Submit manuscript...
eISSN: 2373-6372

Gastroenterology & Hepatology: Open Access

Mini Review Volume 5 Issue 3

Pathogenesis of HCV and Liver Fibrosis

Nermine Ahmed Ehsan,1 Maha Mohamed Elsabaawy2

1Department of Pathology, Menofiya University, Egypt
2Department of Hepatology, Menofiya University, Egypt

Correspondence: Maha Mohamed Elsabaawy, Department of Hepatology, National Liver Institute, Menofiya University, Shebin Elkom, Egypt

Received: May 25, 2016 | Published: September 16, 2016

Citation: Ehsan NA, Elsabaawy MM (2016) Pathogenesis of HCV and Liver Fibrosis. Gastroenterol Hepatol Open Access 5(3): 00141. DOI: 10.15406/ghoa.2016.05.00141

Download PDF

Abstract

Inspite of the oppressive research, hepatitis C virus (HCV) pathogenesis is still evolving. A new prospectives assembling pothgenic theories of HCV and its related liver fibrosis, would be an additional advocate. Reccurrent HCV induced iflamation, hepatic stellate cells activation, along with hepatic progenirator cells proliferation and apoptosis; all together might be portraying the most probable HCV pathogenic pathways.

Mini review

Chronic infection with hepatitis C virus (HCV) affected more than 170 million people worldwide with up to 90% of these will progress to chronic liver disease.1 In the era of direct antiviral drugs, the interest in HCV pathophysiological scripts is still roaming in every hepatologist's mind. Efforts are exerted to colease the scattered parts of this unresolved story.

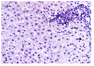
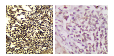
The interplay between inflammation, apoptosis, necrosis, and fibrosis is the fundamental knob. However, which of which the on button is the dilemma to be concealed. Cytokines are key mediators, playing an important role in the defense against viral infections, determining the pattern of host immune response and inhibiting viral replication.2 Th1 cytokines such as IL‒2 and interferon gamma are required for host anti viral immune responses, while Th2cytokines (IL‒4,IL‒10)can inhibit the development of these effect or mechanisms.3 The positive connection between interferon gama, interlukin 2 producing cells with the biochemical and necroinflamatory and fibrotic activities of chronic HCV infection had been documented (Figure 1).4 Proinflammatory cytokines (promoting inflammation) such as tumor necrosis factor alpha (TNF‒a) and interferon gamma (Inf G) were reported to be overexperessed in chronic HCV directly correlated to the necroinflamatory state and state of fibrosis. While anti‒inflammatory cytokines such as IL‒28 demonstrated an association with low HAI Ishak score of necro inflammation and low AST level (p=0.002) (Figure 2 & 3).5,6

Figure 1 TNF‒a expression was in favor of higher grade of portal tract inflammation com‒ pared to the group lacking TNF‒a expression.

Figure 2 IL‒28 immunoreactivity in inflammatory cells of portal tract (A) with adjacent steatosis (B) inchronic HCV patient (Immunohistochemical staining x 400 in A and x100 in B).

Figure 3 Inflammatory cells of portal tract inacase of chronic HCV showed strong IFN‒cexpressionin A and moderate expression in B (Immunohistochemical staining x 200 in A and x 400inB).

Unveiling the other part of the story:HCV related Liver fibrosis is the next step. It is often initiated by core protein activation of the major sensing cells; hepatic stellate cells (HSC). On activation a series of events take place; starting from secreting extracellular matrix compounds alpha‒smooth muscle actin expression (alpha SMA) matrix metalproteases (MMP), secreting several growth factors, and ending by enhanced neoangiogenesis which is a common pathological feature of chronic HCV infection.7 The intense expression of the regenerative marker hepatocyte growth factor activator (HGFA) in liver tissues of chronic HCV patients which was documented to be in line with the expression of transforming growth factor beta1 (TGFβ1) and alpha smooth muscle actin (α‒SMA), known as fibrogenic markers. A parallel expression of HGFA with the potent immune cytokine TGFβ1 with the grade of activity in CHC patients make them as activity markers. The coparallel expression of HGFA, TGFβ1 and α‒SMA with advanced stage of fibrosis and cirrhosis in HCV related chronic hepatitis might illustrate a pleiotropic complex relationship between regeneration and fibrosis.8

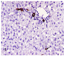
In chronic HCV, activation of hepatic progenitor cells (HPCs) as a potential reservoir of cholangiocyte/hepatocyte differentiation.9 has been coupled to the severity of inflammation, stage of fibrosis along with the concomitant clinical status of liver disease (Figure 4).10

Figure 4 Ck7 as a marker of HPC in chronic HCV.

