Submit manuscript...
eISSN: 2373-6372

Gastroenterology & Hepatology: Open Access

Research Article Volume 7 Issue 1

Prevalence and Mortality of Gastric and Duodenal Ulcers in Rheumatoid Arthritis - A Retrospective Clinicopathologic Study of 234 Autopsy Patients

Miklós Bély,1 Ágnes Apáthy2

1Department of Pathology, Hospital of the Order of the Brothers of Saint John of God in Budapest, Hungary
2Department of Rheumatology, St. Margaret Clinic Budapest, Hungary

Correspondence: Miklós Bély, Department of Pathology, Hospital of the Order of the Brothers of Saint John of God in Budapest, Hungary

Received: April 15, 2017 | Published: June 16, 2017

Citation: Bély M, Apáthy A (2017) Prevalence and Mortality of Gastric and Duodenal Ulcers in Rheumatoid Arthritis - A Retrospective Clinicopathologic Study of 234 Autopsy Patients. Gastroenterol Hepatol Open Access 7(1): 00221 DOI: 10.15406/ghoa.2017.07.00221

Download PDF

Summary

Aim: The aim of this study was to determine the prevalence and mortality of gastric (gU) and duodenal (dU) peptic ulcers in rheumatoid arthritis (RA). Also, to evaluate the possible relationship between gU and dU and autoimmune vasculitis (A-SV), AA amyloidosis (AAa) or lethal septic infection (SI) with or without purulent arthritis (PA).

Patients and methods: A randomized autopsy population of 234 in-patients with RA was studied. RA was confirmed clinically according to the criteria of the ACR. The presence of gU and dU, A-SV, AAa, SI, or PA was determined at autopsy and supported by histological examination. The relationships between prevalence and mortality of gU or dU and A-SV, AAa, SI or PA were analyzed by Pearson's chi-squared (χ2) test.

Results and conclusions: gU was found in 11 (4.70%), dU in 9 (3.85%), A-SV in 47 (20.08%), AAa in 48 (20.51%), and SI in 31 (13.24%), accompanied with PA in 15 (6.41%) of 234 patients. The negative correlation between A-SV, AAa, or PA and prevalence of gU or dU suggests that-in our autopsy population-A-SV, AAa or PA had no pathogenic role in development of gastric or duodenal ulcers. A-SV, AAa or PA not influenced the mortality of gU or dU. Gastric or duodenal ulcers can be regarded as associated diseases of RA and not as complications of it. The significant connection between SI and prevalence and mortality of gU or dU indicates a causal relationship between them: the development of gU or dUs increase the risk of lethal SI.

Keywords: rheumatoid arthritis, gastric and duodenal peptic ulcers, autoimmune vasculitis, AA amyloidosis, lethal septic infection; purulent arthritis

Introduction

Gastric and duodenal peptic ulcers (gU or dU) are of different etiologies and are common in rheumatoid arthritis (RA). The prevalence of gU or dU is higher in RA than in the general population.1 Numerous early and recent studies discuss the relationship between gU or dU and non-steroidal anti-inflammatory drugs,2-5 corticosteroids,4-8 anticoagulants,6 with or without other contributing common factors (sex, age, smoking, alcohol consumption, etc.).The therapy induced peptic ulcers (with complications like perforations, peritonitis, septic infections or bleeding) play an important role in the mortality of RA.9,10 Gastrointestinal involvement by complications of RA, such as systemic vasculitis or amyloidosis - with or without peptic ulcers-is also well known.9-11 The aim of this study was to determine the prevalence and mortality of gU and dU in RA. Also, to identify the possible role of systemic autoimmune vasculitis (A-SV) or AA amyloidosis (AAa) in the prevalence and mortality of gU and dU, furthermore to evaluate the possible relationship between gU and dU and lethal septic infection (SI) with or without purulent arthritis (PA).

Patients and methods

At the National Institute of Rheumatology 11558 patients died between 1969 and 1998; among them 234 with RA (females 170, average age: 66.31 years, range 88-16, onset of RA: 50.46, average disease duration: 12.96 years; males 64, average age: 66.08 years, range 88-19, onset of RA: 52.55, average disease duration: 12.96 years at death), and all of them were autopsied.

