Submit manuscript...
eISSN: 2373-6372

Gastroenterology & Hepatology: Open Access

Research Article Volume 2 Issue 1

Programmed Cell Death-1 Polymorphism rs11568821 is a predictor of Treatment Outcome in Chronic HCV Genotype 4 Infection

Mohamed Radwan,1 Dalia El Lebedy,2 Mohamed Abdel Hamid3

1Internal Medicine Department, National Research Center, Egypt
2Clinical and Chemical Pathology Department, National Research Center, Egypt
3Medical Molecular Genetics Department, National Research Center, Egypt

Correspondence: Dalia El-Lebedy, Clinical and Chemical Pathology Department, Medical Research Division, National Research Center, Cairo 12311, Egypt, Tel 20233673461, Fax 20233673461

Received: October 24, 2014 | Published: January 23, 2015

Citation: Radwan M, El-Lebedy D, Abdel-Hamid M (2015) Programmed Cell Death-1 Polymorphism rs11568821 is a predictor of TreatmentOutcome in Chronic HCV Genotype 4 Infection.Gastroenterol Hepatol Open Access 2(1):00026. DOI: 10.15406/ghoa.2015.02.00026

Download PDF

Abstract

Background & Aim: Recently, a single nucleotide polymorphism of Programmed Cell Death-1 (PD-1) gene has been reported to be associated with sustained virologic response (SVR) and to increase the predictive value of IL28B/CC genotype in chronic hepatitis C virus (HCV) genotype 1 and 3 infections. However, to date, there is no data concerning genotype 4. The aim of this study was to investigate the effect of PD-1.3 polymorphism on treatment outcome in patients with chronic HCV-4 infection.

Methods: 200 HCV-4 chronic infected patients were recruited and received PEG-IFN-α and ribavirin therapy. They were classified according to their response to treatment into SVR and Non-responders (NR) groups. PD-1.3 and IL28B rs12979860 polymorphisms were genotyped by polymerase chain reaction- restriction fragment length polymorphism (PCR-RFLP) analysis.

Results: PD-1.3/GG genotype was over-represented in NR (79.8%) than in SVR patients (58.3%), P=0.001. PD-1.3/A allele was associated with SVR (P <0.001). IL28B/CC genotype was recognized in 60.4% of SVR vs. 25.9% of NR patients (P <0.001). The unfavorable TT genotype was revealed in 4.2% of SVR vs. 23.1% of NRs (P<0.001). Using logistic regression analysis, IL28B/CC genotype showed a predictive value of 58% which increased to 62.8% in the presence of PD1.3/AA genotype.

Conclusions: PD-1.3 polymorphism is a new predictor of treatment outcome in chronic HCV genotype 4 infected patients and allele a associates with SVR. Genotyping of both IL28B rs12979860 and PD-1.3 is valuable in these patients for early prediction of the response to combined interferon and ribavirin therapy.

Keywords: hepatitis C virus, genotype 4, programmed cell death-1, interferon

Abbreviations

HCV, hepatitis C virus, PEG-IFN, pegylated interferon; SVR, sustained virologic response; CTL, cytotoxic T lymphocytes; PD-1, programmed cell death-1; PD-L1, programmed cell death-1 ligand; DC, dendritic cells; SNP, single nucleotide polymorphism; AST, aspartate aminotransferase; ALT, alanine aminotransferase; GGT, gamma-glutamyltranspeptidase; Alb, albumin; PT, prothrombin time; RT-PCR, reverse transcriptase polymerase chain reaction; RFLP, restriction fragment length polymorphism

