Submit manuscript...
eISSN: 2373-6372

Gastroenterology & Hepatology: Open Access

Research Article Volume 13 Issue 2

Missed abdominal injury: why and how to deal? A retrospective interventional study

Aswini K Pujahari

Department of Surgical Gastroenterology, Saptagiri Institute of Medical Sciences, India

Correspondence: Aswini K Pujahari, Prof and head, Department of Surgical Gastroenterology, Saptagiri Institute of Medical Sciences, Bangalore 560090, India, Tel 09632469433

Received: January 17, 2022 | Published: April 8, 2022

Citation: Pujahari AK. Missed abdominal injury: why and how to deal? A retrospective interventional study. Gastroenterol Hepatol Open Access. 2022;13(2):67-71. DOI: 10.15406/ghoa.2022.13.00497

Download PDF

Abstract

Introduction: Literature is silent on missed abdominal surgery mostly because, it has become rare after the use of routine whole body CT scan. Even if missed, it remains so small a number and for fear of negative publicity, it goes unpublished. It is felt that, missing an abdominal injury must be having an altered final outcome on the patients. With this question in mind, the old data, kept prospectively was analysed, with an aim to find out the prevalence of missed abdominal injury, why were the injures were missed and how to deal with them early and effectively so as to have a possible positive change in the final outcome.

Materials and methods: It was a retrospective interventional study from Jan 2002 to May 2017, where cases of blunt abdominal injuries were included and war/ insurgency related gunshot, penetrating and bowel injuries were excluded in two large military hospital in peace locations. Only cases with blunt injuries including the transferred patients from the other hospital were included in the study, where the injuries were missed at three level, namely clinically unsuspected, at CT scan and at laparotomy.

Result: There were 72 patients with blunt abdominal injuries. There were 67 males and five females with age range from 8- 72 years (mean 30.70 SD13.759).Forty-three (43) patients were managed by observation and 18 patients were operated. Twelve (12) injuries were missed mostly due to, not suspecting an injury, un-conscious patient with severe head injury and misinterpretation of CT images. Six patients underwent laparoscopy. Only one patient, a laparotomy was avoided. There were three mortalities from the missed organ injury group.

Conclusion: Missing an injury is presumed to be relatively uncommon. Mesenteric and isolated pancreatic injury are most often missed. Diagnostic laparoscopy confirms mesenteric injury and saponification of fat suggest pancreatic injury and duodenal injury even missed at laparotomy, when done very early.

Keywords: abdominal trauma, solid organ injury, bowel injury, missed injuries

Introduction

Missing an injury in the abdomen is very uncommon, but a sure possibility. Missed Injuries at initial diagnoses or operations have the potential to cause disastrous complications in abdominal trauma patients.1 The aim of this retrospective study is to assess the causes and the outcomes of missed abdominal injuries. Twelve of 607 (2%) patients with missed injuries were identified among the abdominal trauma patients operated on from 1985 to 1993.2 While managing solid organs injury non operatively, often pancreatic and bowel injury are missed.3 Multidetector CT (MDCT) is considered the gold standard for evaluation of abdominal injuries but the sensitivity, interpreting these finding to clinical reality continued to be challenging.1 Final diagnosis cannot be concluded on clinical examination. Liver and splenic laceration injures are missed clinically in haemodynamically stable patient. In a study, 11% of liver injuries and 12% of splenic injuries had no free fluid visible, were missed at CT scan and diagnostic peritoneal lavage or U/S.4 In such scenario, high resolution CT screening is recommended.5 In abdominal trauma, the findings of CT are based on the amount of bleeding. More is the intra-abdominal bleeding more is the CT scan findings. Based on the timing of CT and the haemodynamic state 20% of abdominal trauma may be missed by CT scan.6 Few patients with not so severe injury, who are haemodynamically stable, abdominal organs injury is often missed even after MDCT.7 In such situation laparotomy has detected bowel and mesenteric injuries in 1.2%-5% of patients. Delayed diagnosis in such cases is strongly related to increased risk of ongoing sepsis, with subsequent higher morbidity and mortality.7 Patients without solid organ injury, the presence of free fluid along with abdominal guarding is an indication of early surgery.8 Pancreas, a retroperitoneal organ, early injures often missed due to subtle finding.9 Relaparotomy was needed in 13.4% in abdominal trauma.10

 There is no clear guideline for the management of this missed injuries following abdominal trauma. This study is an attempt to suggest a guide line for the same.

