Submit manuscript...
eISSN: 2373-6372

Gastroenterology & Hepatology: Open Access

Case Report Volume 15 Issue 3

Reevaluating cholestasis: a case of PFIC3 diagnosed through whole genome sequencing after initial miss on cholestasis genetic panel

Arun Ajmera MD,1 Justin Baba MD,2 Mohammad Salimian MD,3 Samuel Hwang MD,4 Aditi Dagli MD,5 Akash Pandey MD1

1Pediatric Gastroenterology, Center for Digestive Health and Nutrition, Arnold Palmer Hospital for Children, USA
2Pediatrics Resident, Atrium Health Navicent/Mercer University, USA
3Pathology Resident, Orlando Regional Medical Center, USA
4Pathologist, Orlando Regional Medical Center, USA
5Pediatric Geneticist, Arnold Palmer Hospital for Children - Orlando Health, USA

Correspondence: Akash Pandey, MD; Pediatric Gastroenterology, Center for Digestive Health and Nutrition, Arnold Palmer Hospital for Children, 60 W Gore Street, Orlando, FL 32608, USA, Tel 321-841-3338, Fax 321-841-2170

Received: June 03, 2024 | Published: June 10, 2024

Citation: Ajmera A, Baba J, Salimian M, et al. Reevaluating cholestasis: a case of PFIC3 diagnosed through whole genome sequencing after initial miss on cholestasis genetic panel. Gastroenterol Hepatol Open Access. 2024;15(3):59‒61. DOI: 10.15406/ghoa.2024.15.00582

Download PDF

Abstract

Progressive Familial Intrahepatic Cholestasis (PFIC) 3 is a genetic condition caused by disruption of transportation of bile acids across hepatocytes resulting in bile acid buildup leading to cholestasis, liver dysfunction, and potentially liver failure. Our patient is an 18-year-old female with scoliosis and Bertolotti syndrome status-post left periacetabular osteotomy who presented with jaundice, scleral icterus, pruritis, elevated transaminases, cholestasis, and elevated gamma-glutamyl transferase (GGT). Evaluation revealed a negative cholestasis genetic panel with whole genome sequencing finding an ABCB4 gene mutation confirming PFIC3 diagnosis. She was started on ileal bile acid transporter (IBAT) inhibitors with clinical improvement.

Introduction

Cholestasis can be caused by a variety of mechanisms including obstructive (biliary atresia, biliary cysts), infectious (cytomegalovirus, sepsis), genetic or metabolic disorders (Alagille syndrome, PFIC, alpha-1 antitrypsin deficiency), and toxic (drug-induced hepatitis, intestinal failure-associated liver disease) etiologies.1 PFIC is a rare autosomal recessive disorder that has a variety of subtypes depending on the defect involved, occurring either at the level of production, transportation, or excretion of bile acids.2,3 Uniquely, PFIC3 is caused by a defect in the ABCB4 gene on chromosome 7 which encodes for a translocator protein known as the multi-drug resistant (MDR) 3 P-glycoprotein, involved in phosphatidylcholine excretion.1,2 MDR3 glycoprotein expression supports the transport of phosphatidylcholine flippase from the hepatocyte to the biliary canaliculi.1-3 ABCB4 gene mutations lead to decreased MDR3 glycoprotein expression and accumulation of toxic free bile acids damaging hepatocytes resulting with increased risk of hepatocellular carcinoma and cholangiocarcinoma.1-3 Studies reveal that MDR3 expression levels correlate with positive response to medical therapy, including ursodeoxycholic acid and rifampin.3 Biliary diversion may not be effective with severe presentations, but liver transplantation is curative.3,4

We report a novel case of PFIC3 that was initially missed by a cholestasis genetic panel but later diagnosed through whole genome sequencing, showing improvement with IBAT inhibitors.

