Submit manuscript...
eISSN: 2373-6372

Gastroenterology & Hepatology: Open Access

Case Report Volume 5 Issue 1

Experience of Surgery In Situs Inversus Totalis Patient - 3 Case Report

Laila Shirin,1 Rubina Yasmin2

1Surgergical Oncology, National Institute of Cancer Research & Hospital, Bangladesh
2Anaesthesiology, National Institute of Ophthalmology, Bangladesh

Correspondence: Laila Shirin, Surgergical Oncology, National Institute of Cancer Research & Hospital, Bangladesh

Received: January 21, 2016 | Published: June 30, 2016

Citation: Shirin L, Yasmin R (2016) Experience of Surgery In Situs Inversus Totalis Patient - 3 Case Report. Gastroenterol Hepatol Open Access 5(1): 00125. DOI: 10.15406/ghoa.2016.05.00125

Download PDF

Abstract

Situs inversus totalis is a congenital anomaly where there is complete abnormal transposition of thoracic and abdominal viscera. It occurs once in every 20,000 individuals. It is more common in male. In such cases vermiform appendix is situated to the left as it is also in some cases of malrotation of gut. Situs inversus totalis with cholelithiasis is also a rare anomaly where the gall bladder is situated to the left. In this paper 3 case reports given. All of them are female. Out of the three cases, two cases with appendicitis and one case with cholelithiasis. One of the cases with acute appendicitis was treated by open surgery and two other by laparoscopic surgery.

Introduction

In the emergency department most common presentation of the patients are abdominal pain.1,2 Among these patients acute appendicitis is the most common cause of abdominal pain and appendicectomy is the most commonly performed emergency abdominal operation. Usually it can be diagnosed easily but sometimes it is really difficult to diagnose acute appendicitis especially in case of female. Despite extraordinary advances in modern radiographic imaging, diagnostic and laboratory investigations, the diagnosis of acute appendicitis remain essentially clinical3 based on the specific sign & symptoms and requiring a mixture of observation, clinical findings and surgical science.

Situs inversus totalis is a congenital anomaly where there is complete abnormal transposition of thoracic and abdominal viscera. In literature it is found to be in 1:20,000 of the general population. It is found to be inherited as autosomal recessive pattern.4 Situs inversus may occur only in the abdominal organ .Sometimes visceral situs inversus may occur with dextrocardia 5 and then it is known as situs inversus totalis. During early embryonic development anticlockwise rotation of the gut occurs. When the gut rotates in clockwise direction then they are placed in abdomen exactly opposite to the normal position that is “mirror image” of the normal bowel.4 In such cases vermiform appendix is situated to the left as it is also in some cases of malrotation of gut. In case of Situs inversus totalis with cholelithiasis the gall bladder is situated to the left. Due to this malrotation diagnosis of the cause of abdominal pain in situs inversus totalis become difficult because pain localization becomes abnormal.

 Now a day diagnostic laparoscopy becomes a popular way for diagnosis of acute abdominal conditions and also gynecologic diseases in women.5

According to the literature frequency of cholelithiasis is similar in Situs inversus, and in the normal population.6 Pain in cases of acute cholecystitis with situs inversus usually felt in the epigastrium in 30% cases. Typical pain localised to the right upper quadrant is found in only 10% cases.6 The explanation of this type of pain localization is that the central nervous system does not share with the general visceral transposition during the malrotation.7

Laparoscopic cholecystectomy is the gold slandered in the management of cholecystitis with cholelithiasis and is the commonest of the laparoscopic procedures carried out now a day. Several reports also proved that laparoscopic cholecystectomy is not contraindicated for cholelithiasis in situs inversus patients.8,13–15

Case profile

First case

Mrs Bithi, 18years of age, a young married lady from Demra, Dhaka, from a conservative family, presented with the complaints of pain on both side of the lower abdomen for one day. The pain was dull aching in nature, associated with vomiting and it spreads all over the abdomen. It had no relation with food and was not associated with burning sensation during micturition or per vaginal discharge. She had complaints of 3days of overdue of menstrual period. There was history of same type of attack for 2times which was relieved by medication.