Introduction

Chronic infection with hepatitis C virus (HCV) is a global health problem that affects more than 170 million people worldwide, with 3-4 million new cases each year.1 It represents a major cause of chronic hepatitis, cirrhosis, and hepatocellular carcinoma.2 HCV genotype 4 (HCV-4) is the most common variant in the Middle East and Africa, particularly Egypt3,4 which has the highest prevalence of HCV worldwide (15%),5 and the highest prevalence of genotype 4.6 The current standard therapy for chronic HCV infection consists of subcutaneous injections of long-acting pegylated interferon-α (PEG-IFN) plus oral treatment with ribavirin.7 However, sustained virologic response (SVR) is achieved in only 20-50% of HCV- 4 infected patients.8 Since a significant number of patients will fail to respond or will experience significant side-effects, plus the high cost of therapy, identification of host and viral factors predicting treatment outcome is of major interest. The chronicity of HCV infection is associated with impaired HCV-specific cytotoxic CD8+ T lymphocytes (CTLs) function.9 CTLs express positive and negative co-stimulatory molecules,10,11 one of these negative regulatory molecules is the membrane-associated molecule Programmed Cell Death-1 (PDCD1, also known as PD-1or CD279).12

PD-1 is a member of immunoglobulin gene super family receptors which is expressed on activated T and B lymphocytes as well as myeloid cells.13 PD-1 strongly inhibits both proliferation and cytokine production by CD4 and CD8 T lymphocytes after interaction with its two ligands PD-L1 and PD-L2.14,15 PD-L1 is expressed in hematopoietic and non-hematopoietic cells, while PD-L2 is expressed on dendritic cells (DC) and macrophages.16,17 Expression of PD-L1 on dendritic cells has been indicated to participate in T cell unresponsiveness.18 PD1.3 is a single nucleotide polymorphism (SNP) in intron 4 at position +7146 G/A (rs11568821) which is involved in the regulation of gene expression.19 Recently, PD-1.3/A allele has been declared to be associated with SVR and notably increases the predictive value of IL28B/CC genotype in HCV-1 and 3 genotypes.20 But, to date, there is no published report concerning genotype 4. The aim of this study was to investigate the association of PD-1.3 SNP with the response to therapy in patients with chronic HCV-4 infection and its impact, in combination with IL28B SNP rs12979860, on treatment outcome.

Patients and methods

The study is a cohort of 200 naive patients with chronic HCV genotype 4 infections. The diagnosis of chronic hepatitis C was based on elevated serum transaminases level for at least 6 months with consistent detection of HCV- RNA and anti-HCV antibodies. Genotyping of HCV was performed before treatment. The treatment protocol was a fixed weekly dose of 180 μg of 20 kD linear pegylated interferon α-2a (PEG-IFN) and ribavirin in adjusted doses of 600-1400 mg/day according to body weight. Sustained virologic response (SVR) was defined as undetectable HCV-RNA during the treatment and after 24 weeks of treatment completion. Null- response was defined as <2 log (10) reduction in HCV- RNA after 12 weeks treatment. The breakthrough response was defined when HCV-RNA rebounded and became detectable before treatment was completed. According to their response to combined therapy, our patients were divided into 2 groups: SVR and Non-Responders (NR). The later included null-responders and relapsers.20 Informed consent was obtained from each patient included in the study and the study protocol conforms to the provisions of the Declaration of Helsinki 1975.

Biochemical markers

Serum HCV antibodies were detected by EIA using Cobas Core immunoassay analyzer (Roche Diagnostics). Pre-treatment levels of AST (aspartate aminotransferase), ALT (alanine aminotransferase), GGT (gamma-glutamyltranspeptidase) and albumin (Alb) were assayed in serum using Olympus Auto Analyzer AU400 (Olympus Diagnostica, Japan). Prothrombin time (PT) was measured on Helena C-II coagulometer (Helena Biosciences Europe, UK). Platelet counts were assayed using Abbott Cell-Dyn 1700 hematology analyzer (Abbott Laboratories, USA).

