Submit manuscript...
eISSN: 2373-6372

Gastroenterology & Hepatology: Open Access

Mini Review Volume 11 Issue 4

Prevalence of sarcopenia in patients with non alcoholic fatty liver disease

Priyanka Yerragorla,1 Pankaj Nepal,1 Divya Nekkalapudi,1 Laura Andreias,1 Shady Ahmed,1 Ritu Dabas,1 Ali Mousavi,2 Morcos Morcos,2 Hussein Matar,1 Jennifer Harley,3 Nora V Bergasa1

1Department of Medicine, New York Medical College, USA
2Department of Radiology, New York Medical College, USA
3Department of Gastroenterology, New York Medical College, USA

Correspondence: Nora V Bergasa, Department of Internal Medicine, Woodhull Medical and Mental Health Center, USA, Tel 212-4212-423-677123-6771

Received: July 12, 2020 | Published: August 14, 2020

Citation: Yerragorla P, Nepal P, Nekkalapudi D, et al. Prevalence of sarcopenia in patients with non alcoholic fatty liver disease. Gastroenterol Hepatol Open Access. 2020;11(4):153-155. DOI: 10.15406/ghoa.2020.11.00432

Download PDF

Abstract

Introduction: Nonalcoholic fatty liver disease (NAFLD) in the western world is associated with obesity and sarcopenia, thus, the aim of this study was to evaluate lumbar muscle mass in NAFLD patients and compare it to patients without NAFLD.

Methods: A retrospective review of computed tomography (CT) of patients with biopsy proven NAFLD from 01/2012-01/2017 was conducted. The control (C) group was comprised of patients who had undergone abdominal CT for diagnosis of renal stone. For all subjects, CT image at the third lumbar vertebrae was examined to measure area of psoas and lumbar paraspinal muscles. Data were analyzed by the use of Chi square test and Student’s T-test, as appropriate.

Results: 83 patients with NAFLD and 83 control subjects were identified of whom 44 and 41 were women, respectively, were included. Average body mass index was 30.3±5.6kg/m2 in NAFLD vs 30.6±6.6 in the control group. Patients with NAFLD had lower psoas and lumbar paraspinal muscle mass than those in the control group (p<0.001).

Conclusion: NAFLD is associated with sarcopenia in the population of East Harlem, New York City. Further studies regarding the genetic predisposition to sarcopenia in this population is warranted.

Keywords: nonalcoholic fatty liver disease, computed tomography, body mass index, non alcoholic steatohepatitis, C‐reactive protein

Abbreviations

NAFLD, nonalcoholic fatty liver disease; CT, computed tomography; NASH, nonalcoholic steatohepatitis; BMI, body mass index

Introduction

“Sarcopenia is the age-associated loss of skeletal muscle mass and function. Sarcopenia is a complex syndrome that is associated with muscle mass loss alone or in conjunction with increased fat mass. The causes of sarcopenia are multi-factorial and can include disuse, changing endocrine function, chronic diseases, inflammation, insulin resistance, and nutritional deficiencies”.1 There is emerging evidence to support an association between low muscle mass, i.e. sarcopenia, with or without fat loss, and non alcoholic fatty liver disease (NAFLD), a condition also associated with, metabolic syndrome.2 Furthermore, the presence of sarcopenia in patients with NAFLD is independently associated with advanced stages of liver disease including nonalcoholic steatohepatitis (NASH), fibrosis, and cirrhosis.1,3

The prevalence of sarcopenia in NAFLD or vice versa is unknown. Lumbar muscle mass is an indirect correlate of sarcopenia.5 Accordingly, the aim of this study was to explore the presence of sarcopenia in patients with NAFLD by the indirect measure of lumbar muscle mass.

Methods

This was a retrospective review of computed tomography (CT) of patients with biopsy proven NAFLD from 01/2012-01/2017, period chosen because of feasibility. The control group was comprised of patients who had undergone abdominal CT for the diagnosis of renal stones. Excluded from the control group were patients who had abnormal liver profile, liver disease, and any cancer. The radiologists calculated muscle mass and reviewed the CT scans of patients in the control group to exclude the radiographic suggestion of hepatic steatosis. For all subjects, CT image at third lumbar vertebrae was examined to measure area of psoas and lumbar paraspinal muscles (psoas, quadratus lumborum, and erector spinae muscles). Data were analyzed by the use of IBM SPSS Statistics 24. Categorical variables were analyzed using Chi square test and continuous variables using Student’s T-test. The study was approved by the Institutional Review Board.

Results

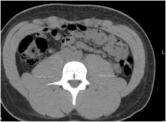
83 patients with NAFLD and 83 C were identified (Table 1). The composition of the groups was similar in terms of age, gender, and body mass index (BMI); the mean age of the patients in the NAFLD group was 48±12years, with 39 subjects (46.9%) being men versus the control group, in which the mean age of the subjects was 46±14years, and 42(50%) were men. The mean BMI was 30.3±5.6kg/m2 in the NAFLD group vs 30.6±6.6 in the control. Patients with NAFLD had a lower psoas and lumbar paraspinal muscle mass than those of patients in the control group (p<0.001) (Table 1). CT images of a patient with NAFLD and a control subject highlighting of lumbar paraspinal muscle areas are shown in Figures 1 and 2, respectively.

Figure 1 Image of a CT scan of a patient with non alcoholic fatty liver disease and sarcopenia, as suggested by decreased psoas muscle area (circle).

Figure 2 Image of a CT scan of a patient from the control group, i.e. without NAFLD. The circle indicates the psoas muscles.