Material and methods

This retrospective study period was from Jan 2002 to May 2017, where the data were kept prospectively. There were three groups of patients. One group coming directly from the accident sites, the second group went to other speciality (neuro surgeons for severe head injury and Orthopaedics for long bone fractures in hypotension, later sent to the abdominal surgeon and third group from other hospitals. The last group came after getting treatment. These were sent, when a complication / missed injury was suspected.

Patients with blunt abdominal trauma due to road accident, falling from height and heavy object falling on human body were included in the study. All the injuries involving gun shot, penetrating, stab wounds and full thickness bowel injuries were excluded as the above condition need urgent laparotomy and thus missing an injury is unlikely. Any injury remained undiagnosed beyond 72 hrs after hospitalisation was considered as missed injury. Primary survey was done on arrival, IV canulation was established, blood samples were collected and Ringer’s lactate fluid started. A quick examination was done to assess the haemodynamic state and accordingly intravenous fluid was adjusted. A detailed history of injury was taken from relative or patient if in a talking state. The abdomen was examined looking for free fluid, mass or free gas. Once the patients are haemodynamically stable, they were taken for a CT scan including the patients coming from other hospital without a CT imaging. If the patient was already operated were reassessed for possible missed injury or any other complication. In cases where doubt of missed abdominal injury persisted, a diagnostic laparoscopy was done in virgin abdomen. If an injury was detected and could not be managed by minimal invasive method, were converted to open laparotomy and dealt with. In the post- operative situation direct re-laparotomy were done to avoid iatrogenic trocar injury. Patients managed non-operatively for solid organ injury were resuscitated. Blood samples were sent for grouping and cross matching besides the routine tests like haemoglobin, blood sugar, liver and renal functions tests. Four units of blood were kept reserved, till the risk of laparotomy persisted. Continuous monitoring of pulse, BP and urine output one hourly were recorded and IV fluid were adjusted to keep the urine output at a minimum of 0.5 mL/ Kg of body weight. Haemoglobin and packed cell were monitored twice a day till two conjugative sample shows rising trends. Only one doctor was allowed to examine the abdomen so as to avoid dislodgement of haemostatic process. Oral feeds were allowed once patient became stable and operative management was ruled out. If the bleeding persisted as evidenced by gradual drop in haemoglobin, angio-embolization or emergency operative management was done. All were kept at ICU for continuous monitoring till haemodynamic stability. All patients were followed up till the finality of treatment or death.

 Ethical clearance- It is a retrospective study and no ethical clearance needed.

Results

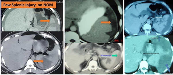
There were 72 patients with 73 abdominal organs injury (one patients had two organs, liver and right renal injuries). Modes of injury is given on Table 1. Age ranges from 8- 72 years (mean 30.70 SD13.759). There were 67 (93.54%) males and 5 (6.45%) females. Twenty (27.7%) patients received operative management and 41 (55.5%), non-operative management and eleven patients had twelve missed injuries (Table 2). Few CT images of splenic and liver injuries (Figure 1 & 2 respectively) are shown were managed by non-operative method. The details of organ wise injuries and their management is given (Table 2). The associated extra-abdominal injuries are shown (Table 3). Twelve organs injury were missed in eleven patients are given (Table2). Two liver injury patients received super selective angioembolization for haemostasis with the help of interventional radiologist. Six patients under went diagnostic laparoscopy (Two pancreas, four mesenteric injury). Amongst them, only one pancreatic injury patient a laparotomy was avoided (Figure 3) by putting a drainage tube and a feeding jejunostomy (FJ), where drained pancreatic juice was feed by the FJ. Second Pancreatic injury underwent ERCP and long pancreatic stenting with antibiotics and these two patients received high dose Omeprazole to reduce the pancreatic juice output. Two underwent left sided pancreatico-splenectomy for grade III pancreatic injury and other pancreatic injuries (grade-I and II) were managed conservatively with addition of high dose Omeprazole. The mean hospitalization period after reaching us, excluding the fatal cases were 9 +/- 2.74 days for (Non missed) and 10.5 +/- 1.93) days in missed group. There were three fatalities (Table 2). There were three (4.16%) morbidity in the form of superficial wound sepsis/ skin dehiscence.

