Submit manuscript...
eISSN: 2373-6372

Gastroenterology & Hepatology: Open Access

Research Article Volume 14 Issue 6

“Healed” Appendix is not actually “Healed” from the surgeon’s perspective: Is it a histopathologic misnomer?

Pankaj Srivastava, Shalini Srivastava

1Department of Surgery, Om Surgical Center & Maternity Home, Varanasi, India
2Department of Obstetrics, Gynecology & Infertility Management, Om Surgical Center & Maternity Home, India

Correspondence: Pankaj Srivastava, Laparoscopic, Thoracic, Thoracoscopic & VATS Surgeon, Om Surgical Center & Maternity Home, SA 17/3, P-4, Sri Krishna Nagar, Paharia, Ghazipur Road, Varanasi, UP, India

Received: December 12, 2023 | Published: December 22, 2023

Citation: Srivastava P, Srivastava S. “Healed” Appendix is not actually “Healed” from the surgeon’s perspective: Is it a histopathologic misnomer? Gastroenterol Hepatol Open Access. 2023;14(6):191-195. DOI: 10.15406/ghoa.2023.14.00566

Download PDF

Abstract

The study aims to present a refute for the use of histopathologic diagnostic nomenclature of the word “Healed” in the perspective of the appendix after appendectomy. Appendectomy is being done worldwide for the acute inflammation of the appendix in golden hours or as an interval appendectomy after the subsidence of the features of inflammation for recurrent appendicitis. The word “Healed” presents a negative psychological impact on the patients as they think that their already “Healed” appendix is unnecessarily removed by the surgeon whereas the pathologist friends use this nomenclature only by the presence of features of any healing wound like fibrosis, eosinophils etc. We also present gross examination findings, histopathologic microscopic features along with photomicrographs of the few appendectomy specimens which were laparoscopically operated for the recurrent appendicitis.

 Keywords: appendix, appendicitis, acute appendicitis, chronic appendicitis, recurrent appendicitis, inflammation, laparoscopic appendectomy, histopathology

Abbreviations

SNOP, systematic nomenclature of pathology; SNOMED, systematized nomenclature of medicine; CTV, clinical terminology version; NHS, national health service; CAP, college of american pathologists; ICD, international classification of diseases; ICH, international council for harmonisation of technical requirements for pharmaceuticals for human use; MedDRA, medical dictionary of regulatory activities

Introduction

Someone precisely said “Words have meaning and names have power”, the power of expression, the power of understanding, and most importantly the power of meaning. As per the Cambridge Dictionary the meaning of ‘heal’ is to make or become well again, especially after a cut or other injury. Oxford Learners Dictionary describes ‘heal’ as to become healthy again; to make something healthy again. For a medical person, Healing in a holistic sense has faded from medical attention and is rarely discussed in the medical literature.1

Surgeons are intimately related to the word ‘healing’ because they always create wounds to operate upon a patient in the form of surgical incisions. Therefore they always worried about proper wound healing. For them, the word ‘Healed’ simply means ‘Cured’ so no intervention or action is required in that case. Histopathology professionals should try to understand the gravity of medical terminology to interpret the information provided on specimens so that surgeons carry their diagnosis in a better way to the patients.

Of all the clinical disciplines, pathology is the one that most directly reflects the demystification of the human body that has made medicine so effective and so humane.2 Therefore their responsibilities increase greatly.

Case presentation

We present nine cases in which six were reported as “Healed Appendicitis” (Case-1 to Case-6), two were reported as “Acute appendicitis with onset of healing (Case-7 & Case-8), and one was reported as “Acute on chronic appendicitis” (Case-9). Case-7 to Case-9 are being presented here to elaborate the histological findings of acute and chronic appendicitis for comparison. We present the histopathologic features of the surgical specimen including gross examination along with their microscopic findings to discuss the rationality of the pathologic nomenclature. Out of nine only one was male. Age ranges from 15 to 29 years. The duration of illness ranges from six months to two years. All of them were undergone planned laparoscopic appendectomy under regional or general anesthesia using standard three abdominal ports technique. At the time of operation, all patients were stable with no complaints. No intraoperative and postoperative complications of any kind noticed in any case. All were discharged from the hospital on day 3 postoperatively. After appendectomy, the excised appendix were sent to histopathology after proper tissue fixation in 10% formalin solution. All the patients were normal with no complaints in postoperative follow-up of five years.

