Submit manuscript...
eISSN: 2373-6372

Gastroenterology & Hepatology: Open Access

Case Report Volume 15 Issue 2

Lams Obstruction Lithotripsy (LOL) – electrohydraulic lithotripsy of a gallstone impacted in a lumen apposing metal stent positioned for cholecystoduodenostomy

V. Vanden Driessche, P. Yengue, M. Lefebvre

Department of Gastroenterology, Centre Hospitalier de Wallonie Picarde, Belgium

Correspondence: M. Lefebvre, Department of Gastroenterology, Centre Hospitalier de Wallonie Picarde, 9 Avenue Delmée, 7500 Tournai, Belgium

Received: March 22, 2024 | Published: April 22, 2024

Citation: Driessche VV,Yengue P, Lefebvre M. Lams Obstruction Lithotripsy (LOL) – electrohydraulic lithotripsy of a gallstone impacted in a lumen apposing metal stent positioned for cholecystoduodenostomy. Gastroenterol Hepatol Open Access. 2024;15(2):44‒46. DOI: 10.15406/ghoa.2024.15.00578

Download PDF

Abstract

Endoscopic ultrasound-guided gallbladder drainage via lumen apposing metal stents (LAMS) offers an alternative to cholecystectomy in inoperable patients presenting acute cholecystitis. Although rare, LAMS impaction with macrolithiasis can occur, effectively obstructing biliary drainage. This case study presents an 84-year-old patient afflicted by recurrent cholecystitis. She was deemed unfit for surgery due to her advanced age and frailty. As a result, we opted for a cholecysto-duodenostomy by LAMS to ensure biliary drainage. However, in the succeeding months to this initially successful procedure, the LAMS was obstructed by a 20 mm bile stone, causing gangrenous cholecystitis, prompting SpyGlass-guided electrohydraulic lithotripsy (SGEHL) through the cholecysto-duodenal stent. Successful bile stone extirpation normalised inflammatory markers, and a complete clinical resolution was observed, leading to the patient's discharge. This report offers evidence of SGEHL's potential as a standalone approach for managing bile stone obstructions in cholecysto-duodenostomies.

Keywords: cholecysto-duodenostomy, lumen apposing metal stents, electrohydraulic lithotripsy, LAMS obstruction

Abbreviations

LAMS, lumen apposing metal stents; SGEHL, SpyGlass-guided electrohydraulic lithotripsy; EUS, endoscopic ultrasound; ERCP, endoscopic retrograde cholangio-pancreatography; ML, mechanical lithotripsy; EHL, electrohydraulic lithotripsy; LOL, LAMS obstruction lithotripsy; CT, computed tomography

Introduction

Previous research has emphasised the growing significance of employing endoscopic ultrasound (EUS)-guided gallbladder drainage using Lumen Apposing Metal Stents (LAMS) for cases of acute cholecystitis.1 This is particularly relevant when conventional approaches such as endoscopic retrograde cholangio-pancreatography (ERCP) or surgical procedures are not feasible. Comparative analyses have indicated a lower incidence of adverse events associated with EUS-guided gallbladder drainage by LAMS, as opposed to percutaneous intervention.2 Nonetheless, these adverse events encompass potential complications such as gastrointestinal bleeding, stent migration and, in rare occurrences, obstruction of the LAMS by a large bile stone.3 Removing biliary LAMS obstructions typically requires mechanical lithotripsy (ML) or electrohydraulic lithotripsy (EHL). However, to our knowledge, only two other instances have been documented resolving LAMS obstruction using EHL. One of these cases highlights the effective utilisation of EHL in eliminating a cholecysto-gastrostomy obstruction,4 while the other presents a scenario where a combination of mechanical lithotripsy and EHL was employed to resolve a cholecysto-duodenostomy blockage.5 Interestingly, none of the documented cases demonstrates the feasibility of EHL as a standalone approach for managing cholecysto-duodenostomy bile stone obstructions.

Case history

In this case study, we present an 84-year-old patient afflicted by acute cholecystitis who was not eligible for surgery due to her advanced age and comorbidities (urothelial carcinoma, hypertension, and polymyalgia rheumatica). Written informed consent for the publication of non-identifying images and non-identifying case reports was obtained from the participating patient in accordance with the Helsinki protocol. Initial treatment consisted of percutaneous drainage and antibiotic treatment, resulting in a prompt clinical resolution.

