Submit manuscript...
eISSN: 2373-6372

Gastroenterology & Hepatology: Open Access

Research Article Volume 5 Issue 2

MRI in Primary Intestinal Lymphangiectasia: A Diagnostic Tool and to Delineate Localization of Involvement

Sharat Varma,1,2 Manisha Jana3

1Department of Pediatrics, All India Institute of Medical Sciences, India
2Service of pediatric gastroenterology and hepatology, Department of Pediatrics, Cliniques Universitaires St Luc, Belgium
3Department of Radiodiagnosis, All India Institute of Medical Sciences, New Delhi, India

Correspondence: Sharat Varma, Service of pediatric hepatology and gastroenterology, Cliniques universitaires St Luc Avenue Mounier 52, B1200, Brussels, Belgium, Tel 32 (0) 2 764 52 76

Received: June 16, 2016 | Published: August 24, 2016

Citation: Varma S, Jana M (2016) MRI in Primary Intestinal Lymphangiectasia: A Diagnostic Tool and to Delineate Localization of Involvement.Gastroenterol Hepatol Open Access 5(2): 00137. DOI: 10.15406/ghoa.2016.05.00137

Download PDF

Abstract

Introduction and aims:Intestinal lymphangiectasia (IL) is a rare protein losing enteropathy caused by congenital malformation or obstruction of the intestinal lymphatic system. Determining presence and extent of involvement is challenging, as if the region of involvement is further to the duodenum it’s not visualized by upper GI endoscopy. Computerized tomography (CT) scan and video capsule endoscopy (VCE) can be used but their use is limited by size of capsule endoscope and radiation exposure in CT scanning. Hence we evaluated MRI for confirming the diagnosis and evaluating the extent of intestinal involvement.

Methods and patients:4 children with confirmed primary IL underwent MRI scan to evaluate dilated lymphatics and extent of disease.

Image analysis:Images were analyzed for the presence of bowel wall thickness, presence of intestinal obstruction, mesenteric lymphangiectasia, hypodense intramural focus in bowel wall, T2WI hyper‒intense focal area in the bowel wall and any other associated abnormality.

Results:Bowel thickening and dilated lymphatics seen as tubular hyper‒intense channels in the sub‒serosal layers within the small bowel walls were seen. Segmental localization to isolated jejunal involvement was observed in one patient.

Conclusion:MRI can be used to diagnose and evaluate extent of involvement of intestinal lymphangiectasia.

Keywords:Intestinal lymphangiectasia, Protein losing enteropathy, Magnetic resonance imaging

Abbreviations

IL; Intestinal lymphangiectasia, CT; Computerized tomography scans, MRI; Magnetic resonance imaging, VCE; Video capsule endoscopy

Background and Aims

Intestinal lymphangiectasia (IL) is a rare protein losing enteropathy caused by congenital malformation or obstruction of the intestinal lymphatic drainage system.1 Elevated pressure in the intestinal lymphatic system causes dilatation and rupture of the lacteals, with loss of lymphatic fluid which is rich in fat and protein. Consequently the clinical features of diarrhea, growth retardation, edema, ascites and hypo‒proteinemia develop.1,2 Depending on the presence of an underlying etiology IL could be classified as primary or secondary. Primary IL (PIL) also known as Waldman disease is rather rare entity with not more than 200 cases reported so far.2,3 Given the rarity of PIL the evaluation and management strategies have not changed much over the past decade.2 There have been reports on successful usage of computerized tomography (CT) scan and video capsule endoscopy (VCE) to diagnose and delineate the extent of intestinal involvement.4-12 The significance of determining the extent of involvement lies in the good response to surgical excision of the involved intestinal segment if a localized disease is present, as medical management outcomes are modest and often frustrating.13-15 Localized involvement poses a problem of diagnosis as well, if the region of involvement is further to the duodenum and not under direct visualization in the screening upper GI endoscopy. The utilization of VCE and CT scan for diagnosis and localization of disease in children is associated with issues related to size of capsule endoscope and the radiation exposure in CT scanning. Hence we tried to analyze the usage of MRI and as a diagnostic tool and also for localization of the disease in children with PIL.

Patients and methods

Children diagnosed with IL were included in the study as per the criteria listed in Table 1. After inclusion in the study, each child underwent MRI scan.