Case 1

25 years old female

Gross Histopathologic Examination: formalin fixed appendix specimen 5.0 x 0.5 cm and attached mesoappendix measuring 3.0 x 1.5 cm. Cut surface solid.

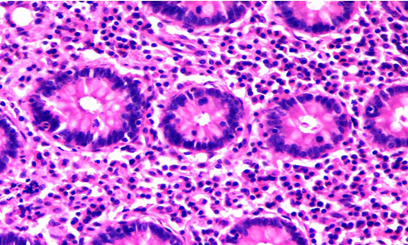
Microscopic Examination: Section studied shows mucosal ulceration with marked chronic inflammatory cell infiltrate in muscularis propria. Prominent fibrosis and fibrous obliteration also seen. No granuloma or malignancy seen (Figure 1).

Figure 1 Healed appendicitis.

Final Histopathologic Diagnosis: Healed Appendicitis.

Case - 2

19 years old female

Gross Histopathologic Examination: formalin fixed appendix specimen 5.0 cm length, measuring 0.5 cm diameter. Mesoappendix cauterized. Cut surface solid.

Microscopic Examination: Section studied shows mucosal ulceration with dense plasma cell infiltrate in muscularis propria along with necrosis and vascular congestion. Few eosinophils also seen. The wall shows prominent fibrosis, chronic inflammatory infiltrate and granulation tissue.

No granuloma or malignancy seen (Figure 2).

Figure 2 Healed appendicitis.

Final Histopathologic Diagnosis: Healed Appendicitis.

Case - 3

27 years old female

Gross Histopathologic Examination: formalin fixed appendix specimen 5.8 cm long, 0.5 cm diameter appendix. The attached mesoappendiceal fat extends upto 0.4 cm away from wall.

Microscopic Examination: Section examined shows ulcerated appendiceal mucosa with transmural inflammatory infiltrate comprising mainly of eosinophils and few neutrophils (Figure 3).

Figure 3 Healed appendicitis.

Final Histopathologic Diagnosis: Healed on healing Appendicitis.

Case - 4

24 years old female

Gross Histopathologic Examination: formalin fixed appendix specimen 2.0 cm long, 0.8 cm diameter appendix. A staple line is present at the proximal resection margin and at the margin of resection of the mesoappendix (inked black). The serosal surface is smooth, grey-brown, and glistening. No perforation is identified. The mucosa is pink-tan and unremarkable. No fecolith is present, and no mass lesions are identified.

Microscopic Examination: Section studied shows intact surface mucosa. Lamina propria shows mild mixed inflammatory cell infiltrate comprising of lymphoplasmacytic cells and eosinophils.

No granuloma or malignancy seen (Figure 4).

Figure 4 Healed appendicitis.

Final Histopathologic Diagnosis: Healed Appendicitis.

Case - 5

15 years old female

Gross Histopathologic Examination: formalin fixed appendix specimen 8.0 cm long, 1.0 cm diameter appendix. A staple line is present at the proximal resection margin and at the margin of resection of the mesoappendix (inked black). The serosal surface is smooth, pink-tan, and glistening. No perforation is identified. The mucosa is pink-tan and unremarkable. No fecolith is present, and no mass lesions are identified.

Microscopic Examination: Section studied shows intact mucosa with mild to moderate inflammation in lamina propria admixed with few eosinophils.

No granuloma or malignancy seen (Figure 5).

Figure 5 Healed appendicitis.

Final Histopathologic Diagnosis: Healed Appendicitis.

