Submit manuscript...
eISSN: 2373-6372

Gastroenterology & Hepatology: Open Access

Case Report Volume 9 Issue 4

Foreign body perforation of the duodenum

Jothi Rajasekaran Murugesan,1 Wun Chung Teoh,2 Sergei Fedorine2

1Department of General Surgery, Campbell town Hospital, Australia
2Department of Gastroenterology, Campbell town Hospital, Australia

Correspondence: JothiRajasekaranMurugesan, Department of General Surgery, Campbelltown Hospital, Therry road, Campbelltown, NSW, Australia 2560, Tel 61431474326

Received: May 27, 2018 | Published: July 31, 2018

Citation: Murugesan JR, Teoh WC, Fedorine S. IForeign body perforation of the duodenum. Gastroenterol Hepatol Open Access. 2018;9(4):139-140. DOI: 10.15406/ghoa.2018.09.00312

Download PDF

Abstract

Upper gastrointestinal perforation from a tooth pick is very rare. Most foreign bodies that are swallowed, quite often go through the gastrointestinal tract without any complications. Many of these perforations are however instigated by sharp objects like toothpicks or fish bones. Diagnosis of bowel perforation from these foreign bodies is often a great challenge, as most patients have non-specific symptoms. While such full thickness perforations have usually been treated operatively, minimally invasive option of managing these perforations with endoscopic procedures is possible.

Keywords: toothpick, foreign body, perforation, duodenum

Introduction

Duodenal perforation from a foreign body is very rare. However toothpick ingestion can be associated with significant complications including perforation. Only 143cases have been described between 1927 and 2017.1–4

Case report

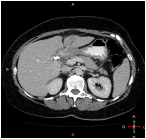
A 50year old woman presented to our hospital with a 4week history of dyspepsia and vague abdominal pain with exacerbation of symptoms and vomiting in the last 2weeks prior to presentation. Her abdomen was soft and non tender on examination. Computerised tomography (CT) scan of the abdomen demonstrated mural thickening at the anterior wall of the duodenum and associated fat stranding. This was seen in association with an obliquely oriented hyperdense focus extending from the gastric lumen across the first part of the duodenum into segment 3 of adjacent liver with surrounding poorly defined irregular hypodensity measuring 21x15x16mm in size, suspicious for liver abscess (Figure 1).

Figure 1

Endoscopy demonstrated a toothpick penetrating the first part of duodenum (Figure 2). This was manoeuvred and extracted endoscopically (Figure 3). After removal, there was drainage of pus from the tract. The patient had an uneventful post-procedural recovery after a short course of intravenous antibiotics and was discharged. Follow up CT scan 2weeks later demonstrated complete resolution of the liver abscess.

 Figure 2

Figure 3

Discussion

Most patients are unaware of having ingested a foreign body and their presentation often differs.5,6 CT scan of the abdomen is very useful in detecting foreign bodies and their associated complications. Most cases of perforation are caused by ingestion of thin pointed objects.7 Swallowed toothpicks very frequently lead to perforation of gastro-intestinal tract. Endoscopy is the first line management for perforation of the stomach and duodenum in patients who do not show evidence of peritonitis.8

In summary, management of swallowed toothpick can be very challenging, depending on the associated complications, as they often do not pass through and end up in perforation of the gastro-intestinal tract. Early gastroscopy with prior CT scan of the abdomen can improve the management.

Acknowledgements

None

Conflict of interest

 The author declares no conflict of interest.

References

Creative Commons Attribution License

©2018 Murugesan, et al. This is an open access article distributed under the terms of the, which permits unrestricted use, distribution, and build upon your work non-commercially.