Submit manuscript...
eISSN: 2373-6372

Gastroenterology & Hepatology: Open Access

Case Report Volume 2 Issue 2

Gallbladder Polyps, Surgical Indications According to their Size and Morphology

Nelson Carrillo, Miguel Perez Central

Department of Gastroenterology, University of Venezuela, Venezuela

Correspondence: Nelson Carrillo, University of Venezuela, Libertador Avenue, Angostura Building, 7 Floor, Office 7B, Caracas, Venezuela, Tel 58-212-7632202, Fax 58-212-9917903

Received: February 01, 2015 | Published: April 7, 2015

Citation: Carrillo N, Central MP (2015) Gallbladder Polyps, Surgical Indications According to their Size and Morphology.Gastroenterol Hepatol Open Access 2(2):00035. DOI: 10.15406/ghoa.2015.02.00035

Download PDF

Abstract

A case is presented of a 40 years old female with gallbladder polyp with an early adenocarcinoma.

Keywords: Gallbladder polyp, early gallbladder adenocarcinoma

Case

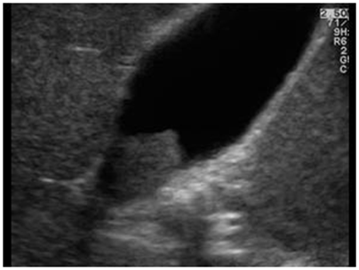
A 40 years old female patient is studied by vague symptoms, on ultrasonography of the gallbladder, vesicular polyp 15 mm in diameter was found (Figure 1). Laboratory tests, and upper Endoscopy were normal. A laparoscopic cholecystectomy was done. The pathologic examination showed a superficial mucosal adenocarcinoma without infiltration of the rest of the wall of the gallbladder. The outcome was good.

Discussion

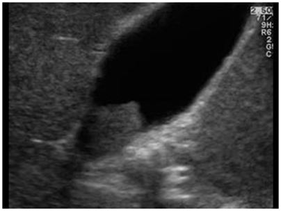
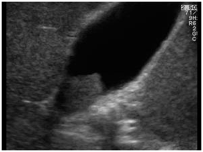
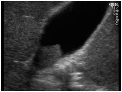
When doing an ultrasound of the gallbladder and find unique or multiple polyps leads to the question what is the most appropriate behaviour. The gallbladder polyps are pre-malignant lesions and there are reports that the size limits 10 mm in diameter as an indication of cholecystectomy.1–5 Ultrasound of the gallbladder is a routine study in the evaluation of patients with or without symptoms, which allows the diagnosis of these lesions in asymptomatic people. If polyps are small, with a size less than 10 mm, it is recommended periodic monitoring for every 4-6 months and measure on each test and observe its structure and shape (Figure 2 & 3). If increase in size or change in its morphology, should be suspected malignancy and cholecystectomy should be indicated,6 but if the size is greater than 10 mm and is irregular in the first examination , cholecystectomy should be done without waiting, because there is a 88 % chance to be a gallbladder carcinoma7 ( Figure 4). The cancer of the gallbladder that causes symptoms is usually an advanced lesion with a poor prognosis and no curative treatment. We therefore recommend that the gallbladder polyp 10 mm or more in diameter, should undergo laparoscopic cholecystectomy and thus the local dissemination of a posible early tumor lesion is avoided.8–21

Figure 1 A large and irregular polyp, 15 mm in diameter in the gallbladder neck.

Figure 2 Several small polyps in the gallbladder.

Figure 3 An unique and small polyp in the gallbladder, 8 mm in diameter.

Figure 4 A greater polyp in the gallbladder, 12 mm in diameter.

Acknowledgements

None.

Conflicts of interest

The author declares there is no conflict of interest.