Case - 6

25 years old female

Gross Histopathologic Examination: formalin fixed appendix specimen 5.0 cm in length and 0.5 cm in diameter. Fat measuring 3.0 x 1.0 cm.

Microscopic Examination: Section from appendix show preserved lining mucosa. Lamina propria shows moderate lymphoplasmacytic infiltrate admixed with eosinophils. No granulomas or malignant cells are identified (Figure 6).

Figure 6 Healed appendicitis.

Final Histopathologic Diagnosis: Healed Appendicitis.

Case - 7

24 years old male

Gross Histopathologic Examination: formalin fixed appendix specimen 2.5 cm long, 0.6 cm maximum diameter appendix. Cut surface of the lumen is patent. Mesoappendix measuring 2.5 cm long and 0.6 cm in diameter.

Microscopic Examination: Section from appendix shows focally ulcerated mucosa. Wall shows neutrophils along with numerous eosinophils. Periappendiceal layer is unremarkable (Figure 7).

Figure 7 Acute appendicitis with onset of healing.

Final Histopathologic Diagnosis: Acute appendicitis with onset of healing.

Case - 8

26 years old female

Gross Histopathologic Examination: formalin fixed appendix specimen 4.0 cm long and 0.4 cm in diameter. The attached mesoappendiceal fat extends upto 1.0cm away from the wall.

Microscopic Examination: Section from appendix show preserved lining mucosa. Lamina propria shows moderate lymphoplasmacytic infiltrate admixed with eosinophils. No granulomas or malignant cells are identified (Figure 8).

Figure 8 Acute appendicitis with onset of healing.

Final Histopathologic Diagnosis: Acute appendicitis with onset of healing.

Case - 9

29 years old female

Gross Histopathologic Examination: formalin fixed appendix specimen 4.5 in length and 0.5 cm in diameter. The attached mesoappendiceal fat is cauterized.

Microscopic Examination: Sections from appendix show preserved mucosa with moderate mixed inflammation in the lamina propria. No atypical cells are identified (Figure 9).

Figure 9 Acute on chronic appendicitis.

Final Histopathologic Diagnosis: Acute on chronic appendicitis.

Discussion

Significant effort has gone into standardizing medical terminology for the representation of medical knowledge, storage in electronic health records, retrieval, reuse for evidence-based decision-making, and efficient communication among users. We focus only on efforts related to the presentation of clinical medical knowledge necessary to view diagnoses and findings from a wide range of clinical perspectives, from the layperson to the pathologist. The use of standardized medical terminology and structured reporting has been shown to improve the use of medical information in secondary activities such as research, public health, and case studies.3

Reporting clinical or pathologic findings in a systematized manner has been shown to improve the efficiency of these secondary uses.4 In 1965, the College of American Pathologists (CAP) published the Systematic Nomenclature of Pathology (SNOP) to describe morphology and anatomy. In 1975, CAP expanded SNOP further and created the Systematized Nomenclature of Medicine (SNOMED).5

In 2000, CAP created a new logic-based version of his SNOMED called SNOMED-RT. During the same period, Dr. James Read developed the Read code, which became the basis for the Clinical Terminology Version 3 (CTV-3) developed under the UK National Health Service. In 2002, CTV-3 and SNOMED-RT were combined to create SNOMED-CT, a joint development project of the UK's National Health Service (NHS) and CAP. SNOMED-CT is now the intellectual property of the International Organization for the Development of Health Terminology Standards and defines the global standard for medical terminology for clinical findings, procedures, anatomy, biology, qualification values, and more. SNOMED-CT is considered the most comprehensive clinical vocabulary available for reporting and presenting medical information. The components of SNOMED-CT define standard terminology for medical processes, show relationships between processes, and use synonyms to describe these processes. Medical process terminology is organized into multiple hierarchies at different levels of granularity to ensure flexibility in recording and displaying data.6

