Submit manuscript...
eISSN: 2373-6372

Gastroenterology & Hepatology: Open Access

Mini Review Volume 2 Issue 1

Krukenberg Tumor: Report of Six Cases

Meryem EL Makkaoui, Fouad Haddad, Wafaa Hliwa, Ahmed Bellabah, Wafaa Badre

Department of Gastroenterology, University of medicine, Morocco

Correspondence: Meryem EL Makkaoui, University Hospital Ibn Rochd, Casablanca, Morocco, Tel 676027418

Received: January 19, 2015 | Published: April 2, 2015

Citation: Makkaoui MEL, Haddad F, Hliwa W, Bellabah A, Badre W (2015) Krukenberg Tumor: Report of Six Cases.Gastroenterol Hepatol Open Access 2(1):00031. DOI: 10.15406/ghoa.2015.02.00031

Download PDF

Abstract

Introduction: The Krukenberg tumor is a rare malignant tumor of the ovary, accounting from 1% to 2% of all ovarian tumors. It is usually but not always a bilateral involvement of ovaries from metastatic deposit from adenocarcinoma of stomach, and rarely from other gastrointestinal (GI) and non GI organs.

Patients and methods: We report a series of 6 patients with Krukenberg tumors treated at the Casablanca University Hospital between January 2008 and November 2014.

Results: Mean age of the patients was 46 years; digestive signs predominated over pelvic signs. Bilateral forms were more frequent. Surgical treatment and palliative chemotherapy were given. The histological diagnosis is based on the presence of signet-ring cells associated with a pseudo sarcoma stroma. The primary tumor was found in all of the cases. The prognosis was unfavorable due to late diagnosis.

Conclusion: Krukenberg tumor is an ovarian metastasis of digestive tract cancer. The only hope for improved prognosis is to search for ovarian metastasis in all cases and prophylactic ovariectomy in women over 40 with digestive tract cancer.

Keywords: krukenberg tumor, metastatic gastric adenocarcinoma, signet ring cell gastric carcinoma, palliative chemotherapy, surgery

Abbreviations

GI, gastro-intestinal; CA 125, cancer antigen 125; CT scan, computerized tomography

Introduction

Krukenberg tumor is an ovarian adenocarcinoma metastasis from a primary malignancy of the gastrointestinal tract with 76% originating from the stomach; it is bilateral in 80% of the cases.1 It was first described by Krukenberg in 1896 who called it "fibrosarcoma microcellulare carcinomatodes,2 or "sarcoma ovary mucocellulare."Finally, in 1960, Novak described this tumor as in filtered mucinocarcinoma with peripheral signet ring cells which sometimes will be observed with glandular structures.3 The aim of this work is to report from 6 cases collated in the department of Gastroenterology, of Hospital Ibn Rochd of Casablanca, epidemiological, clinical, evolutionary and therapeutic features.

Results

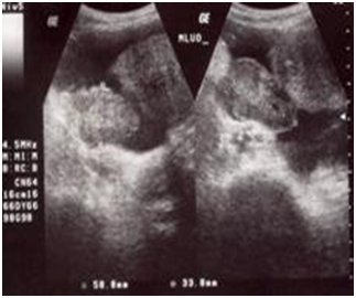
The average age of our patients was 46 years (range 37 -61 years), four patients (66, 67 %) were premenopausal, and two (33, 33%) were post-menopausal, upon admission, all patients had an increase the volume of the abdomen with an abdominal pain. Two of the patients had pelvic pain; three of the patients had complaints of nausea and vomiting. The clinical examination found a pelvic mass in two patients, ascites in all patients and deterioration of general condition in five patients Table 1. The ultrasound and abdominopelvic CT scan found an ovarian tumor size and echo texture variable, unilateral in 2 cases Figure1, bilateral in 4 cases Figure 2, with ascites abundance. The esophago-gastro-duodenal fibroscopy found an ulcerative budding in the antrum in three cases, an ulcer in the greater curvature in one case, burrowing ulcer in the lesser curvature in one case, normal in one case. Colonoscopy performed found a tumor of the transverse colon in one case and was normal in 5 cases. Histological study of gastric lesions was in favor of gastric adenocarcinoma, and colon tumor was in favor of a colonic adenocarcinoma. CA 125 was high in all of our patients. Exploratory laparotomy was performed in all our patients, only two patients underwent radical surgery consisting of a total hysterectomy without adnexal and oophorectomy, the remaining four patients had biopsy because of the advanced local. The histology of the resected or biopsy confirmed the diagnosis of Krukenberg tumors. Chemotherapy was performed in only 2 patients, 4 other patients for this treatment could not be administered due to the alteration of the state generally. The overall survival in patients was 2, 33 months.