References

  1. Lichtenstein GR, Hanauer SB, Sandborn WJ. Practice Parameters Committee of American College of Gastroenterology. Management of Crohn's disease in adults. Am J Gastroenterol. 2009;104(2):465–483.
  2. Gisbert JP, Chaparro M, Gomollón F. Common misconceptions about 5-aminosalicylates and thiopurines in inflammatory bowel disease. World J Gastroenterol. 2011;17(30):3467–3478.
  3. Thomson AB, Gupta M, Freeman HJ. Use of the tumor necrosis factor-blockers for Crohn's disease. World J Gastroenterol. 2011;18(35):4823–4854.
  4. Adalimumab. In. Micromedex 2.0 online. Greenwood Village (CO): Thompson Reuters.
  5. Mesalamine. In. Micromedex 2.0 online. Greenwood Village (CO): Thompson Reuters. [updated 5/12/014; accessed 5/14/2014].
  6. Asacol [package insert]. Warner Chilcott Deutschland GmbH. D-64331 Weiterstadt, Germany; 2010.
  7. Navarro VJ, Senior JR. Drug-related hepatotoxicity. N Engl J Med. 2006;354(7):731–739.
  8. Ghabril M, Bonkovsky HL, Kum C, et al. Liver injury from tumor necrosis factor-α antagonists: analysis of thirty-four cases. Clin Gastroenterol Hepatol. 2013;11(5):558–564.
  9. Kaiser T, Moessner J, Patel K, et al. Life threatening liver disease during treatment with monoclonal antibodies. BMJ. 2009;338:b508.
  10. Adar T, Mizrahi M, Pappo O, et al. Adalimumab-induced autoimmune hepatitis. J Clin Gastroenterol. 2010;44(1):e20–e22.
  11. Grasland A, Sterpu R, Boussoukaya S,et al. Autoimmune hepatitis induced by adalimumab with successful switch to abatacept. Eur J Clin Pharmacol. 2012;68(5):895–898.
  12. Hagel S, Bruns T, Theis B, et al. Subacute liver failure induced by adalimumab. Int J Clin Pharmacol Ther. 2011;49(1):38–40.
  13. Frider B, Bruno A, Ponte M, et al. Drug induced liver injury caused by adalimumab: a case report and review of the bibliography. Case Reports  Hepatol. 2013; Article ID 406901:1-3.
  14. Braun M, Fraser GM, Kunin M, et al. Mesalamine-induced granulomatous hepatitis. Am J Gastroenterol. 1999;94(7):1973–1974.
  15. Deltenre P, Berson A, Marcellin P, et al. Mesalamine (5-aminosalicylic acid) induced chronic hepatitis. Gut. 1999;44(6):886–888.
  16. Aithal GP. Hepatotoxicity related to antirheumatic drugs. Nat Rev Rheumatol. 2011;7(3):139–150.
  17. Efe C. Drug induced autoimmune hepatitis and TNF-α blocking agents: Is there a real relationship. Autoimmun Rev. 2013;12(3):337–339.
  18. Khokhar OS, Lewis JH. Hepatotoxicity of agents used in the management of inflammatory bowel disease. Dig Dis. 2010;28(3):508–518.
  19. Gladman DD, Mease PJ, Ritchlin CT, et al. Adalimumab for long-term treatment of psoriatic arthritis: forty-eight week data from the adalimumab effectiveness in psoriatic arthritis trial. Arthritis Rheum. 2007;56(2):476–488.
  20. Sokolove J, Strand V, Greenberg JD, et al. Risk of elevated liver enzymes associated with TNF inhibitor utilization in patients with rheumatoid arthritis. Ann Rheum Dis. 2010;69(9):1612–1617.
  21. Naranjo CA, Busto U, Sellers EM, et al. A method of estimating the probability of adverse drug reactions. Clin Pharmacol Ther. 1981;30(2):239–245.
Creative Commons Attribution License

©2015 Carrillo, et al. This is an open access article distributed under the terms of the, which permits unrestricted use, distribution, and build upon your work non-commercially.