Snomed has nomenclature healed appendicitis (Snomed CT Code- 123602003) which is defined under the hierarchy of disorder of appendix (Code-18526009) on 31-01-2002 but it is unspecified.7 As per American 2024 ICD (International Classification of Diseases)-10-CM Diagnosis Code data, healed appendix is grouped under ICD 10-K36 which applies to other or chronic and recurrent appendicitis.8 We have found only a few studies where the term “Healed Appendix” is used by the authors to categorize the histopathologic diagnosis of appendicitis group according to increase in severity, namely healed appendix (25 patients), healing appendicitis, and acute appendicitis.9 Another Spanish article mentioned “Healed appendix” as an autopsy finding.10

World-wide clinical research now follows the MedDRA (Medical Dictionary of Regulatory Activities) nomenclature. In the late 1990s, the International Council for Harmonisation of Technical Requirements for Pharmaceuticals for Human Use (ICH) developed MedDRA, a rich and highly specific standardised medical terminology to facilitate sharing of regulatory information internationally for medical products used by humans. We could not find the term “Healed Appendix” in MedDRA browser.11 We accessed the MedDRA browser and searched for "healed appendix" in the search field and it did not return any terms in the exact search. The word appendix appears in the following terms: Adenocarcinoid tumor of the appendix, Adenocarcinoid tumour of the appendix, Adenocarcinoma of appendix, Appendix adenoma, Appendix cancer, Appendix cancer metastatic, Appendix carcinoid tumour, Appendix disorder, Benign neuroendocrine tumour of appendix, Carcinoid tumor of the appendix, Carcinoma of the appendix, Duplex appendix, Hyperplasia of appendix (lymphoid), Injury to appendix with open wound into cavity, Injury to appendix without open wound into cavity, Lymphoid hyperplasia of appendix, Malignant neoplasm of appendix vermiformis, Malignant neoplasm of appendix vermiformis (excluding carcinoid), Mucinous adenocarcinoma of appendix, Mucinous cystadenocarcinoma appendix, Neoplasm of appendix, Other and unspecified diseases of appendix, Other diseases of appendix Ruptured appendix. When searching for “appendicitis” the following terms appear Acute appendicitis, Acute appendicitis with generalized peritonitis, Acute appendicitis with peritoneal abscess, Acute appendicitis without mention of peritonitis, Appendicitis non-infective, Appendicitis perforated, Appendicitis purulent, perforated Appendicitis, unqualified Chronic appendicitis, Complicated appendicitis, Gangrenous appendicitis, Necrotizing appendicitis, Other Appendicitis, Periappendicitis, Purulent appendicitis, Stump appendicitis.

The microscopic pictures of acute appendicitis vary with the depth and course of inflammation.12 The acute appendicitis usually shows neutrophil infiltration in lumen, mucosa and sub mucosa with or without mucosal ulceration. Suppurative acute appendicitis shows Neutrophils in mucosa, submucosa and muscularis propria, potentially transmural, extensive inflammation, intramural abscesses and possibly vascular thrombosis. Gangrenous/necrotizing appendicitis shows transmural inflammation, necrotic areas, and extensive mucosal ulceration. Eosinophilic appendicitis shows >10 eosinophils/mm2 in muscularis propria. Chronic appendicitis shows predominantly mononuclear infiltrate rather than neutrophilic with fibrosis.13

Wang et al.,14 did a very interesting study on examined appendix specimens for expression of abnormal amounts of cytokines, an indicator of an inflammatory response. In their study 7 of the 31 histologically classified normal appendix specimens from patients with a clinical diagnosis of appendicitis demonstrated TNFα and IL-2 mRNA expression similar to acute appendicitis specimens in germinal centers, submucosa, and lamina propria layers. They demonstrated that a substantial proportion of histologically normal appendixes showed clear evidence of an inflammatory response in the form of increased cytokine expression.14 So if histopathology reports shows that excised appendix is normal that does not mean surgeon excised the otherwise normal appendix of the patient. In clinical practice, appendicitis is considered as the clinical diagnosis may or may not be supported by the ancillary investigations. Negative investigations do not exclude the clinical appendicitis.