Bathroom Fall

1

Fall from tree

01

Play fall-    
Cub board fell on body      

01
01

Bicycle handle injury

02

Road Traffic accident

66

Total

72

Table 1 Modes of injury.

Organ

Liver

Spleen

pancreas

Diaphragm

D2

Kidney

Mesentery

Total

%

N

27

25

08

1

1

4

6

72

100

NOM

21

17

02

0

0

3

00

43

59.7

Operative

04

7

03#

1

1

00

02

18#

25

Missed injury

02**

01

3

1

1

01**

04

13/12

16.6

Mortality

01

00

01#

00

00

00

01

03

4.16

Table 2 Organ injury, management modality, missed injury and mortality.

Head injury

Clavicle

#First rib

#Other ribs

Haemothorax

Humerurs

Femur

03

03

01

12

06

02

2

Table 3 Associated extra abdominal injuries. Total 29 (40.27%)

not missed (60)

missed injury (12)

p value

Mortality

0

3

<0.000

Morbidity

3

5

<0.005

Table 4 Statics

 

Figure 1 (Few CT images with splenic injury).

Figure 2 CT images of few liver injuries.

Figure 3 Pancreatic injury-(C and D [ non-operating management, and missed injury).

Why the injures were missed- The injuries were missed in following occasions:

1). Severe Head injury- Unconscious patient treated by neurosurgeon and on ventilation. More so associated long bones fracture needing blood transfusion, which took care of the bleeding from solid abdominal injury. Positive pressure ventilation masks the diaphragmatic injury by not allowing any herniation thus, invisible on X-ray chest. For the above reasons, abdominal surgeon was not consulted. Even if consulted, nothing else was to be done in stable patient of head injury.

(2). No Clinical suspicion- Most of the mesenteric, pancreatic injuries (Figure 6) were in this group. The abdomen remains soft in the early period, CT shows little hemoperitoneum, often reported as Grade I splenic trauma. It gets detected on when the detached mesenteric segment of the bowel becomes ischemic, dilated and patients fails to pass flatus (Figure 6).

(3).Urgent laparotomy- When the patient reaches the hospital, BP is low, patient is rushed to OT. Retroperitoneal injures (Pancreas and posterior wall of duodenum) are often missed as assessed from this small study. Many a times liver function test, and pancreatic enzymes were not done.

How it came to the noticed-

(a) Came with complication: - When the patient passed flatus, abdominal surgeon gets happy with the patient condition but when patient comes back with a complication, the missed injury becomes obvious. (Pancreatic injury came with pseudocyst). Ischemic bowel present with no passage flatus, peritonism and sepsis.

b) Laparoscopy- It is the best in pancreatic injury showing saponification of fat and segmental ischemic bowel and blood in mesenteric injury.

c) Repeat CT-needed in following situation low resolution CT was done initially. laparotomy was done directly with a limited exposure, with- out a CT scan or The CT is done with a very short time gap from time of trauma. A repeat CT can detect duodenal injury. One such case was seen in this study. Retro peritoneal collection of bile and pancreatic juice extravasation with gas was diagnostic. Retroperitoneal drainage after repair of duodenum and a feeding jejunostomy saved this patient even though excluded.

(d). Autopsy – Biopsy from liver injury at autopsy in an elderly patient having fever with fall in bathroom was diagnosed as Lymphoma.