RA was confirmed clinically according to the criteria of the American College of Rheumatology (ACR).12 The basic disease, its complication(s), and the lethal outcome caused by gU and dU were determined and analyzed retrospectively, reviewing the clinical and pathological reports. The presence of gU or dU and A-SV, AAa furthermore SI (with or without PA) was determined at autopsy and confirmed by a detailed review of extensive histological material. From each patient 50-100 tissue blocks of 12 organs (heart, lung, liver, spleen, kidneys, pancreas, gastrointestinal tract, adrenal glands, skeletal muscle, peripheral nerve, skin and brain) were studied microscopically.13 Amyloid A deposits were diagnosed histologically according to Romhányi14 by a modified (more sensitive) Congo red staining,15 and were confirmed histochemically.16 The relationships between prevalence and mortality of gU or dU and A-SV, AAa furthermore SI (with or without PA) were analyzed by Pearson's chi-squared (χ2) test.17

Results

gU was found in 11 (4.70%), and dU in 9 (3.85%) of 234 RA patients (Figure 1.1). Seven gU of 11, and 6 dU of 9 led to death in 13 (65.0 %) of 20 patients (Figure 1.2). In 4 patients (in 2 with gU and in 2 with dU) the direct cause of death was massive internal bleeding, and in 3 (in 2 with gU and in 1 with dU) it was perforation of an ulcer accompanied by peritonitis. Perforated gU (n=3 of 11) and dU (n=3 of 9) existed in further 6 patients with peritonitis and generalized lethal SI (the outcome of 3 gU and 3 dU in all of these 6 cases were lethal). In 7 (35.0 %) of 20 patients 4 gU and 3 dU existed without lethal complications (Figure 1.2). gU and dU (with or without lethal outcome) were recognized clinically in 14 (in 8 with gU and in 6 with dU; 70.0 %) of 20 cases, and missed in 6 (in 3 with gU and in 3 with dU; 30.0 %) of 20 (Figure 1.3). A-SV (Figure 2a-d) was observed in in 47 (20.08%), AAa (Figure 3 & 4) in 48 (20.51%), and SI in 31 (13.24%), accompanied with PA in 15 (6.41%) of 234 patients.

Figure 1.1 Prevalence of gastric n=11 (55.0%) and duodenal n=9 (45.0%) peptic ulcers in 234 RA patients.

Figure 1.2 Prevalence: n=20 (8.55%), and mortality n=13 (5.56%) of gastric or duodenal peptic ulcers-by bleeding, peritonitis or SI- in 234 RA patients.

Figure 1.3 Clinically recognized n=14 (70.0%) or missed n=6 (30.0%) of gastric or duodenal peptic ulcers in 234 RA patients.

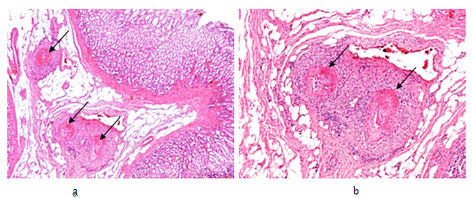
Figure 2 Rheumatoid arthritis, gastrointestinal tract (stomach), systemic vasculitis of autoimmune origin (A-SV).
Small arteries, non-specific vasculitis with sectorial fibrinoid necrosis (arrows) in subacute-subchronic stage of inflammation.
(a) HE, x 20, (b) same as (a) x40, (c) and (d) same as (a) x100

Figure 3 Rheumatoid arthritis, gastrointestinal tract (stomach), systemic secondary AA amyloidosis (AAa).
Amyloid A deposits in the wall of arterioles, small arteries and within interstitial reticulin and collagen fibers (arrows).
(a) PAS, x 50, (b) same as (a) x125

Figure 4 Rheumatoid arthritis, gastrointestinal tract (stomach), systemic secondary AA amyloidosis (AAa).
Same as Figure 3ab, Congo red staining, without alcoholic differentiation, covered with gum arabic. Viewed under polarized light (a) x50 (b) same as (a) x125

Sex, average age (range) and disease duration, and onset of RA in patients with or without gU or dU, and with or without A-SV, AAa, SI, or PA are summarized in Table 1. The basic disease, complication(s) and associated diseases of 20 RA patients with gU or dU are summarized in Table 2. gU or dU were associated with A-SV in 3, with AAa in 3, with lethal SI in 6 of 20 patients. gU or dU with lethal outcome were associated with systemic A-SV in 3, with AAa in 3, with lethal SI in 6 of 13 patients. In this autopsy population gU or dU was never associated with PA.