On examination, tenderness was present on right iliac fossa but she had also diffuse tenderness over whole abdomen especially on the left side and epigastrium. There was rebound tenderness on both iliac fossa. Digital rectal examination revealed tenderness on rectum.

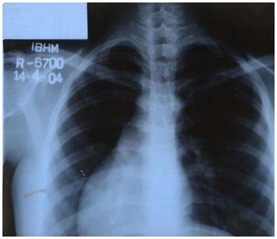
On investigation, her Hb% was 8.7gm%, total count of WBC was 15,000/dl, polymorph was 73% and lymphocyte count was 22%. Urine revealed no abnormality. USG of lower abdomen was done and was reported as normal. Patient was admitted to IBH. After admission she was treated conservatively. On the following day patient had only mild tenderness on the abdomen and discharge from the hospital. On the same night she developed severe pain and was admitted again. She was prepared for emergency appendicectomy. As the patient had complains of amenorrhoea for 3days spinal anesthesia was given. Lanz incision was given and appendix was tired to identify. But after repeated attempt appendix was not found in right iliac fossa. The incision was extended but failed to localize caecum and ascending colon. Some form of congenital anomaly was suspected. General anesthesia was given and the anesthetist identified that her heart beat was on the right side. After confirmation of dextrocardia small gut was followed up and caecum was indentified on the left side. Appendix was found inflamed and appendicectomy was done, recovery of the patient was uneventful. After operation for confirmation of situs inversus chest X ray and USG was done and dextrocardia and situs inversus was confirmed (Figure 1).

Figure 1 CXR – Mrs. Bithi.

Second case

Mrs tahera Begum, aged 55years coming from Laxmipur, Noakhali with pain on epigastrium.
She gave birth of seven children, six are alive. NO history of previous operation, all is NVD without complication. ALC was 24years. Patient is sensitive and maintains strict religious principle and put on purdah. Some days before coming to hospital patient complaint of chest pain and palpitation after quarrel and at that time ECG showed MI, abnormal right axis deviation and left ventricular hypertrophy. Her other parameters is normal. Diagnosis of gallstone was confirmed by abdominal ultrasound. During ultrasound examination she was diagnosed as a case of situs inversus where the liver and gallbladder was detected on the left side whereas the spleen on the right side of abdomen. CXR shows dextrocardia. I n this case the patient presented with epigastric pain only with no history of right or left upper quadrant pain. She had an USG previously showing cholelithiasis but nothing was mentioned about the situs inversus.

Patient was admitted to hospital. On admission her pulse was 92/min. and BP 140/80mm of Hg. Patient was prepared for laparoscopic cholecystectomy. For performing laparoscopic cholecystectomy monitors, diathermy and other equipments were positioned on the left side, which were normally placed on the right side of the patient. The position of the surgeon, camera assistant & second assistant were just opposite to that of normal laparoscopic cholecystectomy. Four ports were made exactly opposite to traditional laparoscopic cholecystectomy Surgeon and cameramen stood on the right side. At laparoscopy the abdominal contents were seen to be arranged in totally reverse position with gall bladder on the left side. The procedure was uncomplicated. But it was difficult to handle and dissect the Callots triangle with the left hand. It took about 45minutes to clip the cystic artery and duct. Operation was completed successfully and a drain was given. Postoperative recovery was uneventful (Figure 2).

Figure 2 Mrs Tahera before and after lap. Chole.

Third case

Mrs Morzina 35years old came from Manda, Dhaka suffered from pain on both iliac fossa it started from umbilicus and then felt on both side more to the right side and also to the back for 2days. She had anorexia but no history of vomiting. She had no complaints of per vaginal discharge, burning sensation during micturition or fever. She had regular menstrual period and menstruation occurs 20days back. She had history of similar type of attack previously.

She gave birth to 3 children by normal vaginal delivery. Age of last child was 8years. She had no history of previous operation.