Figure 1 Pelvic ultra sonography: pelvic mass and ascites.

Figure 2 Bilateral ovarian tumor and ascites.

Case 1

Case 2

Case 3

Case 4

Case 5

Case 6

Age

37

61

46

41

44

47

Menopausal status

Premeno-pausal

Postmeno-pausal

Premenopausal

Premenopausal

Premen-opausal

Post-menopausal

Initial complaint

Abdominal pain

Abdominal pain

Abdominal pain

Abdominal pain

Abdominal pain

Abdominal pain

pelvic pain

nausea

nausea

pelvic pain

nausea

vomiting

vomiting

vomiting

Clinical examination

Ascites

Ascites

Ascites

Ascites

Ascites

Ascites

Pelvic mass

Pelvic mass

Ultrasound- CT Scan

Bilateral ovarian tumor of 6 cm of diameter, urethral-right
hydronephrosis,isolated nodule in segment VI of liver and ascites abundant.       

Solido-kystiques bilateral ovarian
tumors with ascites jelly- like              

Bilateral ovarian tumor with ascites       

Pelvic mass 15x12 cm       

Left ovarian tumor 3cmx2 cm with ascites       

Right ovarian solidokystique tumor with ascites

Peritoneal nodules

Peritoneal granulation even omentum

Primary tumor

Gastric

Gastric

Gastric

Gastric

Colon

Gastric

Surgery

Subtotal hysterectomy without adnexal conservation and oophorectomy

Ovarian biopsy

Total hysterectomy without
adnexal conservation       

Ovarian biopsy

Ovarian biopsy

Ovarian biopsy

Palliative chemothery

Yes

No

Yes

No

No

No

Overall survival

3 months

2 months

3 months

1 month

3 months

2 months

Table 1 Clinical and biochemical variables of individuals with overweight-obesity
SD, standard deviation; BMI, body mass index; WC, waist circumference; AC, abdominal circumference; HC, hip circumference; RER, respiratory exchange ratio; HR, hear rate

Discussion

Krukenberg tumor is a metastatic signet ring cell adenocarcinoma of the ovary. It is uncommon, accounting for 1% to 2% of all ovarian tumors.4 A review of literature indicates that 35 to 45% of the patients were younger than 40 years of age, with an average range of 40 to 46 years.5 The common presenting symptoms are related to the ovary and include abdominal pain and distension due to the bilateral, often large ovarian masses. In addition, ascites is a common presentation in the Krukenberg tumor and usually reveals malignant cells,4 in our series ascites is present in 100% of cases. Radiologically, Krukenberg tumors on abdominopelvic sonography and computed tomographic scan usually appear as bilateral ovarian masses such as the case in four of our patients. The masses are usually solid but can also be cystic.4 A retrograde lymphatic spread is the most common route for the spread of metastasis of gastric carcinoma to the ovaries, less common pathways of metastasis to the ovary occur via the peritoneum and vasculature.6,7