Sex

Number of Autopsies

Average age in years at Death

Range (in Years)

Age at Onset of Disease

Disease Duration (in Years)

RA patients

234

66.25

88 - 16

51.02

14.76

Female

170

66.31

88 - 16

50.46

15.42

Male

64

66.08

88 - 19

52.55

12.96

With gU or dU

20

65.1

88 - 45

51.15

13.31

Female

14

66

88 - 45

51.44

12.33

Male

6

63

70 - 48

50.5

15.5

Without gU or dU

214

66.36

88 - 16

51.01

14.87

Female

156

66.34

88 - 16

50.39

15.65

Male

58

66.4

88 - 19

52.73

12.73

A-SV

47

68.09

88- 32

55.89

12.8

Female

29

68.83

88- 32

55.69

14.23

Male

18

66.89

83- 53

56.17

10.72

Without A-SV

187

65.78

88 - 16

49.46

15.38

Female

141

65.79

88 - 16

48.92

15.8

Male

46

65.76

88 - 19

51.25

14

With AAa

48

63.75

88 - 19

46.66

17.18

Female

38

65.13

88 - 32

46.54

17.91

Male

10

58.5

88 - 19

47.11

14.33

Without AAa

186

66.9

88 - 16

52.41

13.99

Female

132

66.66

88 - 16

51.65

14.56

Male

54

67.5

87 - 20

54.22

12.63

With SI

31

62.45

83 - 41

49.59

13

Female

22

61.5

83- 41

49.53

12.32

Male

9

64.78

71 - 52

49.75

14.63

SI with PA

15

59.47

71 - 46

44.08

16.38

Female

10

58.2

68 - 46

42.88

16.63

Male

5

62

57 - 20

46

16

SI without PA

16

65.25

83 - 41

54.71

9.86

Female

12

64.25

83 - 41

54.36

9.18

Male

4

68,3

70 - 66

56

12.33

Without SI

203

66,1

88 - 16

51,1

14,9

Female

148

66,1

88 - 16

49,9

15,9

Male

55

66,3

87 - 19

54,1

12,5

Without Complications

121

68.01

88 - 16

51.77

15.1

Female

92

67.59

88 - 16

50.44

15.56

Male

29

70,3

87 - 20

56.28

13.56

Table 1 Sex, average age (range), onset of disease and disease duration (in years) of RA patients with or without gU or dU and SV, AAa, SI or PA

Basic Disease

Complication (1-2)

Complication (3)

Cause of Death

Associated Disease(s)

Cl+ Cl-

Protocol n/Year

1

RA

Gastric ulcer1-Perforation

Gastrectomy

Bronchopneumonia

Ath-DM

Cl*

278/71

2

RA

Gastric ulcer2-Colitis

Perforation

Peritonitis- Lethal SI1

Ath-DM

Cl-

228/72

3

RA

Felty Syndrome-Splenectomy

Duodenal ulcer1

Massive internal bleeding1

Liver necrosis (red)

Cl*

320/72

4

Ath

Thrombosis of femoral vein

Gastric ulcer3

Pulmonary embolism

RA-DM5

Cl*

51/74

5

RA

Gastric ulcer4-Bleeding

Gastrectomie

Circulatory failure

Ath

Cl*

334/75

6

RA

Nephritis

Gastritis and Duodenal ulc2

Uraemia- Bleeding2

Cl*

197/76

7

Ath

Myocardial fibrosis

Duodenal ulcer3

Purulent bronchitis and bronchiolitis

RA-TbF-Meningeoma

Cl-

318/76

8

Ath

Myocardial fibrosis

Gastric ulcer5

Circulatory failure

RA

Cl*

386/76

9

RA

AA1

Gastric ulcer6-Perforation

Peritonitis

Lethal SI2

Cl-

162/78

10

RA

Duodenal ulcer4-Colitis

Lethal SI3

Cl-

243/78

11

RA

Erosive gastritis7

Massive internal bleeding3

Ath

Cl*

327/78

12

RA

Duodenal ulcer5

Circulatory failure

DM-Hepatic cirrhosis

Cl*

385/78

13

RA

AA2

Duodenal ulcer6-Perforation

Peritonitis

Cl*

76/79

14

RA

Ulcerative gastritis8-Colitis

Diverticulitis of Colon-Perforation

Lethal SI4

Cl-

55/82

15

RA

SV1

Duodenal ulcer7-Perforation

Peritonitis

Lethal SI5

Ath

Cl-

318/89

16

RA

Gastric ulcer9

Perforation-

Peritonitis (local) - Circulatory failure

JCA

Cl*

25/90

RA

Gastric ulcer10

Perforation

Peritonitis

Cl*

205/91

18

RA

Gastric ulcer11- Perforation

Atlantoaxial subluxation

Peritonitis

HT

Cl*

208/93

19

RA

SV2

Duodenal ulcer8-Perforation

Lethal SI5

TbFc

Cl*

375/95

20

RA

SV3

AA2

Duodenal ulcer9

Massive internal bleeding4

Cl*

33/96

Table 2 Prevalence and mortality of gastric or duodenal peptic ulcers in 20 of 234 RA patients