HCV genotyping and detection of HCV-RNA levels

Viral RNA was extracted from plasma using the QIAamp Viral RNA Mini Kit (Qiagen Hilden, Germany, Cat no. 52904) according to the manufacturer's protocol. HCV- RNA was quantified during the treatment and the follow-up period (at 0, 4, 12, 24, 48, 72 weeks of starting treatment) by reverse transcriptase polymerase chain reaction (RT-PCR) using TaqMan HCV kit (Roche Molecular Systems Inc., Branchburg, N.J.) performed on the COBAS TaqMan 48 Analyzer (Roche Molecular Systems). HCV genotype was defined by the reverse line probe assay (Innolipa v.1.0, innogenetics, Ghent, Belgium) according to the manufacturer’s instructions.

Genotyping of PD-1 and IL28B

Genomic DNA was extracted from EDTA anti-coagulated blood using the QIAamp DNA extraction kit (Qiagen Hilden, Germany, Cat no. 51304) according to the manufacturer's protocol.

Detection of PD-1.3 rs11568821 G/A polymorphism

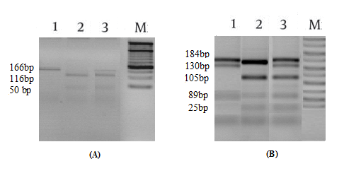
The SNP PD-1.3 (rs11568821) was genotyped by PCR–restriction fragment length polymorphism (RFLP) analysis.21 The oligonucleotide primers were 5´-CCCCAGGCAGCAACC TCAAT-3´ (Forward), and 5´-GACCGCAGGCAGGCACATAT-3´ (Reverse). DNA amplification was performed on T-100 Thermal Cycler (Bio-Rad Laboratories Inc., USA). PCR reaction conditions (30 μL) were: initial denaturation at 95ᵒC for 5 min, followed by 30 cycles of: denaturation at 95ᵒC for 1 min, annealing at 62ᵒC for 1 min, and extension at 72ᵒC for 1 min. The PCR product was of 166 base pairs. To perform RFLP assay, 20 μL of amplicons were digested with 5U of PstI restriction endonuclease (New England Biolabs, MA, United States) at 37ᵒC for 1 h. PstI digestion of allele G yields fragment of 166 base pairs, whereas DNA containing the allele A yields fragments of 116 and 50 base pairs 9 (Figure 1A) Restriction digestion products were separated on 3% agarose gel stained with ethidium bromide for visualization on a UV trans-illuminator.

Detection of IL28B rs12979860 C/T Polymorphism

Genotyping for the rs12979860 SNP was performed by PCR-RFLP analysis.22 The oligonucleotide primers were: 5’- AGG GCC CCT AAC CTC TGC ACA GTC T -3’ (Forward), and 5’- GCT GAG GGA CCG CTA CGT AAG TCA CC -3’ (Reverse). DNA amplification was performed on T-100 Thermal Cycler (Bio-Rad Laboratories Inc., USA) and the PCR reaction conditions (30 μL) were: initial denaturation at 95ᵒC for 10 min, followed by 40 cycles of: denaturation at 95ᵒC for 1 min, annealing at 58ᵒC for 40s, and extension at 72ᵒC for 1 min. The PCR product was of 403 base pairs. To perform RFLP assay, 20 μL of amplicons were digested with 5U of BstUI restriction endonuclease (New England Biolabs, MA, United States) at 60ᵒC for 1 h. BstUI digestion of allele C yields fragments of 184, 105, 89 and 25 base pairs, whereas DNA containing the allele T yields fragments of 184, 130 and 89 base pairs (Figure 1B) Restriction digestion products were separated on 3% agarose gel stained with ethidium bromide for visualization on a UV trans-illuminator.

Figure 1 PCR- RFLP analysis:
(A) PD-1.3 rs11568821: 166bp indicates GG genotype (1), 116+50bp indicate AA genotype (2), 166+116+50bp indicate GA genotype (3).
(B) IL-28B rs12979860: 184+130+89bp indicate TT genotype (1), 184+105+89+25bp indicate CC genotype (2), 184+130+105+89+25bp indicate CT genotype (3).