Discussion

Blunt injury of abdomen due to road traffic accident is very common and involve young people. All organs are at risk of injury, but liver and spleen are commonly involved.8,9 Liver was the commonest organ (37.5 %) injured followed by spleen (30.5%) It is potentially life-threatening in 15-25%.10 The present series has a mortality of 3/72 (4.16 %). It looks lower possibly due to low magnitude of injury due to slower speed due to under developed road and priority IV patients were not brought to hospital. Non- Operative Management (NOM) is established as the modality of choice in haemodynamically stable or made stable after resuscitation.10,11 We managed 57% of our patients NOM way, where mortality is lower than operative method. Now a days NOM is seen effective even in penetrating abdominal injury with haemodynamically stable with no peritonitis on a Cochrane meta-analysis involving over 100s of patients.12,13 The success rate was found to be 96.7% in patients with mixed liver and spleen injury in a study with 731 patients.14 Present study has similar data in separate liver 21/27 (88.8%) and spleen 63.63% Table 2 and over all NOM success in > 55% of patients. In a meta-analysis, it was noted that one-fourth of the blunt abdominal trauma accounted for Splenic injury.15 We have got 30.3% spleen injury (Figure 1). 14/22=63.63%, were NOM. Figure 2 & 3, which is comparable with the previous data,14 however it is reported that, high grade injury can lead to failure and prolonged hospitalization.15. Around 1/3rd (28-33%) need emergency laparotomy amongst the patient slotted for NOM in spite of adequate fluid resuscitation.2,16,17 The present study, rate of emergency surgery is almost the same (27.7%). Many considered Operating a patient on nonoperating group as a failure of NOM. Possibly this concept is wrong. How can one fail, when you save human life by operating them? Actually, it shows the wisdom of the team. The factors determine the outcome of NOM depends on the age, trauma score, number of organs injured, possibly the bleeding surface area. The fatality depends on the delay in emergency laparotomy and advanced age.17,18 So, the success of operating management in NOM patients going for surgery and primary operating management depends on the perfect timing of surgery. Young people tolerate delay better then elderly, single organ better than multiple and small surface of bleed than larger.16,17,18. There were 20 of 72(27.7%) patient, who required operative management, without thinking of failure but to save life. One should take pride on saving patients then fearing of failure in NOM injured spleen Figure 5, and doing relaparotomy, Right hepatectomy for haemostasis in injury of liver (Figure 4). Around 1/3rd needed (28-33%) emergency laparotomy amongst the patient slotted for NOM in spite of adequate fluid resuscitation.18 The Success of NOM is dependants on the age, trauma severity, number of organs injured possibly the bleeding surface area. The fatality depends on the delay in emergency laparotomy and higher age.16,17 We, prefer to abundant NOM in high grade injury patients going to haemodynamic state of un-stability and operated them early to save them. Possibly, due to timely change of operative management from NOM the mortality became less (4.16%). In fact, one young patient survived after debridmental resection of right liver with right lung contusion and became a doctor and one young soldier on bleeding splenic even after 72 hrs injury Figure 5& 6 survived.

Figure 4 Gangrenous small bowel due to mesenteric injury.

Figure 5 Persisting Active bleeding in splenic trauma.

Figure 6 (Failed NOM Liver) relaparotomy.

Incidence of bowel and mesenteric injury increases in blunt trauma abdomen due to bowel adhesion.12 Multidetector CT scan is the gold standard in the assessment of intra-abdominal blunt abdominal trauma for not only parenchymal organs injuries but also detecting small bowel and mesenteric Injury.2 But the basic principle remaining same, it will show free fluid and cannot confirm the bleeding is due to mesenteric injury. In a multi-centre study, it is observed that, CT scan showing free fluid with no solid injury is an indicator of missed mesenteric injury. More so in patients with previous laparotomy, where adhesion is common. This type of patients, the suspicion of mesenteric injury should be high.12 Even though it is well known, “to err is human”, accepting an error is difficult. This is true in managing abdominal trauma, where man and machine jointly manage and the decision is combined. It is not an exception in abdominal trauma. When the man interprets the machine’s language wrongly, “the CT scan”, the outcome will also be wrong, which very few humans accept. So, the literature on missed abdominal injuries is sparce. In a Tunisian study, abdominal pelvic injuries were missed at an alarming 62.5 and 61.11% in a pre-hospital setting.19 Missing injuries at a pre hospital triage actually do not change the final outcome, provided the patients are transferred quickly to hospital with en-route resuscitation, where, a specialist doctor takes a decision.20 In the present study 12/72 (16.6%) abdominal injury were missed. Maximum missed injures were the mesenteric injury (Table 2). Missed injury means delay the therapy thus increase in morbidity and even mortality.2 We took the clue of free fluid. Free fluid in trauma means blood. If one asks, where from is this blood? If the answer is not seen as no solid organ injury. Even CT scan can miss up to 20% of abdominal injury.6 If we analyse, the presence of free fluid (= blood) in absence of solid organ injury, the answer should be mesenteric injury. The answer can only be confirmed by laparoscopy.

