Submit manuscript...
eISSN: 2373-6372

Gastroenterology & Hepatology: Open Access

Case Report Volume 6 Issue 5

Primary Appendicular Tuberculosis

Vipul D Yagnik

Consultant Endoscopic and laparoscopic surgeon, Ronak Endo-laparoscopy and general surgical hospital, India

Correspondence: Vipul Yagnik, Ronak Endo-laparoscopy and general surgical hospital, Patan, India

Received: January 15, 2017 | Published: April 20, 2017

Citation: Yagnik VD (2017) Primary Appendicular Tuberculosis. Gastroenterol Hepatol Open Access 6(5): 00212. DOI: 10.15406/ghoa.2017.06.00212

Download PDF

Abstract

The incidence of primary tuberculosis of appendix varies from 0.1 to 3.0%.The direct penetration of intestinal mucosa by swallowed organism is the principal mechanism for the development of primary appendicular tuberculosis. Pre-operative diagnosis is difficult. Immune-compromised status must be checked for extrapulmonary tuberculosis on unusual sites. Histopathological examination is the gold standard for diagnosis. Appendectomy is the treatment of choice. Anti- tubercular treatment must be administrated if the biopsy reveals tuberculosis.

Keywords: appendicular tuberculosis, appendectomy, antituberculer therapy

Abbreviations

GIT, gastrointestinal tract; ELISPOT, enzyme-linked immunospot; CT, computed tomography; ESR, erythrocyte sedimentation rate; ZN, ziehl-neelsen; PCR, polymerase chain Reaction; MTBC, mycobacterium tuberculosis complex; RIF, rifampin

Introduction

Primary tuberculosis of appendix is extremely rare. Any portion of the gastrointestinal tract (GIT) can be involved with tuberculosis, the most common site being either ileum or Cecum. The appendix is the fifth most common place for tuberculosis in GIT. Tubercular appendicitis is a disease of young and females are more commonly affected as compared to males. Tuberculosis of appendix may either be a primary or secondary. Review of literature for appendicular tuberculosis between 1909 and 2016 using PubMed and Google Scholar revealed that approximately 173 cases had been reported. Histopathological examination is mandatory for diagnosis. Mycobacterial culture is the gold standard test for diagnosing tuberculosis (TB), but it is time-consuming. An enzyme-linked immunospot assay (ELISPOT) and PCR assay (Xpert MTB/RIF) are novel, rapid, noninvasive test for the diagnosis of Mycobacterium tuberculosis. This case stresses the importance of histopathological examination of the appendix.

Case report

A 28years old male presented to emergency room with the chief complaint of right lower abdominal pain for the previous two days. He had a history of nausea, anorexia, and vomiting. Per abdominal examination showed tenderness at Mcburney's point. Digital rectal examination was normal. The temperature was 98 ̊̊̊F, pulse was 88/min, and blood pressure was 110/88 mmHg. Physical examination showed that patient was moderately built and well nourished. Alvarado score was 8(eight). An ultrasonogram of the abdomen demonstrated blind ended tubular aperistaltic, the noncompressisible structure with a diameter of 8 mm in right iliac fossa. Initial blood counts and results of blood chemistry tests were entirely normal except for an elevated leukocyte count at 12,000/mm3With left shift. HIV serology was negative for types1 and 2. Past medical and surgical history was not significant.