Statistical analysis

Statistical calculations were done using Microsoft Excel version 7 (Microsoft Corporation, NY, and USA) and SPSS version 16 (Chicago, IL, USA). Quantitative data was presented as mean±standard deviation (±SD). Qualitative data was expressed as frequency (absolute number and percent). Pearson chi-square (χ²) and Fisher’s exact tests were used to compare between independent variables. Comparison of more than two variables was done by ANOVA test. Binary logistic regression analysis was used for determination of predictor models. A probability value (P) less than 0.05 was considered statistically significant. Odds ratios (OR) and 95% confidence intervals (95% CI) were calculated to estimate the strength of the association when appropriate.

Results

According to the patients response to PEG-IFN and ribavirin therapy, 48% (n = 96) were classified as SVR and 52% (n=104) were classified as NR. The demographic and clinical characteristics of patients are summarized in Table 1. Analysis of PD-1.3 genotype distribution among the two groups of patients showed that GG genotype was over-represented (79.8%) in NR patients vs. 58.3% in SVR patients (P=0.001). Genotypes GA and AA were recognized in 41.7% of SVR patients vs. 20.2% in NRs. The frequency of allele A was significantly higher in SVR (24.5%) than in NR patients (12%), P <0.001 Table 2.

Parameters

SVR group (n=96)

NR group (n=104)

Age (Years)

43.67±9.78

45.50±7.45

Gender [n (%)]

Male

77 (80)

81 (78)

Female

19 (20)

23 (22)

BMI (kg/m2)

23.2±4.6

24.1±3.2

Pre-treatment viral load

32 (26.7)*

21(16.2)

<400,000 IU/ml [n (%)]

AST (U/L)

82.87±27.92

78.27±15.25

ALT (U/L)

101.80±38.56

92.85±27.12

GGT (U/L)

35.2±11.4

31.3±9.1

Platelets (x103/µL)

230±93.2

199±41.4

Prothrombin time (sec.)

12.87±0.74

13.04±1.11

Serum albumin(gm/dl)

3.57±0.34

3.90±0.71

Table 1 Demographic and clinical characteristics of the studied patients
Data are expressed as mean±SD
NR, non-responders; SVR, sustained virological responders; BMI, body mass index; AST, aspartate aminotransferase; ALT, alanine aminotransferase; GGT, gamma-glutamyltranspeptidase
*Significant (P<0.05).

Genotyping results of IL28B showed that CC genotype was found in 60.4% of SVR patients vs. 25.9% of NR patients (P <0.001), while CT genotype was detected in 35.4% vs. 51%, respectively (p <0.05). Meanwhile, the unfavorable TT genotype was detected in 4.2% of SVR patients vs. 23.1% of NRs (P<0.001) Table 2. The impact of PD1.3, in combination with IL28B rs12979860, on the treatment outcome was studied by a binary logistic regression analysis. In step 1, IL28B/CC genotype showed a predictive value of 58% (OR=7.588, 95% CI=2.660-21.654). In step 2, a better prediction (62.8%) was obtained with PD1.3/AA genotype in the presence of IL28B/CC genotype (OR=8.8, 95% CI=2.890-27.106) Table 3.

Genotypes

SVR group (n=96)

NR group (n=104)

P-value

PD-1.3

G/G

56 (58.3%)

83 (79.8%)

0.001

G/A

33 (34.4%)

17 (16.3%)

A/A

7 (7.3%)

4 (3.9%)

IL28B

C/C

58 (60.4%)

27 (25.9%)

0

C/T

34 (35.4%)

53 (51%)

T/T

4 (4.2%)

24 (23.1%)

Alleles

SVR group (2n=192)

NR group (2n=208)

P-value

PD-1.3 /G

145 (75.5%)

183 (88%)

<0.001

PD-1.3 /A

47 (24.5%)

25 (12%)

IL28B/C

150 (78%)