Laparoscopy is established to be effective in penetrating injury.21,22 Laparoscopy, immediately confirm the breach of peritoneum by leaking of gas, if there is no air leak, there is unlikely to have injury to intraperitoneal organs. But cannot rule out retroperitoneal injury. Even though, retro-peritoneoscopy is an established procedure in pancreatic necrosectomy, its role in trauma is not established. In fact, laparoscopy is being done in abdominal trauma.20 But the fear of dislodgement of clot during the abdominal distention and bleeding is there.22 The timing of laparoscopy is not yet finalized, Because, presence of clot will absorb most of the light and clot must not be sucked. So, it is better to wait for plasminogen activity to liquify the blood, which can be sucked and assessment of injury will be correct. In this study, we have done all eight cases in haemodynamically stable only after > 48 hrs for the reason explained. During this time, patients were observed for stability and good urine output, before the procedure.

 Out of eight diagnostic laparoscopies and one therapeutic procedure could be done and identified the mesenteric injures. In a grade III pancreatic injury, where drainage of pancreatic juice and feeding jejunostomy was done to feed the pancreatic juice (Figure 3C). High dose Omeprazole is used in these cases, as reduces the pancreatic juice by increasing serum gastrin level, which interns reduces the secretin level. Low secretin level reduces the pancreatic juice volume. The reduced pancreatic juice secreted by ductular epithelial cell and helps in healing pancreatic fistula.23 Missing injury, will affect more on the NOM group. It will delay the dealing with the missed injury and likely to prolong the hospitalization and increase morbidity and mortality.5,6 Like our study, other study found longer hospitalization period in missed injury group,7 if we do not include the initial hospitalization period, it was not found significant in this study, as we took decision within 24-28 hrs. Hospitalization cost is also an important factor in therapy, but the whole period was treated free in military hospital, hence it was not taken into consideration.

Conclusion

Missed abdominal injury is a reality. If this diagnosis is delayed, the morbidity and mortalities are significantly higher. Mesenteric and pancreatic injuries have real risk of missing the injury even after CT scan. Laparoscopy can diagnose both. Once the diagnosis is made, management to follow at the same time.

Acknowledgments

None.

Conflicts of interest

The authors declare no conflicts of interest.

Limitation of the study

A retrospective study, smaller number of patients are the limitation.