The patient was diagnosed as having acute appendicitis. He was posted for laparoscopic appendectomy. Laparoscopic examination showed no peritoneal tubercles, mesenteric lymphadenopathy or ascites. Ileocecal junction and major organs were normal. The appendix was in pelvic position and inflamed (Figure 1). A histopathological examination of the appendix revealed chronic granulomatous inflammation and possibility of tuberculosis. PCR assay (Xpert MTB/RIF) was performed to detect M.tuberculosis. Mycobacterium tuberculosis was identified which was not resistant to rifampin. The post-operative course was uneventful. The patient was further evaluated for the primary source of tuberculosis elsewhere in the body. Computed tomography (CT) abdomen and pelvis showed normal intraabdominal structures including bowel and mesentery. Chest X-ray and lower GI scopy were normal. Mantoux test skin test was negative, and erythrocyte sedimentation rate (ESR) was 70 mm/h. The patient was started on standard anti-tubercular treatment. A six-month course of anti-tubercular drugs consist of the intensive phase of 8 weeks and continuous phase for next four months was started. Eight weeks course include isoniazid, rifampin, pyrazinamide, and ethambutol followed by isoniazid and rifampicin for next four months. Doses of the drugs were: isoniazid 5 mg/kg/day, rifampin 10 mg/kg/day, pyrazinamide 30 mg/kg/day, and ethambutol 20 mg/kg/day. The patient had completed the course and was followed up for three months after the completion of the treatment without any problem.

Figure 1 Appendix is inflamed and showing multiple tubercles.

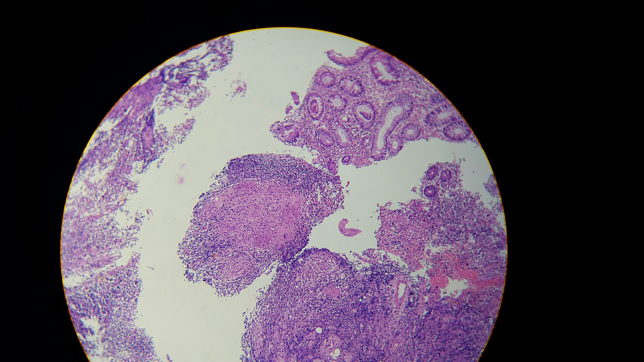
Figure 2 H and E Stain revealed caeseating granulomatous inflammation.

Discussion

Any portion of the gastrointestinal tract (GIT) can be involved with tuberculosis, the most common site being either ileum or cecum. The appendix is the fifth most common place for tuberculosis in GIT. According to World Health Organization report 2013, there was an estimated 8.6 million annual incidence of TB globally, and 1.3 million people died from the disease in 2012.1 The incidence of primary tuberculosis of appendix varies from 0.1 to 3.0%.2 It was first recognized by Corbin3 in 1873.Dymock et al. found 2 cases of tubercular appendicitis from a review of 1000 appendectomy specimens.4 In 1896 Deaver5 reported 16 cases of tubercular appendicitis in his series of 7610 appendectomies, Mayo in 1905 reported 29 (1888 appendectomies), Review of literature for appendicular tuberculosis between 1909 and 2016 using PubMed and Google Scholar revealed that approximately 173 cases had been reported. In a review of 6593 appendectomies carried out in Singapore, only 0.08% of cases were found to be of tubercular appendicitis6. Out of 2921 cases of appendectomies in a tertiary care center in India, only 5% of cases were found to be of tubercular appendicitis.6 The exact mechanism by which appendix develops tuberculosis remains unclear. The direct penetration of the intestinal mucosa by swallowed organism seems to be the principal mechanism. Other mechanisms are direct extension from the adjacent intestinal structures like cecum or ileum and rarely genitourinary tract and by lymphatic or hematogenous spread.7

Tubercular appendicitis is a disease of young and females are more commonly affected as compared to males. Tuberculosis of appendix may either be a primary or secondary. Primary tuberculosis of appendix is extremely rare and has no detectable focus of infection anywhere else in the body as shown by thorough investigations including laparoscopy or laparotomy. Secondarily, it may occur spreading from the ileocecal region, genital tuberculosis, and or lung.8 Signs and symptoms of tubercular appendicitis fall into two groups:

  1. Those referable to tuberculosis in general.
  2. Those referable to appendix itself.

General symptoms include low grade evening rise of temperature, progressive weight loss, and nocturnal sweating. Tubercular appendicitis may present in three clinical forms: acute, chronic, or latent (incidental). The acute form may be indistinguishable from acute suppurative appendicitis. The chronic form is more common, and it may present with the recurrent attack of appendiceal colic, diarrhea, and vomiting. The latent type is often discovered after an incidental appendectomy. Though ileum and cecum are the common sites for tuberculosis of GIT, appendicular involvement is rare. It may be explained by minimal contact with appendicular lumen with intestinal content. The gross appearance of tuberculosis of GIT has been divided into three varieties:9,10 ulcerative (60%), hypertrophic (10%), and ulcerohypertrophic (30%).