107(51.4%)

0

IL28B/T

42 (22%)

101(48.6%)

Table 2 Genotype distribution and allele frequency of PD-1.3 rs11568821 and IL-28B rs12979860 in studied patients
NR, non-responders; SVR, sustained virological responders

P- value

OR

95% CI

Step 1a

IL-28B genotype

CC

0

7.588

2.660–21.645

CT

0

6.545

2.398-17.863

Step 2b

PD-1.3 genotype

AA

0.03

4.438

1.157–17.023

GA

0.004

2.629

1.368-5.050

IL-28B genotype

0

8.85

2.890-27.106

CC

0.001

6.282

2.066-19.101

CT

Table 3 Logistic regression analysis of IL28B and PD1.3 genotypes as predictors of treatment outcome
OR, odds ratio; CI, confidence interval

Discussion

PD-1 is a good candidate marker which is involved in progression of HCV infection and the high expression on CD8+ T cells represents one of the mechanisms of HCV chronicity.17 PD-1 was found to be expressed at high levels on HCV-specific CTL during the acute phase of infection and declines in self-limited infections, but remains high in patients with chronic infection.23 Also, pretreatment level of PD-1 expression on HCV-specific CTLs was highly predictive of both early and sustained virologic responses in chronic HCV-1 infection.24 The human gene for PD-1 is localized on chromosome 2q37.325 and PD-1.3 (+7146 G/A) is a SNP which affects the transcription of PD-1 mRNA and allele A carriers have a lower expression of PD-1 molecule on their activated lymphocytes.19,26 Recently, PD1.3 has been reported to be associated with SVR in chronic HCV-1 and -3 infections.20

In this study, we investigated the association of PD-1.3 with the response to PEG-IFN and ribavirin therapy in chronic HCV-4 infection. Our results revealed that PD-1.3/A allele associated with SVR (P <0.001). PD-1.3 GA and AA genotypes were recognized in 41.7% of SVR patients vs. 20.2% in NRs. In contrast to Vidal-Castineira et al. [20] who reported that the PD-1.3/A allele was associated with SVR in both HCV-1 (16.3% vs. 9.7%, P <0.05) and HCV-3 (18.6% vs. 0%, P <0.01) but not in HCV-4, which might be attributed to that most of their patients were of genotype 1 (n=313) and genotype 3 (n=73), while only 13 patients were of genotype 4 (SVR= 6 and NRs= 7).

IL28B rs12979860 influences the treatment responsiveness,20,27 viral clearance20,28 and CC genotype has the strongest association with SVR.27,29 In patients with HCV-4, CC genotype provides a SVR over 80% in Egyptian, European, and Sub-Saharan African patients, while TT genotype is associated with failed response to therapy.30,31 In our patients, IL28B/ CC and CT genotypes associated with SVR, while the TT genotype associated with NR (P <0.001).32–34

When we studied the impact of PD-1.3, in combination with IL28B polymorphism, on the treatment outcome; the predictive value of IL28B/ CC genotype was 58% and increased to 62.8% in patients who were PD-1.3/AA genotype. Similar findings were previously reported by Vidal-Castineira and co-workers20 who found that IL28B/CC genotype was the most significant predictor of SVR in all genotypes (74.5%). In patients with IL28B/CC genotype, the PD-1.3 was the next most relevant predictor of treatment response as the presence of PD-1.3/A allele increased the probability of SVR to 93.3%, while the percentage dropped to 69.7% if they carried the PD-1.3/ GG genotype. They also reported that the next significant predictive factor in patients with IL28B/CT and TT genotypes was the HCV genotype as IL28B/TT patients infected with HCV-1 or 4 achieved a low rate of SVR (18.8%), while patients infected with HCV-2 or 3 achieved SVR rate of 57%. Meanwhile, the SVR rate of IL28B/CT patients with HCV-1 or 4 was 37%, but if the HCV genotype was 2 or 3, the SVR frequency increased to 82.9%.20

From our results, we concluded that PD-1.3 polymorphism is a new predictor of treatment outcome in chronic HCV genotype 4 infected patients and allele an associates with SVR. Genotyping of both IL28B rs12979860 and PD-1.3 is valuable in these patients for early prediction of the response to therapy.