The relationship between gU or dU and coexistent SV, AAa, furthermore lethal SI (with or without PA) in 234 RA patients is summarized in Table 3. There was no significant correlation between A-SV, AAa, PA and prevalence or mortality of gU or dU. There was a significant correlation between SI and prevalence and mortality of gU or dU. A-SV coexisted with AAa in 9 of 47 patients. The relationship between A-SV and AAa was not significant (x²=0.0032, p<0.95); the A-SV did not influence the prevalence of AAa, and AAa did lead to A-SV in our autopsy population.

Prevalence of Complications in 234 RA pts.

Prevalence of gU or dU
n=20

Mortality of gU or dU
n=13

A-SV n=47

χ²=0.09107*, p<0.76

χ²=0.0062, p<0.93

AAa n=48

χ²=0.1217*, p<0.72

χ²=0.0138, p<0.91

Lethal septic infection n=31

χ²=5.3400, p<0.02

χ²=12.9685, p<0.0003

Purulent arthritis n=15

χ²=0.5573*, p<0.45

χ²=0.1508*, p<0.69

Table 3 Relationship between prevalence and mortality of gU, or dU and coexistent SV, AAa, furthermore SI (with or without PA) in 234 RA patients (p<0.05)

Discussion

Numerous publications discuss the prevalence of peptic ulcers (Table 4), vasculitis (Table 5), amyloidosis (Table 6) or lethal septic infection (Table 7) in RA with or without its role in mortality.17-55 Unfortunately these studies do not specify the relationship between gU or dU and A-SV, AAa or SI. In most of these early studies the prevalence or mortality of gU or dU seems to be underestimated, presumably due to the limited microscopic examination of the gastrointestinal tract.

Authors

Reference Year of Publication

Autopsy
n=

Prevalence of gU or dU
N - %

Mortality of gU or dU
N - %

Baggenstoss and Rosenberg

1943 [17]

30

ND

2* - 6.66%

Rosenberg and Baggenstoss

1943 [18]

30

ND

2* - 6.66%

Young and Schwedel

1944 [19]

33

0 - 0%

0 - 0%

Teilum and Lindahl

1954 [20]

28

0 - 0%

0 - 0%

Gedda

1955 [21]

45

ND

0 - 0%

Sinclair and Cruickshank

1956 [22]

16

4** - 25.0%

0 - 0%

Leboowitz

1963 [23]

62

1 - 1.61%

1 - 1.61%

Ozdemir et al.

1971 [24]

47

16 - 34.04%

ND

Püschel

1973 [25]

143

28 - 19.58%

13 - 9.09%

Eulderink

1976 [26]

111

ND

0 - 0%

Suzuki et al.

1994 [27]

81

ND

2 - 2.47%

Bély and Apáthy

2007 [28]

161

14 - 8.69%

9 - 5.59%

Bély and Apáthy

2017 [29]

234

20 - 8.54%

13 - 5.55%

Table 4  Prevalence and mortality of peptic ulcers in autopsy material of rheumatoid arthritis
Remarks to Table 4
ND No Data
*mentioned as gastrointestinal diseases
**caused by marked intestinal amyloidosis
Footnote to Table 4
* Negative value of association’s coefficient; Significant value is in bold

Authors

Year of Publication, References

Autopsy
n=

Prevalence of Vasculitis
n - %

Mortality of Vasculitis
n - %

Cruickshank

1954 [30]

72

18 - 25%

ND

Sinclair and Cruickshank

1956 [22]

16

9 - 56.3%

ND

Cruickshank*

1958 [31]

100

20* - 20%

ND

Lebowitz

1963 [23]

62

6 - 10%

ND

Sokoloff

1964 [32]

19

2 - 10.5%

ND

Karten**

1969 [33]

102

6** - 6%

ND

Gardner

1972 [34]

142

7 - 4.9%

ND

Davis and Engleman

1974 [35]

62

6 - 10%

ND

Eulderink

1976 [26]

111

ND

7 - 6.3%

Albada-Kuipers et al.

1986 [36]

173

17 - 10%

ND

Boers et al.

1987 [37]

132

18 - 13.6%

ND

Suzuki et al.

