Submit manuscript...
eISSN: 2373-6372

Gastroenterology & Hepatology: Open Access

Opinion Volume 12 Issue 4

Hepatic hematoma post ERCP; here comes a lethal one

Fernando Alvarado

Department of Gastrointestinal Endoscopy, National Autonomous University of Mexico, Mexico

Correspondence: Fernando Alvarado, Department of Gastrointestinal Endoscopy University Course at the National Autonomous University of Mexico. Gastrointestinal Endoscopy Unit, Mexico

Received: June 03, 2021 | Published: August 12, 2021

Citation: Alvarado F. Hepatic hematoma post ERCP; here comes a lethal one. Gastroenterol Hepatol Open Access. 2021;12(4):111-112. DOI: 10.15406/ghoa.2021.12.00468

Download PDF

Keywords

ERCP, hepatic hematoma, diaphoresis, computed tomography, haemoperitoneum

Opinion

Maybe, ERCP is not for every gastrointestinal endoscopist or surgeon. The complications, well known, aid to manage patient and its comorbidities in hard hitting ways.

The stress factor involved in carrying out this procedure requires more than 250 events previously done, to be able to express it freely and knowing that, if there is any setback, the necessary tools are available to develop successful results even if the patient becomes complicated.

Apart from the common complications of ERCP, there is another group of them, until you get in. It’s difficult how redirect the ship, because there are few cases, specifically: portal cannulation, air embolism from common bile duct, splenic laceration, retrieval basket impaction, and of course Hepatic hematoma.1

Internationally accepted, that Complications related to ERCP vary from 2.5% to 8%, with a mortality rate of 0.5% to 1%. Fortunately, patients go well home and there is no need of hospital internment.2

We present a 42year old male, with 3week jaundice. He was admitted to general surgery clinic for right upper quadrant pain with elevated transaminase and bilirubin levels.

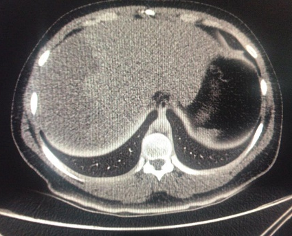
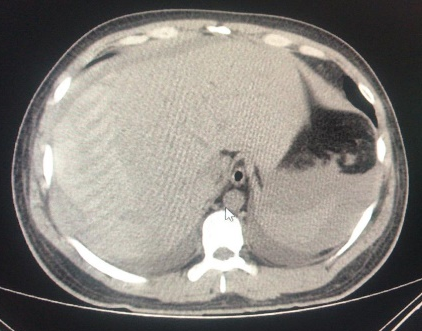
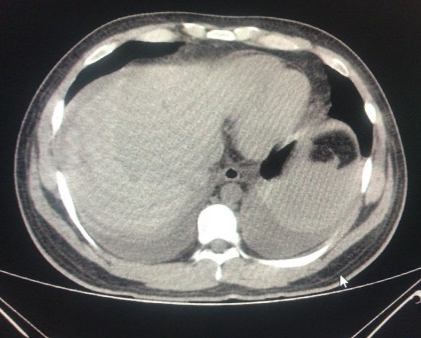
ERCP was performed successfully over 0.035-inch diameter guidewire, a Haraldsson type 3 duodenal papilla;3 Cholangiography showed a fill defect of 8mm, with a no bleeding, complete sphincterotomy, the common bile duct stone was extracted with balloon, without complication. Patient was followed for 6hours, and previous discharge, pain appeared at right upper quadrant. Colicky pain, diaphoresis, nausea and vomiting. We made new laboratory test, showing, and a drop of hemoglobine from 15g/dl previously to 10g/dl creating us the idea about patient was bleeding, maybe from the sphincterotomy, just giving no surgical management until then. Urgent computed tomography (CT) scan exhibited 13x11 cm subcapsular hepatic hematoma on the surface of the right hepatic lobe (Figures 1-4). He was treated with conservatory management with Tomographic control every 10days in 2 episodes, and every 2months, with hematoma regression until the month 6th.

Figure 1 Dilated bile duct, intraductal stone.

Figure 2 First CT with right lobe hematoma.

Figure 3 48 Hrs CT control. Density changes.

Figure 4 96 hrs CT control. 50% Resorption.

Discussion

Worldwide, there have been innovations at endoscopy level, approximately 50 cases were registered until 2020 about this ERCP complication.7 Two probably etiologies about how we may cause hepatic hematoma are known, but no definition of who or what kind of patient is going to need radiologic o surgical management is defined.

This two probably ways to generate the hepatic hematoma are:

  • Guidewire puncture leading to peripheral intrahepatic biliar tree laceration of a small parenchymal vessels.
  • Hepatic damage would be secondary to excesive traction applied with the extraction devices over common bile duct when trying to force stones out from it.3

Presence of air in the hematoma and growth of Citrobacter freundii from hematoma support the first idea, mentioned everywhere, but doesn’t look like the best possibility to explain this complication. In a review done by Pivetta et al, of the 61 cases analyzed, 49 reported the use of guidewire in the procedure (80.3%), while 12 of them made no mention of its use or not (19.7%).7 Although we must take into account that the current technique to perform this procedure adequately to avoid pancreatitis, must be through the use of a guidewire. So, no report for guidewire is not a strong fact to think that puncture is the injury mechanism.

Second one, has greater logic due to the fact that so much pressure can be generated in the extraction, that the hepatic capsule and biliary complex when taken as a whole, can transmit the raw force of the operator.4

Being a rare complication from the ERCP doesn’t mean not to be energic treated or attended. Whatever the reason, the endoscopist should know, ERCP complications can be so complex to manage that even for a minimal procedure, and the patient can be admitted to intensive care.5

Finally, international exploration supports conservative treatment (43.5%), percutaneous embolization (26%), drainage (17.4%) and surgical management (13%) as a first line treatment. Haematoma rupture with consequent haemoperitoneum is of high risk of mortality if misdiagnosed.6,7

As a final comment, the author suggests getting involved in as much experience as possible in the first year post medical residency, to achieve a higher point of freedom when performing, specifically ERCP.

Since having a vast amount of complications under our belt, the initial clinical image, the evolution, and therefore the medical treatment, will be more bearable, calm and we´ll be able to share these ideas with those who come after us. Let's continue publishing about hepatic hematoma and its lethality, as long as we know that oversight is the key factor and the technique, may become cleaner and more defined for each patient and their disease.

Acknowledgments

None.

Conflicts of interest

Author declares there are no conflicts of interest.

Funding

None.

References

Creative Commons Attribution License

©2021 Alvarado. This is an open access article distributed under the terms of the, which permits unrestricted use, distribution, and build upon your work non-commercially.