MRI imaging was performed on a 1.5 T scanner (Magnetom Avanto; Siemens, Erlangen, Germany). Older children underwent imaging without sedation, whereas younger children needed intravenous sedation. Images were acquired in coronal and axial planes. The sequences acquired were

  1. Spoiled Gradient recalled echo (GRE) T1W (FLASH) axial images of slice thickness 3 mm
  2. Balanced GRE ( TruFISP) in axial plane with slice thickness of 3 mm
  3. Heavily T2W images in the form of HASTE (Half‒Fourier Acquisition Single‒shot Turbo Spin Echo images, TR‒ 1100 ms, TE 20 ms) with fat suppression in axial and coronal planes with slice thickness of 3 mm, inter slice gap of 10%, image matrix of 256x256
  4. Respiratory‒triggered T2W turbo‒spin echo images with fat suppression in axial plane with a slice thickness of 3 mm and 10% inter‒slice gap.

Inclusion Criteria (Confirmation of PIL as per Criteria Below)

Histological confirmation of IL on intestinal biopsy

Serum hypoalbuminemia

Increased stool A1‒AT (>24ml/24hr without

Diarrhea and >56ml/24hr without diarrhea)

Increased fecal fat

Absence of proteinuria

Exclusion Criteria (Exclusion of Secondary IL )

Cardiac abnormalities on echocardiography

Tuberculosis

HIV infection

Presence of clinical hemi‒hyprtrophy

Table 1 Criteria of children diagnosed with IL

Image analysis

Images were analyzed for the presence of bowel wall thickness, presence of intestinal obstruction, mesenteric lymphangiectasia, hypodense intramural focus in bowel wall, T2WI hyper‒intense focal area in the bowel wall and any other associated abnormality.

Results

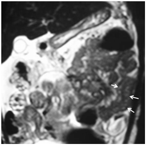
Four patients were included and their clinical characteristics are detailed in Table 2. The mean age of symptomatic presentation was 44.25 months (1‒109 months) while mean interval between onset of symptoms to diagnosis was 15.5 months (3‒26 months). The main presenting complaint was chronic diarrhea in 3 of 4, while 1 had presented with repeated episodes of generalized edema. All had features of protein losing enteropathy, high fecal fat, lymphangiectasia on biopsy and no underlying etiology for the IL could be identified. The imaging findings were of diffuse bowel thickening, tubular hyper‒intense channels within the sub‒serosal layer of the small bowel (Figure 1). One patient showed segmental localization, with limited involvement of the jejunum (Figure 2a & 2b).

Figure 1 Coronal HASTE MR image shows ascites and diffuse thickening of the small bowel loops. There are multiple tubular and hyperintense channels in the jejunal wall (arrows).

Figure 2 MR images of a 11 month female child with intestinal lymphangiectaisa. Coronal HASTE (a) and axial T2W spin echo fat saturated (b) images show ascites and diffuse thickening of the mid and distal jejunal and ileal loops. There are multiple tubular and tortuous hyperintense channels in the jejunum (arrow); note the normal thickness of the proximal jejunal walls (block arrow).

 

Child 1

Child 2

Child 3

Child 4

Demographics

Age at first presentation (months)

6

1

58

86

Age at diagnosis (months)

9

11

84

109

Time between presentation and diagnosis (months)

3

10

26

23

Gender

Male

Female

Male

Female

Clinical features

Main symptom

Diarrhea

Episodic Anasarca

Diarrhea

Diarrhea

Chronic diarrhea

Yes

No

Yes

Yes

Generalized edema

Yes

Yes

No

Yes

Ascites

No

No

Yes

Yes

Biochemical findings

S. Protein (mg/dl )

1,9

2,7

3,3

3,1

S. Albumin (mg/dl)

0,6

1,9

1,6

2,2

72 hour fecal fat test ( Normal :< or = 7 gm/day)

Increased

Increased

Increased

Increased

Stool alpha‒1‒AT (mg/ml) (Normal :< or = 54 mg/ml)

140

180

120

210

Endoscopic findings

White spots on duodenal mucosa on upper GI endoscopy

Present

Present

Present

Present

Intestinal biopsy histology

Dilated lymphatic in mucosa/sub mucosa

Present

Present

Present

Present

Villous atrophy

Absent

Absent

Absent

Absent

Giardia

Absent

Absent

Absent

Absent

Table 2 Amplitude in mill volts of the Lead-1 of electrocardiography in sheep

*Significant (P≤0.05); NSNot significant (P>0.05)