The rise in the incidence of tuberculosis in the United States has been associated with HIV infection. Major studies of abdominal tuberculosis from countries like UK11 and Singapore6 did not reveal a single case of ATB/HIV co-infection. A study from the UK showed only two patients had diabetes and one had carcinoma stomach as additional risk factors.11 Mycobacterium species like Mycobacterium tuberculosis, Mycobacterium kansasii and Mycobacterium aviumcomplex were described to cause appendicitis in HIV-infected patients.12,13 It is important to check for the immune-compromised state in a patient with tuberculosis. All patients should undergo evaluation of HIV status. Determination of serum CA-125 concentration can be used in tuberculous peritonitis, not only to make an accurate diagnosis and ascertain the activity of the disease but also to follow the response to treatment.14

Pre-operative diagnosis of tuberculosis of appendix is impossible as signs and symptoms are indistinguishable from those of appendicitis. Laboratory and radiological findings of tubercular appendicitis have a low specificity. The reliable method for diagnosis appendicular tuberculosis is histological examination with routine hematoxylin/eosin stain that reveals the caseating granulomatous inflammation. Granulomatous appendicitis has other differential diagnoses such as Crohn's disease, Sarcoidosis, and parasitic or mycosis granuloma and foreign body induced inflammation. Differentiation between Crohn's diseases, Sarcoidosis and tuberculosis are mandatory as the steroid is the treatment of choice for first two conditions while it was hazardous to the patients of tuberculosis without antitubercular medicines. Ziehl-Neelsen (ZN) stain is a further test to confirm the acid-fast bacilli. ZN stain is less sensitive and could give a false negative result. Polymerase chain reaction (PCR) for identification of the Mycobacterium tuberculosis in formalin-fixed paraffin embedded tissue can be extremely helpful in confirming a diagnosis of tuberculosis when Ziehl-Neelsen staining is negative. The PCR of tissue specimens is a good alternative to detect tuberculosis its reliability may also be influenced by some histological features. Lee YJ et al.15 showed a higher sensitivity of PCR when specimens contained necrosis, which indicated that only specimens with necrosis should be used for PCR to detect tuberculosis.15

Mycobacterial culture is the gold standard test for diagnosing tuberculosis (TB), but it is time-consuming. Standard cultures can take 2 to 6 weeks for Mycobacterium tuberculosis complex (MTBC) to grow, and conventional drug resistance tests can add three more weeks. An enzyme-linked immunospot assay (ELISPOT)16 and PCR assay (Xpert MTB/RIF)17 are novel, rapid, noninvasive test for M.tuberculosis. The test simultaneously detects Mycobacterium tuberculosis complex (MTBC) and resistance to rifampin (RIF) in less than 2 hours. Surgery is the cornerstone of the appendicular TB because antitubercular drugs alone cannot control recurrent attacks of inflammation. The initial management is surgical. There are no clear-cut guidelines for the management of tuberculosis of appendix. Some authors believe primary tuberculous appendicitis can be cured completely by surgery alone.18 On the other hand, many scholars think that anti-tubercular treatment is an integral part of management and it must be started if the biopsy reveals tuberculosis.6,19 A six-month course of anti-tubercular drugs consist of the intensive phase of 8 weeks and continuous phase for next four months is considered adequate.8 weeks course include isoniazid, rifampin, pyrazinamide, and ethambutol followed by isoniazid and rifampicin for next four months. Therapy needs to be supervised by the public health personal as well as medical doctors. Erratic treatment leads to the emergence of multidrug-resistant strains.

