Submit manuscript...
eISSN: 2373-6372

Gastroenterology & Hepatology: Open Access

Case Report Volume 7 Issue 4

Non-Surgical Approach of a Pneumoperitoneum of Major Proportions Following a Gastric Bypass

Cardoso JFM, Jatobá MT, Pimenta Ll, Barreiro B, Khatib AA, Fortes D, Alvarez Ga, Mazzurana M

Department of Surgery, Hospital Guilherme

Correspondence: Mazzurana M, Department of Surgery, Hospital Guilherme Álvaro, São Paulo, Brazil

Received: June 25, 2017 | Published: August 28, 2017

Citation: Cardoso JFM, Jatobá MT, Pimenta LI, Barreiro B, Khatib AA et al. (2017) Non-Surgical Approach of a Pneumoperitoneum of Major Proportions Following a Gastric Bypass. Gastroenterol Hepatol Open Access 7(4): 00244. DOI: 10.15406/ghoa.2017.07.00244

Download PDF

Abstract

Severe obesity is a chronic disease that increases the risk of death from cardiovascular, oncologic and metabolic co-related diseases. Bariatric surgery is the most effective treatment since it leads to sustained weight loss in 90% of cases and control or reversal of associated comorbidities, reducing risks and returning life expectancy to the patient. Anastomosis dehiscence of the stapling line is the most common early complication. It has an incidence of 0 to 5.6% in large series. It has an associated mortality of 37.5-50%, representing the second cause of death in the early postoperative period.

Keywords: pneumoperitoneum, roux-en-y bypass complications, clinical treatment

Abbreviations

BMI, body mass index; PO, postoperative day; VO, via oral

Introduction

Anastomosis dehiscence or the stapling line is the most common early complication. It has an incidence of 0 to 5.6% in large series. It has an associated mortality of 37.5-50%, representing the second cause of death in the early postoperative period.

Case presentation

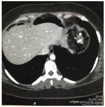
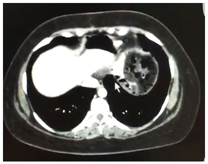
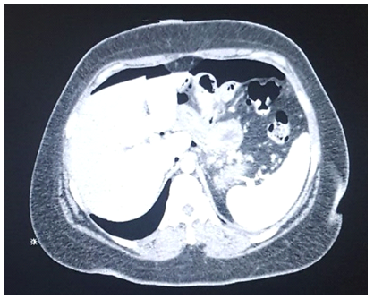
J.N.M.P., 33 years old, female, was submitted to a laparoscopic Roux-in-Y Gastric Bypass due to severe obesity (BMI 41 kg/m2) and hepatic steatosis. On the seventh postoperative day (PO), she complained of bilateral shoulder pain. There were no significant alterations on the physical examination, no fever and normal pulse. The secretion present in the drain was serous and methylene blue oral intake test was negative. Laboratory tests revealed leukocytosis of 13,000 without other changes. Abdominal CT scan with oral and intravenous contrast showed no signs of leakage, free intracavitary fluids or collections but the presence of a large volume pneumoperitoneum, not expected for a seventh postoperative day. Leading with a hypothetical fistula, consistent with the indirect CT findings, and in the absence of sepsis signs, we started a treatment with fasting, antibiotic therapy and parenteral nutrition. Three days later, there was 80 to 90% improvement of the clinical onset of shoulder pain, and reduction of leukocytosis. Eight days later, another CT showed an important reduction in the pneumoperitoneum volume, which allowed to reestablish oral intake. The patient had a good evolution. Another Tomography, fifteen days after hospital discharge, showed no pneumoperitoneum (Figures 1-4).1–3

Figure 1 TC ABDOME 01.

Figure 2 TC ABDOME

Figure 3 TC ABDOME.

Figure 4 TC ABDOME.

Discussion

The pneumoperitoneum, disproportional to the postoperative time, is an indirect imaging criteria of digestive fistula, in the gastric bypass it is not different. In this case, non-surgical treatment has been considered one of the options, avoiding the morbimortality of reoperations and offering a safe treatment for the patient.

Acknowledgments

None.

Conflicts of interest

The authors declare no conflicts of interest.

Funding

None.

References

Creative Commons Attribution License

©2017 Cardoso, et al. This is an open access article distributed under the terms of the, which permits unrestricted use, distribution, and build upon your work non-commercially.