Discussion

The diagnosis of IL is currently confirmed by the visualization of dilated lymphatics on endoscopy with corresponding histology of the intestinal biopsy specimens. This approach has significant shortcomings as the lymphatics maybe dilated only post prandial and not visualized when the endoscopy and biopsy were performed.3 In addition if the region of small bowel involvement is distal to the duodenum this approach would give a falsely normal result.4-11 This aspect assumes more significance as it’s the patients who have localized involvement, benefit most from a definitive surgery wherein the involved segment would be removed and the patient would lead a normal life, with normal no dietary restrictions thereafter.13-15 The missed diagnosis of IL by endoscopy and biopsy has been reported to be as high as 14%.2 VCE has proven to be useful in such cases and has aided in establishment of the diagnosis of IL. In children the VCE is more difficult to perform in comparison to adults on account of the size of the capsule. The cost and availability of VCE continue to be a hindrance to its widespread usage as well. Imaging with MRI has been used as non‒invasive diagnostic tools and also for excluding other factors that may cause secondary IL.5,8-10,16,17 The usage of MRI has an inherent advantage over CT and VCE but its findings and utility in children with IL have been rarely reported.

In our study of 4 children with PIL, which is a rather rare disease with approximately 200 cases reported; we have find MRI to be accurate in diagnosis and segmental localization. We found findings on MRI to be bowel wall thickening, bowel wall enhancement and intramural hyper‒intensities in the affected bowel wall (Figure 1 & 2). All the 4 patients had bowel wall thickening and 3 of the 4 had intramural linear hyper‒intense signal intensity on T2WI MRI (Figure 1 & 2). One patient demonstrated localized involvement of the distal jejunal loops only on imaging (Figure 2). The sensitivity of MRI to detect lymphangiectasia on the basis of bowel wall thickening is 100% (taking endoscopy and biopsy as gold standard) while it was 75% if the finding of T2WI hyperintense linear signal intensity in the bowel wall was taken as a diagnostic criteria. Specificity could not be calculated as there was no ‘true negative’.

The MRI has distinct advantages as it avoids ionizing radiation exposure and usage of contrast media. In our series, MRI was successfully performed in all of the four children. The scanning time was 25‒30 minutes. In smaller children and infants, respiratory triggered sequences were used as the imaging was performed under general anesthesia. The technical drawbacks related to MRI abdomen in our study group included lack of proper luminal distension, and artifacts due to peristaltic activity/ respiratory movements. The artifacts due to peristalsis were not significant to cause diagnostic dilemma. The spatial resolution required for delineating the fine details of the bowel wall was achieved on MRI. Hence the MRI should be used as imaging modality of choice rather than the CT scan and in cases where due to practical reasons VCE is not possible; especially in younger children. From the statistical point of view, the study had limitations in terms of lack of control group and a small number of study population. Thus imaging studies, preferably MRI, in children could provide imaging features to provide indirect pathological evidence of intestinal and mesenteric lymphangectasia and support the diagnosis in the case of a normal endoscopic and histological examination when there is a strong clinical suspicion. Further they should be used to identify the extent of disease involvement and guide surgical treatment if possible.

Ethical clearance

Informed consent taken from parents of minor children.