Case report

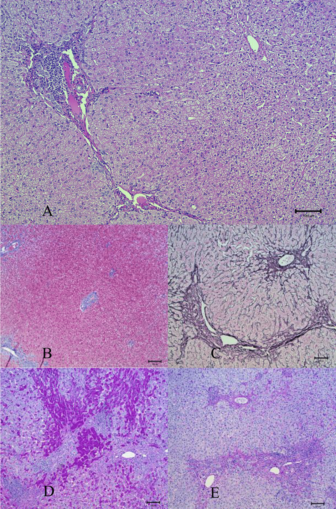
An 18-year-old Puerto Rican lean female with scoliosis and Bertolotti syndrome status-post left periacetabular osteotomy presented with jaundice, scleral icterus, and pruritis. Laboratory evaluations included elevated transaminases (aspartate aminotransferase [AST] 94 U/L, alanine transaminase [ALT] 145 U/L), elevated alkaline phosphatase [ALP] (468 U/L), elevated GGT (251 U/L), total hyperbilirubinemia (2.4 mg/dL) with mildly elevated direct bilirubin fraction (1.1 mg/dL) in the setting of normal albumin levels (4.2 g/dL), mild elevation of serum bile acids (15.6 umoL/L), hypertriglyceridemia, and hyperlipidemia. Additional laboratory evaluations for infectious hepatitis, autoimmune liver disease, and metabolic disorders were negative as shown in Table 1. Family history of PFIC3 was reported in the mother’s two siblings. Due to high suspicion for PFIC3, a cholestasis genetic panel (Prevention Genetics®, Marshfield, WI) was completed; however, it was negative. Right upper quadrant abdominal ultrasound showed hepatomegaly (with liver size measuring 20.1 cm) with fatty infiltration and cholelithiasis without evidence of cholecystitis or common bile duct dilation. She underwent laparoscopic cholecystectomy with liver wedge biopsy which revealed an intact lobular structure and sinusoidal meshwork with no evidence of iron deposition, fibrosis, or steatosis (Figure 1). There was a mild mixed chronic inflammatory infiltrate of predominantly lymphocytes, rare eosinophils, and plasma cells suggesting a diagnosis of autoimmune hepatitis with the presence of plasma cells even though autoimmune hepatitis laboratory evaluation was negative.

Laboratory Parameters

Values

Infectious

Strep A PCR

Negative

Urinalysis

Positive for bilirubin, urobilinogen

Autoimmune

Anti-smooth muscle antibody

Negative

Liver/Kidney Microsome Type 1 Antibody

Negative

Antimitochondrial Antibody

Negative

Other

Cholesterol

370 mg/dL (elevated

HDL

16 mg/dL (low)

LDL

306 mg/dL (elevated)

Triglycerides

267 mg/dL (elevated)

Ferritin

56 ng/mL

Ceruloplasmin

59 mg/dL

Thyroid studies (TSH/FT4)

Normal

IgA, IgG, IgM

Normal

IgG 1, 2, 3, and 4

Normal

Alpha 1-Antitrypsin Phenotype

MM Phenotype – Normal

Lysosomal Acid Lipase Activity

Normal

Bile Acids

15.6 umol/L -> 42.2 umol/L (elevated)

GGT

251 U/L -> 920 U/L (elevated)

aPTT

37.8 seconds (elevated)

PT/INR

Normal

CK

27 U/L (low)

CRP

Normal

ESR

Normal

Table 1 Additional Laboratory Values in the Patient

Figure 1 Liver biopsy. A) Mild, mixed chronic inflammatory infiltrate consisting of predominantly lymphocytes, rare eosinophils and plasma cells. B) The trichrome stain is negative for fibrosis. C) The reticulin stain shows an intact sinusoidal mesh work. D) Periodic Acid Schiff (PAS) stain highlights glycogen within the hepatocytes and no evidence of steatosis. E) The PAS with diastase stain is negative for large intracytoplasmic globules. All images taken at 100x magnification. Electron micrography images are not available.

After her surgery, she did well for a few months with resolution of her pruritis and jaundice along with normalization of her liver enzymes and serum bilirubin. Unfortunately, her symptoms (pruritus) and laboratory abnormalities returned six months after surgery (repeat serum bile acids was elevated [42.2 umoL/L]). Repeat abdominal ultrasound and magnetic resonance cholangiopancreatography (MRCP) to assess for common bile duct stones or dilation was negative. Due to high suspicion for PFIC, genetic testing (GeneDx®, Elmwood Park, NJ) was sent and identified the patient as a G6PD carrier. This did not correlate with patient clinical findings. Further testing with (Variantyx®, Framingham, MA) whole genome sequencing identified an autosomal recessive ABCB4 homozygous variant of uncertain significance. Repeat analysis of the original cholestasis genetic panel approximately 1 year after initial testing confirmed the findings on whole genome sequencing. This variant had recently been identified as a novel mutation in the Puerto Rican population to be associated with cholestatic jaundice and PFIC3. She was treated with Ursodiol, Atarax, Odevixibat, and fat-soluble vitamins with clinical improvement.