Microscopically, Krukenberg tumor was characterized by the presence of signet ring cells with eccentric nucleus, filled with mucus and a proliferation of stromal pseudosarcomatous. No optimal treatment strategy for Krukenberg tumors has been clearly established in the literature. Whether a surgical resection should be performed has not been adequately addressed. Lower rate of resectability when the primary tumor metastasizes to other sites (in addition to the ovaries) and the overall dismal prognosis are the 2 major factors that usually dissuade resection of Krukenberg tumors.8 On the contrary, if metastasis is limited to the ovaries, surgery may render the patient free of residual disease and the survival time may increase.9 Concerning the prognosis of Krukenberg tumor, the radical resection of Krukenberg tumor without leaving macroscopic residual lesions is difficult in many cases, and it has been reported that the median duration of survival ranges from 7.7 to 14.0 months.10–12 The overall survival in our patients was two months. The factors of poor prognosis in our patients are the late diagnosis, presence of ascites and age of young women.

Conclusion

Krukenberg tumor of the ovary is a rare metastatic tumor in young women. The starting point is gastrointestinal, most commonly the stomach. The pathophysiology is unclear. The diagnosis is often delayed. The treatment is essentially surgical and the prognosis is bad.

Funding

None.

Acknowledgements

None.

Conflicts of interest

The author declares that there is no conflict of interest.

References

  1. Young RH. From Krukenberg to today: the ever present problems posed by metastatic tumors in the ovary: part I. Historical perspective, general principles, mucinous tumors including the Krukenberg tumor. Adv Anat Pathol. 2006;13(5):205–227.
  2. De Palma P, Wronski M, Bifernino V, et al. Krukenberg tumor in pregnancy with virilization: a case report. Eur J Gynaecol Oncol. 1995;16(1):59–64.
  3. Kim SH, Kim WH, Park KJ, et al. CT and MR findings of Krukenberg tumors: comparison with primary ovarian tumors. J Comput Assist Tomogr. 1996;20(3):393–398.
  4. Al-Agha OM, Nicastri AD. An in-depth look at Krukenberg tumor: an overview. Arch Pathol Lab Med. 2006;130(11):1725–1730.
  5. Kiyokawa T, Young RH, Scully RE. Krukenberg Tumors of the ovary: a clinicopathologic analysis of 120 cases with emphasis on their variable pathologic manifestations. Am J Surg Pathol. 2006;30(3):277–299.
  6. Kakushima N, Kamoshida T, Hirai S, et al. Early gastric cancer with Krukenberg tumor and review of cases of intramucosal gastric cancers with Krukenberg tumor. J Gastroenterol. 2003;38(12):1176–1180.               
  7. Kim NK, Kim HK, Park BJ, et al. Risk factors for ovarian metastasis following curative resection of gastric adenocarcinoma. Cancer. 1999;85(7):1490–1499.
  8. Novak E, Gray LA. Krukenberg tumors of the ovary: clinical and pathological study of 21 cases. Surg Gynecol Obstet. 1938;66:157–167.
  9. Kim HK, Heo DS, Bang YJ, et al. Prognostic factors of Krukenberg's tumor. Gynecol Oncol. 2001;82(1):105–109.
  10. Wang J, Shi YK, Wu LY, et al. Prognostic factors for ovarian metastases from primary gastric cancer. Int J Gynecol Cancer. 2008;18(4):825–832.
  11. Cheong JH, Hyung WJ, Chen J, et al. Survival benefit of metastasectomy for Krukenberg tumors from gastric cancer. Gynecol Oncol. 2004;94(2):477–482.
  12. Berek JS, Natarajan S. Ovarian and fallopian tube cancer. In: Berek JS (Ed.), Novak's Gynecology. (14th edn), Lippincott Williams and Wilkins, Philadelphia, USA, 2007. pp. 1457–1547.
Creative Commons Attribution License

©2015 Makkaoui, et al. This is an open access article distributed under the terms of the, which permits unrestricted use, distribution, and build upon your work non-commercially.