1994 [27]

81

25 - 30.8%

ND

Bély and Apáthy***

1993 [38]

161

36 - 22.4%

19 - 11.8%

Bély and Apáthy***

2006 [39]

234

51 - 21.8

23 - 9.8%

Table 5 Prevalence and mortality of systemic vasculitis (SV) at autopsy of RA patients (no mention of the origin of SV)
Remarks to Table 5
ND          No Data
*Coronaritis
**102 patients with RA-partially autopsied (Karten)
***The studies discuss 36 SV-33 of autoimmune origin and 3 of septic origin.
****The studies discuss 51 SV- 47 of autoimmune origin and 4 of septic origin; the latter 4 SV of septic origin have been excluded in the present study.

Authors

Year of Publication References

Autopsy
n=

Prevalence of Amyloidosis
n - %

Mortality of Amyloidosis
n - %

Bayles

1943 [40]

23

ND*

3 - 13.0%

Baggenstoss and Rosenberg

1943 [17]

30

2 - 6.6%

1 - 3.3%

Young and Schwedel

1944 [19]

33

5 - 15.2%

0 - 0%

Unger et al.

1948 [41]

58

4 - 6.9%

ND

Teilum and Lindahl

1954 [20]

28

17 - 60.7%

7 - 25.0%

Gedda

1955 [21]

45

11 - 24.4%

9 - 20.0%

Sinclair and Cruickshank

1956 [22]

16

4 - 25.0%

0 - 0%

Missen and Tailor

1956 [42]

47

8 - 17.0%

4 - 8.5%

Leboowitz

1963 [23]

62

6 - 10.0%

ND

Sokoloff

1964 [32]

19

0 - 0%

0 - 0%

Cohen

1968 [43]

42

11 - 26%

ND

Karten

1969 [33]

95

1 - 1.05%

ND

Gritsman

1969 [44]

15

6 - 40.0%

ND

Ozdemir et al.

1971 [24]

47

1 - 2.1%

ND

Gardner

1972 [34]

142

17 - 11.97%

ND

Püschel

1973 [25]

143

15 - 10.5%

ND

Vroninks et al.

1973 [45]

62

3 - 4.84%

0 62- 0%

Hajzok et al.

1976 [46]

16

7 - 43.7%

ND

Eulderink

1976 [26]

111

ND

6 111- 5.4%

Rainer et al.

1978 [47]

79

ND

4 79- 5.0%

Boers et al.

1987 [48]

132

14 - 10.6%

ND

Bély

1991 [49]

161

34 - 21.1%

17 - 11%

Suzuki et al.

1994 [27]

81

17 - 21.0%

6 - 7.4%

Bély and Apáthy

2006 [39]

234

48 - 20.5%

20 - 8.5%%

Table 6 Prevalence and mortality of AA amyloidosis in autopsy material of rheumatoid arthritis (identified amyloid deposits by different staining methods, such as: Toluidine blue, Crystal violet, Syrius red, Congo-red staining according to Romhányi, Bennhold’s, Puchtler’s, Bély’s Congo red method)
Remarks to Table 6
ND No Data

Authors

Reference, Year of Publication

Autopsy
n=

Clinically recognized SI
N - %

Mortality of sepsis
N - %

Bayles*

1943 [40]

23

ND

2 - 8.7%

4 - 17.4%

Young and Schwedel

1944 [19]

33

ND

1 - 3.03%

Bywaters*

1950 [50]

27

ND

1 - 3.7%

Gedda

1955 [21]

45

ND

8 - 18%

Lebowitz

1963 [23]

62

ND

2 - 3.2%

Bonfiglio and Atwater

1969 [51]

47

ND

4 - 8.5%

Gardner

1972 [34]

142

ND

8 - 5.6%

With septic arthritis

5- 3.5%

Without septic arthritis

3 - 2.1%

Russel and Ansell

1972 [52]

17

ND

2 - 11.7%

Püschel

1972 [25]

143

9 - 6%

8 - 5.6%

Vroninks and mtsi.

1973 [45]

62

2 - 3.2%

3 - 4.8%

Eulderink**

1976 [26]

111

ND

3 - 2.7%

Rainer et al.

1978 [47]

79

ND

21 - 27%

Reilly et al.

1990 [53]

63

ND

3 - 4.8%

Bély et al.**

1992 [54]

100

ND

10 - 10%

Toyoshima et al.****

1993 [55]

1246

ND

52 - 4.2%

Suzuki et al.