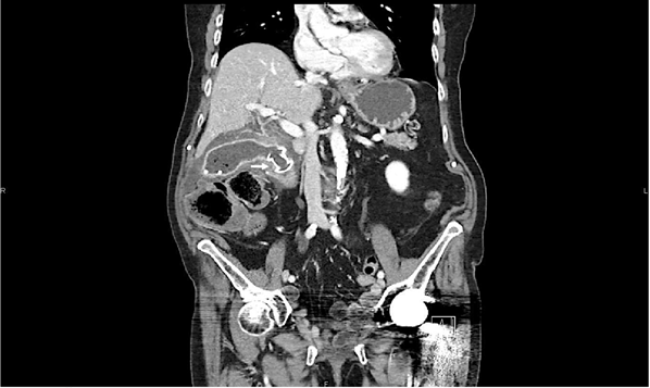
However, three months later, the patient experienced recurrent cholecystitis. Surgical cholecystectomy was considered but deemed too invasive for this frail elderly patient. As a result, we opted for EUS-guided gallbladder drainage, creating a cholecysto-bulbostomy and inserting a 15 mm diameter Lumen Apposing Metal Stent (LAMS) (Figure 1). Subsequently, a double-pigtail plastic biliary stent was placed through the LAMS to ensure correct LAMS stability. Unfortunately, the procedure was complicated by pneumoperitoneum, which we promptly addressed with needle exsufflation. Fortunately, the patient exhibited a positive clinical response while hospitalised and was consequently discharged.

Figure 1 Abdominal CT image of EUS-guided gallbladder drainage, showing the creation of a cholecysto-bulbostomy and inserting a 15 mm diameter Lumen Apposing Metal Stent (LAMS), as indicated by the arrow.

Four months later, upper right abdominal discomfort arose, accompanied by sepsis. Endoscopic ultrasound-guided fluoroscopy revealed a 20 mm bile stone obstructing the cholecysto-duodenostomy by LAMS, which led to early gangrenous cholecystitis. This prompted the endoscopic management by SpyGlass-guided electrohydraulic lithotripsy (SGEHL) of the macrolithiasis with the removal of stone debris. We present an image taken by fluoroscopy of the 20 mm bile stone lodged in the LAMS responsible for early gangrenous cholecystitis in our patient (Figure 2A). Figure 2B shows a Spyglass image of the obstructed 20 mm bile stone in the LAMS. We then proceeded with LAMS obstruction lithotripsy (LOL), involving the fragmentation of the lodged lithiasis using EHL through the LAMS (Figure 2C and Figure 2D). Figure 2E illustrates the passage of an endoscopic loop through the cholecysto-duodenostomy after elimination of the lodged bile stone and bile debris. A double-pigtail plastic biliary stent was placed through the unobstructed LAMS, as illustrated in Figure 2F.

Figure 2 (A) Image taken by fluoroscopy of the 20 mm bile stone lodged (asterisk) in the LAMS (arrow) responsible for early gangrenous cholecystitis in our patient; (B) Spyglass image of the obstructed 20 mm bile stone (asterisk) in the LAMS (arrow) and endoscopic loop (double asterisk); (C) LAMS obstruction electrohydraulic lithotripsy (arrow)(LOL) of the obstructive bile stone (asterisk) through the LAMS; (D) Fragmentation of the lodged lithiasis (asterisk); (E) Passage of an endoscopic loop (asterisk) through the cholecysto-duodenostomy (arrow) after elimination of the lodged bile stone and bile debris; (F) Placement of a double-pigtail plastic biliary stent (asterisk) through the unobstructed LAMS (arrow).

The control abdominal CT scan showed a significant reduction in the previously observed gallbladder wall oedema and no signs of complications. The bile culture returned positive for E. coli, Klebsiella pneumoniae, and Candida albicans. Blood results showed a critical increase in C-reactive protein levels, white blood cell count, and neutrophil levels, as shown in Table 1. Empirical antibiotic therapy was subsequently initiated with ciprofloxacin and metronidazole, followed by a switch to cefepime after the antibiogram realisation for ten days of antibiotic coverage. Inflammatory markers progressively decreased, and the patient was discharged.