References

  1. Eric Durrant, Rawan Abu Mughli, Siobhán B O'Neill, et al. Evaluation of Bowel and Mesentery in Abdominal Trauma.  Can Assoc Radiol J. 2020;71(3):362–370.
  2. C K Sung, K H Kim Missed injuries in abdominal trauma. J Trauma. 1996;41(2):276–282.
  3. Preston R Miller, Martin A Croce, Tiffany K Bee, et al.  Associated injuries in blunt solid organ trauma: implications for missed injury in nonoperative management. J Trauma. 2002;53:238–242.
  4. MG Ochsner, M M Knudson, H L Pachter, et al. Significance of minimal or no intraperitoneal fluid visible on CT scan associated with blunt liver and splenic injuries: a multicenter analysis. J Trauma. 2000;49(3):505–510.
  5. David Ledrick, Alexander Payvandi, Adam C Murray, et al. Is There a Need for Abdominal CT Scan in Trauma Patients With a Low-Risk Mechanism of Injury and Normal Vital Signs? Cureus. 2020;12:e11628.
  6. Tyler J Loftus, Megan L Morrow, Lawrence Lottenberg, et al.  Occult bowel injury after blunt abdominal trauma. Am J Surg. 2019; 218(2):266–270.
  7. Francesco Cinquantini, Gregorio Tugnoli, Alice Piccinini, et al. Educational Review of Predictive Value and Findings of Computed Tomography Scan in Diagnosing Bowel and Mesenteric Injuries After Blunt Trauma: Correlation With Trauma Surgery Findings in 163 Patients. Can Assoc Radiol J. 2017;68(3):276–285.
  8. Maria Cristina Firetto, Francesco Sala, Marcello Petrini, et al.  Blunt bowel and mesenteric trauma: role of clinical signs along with CT findings in patients' management. Emerg Radiol. 2018;25(5):461–467.
  9. Atin Kumar, Ananya Panda, Shivanand Gamanagatti.  Blunt pancreatic trauma: A persistent diagnostic conundrum? World J Radiol. 2016;8(2):159–173.
  10. Kirubel Abebe, Biniyam Geremew, Befekadu Lemmu, et al. Indications and Outcome of Patients who had Re-Laparotomy: Two Years' E xperience from a Teaching Hospital in a Developing Nation. Ethiop J Health Sci. 2020;30(5):739–744.
  11. Samir M Shah, Komal S Shah, Parthesh K Joshi, et al. To study the incidence of organ damage and post-operative care in patients of blunt abdominal trauma with haemoperitoneum managed by laparoscopy. J Minim Access Surg. 2011;7(3):169–172.
  12. C E M Pothmann, K Sprengel, H Alkadhi, et al. Abdominal injuries in polytraumatized adults: Systematic review. Unfallchirurg. 2018;121:159–173.
  13. Croce MA, Fabian TC, Menke PG, et al. Nonoperative management of blunt hepatic trauma is the treatment of choice for hemodynamically stable patients. Results of a prospective trial. Ann Surg. 1995;221(6):744–753.
  14. Tyler J Loftus, Megan L Morrow, Lawrence Lottenberg, et al. The impact of prior laparotomy and intra -abdominal Adhesion on bowel and Mesenteric injury following Blunt Abdominal trauma. World J Surg. 2019;43:457–465.
  15. Angela Oyo-Ita, Paul Chinnock, Ikpeme A Ikpeme. Surgical versus non-surgical management of abdominal injury. Cochrane Database Syst Rev. 2015;13(11):CD007383.
  16. Margot Fodor, Florian Primavesi, Dagmar Morell-Hofert, et al. Non-operative management of blunt hepatic and splenic injury: a time-trend and outcome analysis over a period of 17 years. World J Emerg Surg. 2019;14:29.
  17. Moamena El-Matbouly, Gaby Jabbour, Ayman El-Menyar, et al. Blunt splenic trauma: Assessment, management and outcomes. Surgeon. 2016;14(1):52–58.
  18. Maximilian Goedecke, Florian Kühn, Ioannis Stratos, et al. No need for surgery? Patterns and outcomes of blunt abdominal trauma. Innov Surg Sci. 2019.14;4:100–107.
  19. R A Lichtveld, A T E Spijkers, I F Panhuizen, et al. Background and consequences of injuries missed when diagnosing severely injured accident victims in prehospital care in patients transported by ambulance to the University Medical Centre in Utrecht, 1999-2000] Ned Tijdschr Geneeskd. 2006;150(40):2197–2202.
  20. Alexandru Eugen Nicolau, Marius Craciun, Raluca Vasile, et al. The Role of Laparoscopy in Abdominal Trauma: A 10-Year Review. Chirurgia (Bucur). 2019;114:359–368.
  21. Kevin Bain, Vadim Meytes, Grace C Chang, et al. Laparoscopy in penetrating abdominal trauma is a safe and effective alternative to laparotomy. Surg Endosc.  2019; 33(5):1618-1625.
  22. B Sido, L Grenacher, H Friess, et al. Abdominal trauma. Orthopade. 2005;34:880–888.
  23. Pujahari AK. High dose omeprazole heals pancreatic fistula; A case series. Gastroenterol Hepatol Open Access. 2021;12(2):31‒35.
Creative Commons Attribution License

©2022 Pujahari. This is an open access article distributed under the terms of the, which permits unrestricted use, distribution, and build upon your work non-commercially.