1994 [27]

81

ND

5 - 6.2%

Bély***

present work

161

11 - 6.83%

24 - 14.9%

With prulent arthritis

6 - 3.7

12 - 7.45%

Without prulent arthritis

5 - 3.1%

12 - 7.45%

Table 7 Prevalence of septic infection in autopsy material of rheumatoid arthritis
Remarks to Table 7
ND No Data
*Endocarditic bacterial infection (1), or lethal purulent peritonitis (3) leading to death
**Lethal septic infection accompanied with purulent arthritis only
***All lethal septic infections with or without purulent arthritis
****Based on national mortality statistics of Japan without detailed histological analysis of organ involvement.

It is difficult to estimate the true prevalence of A-SV, AAa or SI. Most studies do not specify the type of vasculitis (autoimmune, septic-bacterial, viral, fungal-hypertonic, endocrine disease associated, etc.). Amyloidosis in most studies is diagnosed with different methods of diverse specificities and sensitivities (with or without identification of the types of amyloid deposits).

According to our best knowledge a detailed analysis of A-SV or AAa and its role in the prevalence and mortality of gU or dU has not been available in the literature. The negative correlation between A-SV (c²=0.09107, p<0.76), AAa (c²=0.1217, p<0.72) or PA (c²=0.5573, p<0.45), and prevalence of gU or dU suggests that-in our autopsy population - A-SV, AAa or PA had no pathogenic role in the development of gastric or duodenal ulcers.

A-SV (x²=0.0062, p<0.93), AAa a (x²=0.0138, p<0.91) or PA (c²=0.1508, p<0.69) did not influence the mortality of gU or dU. Gastric or duodenal ulcers may be regarded as associated diseases of RA and not as complications. The significant correlation between gU or dU and lethal SI indicates a causal relationship: the development of gU or dUs increases the risk of lethal SI; in case of a perforated ulcer there is a direct relationship. The positive and significant correlation between SI and PA-as it was found in our previous study13 -indicates also a similar causal relationship. At the same time the negative association’s coefficient (-1) and lack of a significant correlation between gU or dU and PA suggests that these are individual phenomena which may exist simultaneously in RA leading to lethal SI independently from each other.

Conclusion

Vasculitis or amyloidosis may cause gastrointestinal complaints, diarrhea, erosions, and hemorrhages, even peptic ulcers with bleeding, perforation, peritonitis or lethal sepsis. Detailed histological study of a large autopsy population of RA supports and statistically confirms that gU or dU are independent phenomena in RA and their prevalence and mortality is not influenced by the leading complications of RA, e.g by A-SV or AAa. (Peptic ulcers - in agreement with the literature-are probably related to the therapy of RA). gU or dU significantly increases the risk of lethal septic infections, but are independent of purulent arthritis (based on our previous study PA should be regarded a specific source of SI13).

Acknowledgments

None.

Conflicts of interest

Authors declare that there is no conflict of interest.