Funding

None.

Acknowledgements

None.

Conflicts of interest

The authors declare that they have no conflicts of interest.

References

  1. Kowalski HJ, Abelmann WH. The cardiac output at rest in Laennec’s cirrhosis. J Clin Invest. 1953;2(10):1025–1033.
  2. Meng HC, Lin HC, Tsai YT, et al. Relationships between the severity of cirrhosis and haemodynamic values in patients with cirrhosis. J Gastroenterol Hepatol. 1994;9(2):148–153.
  3. Moller S, Hobolth L, Winkler C, et al. Determinants of the hyperdynamic circulation and central hypovolaemia in cirrhosis. Gut. 2011;60(9):1254–1259.
  4. Kobayashi A, Katsuta Y, Takumi A, et al. Interrelation between esophageal varices, and systemic and hepatic hemodynamics in male patients with compensated cirrhosis. Jpn J Med. 1991;30(4):318–325.
  5. Chikamori F, Inoue A, Okamoto H, et al. Relationships between types of esophagogastric varices and systemic hemodynamics in patients with liver cirrhosis. Hepatogastroenterology. 2011;58(107–108):909–915.
  6. Imholz BP, Wieling W, van Montfrans GA. Fifteen years experience with finger arterial pressure monitoring: assessment of the technology. Cardiovasc Res. 1998;38(3):605–616.
  7. Idezuki Y, Japanese research society for portal hypertension. General rules for recording endoscopic findings of esophagogastric varices (1991).World J Surg. 1995;19(3):420–423.
  8. Beppu K, Inokuchi K, Koyanagi N, et al. Prediction of variceal haemorrhage by esophageal endoscopy. Gastrointest Endosc. 1981;27(4):213–218.
  9. The north Italian endoscopic club for the study and treatment of esophageal varices. Prediction of the first variceal haemorrhage in patients with cirrhosis of the liver and esophageal varices. A prospective multi-center study. N Engl J Med. 1998;319(15):983–989.
  10. Groszmann R, Wongcharatrawee S. The hepatic venous pressure gradient: anything worth doing should be done right. Hepatology. 2004;39(2):280–282.
  11. De Franchis R. Evolving consensus in portal hypertension report of the baveno IV consensus workshop on methodology of diagnosis and therapy in portal hypertension. J Hepatol. 2005;43(1):167–176.
  12. Viallet A, Marleau D, Huet M, et al. Hemodynamic evaluation of patients with intrahepatic portal hypertension. Relationship between bleeding varices and the portohepatic gradient. Gastroenteroly. 1975;69(6):1297–1300.
  13. Morali GA, Sniderman KW, Deitel KM, et al. Is sinusoidal portal hypertension a necessary factor for the development of hepatic ascites? J Hepatol. 1992;16(1–2):249–250.
  14. Tsao GG, Groszmann RJ, Fisher RL, et al. Portal pressure, presence of gastroesophageal varices and variceal bleeding. Hepatology. 1985;5(3):419–424.
  15. D Amico G, Pagliaro L, Bosch J. Pharmacological treatment of portal hypertension: an evidence-based approach. Sem Liv Dis. 1999;19(4):475–505.
  16. Kroeger RJ, Groszmann RJ. Effect of selective blockade of beta 2-adrenergic receptors on portal and systemic haemodynamics in a portal hypertensive rat model. Gastroenterology. 1985;88(4):896–900.
  17. Sikuler E, Kravetz D, Groszmann RJ. Evolution of portal hypertension and mechanisms involved in its maintenance in a rat model. Gastroenterology. 1985;248(1):G618–G625.
  18. Sieber CC, Sumanovski LT, Stumm M, et al. In vivo angiogenesis in normal and portal hypertensive rats: role of basic fibroblast growth factor and nitric oxide. J Hepatol. 2001;34(5):644–650.