On examination she had tenderness on both iliac fossa, rebound tenderness was positive but more on the left side. No other positive findings can be elicited. Initial diagnosis was pelvic inflammatory disease or acute appendicitis. Patient was not a known case of situs inversus totalis.

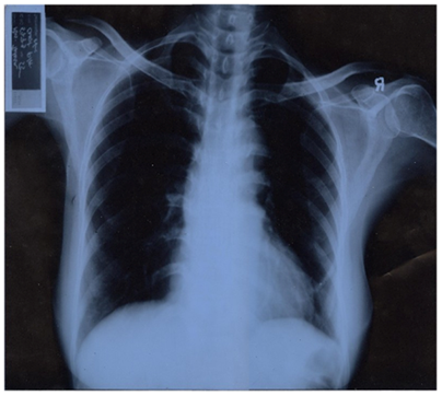
On investigation, her Hb% was10.7gm/dl, Total WBC count was 15,200/cumm, polymormphs was 72%, lymphocytes was 19%. USG showed dextrocardia with situs inversus and right adnexal cyst (simple follicular). After we got this report Echocardiogram was done and comment was heart on right side of the chest, mild concentric LVH with good systolic LV function. After confirmation of the diagnosis of situs inversus totalis, laparoscopic surgery was planned as it can help in confirmation of diagnosis and operation can be done with minimum handling. Three ports one on umbilicus, one on left iliac fossa and third one on suprapubic region slightly to the left were made. Whole abdomen was checked thoroughly. Finally lap.appendicectomy was done. Postoperative recovery was good (Figure 3).

Figure 3 CXR – Mrs Tahera.

Figure 4 Mrs Morzina before and after lap. appendicectomy.

Figure 5 CXR - Mrs Morzina.

Discussion

Acute appendicitis is the most common abdominal surgical emergency; the diagnosis at times can be extremely difficult. Appendicectomy is the most frequently performed urgent abdominal operation. As the vermiform appendix is situated to the left women with appendicitis in situs inversus totalis had a lower incidence of typical right iliac fossa pain and tenderness and other classical signs. Women of childbearing age usually has a high incidence of wrong diagnosis.3,5,9

 Due to the fact that many conditions including midcycle ovulation pain, ruptured ectopic pregnancy, twisted ovarian cyst etc can mimic acute appendicitis. Situs inversus and intestinal malrotation are the congenital condition associated with left sided appendix. In case of Situs inversus left sided appendix makes diagnosis of appendicitis becomes difficult.

Situs inversus is caused by a clockwise rotation of the viscera instead of anticlockwise rotation during early embryonic life, resulting in a “mirror image” of the normal bowel.4,10

As the diagnosis of acute appendicitis is difficult in situs inversus totalis due to abnormal pain localization so there is increase chance of an incorrect incision.10 In our case, we could not diagnose situs inversus totalis before operation, so in that case incision was incorrect which was given on the right side. This was the cause of difficulty in handling and operating the case.

 Laparoscopy is very much useful in case of suspected appendicitis in Situs inversus totalis. It not only exclude the possibility of other abdominal conditions but also useful to detect the position of appendix and locate the base. Diagnostic laparoscopy was also very useful in women with acute appendicitis and gynecologic diseases. In our third case laparoscopic appendicectomy was done to overcome the problem of wrong incision and for easy localization of base of appendix. Similar to our study Van Dalen also found Laparoscopic assessment to be correct in cases where appendix localization is difficult. According to the study by Van Dalen diagnostic accuracy of appendicitis was improved from 75% to 97% by laparoscopy.11

 In our study the case of cholecystitis have pain in the epigastrium only. There is also similarity of pain localization with other study they have noted in 30% of cases the pain was felt in the epigastrium alone in patients with situs inversus.11 The proposed explanation for this is that the central nervous system may not share in the general transposition.