References

  1. Farah D, Sturrock RD, Russell RI. Peptic ulcer in rheumatoid arthritis. Ann Rheum Dis. 1988;47(6):478‒480.
  2. Roth SH. Peptic ulcer in rheumatoid arthritis. Ann Rheum Dis. 1989;48(5):438‒439.
  3. Malone DE, McCormick DA, Daly L, et al. Peptic ulcer in rheumatoid arthritis–Intrinsic or related drug therapy? Rheumatology. 1986;25(4):342‒344.
  4. Griffin MR, Smalley WE. Drugs and ulcers: clues about mucosal protection from epidemiologic studies. J Clin Gastroenterol. 1995;21(Suppl 1):113‒119.
  5. Kelly C, Hamilton J. Editorial. What kills patients with rheumatoid arthritis? Rheumatology. 2007;46(2):183‒184.
  6. Pecora PG, Kaplan BP. Corticosteroids and ulcers: is there an association? Ann Pharmacother. 1996;30(7-8):870‒972.
  7. Cooke AR. Corticosteroids and peptic ulcer: is there a relationship? Am J Dig Dis. 1967;12(3):323‒329.
  8. Menguy R. Do corticosteroids cause peptic ulcer? Another point of view. Am J Dig Dis. 1967;12(7):749‒751.
  9. Mohr W. Chronische Gelenkentzündungen, Pathomorphologie In: Mohr (Ed.), Gelenkpathologie, historische Grundlagen, Ursachen und Entwicklungen von Gelenkleiden und ihre Pathomorphologie. 1st ed. Springer-Verlag: Berlin, Heidelberg, Germany; 2000. 334‒335 p.
  10. Fassbender HG. Rheumatoid arthritis in Pathology and pathobiology of rheumatic diseases. 2nd ed. Springer-Verlag: Berlin, Heidelberg, New York, Germany; 2002. 155‒158 p.
  11. Gardner DL. Rheumatoid arthritis: cell and tissue pathology, Alimentary system. In: Auckland, Gardner DL (Eds.), Pathological basis of the connective tissue diseases. 1st ed. Edward Arnold: London, UK; 1992. 501‒502 p.
  12. Arnett FC, Edworthy SM, Bloch DA, et al. The American Rheumatism Association 1987 revised criteria for the classification of rheumatoid arthritis. Arthritis Rheum. 1988;31:315‒324.
  13. Bély M, Apáthy Á. Clinical pathology of rheumatoid arthritis: Cause of death, lethal complications and associated diseases in rheumatoid arthritis. 1st ed. In: Bély M (Ed.), Akadémiai Kiadó: Budapest, Hungary; 2012. 1‒440 p.
  14. Romhányi G. Selective differentiation between amyloid and connective tissue structures based on the collagen specific topo-optical staining reaction with Congo red. Virchows Arch A Pathol Pathol Anat. 1971;354(3):209‒222.
  15. Bély M, Makovitzky J. Sensitivity and Specificity of Congo red Staining According to Romhányi - Comparison with Puchtler's or Bennhold's Methods. Acta Histochem. 2006;108(3):175‒180.
  16. Bély M. Histochemical differential diagnosis and polarization optical analysis of amyloid and amyloidosis. Scientific World Journal. 2006;6:154‒168.
  17. Lentner C. Statistical methods. In: Geigy scientific tables 8th revised and enlarged ed. Compiled by: Diem K, Seldrup, Ciba-Geigy Limited: Basle, Switzerland. 1982;2:227.
  18. Baggenstoss AH, Rosenberg EF. Visceral lesions associated with chronic infectious (rheumatoid) arthritis. Arch Path. 1943;35:503‒516.
  19. Rosenberg EF, Baggenstoss AH. The causes of death in thirty cases of rheumatoid arthritis. Ann Intern Med. 1944;20(1):903‒919.
  20. Young D, Schwedel JB. The heart in rheumatoid arthritis. Am Heart J. 1994;28:1‒23.
  21. Teilum G, Lindahl A. Frequency and significance of amyloid changes in rheumatoid arthritis. Acta Med Scand. 1954;149:449‒455.
  22. Gedda PO. On amyloidosis and other causes of death in rheumatoid arthritis. Acta Med Scand. 1955;60:443‒452.
  23. Sinclair RJG, Cruickshank B. A clinical and pathological study of sixteen cases of rheumatoid arthritis with extensive visceral involvement (Rheumatoid disease). Q J Med. 1956;25(99):313‒332.
  24. Lebowitz WB. The heart in rheumatoid arthritis (Rheumatoid disease).A clinical and pathological study of sixty-two cases. Ann Intern Med. 1963;58(6):102‒123.
  25. Ozdemir AI, Wright JR, Calkins E. Influence of rheumatoid arthritis on amyloidosis of aging. Comparison of 47 rheumatoid patients with 47 controls mached for age and sex. N Eng J Med. 1971;285(10):534‒538.
  26. Püschel W. Sektionsstatistische Untersuchungen bei der Rheumatoid-Arthritis. Dtsch Gesundheitwesen. 1972;27:754‒756.
  27. Eulderink F. Doodsoorzak: rheumatoide arthritis. Ned T Geneesk. 1976;120:357‒363.
  28. Suzuki A, Ohosone Y, Obana M, et al. Cause of death in 81 autopsied patients with rheumatoid arthritis. J Rheumatol. 1994;21(1):33‒36.