Apoptosis as an important form of host immune response against viral infections, its role as a pathogenic integrator in chronic HCV infection is validated in most studies.11 Eminently enhanced hepatocyte apoptosis, was found to be interconnected to the inflammation severity, stages of fibrosis, transaminases levels and viral load in CHC patients.12 Such studies had demonstrated the Fas antigen and the Fas ligand bonding on T cells.13 However the antiapoptotic marker bcl2 protein as an antiapoptotic mediators participating substantially in the apoptotic process; have not been systematically and thoroughly ascribed in liver tissue of chronic CHC (Figure 5).14 A complementary harmonized converse connection between activation of hepatic progenitor cells and antiapoptotic mediators is suggested for an evolving research in the horizon with rewarding results. It might be potentially incriminated in chronic HCV pathogenesis. Suppositions might open new horizons in HCV understanding. New roles for antiapoptotic factor along with HPC antagonists might be advocated, paving the way for more future studies.

Figure 5 bcl2 as an antiapopt.

References

  1. Zhang L, Gwinn M, Hu DJ. Viral hepatitis C gets personal – the value of human genomics to public health. Public Health Genomics. 2013;16(4):192‒197.
  2. Mogensen TH. Pathogen recognition and inflammatory signal ingininnate immune defenses. Clin Micro‒ boil Rev. 2009;22(2):240‒273.
  3. Cacciarelli TV, Martinez OM, Gish RG, et al. Immunoregulatorycyto‒kinesin chronic hepatitis virus infection:pre‒and post‒treatment with interferonalfa. Hepatology. 1996;24(1):6‒9.
  4. Ehsan N, Portmann B, Hussain M, et al. Immunohistochemical analysis of tissue cytokines in the liver of patients with chronic hepatitis C virus infection. J Egypt Soc Path. 2006;26(2):137‒142.
  5. Ehsan N, Hendy O, El‒Hadad O, et al. Angiotensin converting enzyme‒2 and transforming growth factor beta‒1 are over‒expressed during fibrogenesis in liver tissue of patients with chronic hepatitis C virus infection. The Afro‒Arab Liver J. 2007;6(1):28‒33.
  6. Abdou AG, Asaad NY, Ehsan N, et al. The role of IL‒28, IFN‒c, and TNF‒a in predicting response to pegylated interferon/ribavirin in chronic HCV patients. APMIS. 2014;123(1):18‒27.
  7. Martín‒Vílchez S, Rodríguez‒Muñoz Y, López‒Rodríguez R, et al. Inhibition of Tyrosine Kinase Receptor Tie2 Reverts HCV‒Induced Hepatic Stellate Cell Activation. PLoS One. 2014;9(10):e106958.
  8. Maher d, Kandil M, Ehsan N. Hepatocyte growth factor activator expression in chronic hepatitis C virusinfection:an immunohistochemical study. Thesis submitted for fulfillment of Msc degree in pathology in Menoufia university, Egypt, 2009.
  9. Shin S, Kaestner KH. The origin, biology, and therapeutic potential of facultative adult hepatic progenitor cells. Curr Top Dev Biol. 2014;107:269‒292.
  10. El‒Araby HA, Ehsan NA, Konsowa HA, et al. Hepatic progenitor cells in children with chronic hepatitis C:correlation with histopathology, viremia, and treatment response. Euoropean J of Gastroenterology and Hepatology. 2015;27(5):561‒569.
  11. Ozaras R, Tahan V, Ozbay G, et al. Hepatic apoptotic markers are not predictors for the virological response to interferon‒based therapy in chronic hepatitis C patients. Eur J Gastroenterol Hepatol. 2015;27(9):1057‒1062.
  12. Jayashree Bagchi Chakraborty, Fiona Oakley, Meagan J Walsh. Mechanisms and Biomarkers of Apoptosis in Liver Disease and Fibrosis. International Journal of Hepatology. 2012;p. 10.
  13. Brost S, Zimmermann A, Koschny R, et al. Hepatocyte expression of TRAIL pathway regulators correlates with histopathological and clinical parameters in chronic HCV infection. Pathol Res Pract. 2014;210(2):83‒91.
  14. Li Y, Zhang Q, Liu Y, et al. Hepatitis C virus activates Bcl‒2 and MMP‒2 expression through multiple cellular signaling pathways. J Virol. 2012;86(23):12531e43.
Creative Commons Attribution License

©2016 Ehsan, et al. This is an open access article distributed under the terms of the, which permits unrestricted use, distribution, and build upon your work non-commercially.