Laparoscopic cholecystectomy is one of the commonest surgical procedures carried out all over the world as well as in Bangladesh. Cholelithiasis is observed with a similar frequency in situs inversus patients as it is found in the normal population.6,12

We faced difficulty in handling instruments, dissection in Calot's triangle and also in clipping the cystic duct and cystic artery. It is time consuming also for a right handed person. Similar type of difficulty is also illustrated by Damian McKay and L. M. Oms.7,12  The ability of a left-handed surgeon to perform the dissection by using both right and left hands make the operation easy for a left hander person than a right handed one.12 Laparoscopic approach is not contraindicated in Situs inversus patients for performing cholecystectomy.12–15

Conclusion

Situs inversus totalis is a very rare condition. Clinically diagnosis of abdominal conditions like appendicitis and cholecystitis is difficult due to abnormal pain localization. But by CXR and USG examination it can be easily diagnosed before surgery. Laparoscopy is helpful for diagnosis and treatment of acute appendicitis in Situs inversus totalis cases. Though it is not contraindicated laparoscopic cholecystectomy is time consuming and a bit difficult to perform specially by a right handed person.

Acknowledgments

None.

Conflicts of interest

Author declares there are no conflicts of interest.

Funding

None.

References

  1. Nelson MJ, Pesola GR. Left lower quadrant pain of unusual cause. J Emerg Med. 2001;20(3):241–245.
  2. AE Ucar, E Ergul, R Aydin, et  al. Left-Sided Acute Appendicitis With Situs Inversus Total is. The Internet Journal of Surgery. 2006;12(2):241–245.
  3. Russel RCG, Williams NS, Bulstrode Christopher. Bailey and Love’s Short Practice of Surgery. 24th edn, India: Jaypee brothers;  2005. pp. 1203–1241.
  4. Djohan RS, Rodriguez HE, Wiesman IM, et al. Laparoscopic cholecystectomy and appendectomy in situs inversus totalis. J S L S. 2000;4(3):251–254.
  5. RJ Tronin, VA Burova, AA Grinberg. Laparoscopic diagnosis of acute appendicitis in women. J Am Assoc Gynecol Laparosc. 1996;3(2):257–261.
  6. Machado NO, Chopra P. Laparoscopic cholecystectomy in a patient with situs inversus totalis: feasibility and technical difficulties. JSLS. 2006; 10(3):386–91.
  7. Damian McKay, Geoffrey Blake. Laparoscopic cholecystectomy in situs inversus totalis: a case report. BMC Surgery. 2005;17(5).
  8. Yaghan RJ, Gharaibeh KI, Hammori S. Feasibility of laparoscopic Cholecystectomy in Situs inversus. J Laparoendosc Adv Surg Tech. 2004;11(4):233–237.
  9. Rothrock SG, Green SM, Dobson M, et al. Misdiagnosis of appendicitis in nonpregnant women of childbearing age. J Emerg Med. 1995;13(1):1–8.
  10. Van Steensel CJ, Wereldsma JC . acute appendicitis in complete situs inversus. Neth J Surg. 1985;37(4):117–118.
  11. Van Dalen R, Bagshaw PF, Dobbs BR, et al. the utility of laparoscopy in the diagnosis of acute appendicitis in women of reproductive age. Surg Endosc. 2003;17(8):1311–1313.
  12. LM Oms, JM Badia. Laparoscopic cholecystectomy in situs inversus totalis: The importance of being left-handed. Surg Endosc. 2003;17(11):1859–1861.
  13. Crosher RF, Harnarayan P, Bremner DN. Laparoscopic cholecystectomy in situs inversus totalis. J R Coll Surg Edinb. 1996;41:183–184.
  14. Takei HT, Maxwell JG, Clancy TV, et al. Laparoscopic cholecystectomy in situs inversus totalis. J Laparoendosc Surg. 1992;2(4):171–176.
  15. Polychronidis A, Karayiannakis A, Botaitis S, et al. Laparoscopic cholecystectomy in a patient with situs inversus totalis and previous abdominal surgery. Surg Endosc. 2002;16(7):1110.
Creative Commons Attribution License

©2016 Shirin, et al. This is an open access article distributed under the terms of the, which permits unrestricted use, distribution, and build upon your work non-commercially.