  29. Bély M, Apáthy Ágnes. Prevalence and mortality of gastric and duodenal ulcers in rheumatoid arthritis-A retrospective clinicopathologic study of 161 autopsy patients. Wien Klin Wochenschr. 2014;126(Suppl 5):207.
  30. Bély M, Apáthy Ágnes. Present study.
  31. Cruickshank B. The arteritis of rheumatoid arthritis. Ann Rheum Dis. 1954;13(2):136‒146.
  32. Cruickshank B. Heart lesions in rheumatoid disease. J Pathol Bacteriol. 1958;76(1):223‒240.
  33. Sokoloff L. Cardiac involvement in rheumatoid arthritis and allied disorders: current concepts. Mod Concepts of Cardiovas Dis. 1964;33:847‒850.
  34. Karten I. Arteritis, myocardial infarction, and rheumatoid arthritis. JAMA. 1969;210(9):1717‒1720.
  35. Gardner DL. Causes of death in the pathology of rheumatoid arthritis. Edward Arnold: London; 1972. 183‒197 p.
  36. Davis RF, Engleman EG. Incidence of myocardial infarction in patients with rheumatoid arthritis. Arthritis and Rheumatism. 1974;17(5):527‒533.
  37. Albada-Kuipers vGA, Bruijn JA, Westedt ML, et al. Coronary arteritis complicating rheumatoid arthritis. Annals of the Rheumatic Diseases. 1986;45:963‒965.
  38. Boers M, Croonen AM, Dijkmans BA, et al. Renal finding in rheumatoid arthritis: clinical aspect of 132 necropsies. Ann Rheum Dis. 1987;46(9):658‒663.
  39. Bély M. Krankheitsmodifizierende Faktoren bei chronischer Polyarthritis: Über Zusammenhänge zwischen generalisierter Vaskulitis, sekundärer Amyloidose, septischen Infektionen und Auftreten von miliaren epitheloidzelligen Granulomen. D.Sc. Thesis, Budapest; 1993.
  40. Bély M, Apáthy Á. Lethal complications and associated diseases of rheumatoid arthritis-a retrospective clinicopathologic study of 234 autopsy patients. Orv Hetil. 2006;147(23):1063‒1076.
  41. Bayles TB. Rheumatoid arthritis and rheumatic heart disease in autopsied cases. Am J Med Sci. 1943;205:42‒48.
  42. Unger PN, Zuckerbrod M, Beck GJ, et al. Amyloidosis in rheumatoid arthritis. Am J Med Sci. 1958;216:51‒56.
  43. Missen GAK, Taylor JD. Amyloidosis in rheumatoid arthritis. J Path Bact. 1956;71(1):179‒192.
  44. Cohen AS. Amyloidosis associated with rheumatoid arthritis. Med Clin N Am. 1968;52:643‒653.
  45. Gritsman NN. Morfologicheskaya kharakteristika porazheniya pri infektsionnom nespetsificheskom poliartrite. (Morphological characteristics of affection of the heart in infectious nonspecific polyarthritis (rheumatoid arthritis) Archiv patologii. 1969;31:49‒53.
  46. Vroninks Ph, Cats A, Eulderink F, et al. Hartafwijkingen bij rheumatide arthritis, in het bijzonder pericarditis. Ned T Geneesk. 1973;117:10‒17.
  47. Hajzok O, Tomik F, Hajzoková M. Amyloidosis in rheumatoid arthritis. A study of 48 histologically confirmed cases. Z Rheumatol. 1976;35(9-10):356‒362.
  48. Rainer F, Klein G, Schmid P, et al. Untersuchungen über Art und Häufigkeit der Todesursachen bei chronischer Polyarthritis. Z Rheumatol. 1978;37:335‒341.
  49. Boers M, Croonen AM, Dijkmans BA, et al. Renal finding in rheumatoid arthritis: clinical aspect of 132 necropsies. Ann Rheum Dis. 1987;46(9):658‒663.
  50. Bély M. Sekundäre Amyloidose bei chronischer Polyarthritis. Zentralbl allg Pathol pathol Anat. 1990;136:337‒357.
  51. Bywaters EGL. The relation between heart and joint disease including “rheumatoid heart disease” and chronic post-rheumatic arthritis (type Jaccoud). Br Heart J. 1950;12(2):101‒131.
  52. Bonfigloio T, Atwater EC. Heart disease in patients with seropositive rheumatoid arthritis. Arch Intern Med. 1969;124(6):714‒719.
  53. Russel AS, Ansell BM. Septic arthritis. Ann Rheum Dis. 1972;31:40‒44.
  54. Reilly PA, Cosh JA, Maddison PJ, et al. Mortality and survival in rheumatoid arthritis: a 25 year prospective study of 100 patients. Ann Rheum Dis. 1990;49(6):363‒369.
  55. Bély M, Apáthy Á, Zsíros I. Septische Komplikationen bei chronischer Polyarthritis. Rheuma. 1992;12:18‒26.
  56. Toyoshima H, Kusaba T, Yamaguchi M. Cause of death in autopsied RA patients. Ryumachi. 1993;33(3):209‒214.
Creative Commons Attribution License

©2017 Bély, et al. This is an open access article distributed under the terms of the, which permits unrestricted use, distribution, and build upon your work non-commercially.