Discussion

Diagnosis of PFIC3 is typically started with laboratory evaluation demonstrating elevated liver enzymes, conjugated bilirubin, and bile acids. Genetic testing is confirmatory. Management with medications like ursodiol and ileal bile acid transporter (IBAT) inhibitors are used to improve bile flow, reduce liver damage, and relieve pruritis.

Although liver biopsy was suggestive of autoimmune hepatitis (AIH) and family history was concerning for PFIC3 in our patient, AIH markers were negative twice. Additionally, the homozygous variant reported in our patient is found in 0.0058% of alleles in individuals of Latino descent specifically in the Puerto Rican population.2

Multiple cases have described liver disease that have later been found to be due to PFIC3. Ramraj et al. described two cases where the patients were thought to have Wilson’s disease due serum ceruloplasmin level abnormalities, however with the chronicity and persistence of liver disease, full exon sequencing found ABCB4 gene mutations confirming the diagnosis.5 Lipinski et al. documented four clinical cases with novel ABCB4 variants found by early next- generation sequencing.6 Another case revealed the importance of early diagnosis when a 17-year-old female required liver transplantation for cryptogenic cirrhosis was retrospectively found to have PFIC3 by genetic analysis and immunohistochemistry in the setting of chronic rejection.7 Our patient had an ABCB4 mutation not found on the cholestasis genetic panel likely due to a novel mutation resulting in diagnosis delay. Similar novel ABCB4 gene mutations have been reported in the literature leading to diagnosis delay and clinical variation.8

In conclusion, our report illustrates the potential to miss the rare diagnosis of PFIC3 if workup was suspended after initial genetic testing for PFIC3 was normal. In addition, this case highlights the value of thorough evaluation of suspected disease while demonstrating genetic expression of disease may manifest in different forms.

Acknowledgments

The patient of the case report and their parents are aware of the intent to publish and have agreed to it. Signed informed consent was obtained for publication of the case details.

Conflicts of interest

None declared from all authors. No conflict of interest was reported.

Informed consent

The patient of the case report and their parents are aware of the intent to publish and have agreed to it. We have obtained signed informed consent and have archived it.

Sources of support and disclosure of funding

No financial support and no sources of funding were used for the creation of this manuscript.

References

  1. A Siddiqi I, Tadi P. Progressive Familial Intrahepatic Cholestasis. 2023 Jul 3. In: StatPearls [Internet]. Treasure Island (FL): StatPearls Publishing; 2024.
  2. Davit–Spraul A, Gonzales E, Baussan C, et al. Progressive familial intrahepatic cholestasis. Orphanet J Rare Dis. 2009;4:1.
  3. Alam S, Lal BB. Recent updates on progressive familial intrahepatic cholestasis types 1, 2 and 3: Outcome and therapeutic strategies. World J Hepatol. 2022;14(1):98–118.
  4. Namgoong JM, Hwang S, Kwon H, et al. Liver transplantation in pediatric patients with progressive familial intrahepatic cholestasis: Single center experience of seven cases. Ann Hepatobiliary Pancreat Surg. 2022;26(1):69–75.
  5. Ramraj R, Finegold MJ, Karpen SJ. Progressive familial intrahepatic cholestasis type 3: overlapping presentation with Wilson disease. Clin Pediatr (Phila). 2012;51(7):689–691.
  6. Lipiński P, Ciara E, Jurkiewicz D, et al. Progressive familial intrahepatic cholestasis type 3: Report of four clinical cases, novel ABCB4 variants and long–term follow–up. Ann Hepatol. 2021;25:100342.
  7. Goubran M, Aderibigbe A, Jacquemin E, et al. Case report: progressive familial intrahepatic cholestasis type 3 with compound heterozygous ABCB4 variants diagnosed 15 years after liver transplantation. BMC Med Genet. 2020;21(1):238.
  8. Zhu H, Wang S, Li L, et al. Case Report: A rare case of young adult progressive familial intrahepatic cholestasis–type 3 with a novel heterozygous pathogenic variant of ABCB4. Front Pediatr. 2022;10:1012825.
Creative Commons Attribution License

©2024 Ajmera, et al. This is an open access article distributed under the terms of the, which permits unrestricted use, distribution, and build upon your work non-commercially.