Conclusion

Primary tuberculosis of appendix is extremely rare. A preoperative diagnosis is difficult and is rarely made. A high index of suspicion is required for the diagnosis. The most common presentation is chronic recurrent appendiceal colic. Histopathological examination is mandatory for diagnosis. This case stresses the importance of histopathological examination of the appendix.

References

  1. WHO. Global tuberculosis report. World Health Organization, Geneva, Switzerland. 2013.
  2. Bobrow ML, Friedman S. Tuberculousappendicitis. Am J Surg. 1956;91(3):389–393.
  3. Scott JR. Tuberculosis of the Appendix. Ann Surg. 1917;66(6):648–53.
  4. Dymock RB. Pathological changes in the appendix:a review of 1000 cases. Pathology. 1977;9(4):331–339.
  5. Deaver JB. A treatise on appendicitis. (1st edn), P Blakiston and Son, Philadelphia, USA, 1986. p. 186.
  6. Chong VH, Telisinghe PU, Yapp SKS, et al. Tuberculous appendix: a review of clinical presentations and outcomes. Singapore Med J. 2011;52(2):90–93.
  7. Debi U, Ravisankar V, Prasad KK, et al. Abdominal tuberculosis of the gastrointestinal tract: revisited. World J Gastroenterol. 2014;20(40):14831–14840.
  8. Cruz AT, Starke JR. Clinical manifestations of tuberculosis in children. Paediatr Respir Rev. 2017;8(2):107–117.
  9. Horvath KD, Whelan RL. Intestinal tuberculosis: Return of an old disease. Am J Gastroenterol. 1998;93(5):692–696.
  10. Marshall JB. Tuberculosis of the gastrointestinal tract and peritoneum. Am J Gastroenterol. 1993;88(7):989–999.
  11. Ramesh J, Banait GS, Ormerod LP. Abdominal tuberculosis in a district general hospital: a retrospective review of 86 cases. QJM. 2008;101(3):189–195.
  12. Pintor E, Velasco M, Piret MV, et al. Tuberculosis abscess simulating complicated acute appendicitis in a patient with HIV infection. Enferm Infecc Microbiol Clin. 1997;15(9):497–498.
  13. Domingo P, Ris J, Lopez-Contreras J, et al. Appendicitis due to Mycobacterium avium complex in a patient with AIDS. Arch Intern Med. 1996;156(10):1114.
  14. Mas MR, Comert B, Saglamkaya U, et al. CA-125: A new marker for diagnosis and follow-up of patients with tuberculous peritonitis. Dig Liver Dis. 2000;32(7):595–597.
  15. Lee YJ, Kim S, Kang Y, et al. Does Polymerase Chain Reaction of Tissue Specimens Aid in the Diagnosis of Tuberculosis? J Pathol Transl Med. 2006;50(6):451–458.
  16. Cho OH, Park KH, Park SJ, et al. Rapid diagnosis of tuberculous peritonitis by T cell-based assays on peripheral blood and peritoneal fluid mononuclear cells. J Infect. 2011;62(6):462–471.
  17. Vadwai V, Boehme C, Nabeta P, et al. Xpert MTB/RIF: a new pillar in diagnosis of extrapulmonary tuberculosis? J Clin Microbiol. 2011;49(7):2540–2545.
  18. S Sinha, Sarin YK. Tuberculous Appendicitis. Indian Journal of Pediatrics. 2005;72:712.
  19. Sanjay Gupta, Robin Kaushik, Amanjit Kaur, et al. Tubercular appendicitis - a case report. World J Emerg Surg. 2006;1:22.
Creative Commons Attribution License

©2017 Yagnik. This is an open access article distributed under the terms of the, which permits unrestricted use, distribution, and build upon your work non-commercially.