References

  1. Lafaro KJ, Demirjian AN, Pawlik TM. Epidemiology of Hepatocellular carcinoma. Surg Oncol Clin N Am. 2015;24(1):1‒17.
  2. Chen T, Song D, Min Z, et al. Perioperative dynamic alterations in peripheral regulatory T and B cells in patients with hepatocellular carcinoma. J Transl Med. 2012;10(14):10‒14.
  3. Disis ML. Immune regulation of cancer. J Clin Oncol. 2010;28(29):4531‒4538.
  4. Garnelo M, Tan A, Her Z, et al. Interaction between tumour‒infiltrating B cells and T cells controls the progression of hepatocellular carcinoma. Gut p. 2015;gutjnl:310814.
  5. Shao Y, Lo CM, Ling CC, et al. Regulatory B cells accelerate hepatocellular carcinoma progression via CD40/CD154 signaling pathway. Cancer Lett. 2014;355(2):264‒272.
  6. Mizoguchi A, Mizoguchi E, Takedatsu H, et al. Chronic intestinal inflammatory condition generates IL‒10‒producing regulatory B cell subset characterized by CD1d upregulation. Immunity. 2002;16(2):219‒230.
  7. Mauri C, Menon M. The expanding family of regulatory B cells. Int Immunol. 2015;27(10):479‒486.
  8. Mauri C, Bosma A. Immune regulatory function of B cells. Annu Rev Immunol. 2012;30:221‒241.
  9. Kalampokis I, Yoshizaki A, Tedder TF. IL‒10‒producing regulatory B cells (B10 cells) in autoimmune disease. Arthritis Res Ther. 2013;15 (Suppl 1):p. S1.
  10. Floudas A, Amu S, Fallon PG. New Insights into IL‒10 Dependent and IL‒10 Independent Mechanisms of Regulatory B Cell Immune Suppression. J Clin Immunol. 2016;1(25‒33).
  11. Lampropoulou V, Hoehlig K, Roch T, et al. TLR‒activated B cells suppress T cell‒mediated autoimmunity. J Immunol. 2008;180(7):4763‒4773.
  12. Stanic B, van de Veen W, Wirz OF, et al. IL‒10‒overexpressing B cells regulate innate and adaptive immune responses. J Allergy Clin Immunol. 2015;135(3):771‒780.
  13. Yan He, Hongyan Q, Yuan L, et al. The roles of regulatory B cells in cancer. J Immunol Res. 2014;2014(2014):7.
  14. Li Q, Teitz Tennenbaum S, Donald EJ, et al. In vivo sensitized and in vitro activated B cells mediate tumor regression in cancer adoptive immunotherapy. J Immunol. 2009;183(5):3195‒3203.
  15. De Visser KE, Korets LV, Coussens LM. Coussens, De novo carcinogenesis promoted by chronic inflammation is B lymphocyte dependent. Cancer Cell. 2005;7(5):411‒423.
  16. Andreu P, Johansson M, Affara NI, et al. FcRgamma activation regulates inflammation‒associated squamous carcinogenesis. Cancer Cell. 2010;17(2):121‒134.
  17. Blair PA, Noreña LY, Flores‒Borja F, et al. CD19(+)CD24(hi)CD38(hi) B cells exhibit regulatory capacity in healthy individuals but are functionally impaired in systemic Lupus Erythematosus patients. Immunity. 2010;32(1):129‒140.
  18. Olkhanud PB, Damdinsuren B, Bodogai M, et al. Tumor‒evoked regulatory B cells promote breast cancer metastasis by converting resting CD4(+) T cells to T‒regulatory cells. Cancer Res. 2011;71(10):3505‒3515.
  19. Lee‒Chang C, Bodogai M, Martin‒Montalvo A, et al. Inhibition of breast cancer metastasis by resveratrol‒mediated inactivation of tumor‒evoked regulatory B cells. J Immunol. 2013;191(8):4141‒4151.
  20. Ding T, Yan F, Cao S, et al. Regulatory B cell:New member of immunosuppressive cell club. Hum Immunol. 2015;76(9):615‒621.
  21. Budhu A, Wang XW. The role of cytokines in hepatocellular carcinoma. J Leukoc Biol. 2006;80(6):1197‒1213.
  22. Stephen JJenkins, Georgia Perona Wright, Andrew S, et al. Perona‒Wright, and A.S. MacDonald, Full development of Th2 immunity requires both innate and adaptive sources of CD154. J Immunol. 2008;180(12):8083‒8092.
  23. Wang Y, Wang W, Wang L, et al. Regulatory mechanisms of interleukin‒8 production induced by tumour necrosis factor‒alpha in human hepatocellular carcinoma cells. J Cell Mol Med. 2012;16(3):496‒506.
  24. Chen KJ, Lin SZ, Zhou L, et al. Selective recruitment of regulatory T cell through CCR6‒CCL20 in hepatocellular carcinoma fosters tumor progression and predicts poor prognosis. PLoS One. 2011;6(9):24671.
  25. DiLillo DJ, Matsushita T, Tedder TF. B10 cells and regulatory B cells balance immune responses during inflammation, autoimmunity, and cancer. Ann N Y Acad Sci. 2010;1183:38‒57.