 

LOL – LAMS Obstruction Lithotripsy, 2024

Gabanni, et al. VideoGIE, 2023

Nasser, et al. VideoGIE, 2019

Age and sex

84 year-old, female

85 year-old, female

87 year-old, female

CRP (before) (mg/L)

36.3

Not mentioned

Not mentioned

CRP (after) (mg/L)

7

Not mentioned

Not mentioned

WBC (before) (/µL)

10.89

Not mentioned

Not mentioned

WBC (after) (/µL)

6.95

Not mentioned

Not mentioned

Neutrophils (before) (/µL)

8973

Not mentioned

Not mentioned

Neutrophils (after) (/µL)

4420

Not mentioned

Not mentioned

Abdominal CT

Obstructive bile stone was not visualized.

15-mm stone impacted in the distal flange of the LAMS.

Not mentioned

EUS-imaging

20 mm bile stone lodged in the LAMS responsible for early gangrenous cholecystitis in our patient

Partially buried LAMS with a lumen obstructed by an impacted biliary stone.

Not mentioned

MRI imaging

None

None

Large bile stone at the neck of the bladder.

LAMS size

15 x 10 mm

15 x 10 mm

10 x 10 mm

Type of fistula

cholecysto-

duodenostomy

cholecysto-

gastrostomy

cholecysto-duodenostomy

Interval between LAMS placement and bile stone impaction

4 months

3 months

3 weeks

Diameter of impacted bile stone

20 mm

15 mm

Unknown

Treatment

EHL

EHL

EHL + ML

Follow-up

Healthy

Healthy

Healthy

Table 1 Review of the literature. Three cases of endoscopic lithotripsy of a gallstone impacted in LAMS
CRP, C-reactive protein; WBC, white blood cell count; abdominal CT, abdominal computed tomodensitometry; EUS, endoscopic ultrasound; MRI, Magnetic resonance imaging; LAMS, lumen apposing metal stent; EHL, electrohydraulic lithotripsy; ML, manual lithotripsy.

Discussion

We hereby demonstrate the successful management of cholecysto-duodenal LAMS obstruction using a standalone EHL approach or LOL. While two previous case reports have shown success in treating biliary LAMS obstruction by EHL, as described in Table 1,4,5 our case study confirms the effectiveness of EHL without mechanical lithotripsy in a cholecysto-duodenal LAMS. EUS-guided gallbladder drainage is rapidly gaining widespread use,1 which inevitably leads to an increase in the incidence of LAMS-associated adverse events. LAMS obstruction, in particular, poses a significant sepsis risk, prompting the need for new treatment strategies to address previously inexisting complications. The main concern with electrohydraulic lithotripsy is the risk of perforation, which can occur when the EHL probe either makes direct contact with the wall or significantly increases the temperature of the stone surface and surrounding tissue. In a series of cases involving the use of EHL to address bile duct and pancreatic duct stones, this risk of perforation was estimated to be less than 1%.6 The main advantage of LOL is that it allows for a minimally invasive approach compared to surgical intervention in a population of fragile patients, where gallbladder drainage was initially treated endoscopically as opposed to invasive surgery. Thus, LOL could be a valuable addition to our current therapeutic arsenal for managing inoperable patients presenting biliary LAMS obstruction. Further research in larger patient cohorts is necessary to assess LOL’s safety and efficacy profiles to treat biliary LAMS obstruction. This study highlights the potentially life-saving benefits of LOL in patients presenting gangrenous cholecystitis who are ineligible for surgery.

Conclusion

Thus, this case report offers evidence of LOL's potential as a standalone approach for managing bile stone obstructions in cholecysto-duodenostomies placed for gallbladder drainage in inoperable patients.

Acknowledgments

None.

Conflicts of interest

All authors declare no conflict of interest.

References

Creative Commons Attribution License

©2024 Driessche, et al. This is an open access article distributed under the terms of the, which permits unrestricted use, distribution, and build upon your work non-commercially.