, Chen CY, Jan CM, et al. Gastrointestinal tract involvement in hepatocellular carcinoma: clinical, radiological and endoscopic studies. Endoscopy. 1990;22(3):118–123.
  2. Malenchini M, Resano JH. Series of very rare diseases of the esophagus: case No. 7: metastasis of a primary cancer of the liver to the esophageal wall. Dia Med. 1953;25(76):2134–2135.
  3. Sohn D, Valensi Q, Bryk D. Hepatoma metastasizing to the esophagus. JAMA. 1965;194(8):910–912.
  4. Kume K, Murata I, Yoshikawa I, et al.Polypoid metastatic hepatocellular carcinoma of the esophagus occurring after endoscopic variceal band ligation. Endoscopy. 2000;32(5):419–421.
  5. Sohara N, Takagi H, Yamada T, et al. Esophageal metastasis of hepatocellular carcinoma. Gastrointest Endosc. 2000;51(6): 39–741.
  6. Cho A, Ryu M, Yoshinaga Y, Ishikawa Y, et al. Hepatocellular carcinoma with unusual metastasis to the esophagus. Hepatogastroenterology. 2003;50(52):1143–1145.
  7. Tsubouchi E, Hirasaki S, Kataoka J, et al. Unusual metastasis of hepatocellular carcinoma to the esophagus. Intern Med. 2005;44(5):444–447.
  8. Choi CS, Kim HC, Kim TH, et al. Does the endoscopic finding of esophageal metastatic hepatocellular carcinoma progress from submucosal mass to polypoid shape? Gastrointest Endosc. 2008;68:155–159.
  9. Xie LY, Fan M, Fan J, et al.Metastatic hepatocellular carcinoma in the esophagus following liver transplantation. Liver Transpl. 2008;14:1680–1682.
  10. Hsu KF, Hsieh TY, Yeh CL, et al. Polypoid esophageal and gastric metastases of recurrent hepatocellular carcinoma after liver transplantation. Endoscopy. 2009;41Suppl2:E82–E83.
  11. Fukatsu H, Miura S, Kishida H, et al. Gastrointestinal: esophageal metastasis from hepatocellular carcinoma. J Gastroenterol Hepatol. 2012;27:1536.
  12. Arakawa M, Kage M, Matsumoto S, et al. Frequency and significance of tumor thrombi in esophageal varices in hepatocellular carcinoma associated with cirrhosis. Hepatology. 1986;6(3):419–422.
Creative Commons Attribution License

©2018 Kongkam, et al. This is an open access article distributed under the terms of the, which permits unrestricted use, distribution, and build upon your work non-commercially.