Submit manuscript...
eISSN: 2373-6372

Gastroenterology & Hepatology: Open Access

Commentary Volume 3 Issue 1

Pancreatic Cancer-Early Diagnosis

Nelson Carrillo

Department of Gastroenterology, Central University of Venezuela, Venezuela

Correspondence: Nelson Carrillo, Central University of Venezuela, Libertador Avenue, Angostura Building, 7 Floor, Office 7B, Caracas, Venezuela, Tel 58-212-7632202, Fax 58-212-9917903

Received: August 04, 2015 | Published: November 16, 2015

Citation: Carrillo N (2015) Pancreatic Cancer-Early Diagnosis. Gastroenterol Hepatol Open Access 3(1): 00070. DOI: 10.15406/ghoa.2015.03.00070

Download PDF

Introduction

Various artists and celebrities have died by the disease, Luciano Pavarotti a famous tenor, Henry Mancini composer of music for films and TV series, Steve Jobs founder of Apple Company, and Patrick Swayze actor and star of numerous movies. Its is a fact that often, the diagnosis is made at late stage of the disease, when they are advanced, 85-90% of cases are inoperable, with a average life of 10-20 months.1

The pancreatic echo sonography must be well done, fully showing the morphology of the páncreas, the best plane in the transversal in the upper abdomen, in deep inspiration, observing the head, body and tail in front of the splenic vein (Figure 1). It is very important to note superior mesenteric artery, because this vessel divides the páncreas in a cefalo-corporal and a corpocaudal areas, 75% of neoplasms of the páncreas are in the first zone and 25% in the second. In preparation for this test, antiflatulents the previous day should be used to avoid artifacts gas in the stomach, duodenum and splenic flexure of the colon, causing inadequate observation. We use the RULE OF THREE: All pancreatic size greater than 3 centimeters is abnormal and should be studied. All pancreatic duct greater than 3 millimeters is abnormal and should be studied.

Figure 1 Head, body and tail of the normal pancreas.

Sonographic Detection of Pancreatic Cancer

  1. Direct Signs (Figure 2)
    1. Focal growth
    2. Irregularities of the shape
    3. Focal hypoechoic parenchyma
  2. Indirect signs
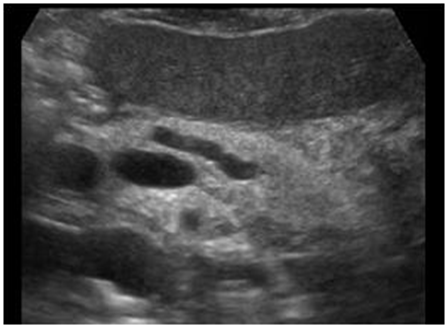
    1. Pancreatic duct dilatation (Figure 3) (Figure 4)
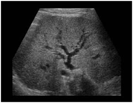
    2. Dilatation of bile ducts (Figure 5) (Figure 6)
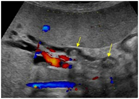
  3. Vascular compression or invasión (Figure 7)
  4. Lymphnode or liver metastases (Figure 8)

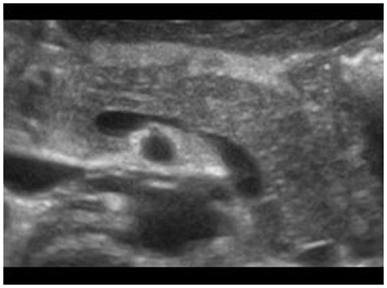
Figure 2 Solitary tumor lesion in the body of the pancreas.

Figure 3 Dilatation of the Wirsung duct, cancer in the head.

Figure 4 Dilatacion of the Wirsung duct, big cancer in the head

Figure 5 Dilatation of bile ducts.

Figure 6 Dilatation of the common bile duct.

Figure 7 Compresion and invasion of the splenic vein.

Figure 8 Several Hepatic metastatic lesions.

Clearly it shows that the direct signs indicate a better prognosis and indirect signs indicate bad prognosis with a short survival and high mortality.

Cancer of the páncreas in early stage

Localized tumor only in the páncreas with a size less than 3.4cms (+-0.4cms) or 3cms or 2cms2,3
Or stage 1: T1 No Mo.

Population at high risk for pancreatic cáncer

  1. Age over 65 years
  2. Smoking habits4
  3. Crisis of previous pancreatitis5
  4. Diabetics6,7
  5. Alcoholism
  6. Ca 19-9 high or in rising trend (Normal: 0-37IU/ml)8,9
  7. Genome proneto cáncer of the páncreas10 

Suggestion

Make determination of Ca 19-9 and pancreatic periodic echo sonography every 6 months in the high risk group. This procedure will permit to make early diagnoses and guide patients suspected to complementary tests: EUS, PCRE, NMR, TAC, fine needle puncture and cytology, percutaneous biopsy or guided by endoscopic sonography and preoperatory laparoscopy.

We encourage the medical groups interested in improving the prognosis of cáncer of the páncreas, to plan a study protocol with this suggestion and observe the results.

Conclusion

In conclusion, we have identified a mouse model of craniofacial dysplasia in NF1, which will help identify the molecular mechanism and pathways responsible for the craniofacial deformity in NF1 syndrome. There are currently no treatments known that block or slow the progression of sphenoid wing dysplasia in NF1. The Nf1ob-/- mouse represents a novel and relevant mouse model that recapitulates the phenotype of sphenoid wing dysplasia in NF1. Nf1ob-/- mice provide an important tool with which to test treatments to prevent facial deformities in pediatric NF1 patients.

Acknowledgments

None.

Conflicts of interest

The authors declare there is no conflict of interests.

Funding

None.

References

Creative Commons Attribution License

©2015 Carrillo. This is an open access article distributed under the terms of the, which permits unrestricted use, distribution, and build upon your work non-commercially.