  19. Fernandez M, Vizzutti F, Pagan GJC, et al. Anti-VEGF receptor-2 monoclonal antibody prevents porto-systemic collateral vessel formation in portal hypertensive mice. Gastroenterology. 2004;126(3):886–894.
  20. Castera L, Pinzani M, Bosch J. Non invasive evaluation of portal hypertension using transient elastography. J Hepatol. 2012;56(3):696–703.
  21. Vizzutti F, Arena U, Romanelli RG, et al. Liver stiffness measurement predicts severe portal hypertension in patients with HCV-related cirrhosis. Hepatology. 2007;45(5):1290–1297.
  22. Bureau C, Metivier S, Peron JM, et al. Transient elastography accurately predicts presence of significant portal hypertension in patients with chronic liver disease. Aliment Pharmacol Ther. 2008;27(12):1261–1268.
  23. Jung HS, Kim YS, Kwon OS, et al. Usefulness of liver stiffness measurement for predicting the presence of esophageal varices in patients with liver cirrhosis. Korean J Hepatol. 2008;14(3):342–350.
  24. Robic MA, Procopet B, Metivier S, et al. Liver stiffness accurately predicts portal hypertension related complications in patients with chronic liver disease: a prospective study. J Hepatol. 2011;55(5):1017–1024.
  25. Thabut D, Trabut J-B, Massard J, et al. Non-invasive diagnosis of large oesophageal varices with fibrotest in patients with cirrhosis: a preliminary retrospective study. Liver Int. 2006;26(3):271–278.
  26. Zaman A, Hapke R, Flora K, et al. Factors predicting the presence of esophageal or gastric varices in patients with advanced liver disease. Am J Gastroenterol. 1999;94(11):3292–3296.
  27. Chalasani N, Imperiale TF, Ismail A, et al. Predictors of large oesophageal varices in patients with cirrhosis. Am J Gastroenterol. 1999;94(11):3285–3291.
  28. Pilette C, Oberti F, Aube C, et al. Non-invasive diagnosis of esophageal varices in chronic liver diseases. J Hepatol. 1999;31(5):867–873.
  29. Qamar A, Grace ND, Groszmann RJ, et al. Platelet count is not a predictor of the presence or development of gastroesophageal varices in cirrhosis. Hepatology. 2008;47(1):153–159.
  30. Giannini E, Botta F, Borro P, et al. Platelet count/spleen diameter ratio: proposal and validation of a non-invasive parameter to predict the presence of oesophageal varices in patients with liver cirrhosis. Gut. 2003;52(8):1200–1205.
  31. Giannini E, Zaman A, Kreil A, et al. Platelet count/spleen diameter ratio for the non-invasive diagnosis of oesophageal varices:results of a multicenter, prospective, validation study. Am J Gastroenterol. 2006;101(11):2520–2522.
  32. Kaltoft N, Hobolth L, Moller S. Non-invasive measurement of cardiac output by finometer in patients with cirrhosis. Clin Physiol Funct Imaging. 2010;30(4):230–233.
  33. Remmen JJ, Aengevaeren WRM, Verheugt FWA, et al. Finapres arterial pulse wave analysis with Modelflow is not a reiable non-invasive method for assessment of cardiac output. Clin Sci (Lond). 2002;103(2):143–149.
  34. Bogert LWJ, van Lieshout JJ. Non-invasive pulsatile arterial pressure and stroke volume changes from the human finger. Exp Physiol. 2005;90(4):437–446.
Creative Commons Attribution License

©2015 Radwan, et al. This is an open access article distributed under the terms of the, which permits unrestricted use, distribution, and build upon your work non-commercially.