Since the word “Healed” has been used nonspecifically in a few standard medical nomenclature systems and more in terms of clinical presentation rather than based on pathologic findings, it should be abandoned for use in histopathology reports of appendicitis. ICD-10 and even Snomed took this term to define other appendicitis means inflammatory conditions of appendix apart from acute, chronic, acute on chronic. Research regulatory authorities in MedDRA have not mentioned this term in any situation associated with appendix or appendicitis. Therefore, this should not be used in the clinical pathology reporting.

Conclusion

The doctor-patient relationship is based on the trust of each other. Surgeons play a pivotal role in treating many critical illnesses and perform operations on the patient after getting the ultimate confidence and trust of the patient and his/her attendants. Appendicitis is a clinical diagnosis and hardly gets reflected in any ancillary investigation until unless complicated. There is continuous debate on appendectomy, its timing, and most importantly its need because a fair number of patients get relieved through antibiotics alone. Amidst all, after a successful and needful appendectomy, if the histopathology report says that the excised appendix was already “Healed”, it would be difficult to make the patient understand that he or she had undergone a genuine operation and removal of the diseased appendix was necessary for health. Our humble request to all pathology colleagues is to avoid using the term “Healed” to define “Chronic” or “Recurrent” or “Fibrosed” appendix in histopathology reports.

Acknowledgments

We thankfully acknowledge the CORE Diagnostics, Gurugram, Haryana, India for providing us detailed microscopic features and photomicrographs.

Conflicts of interest

The authors declare no conflicts of interest.

References

  1. Egnew TR. The meaning of healing: transcending suffering. Ann Fam Med. 2005;3(3):255–262.
  2. Tallis RC. Hippocratic oaths: medicine and its discontents. Clin Med (Lond). 2005;5(2):186.
  3. Awaysheh A, Wilcke J, Elvinger F, et al. A review of medical terminology standards and structured reporting. J Vet Diagn Invest. 2018;30(1):17–25.
  4. Elkin PL, Trusko BE, Koppel R, et al. Secondary use of clinical data. Stud Health Technol Inform. 2010;155:14–29.
  5. Gu H, Chen Y, He Z, et al. Quality assurance of UMLS semantic type assignments using SNOMED CT hierarchies. Methods Inf Med. 2016;55(2):158–165.
  6. Richesson RL, Andrews JE, Krischer JP. Use of SNOMED CT to represent clinical research data: a semantic characterization of data items on case report forms in vasculitis research. J Am Med Inform Assoc. 2006;13(5):536–546.
  7. https://www.findacode.com/snomed/123602003--healed-appendicitis.html.
  8. https://www.icd10data.com/ICD10CM/Index/A/Appendicitis.
  9. Regar MK, Choudhary GS, Nogia C, et al. Comparison of Alvarado and RIPASA scoring systems in diagnosis of acute appendicitis and correlation with intraoperative and histopathological findings. Int Surg J. 2017;4(5):1755–1761.
  10. Söderström J. ["Healed" appendicitis is more common finding at autopsy than surgically removed appendix]. Lakartidningen. 2002;99(49):5012.
  11. https://www.meddra.org/.
  12. Carr NJ. The pathology of acute appendicitis. Annals of Diagnostic Pathology. 2000;4(1):46–58.
  13. Sierakowski K, Pattichis A, Russell P, et al. Unusual presentation of a familiar pathology: chronic appendicitis. BMJ Case Reports.2016;2016:bcr2015212485.
  14. Wang Y, Reen DJ, Puri P. Is a histologically normal appendix following emergency appendicectomy always normal? The Lancet. 1996;347(9008):1076–1079.
Creative Commons Attribution License

©2023 Srivastava, et al. This is an open access article distributed under the terms of the, which permits unrestricted use, distribution, and build upon your work non-commercially.