Variable

Subjects (n=83)

Controls (n=83)

P-value

Gender (M)

39(46.9%)

42(50.6%)

0.7

Age (yrs)

48±12

46±14

0.32

BMI (Kg/m2)

30.3±5.6

30.6±6.6

<0.001*

R psoas muscle area (mm2)

616±294

858±267

<0.001*

L Psoas muscle area (mm2)

643±299

835±277

<0.001*

R paraspinal muscles area (mm2)

3260±931

4030±865

<0.001*

L paraspinal muscles area (mm2)

3318±925

3927±820

<0.001*

*=statistically significant, Continuous variables are expressed as means ± SD

Discussion

In this study, the group of patients with NAFLD had a significantly lower psoas and lumbar paraspinal muscle mass than the control subjects, suggesting an association between fatty liver and sarcopenia. NAFLD is a spectrum of histological liver findings that include hepatic steatosis, non alcoholic steatohepatitis (NASH), fibrosis, and cirrhosis.1,6 Lean NAFLD is hepatic steatosis in all its spectrum in individuals with normal BMI according to racial and ethnic groups;7 however, most patients with NAFLD have metabolic syndrome or some of its components including central obesity, type 2 diabetes, hypertension, and dyslipidemia.1

Impaired function and failure of pancreatic beta cells is the main core problem in type 2 diabetes, however, insulin resistance by skeletal muscle is considered to be the initiating factor and is apparent years prior to the clinical manifestation of diabetes by hyperglycemia.8 Accordingly, the link between muscle, and loss of muscle mass, i.e. sarcopenia, and NAFLD may be insulin resistance meaning that sarcopenia would be a contributing and even a causative factor of hepatic steatosis. The mechanisms by which insulin resistance contributes to NAFLD is speculative and includes de novo lipogenesis by the activation of sterol regulatory element binding protein, a decrease in adiponectin, and the release of proinflammatory cytokines from adipocytes.9 We favor the hypothesis that an inflammatory milieu propitiated by insulin resistance, in part originated from sarcopenia, may be the link between the latter and NAFLD. In this context, fatty liver and sarcopenia were reported to correlate with high sensitivity C‐reactive protein (hsCRP), a marker of inflammation.10 In addition, skeletal muscle mass index had a negative relationship with triglyceride and total body fat, the increase of which can be found in an important proportion of patients with NAFLD.11 In addition, obesity, a feature of the metabolic syndrome often found in association with NAFLD is also associated with an inflammatory environment, supporting inflammation as a contributing mechanism to the pathogenesis of NAFLD.12

Conclusion

In summary, sarcopenia is associated with NAFLD, and may be an etiologic factor of this prevalent hepatopathy in the population of East Harlem, New York City, which is comprised mainly of subjects of the Hispanic Ethnicity. Further exploration, perhaps by conducting genetic studies is warranted.

Acknowledgments

None.

Conflicts of interest

Author declares that there are no conflicts of interest.

Funding

None.

References

  1. Younossi ZM, Koenig AB, Abdelatif D, et al. Global epidemiology of nonalcoholic fatty liver disease–Meta–analytic assessment of prevalence, incidence, and outcomes. Hepatology. 2016;64(1):73–84.
  2. Petta S, Ciminnisi S, Di Marco V, et al. Sarcopenia is associated with severe liver fibrosis in patients with non–alcoholic fatty liver disease. Aliment Pharmacol Ther. 2017;45(4):510–518.
  3. Koo BK, Kim D, Joo SK, et al. Sarcopenia is an independent risk factor for non–alcoholic steatohepatitis and significant fibrosis. J Hepatol. 2017;66(1):123–131.
  4. Lee K, Shin Y, Huh J, et al. Recent Issues on Body Composition Imaging for Sarcopenia Evaluation. Korean J Radiol. 2019;20(2):205–217.
  5. Sheka AC, Adeyi O, Thompson J, et al. Nonalcoholic Steatohepatitis: A Review. JAMA. 2020;323(12):1175–1183.
  6. Younes R, Bugianesi E. NASH in Lean Individuals. Semin Liver Dis. 2019;39(1):86–95.
  7. Fielding RA, Vellas B, Evans WJ, et al. Sarcopenia: an undiagnosed condition in older adults. Current consensus definition: prevalence, etiology, and consequences. International working group on Sarcopenia. Journal of the American Medical Directors Association. 2011;12(4):249–256.
  8. Warram JH, Martin BC, Krolewski AS, et al. Slow glucose removal rate and hyperinsulinemia precede the development of type II diabetes in the offspring of diabetic parents. Annals of Internal Medicine. 1990;113(12):909–915.
  9. Khan RS, Bril F, Cusi K, et al. Modulation of Insulin Resistance in Nonalcoholic Fatty Liver Disease. Hepatology. 2019;70(2):711–724.
  10. Moutachakkir M, Lamrani Hanchi A, Baraou A, et al. Immunoanalytical characteristics of C–reactive protein and high sensitivity C–reactive protein. Ann Biol Clin (Paris). 2017;75(2):225–229.
  11. Hong HC, Hwang SY, Choi HY, et al. Relationship between sarcopenia and nonalcoholic fatty liver disease: the Korean Sarcopenic Obesity Study. Hepatology. 2014;59(5):1772–1778.
  12. Bastard JP, Maachi M, Lagathu C, et al. Recent advances in the relationship between obesity, inflammation, and insulin resistance. Eur Cytokine Netw. 2006;17(1):4–12.
Creative Commons Attribution License

©2020 Yerragorla, et al. This is an open access article distributed under the terms of the, which permits unrestricted use, distribution, and build upon your work non-commercially.