  26. Zhang HH, Mei MH, Fei R, et al. Regulatory T cell depletion enhances tumor specific CD8 T‒cell responses, elicited by tumor antigen NY‒ESO‒1b in hepatocellular carcinoma patients, in vitro. Int J Oncol. 2010; 36(4):841‒848.
  27. Veronique Moulin, Fabienne Andris, Kris Thielemans, et al. B lymphocytes regulate dendritic cell (DC) function in vivo:increased interleukin 12 production by DCs from B cell‒deficient mice results in T helper cell type 1 deviation. J Exp Med. 2000;192(4):475‒482.
  28. Song S, Yuan P, Li P, et al. Dynamic analysis of tumor‒associated immune cells in DEN‒induced rat hepatocellular carcinoma. Int Immunopharmacol. 2014;22(2):392‒399.
  29. Budhu A, Wang XW. The role of cytokines in hepatocellular carcinoma. J Leukoc Biol. 2006;80(6):1197‒1213.
  30. Gorosito Serran M, Fiocca Vernengo F, Beccaria CG, et al. The regulatory role of B cells in autoimmunity, infections and cancer:Perspectives beyond IL10 production. FEBS letters. 2015;589(22):3362‒3369.
  31. Xiao X, Lao XM, Chen MM, et al. PD‒1hi Identifies a Novel Regulatory B‒cell Population in Human Hepatoma That Promotes Disease Progression. Cancer Discov. 2016;6(5):546‒559.
  32. Iwata Y, Matsushita T, Horikawa M, et al. Characterization of a rare IL‒10‒competent B‒cell subset in humans that parallels mouse regulatory B10 cells. Blood. 2011;117(2):530‒541.
  33. Magdalena Hagn, Bernd Jahrsdorfer. Why do human B cells secrete granzyme B? Insights into a novel B‒cell differentiation pathway. Oncoimmunology. 2012;1(8):1368‒1375.
  34. Gondek DC, Lu LF, Quezada SA, et al. Cutting edge:contact‒mediated suppression by CD4+CD25+ regulatory cells involves a granzyme B‒dependent, perforin‒independent mechanism. J Immunol. 2005;174(4):1783‒1786.
  35. Devadas S, Das J, Liu C, et al. Granzyme B is critical for T cell receptor‒induced cell death of type 2 helper T cells. Immunity. 2006;25(2):237‒247.
  36. Loeb CR, Harris JL, Craik CS. Granzyme B proteolyzes receptors important to proliferation and survival, tipping the balance toward apoptosis. J Biol Chem. 2006;281(38):28326‒28335.
  37. Eva Wieckowski, Gui Qiang Wang, et al. Granzyme B‒mediated degradation of T‒cell receptor zeta chain. Cancer Res. 2002;62(17):4884‒4889.
  38. Ganor Y, Teichberg VI, Levite M. TCR activation eliminates glutamate receptor GluR3 from the cell surface of normal human T cells, via an autocrine/paracrine granzyme B‒mediated proteolytic cleavage. J Immunol. 2007;178(2):683‒692.
  39. Jahrsdorfer B, Blackwell SE, Wooldridge JE, et al. B‒chronic lymphocytic leukemia cells and other B cells can produce granzyme B and gain cytotoxic potential after interleukin‒21‒based activation. Blood. 2006;108(8):2712‒2719.
  40. Min Yang, Jun Deng, Yang Liu, et al. IL‒10‒producing regulatory B10 cells ameliorate collagen‒induced arthritis via suppressing Th17 cell generation. Am J Pathol. 2012;180(6):2375‒2385.
  41. Bosma A, Abdel‒Gadir A, Isenberg DA, et al. Lipid‒antigen presentation by CD1d(+) B cells is essential for the maintenance of invariant natural killer T cells. Immunity. 2012;36(3):477‒490.
  42. Yoshizaki A, Miyagaki T, DiLillo DJ, et al. Regulatory B cells control T‒cell autoimmunity through IL‒21‒dependent cognate interactions. Nature. 2012;491(7423):264‒268.
  43. Yang, X, Yiwei Chu, Yu Xue, et al. T follicular helper cells and regulatory B cells dynamics in systemic lupus erythematosus. PloS one. 2014;9(2):e88441.
  44. Yi Peng Fu, Yong Yi, Xiao Yan Cai, et al. Overexpression of interleukin‒35 associates with hepatocellular carcinoma aggressiveness and recurrence after curative resection. British Journal of Cancer. 2016;114:767‒776.
  45. Fu J, Xu D, Liu Z, et al. Increased regulatory T cells correlate with CD8 T‒cell impairment and poor survival in hepatocellular carcinoma patients. Gastroenterology. 2007;132(7):2328‒2339.
  46. Kim S, Fridlender ZG, Dunn R, et al. B‒cell depletion using an anti‒CD20 antibody augments antitumor immune responses and immunotherapy in nonhematopoetic murine tumor models. J Immunother. 2008;31(5):446‒457.
Creative Commons Attribution License

©2016 Varma, et al. This is an open access article distributed under the terms of the, which permits unrestricted use, distribution, and build upon your work non-commercially.