Submit manuscript...
eISSN: 2373-6372

Gastroenterology & Hepatology: Open Access

Case Report Volume 9 Issue 3

Reverse surgery (“first-liver approach”) for hepatic metastases from breast cancer

Sergio Renato Pais Costa,1 Rafael Negreiros Botan,2 Sergio Luiz Melo Araújo,3 Guilherme Crispim Costa4

1HPB Oncologist Surgeon at Brasília Hospital, MScfrom Federal Universityof São Paulo, Brazil
2Oncologistat Brasília Hospital, Federal District, Brazil
3General Surgeon at Brasília Hospital, Brasilia University, Brazil
4General Surgeon at Brasília Hospital, Brazil

Correspondence: Sergio Renato Pais Costa, HPB Oncologist Surgeon at Brasília Hospital, Brasília, Federal District, SEPS 710/910, Conjunto D, Sala 330, CEP 70390-108, Brasília, DF, Brazil

Received: March 26, 2018 | Published: June 5, 2018

Citation: Costa SRP, Botan RN, Araújo SLM, et al. Reverse surgery (“first-liver approach”) for hepatic metastases from breast cancer. Gastroenterol Hepatol Open Access. 2018;9(3):118-120. DOI: 10.15406/ghoa.2018.09.00307

Download PDF

Abstract

Background: Hepatic resection for liver metastasis from breast cancer (LMBC) canattain long-term survival. Since BC has been a very sensitive neoplasm to chemotherapy, surgical resection of residual LMBC has presented an important role associated withsystemic therapy. Reverse approach (“first liver approach”) has been performed for liver metastasis from colorectal cancer (LMCRC), mainly for multiple synchronic metastases that have presented partial response.

Case report: We report a case of LMBC in young female who has undergone successful“first liver approach” after partial response tosystemic therapy. At first, it was performed open right hepatectomy with caudate lobectomy and atypical resection of three small lesions in left lobe. After two postoperative cycles of chemotherapy associated a target therapy, she has finally submitted a radical mastectomy and selective axillary lymphadenectomy. To date, thirty months after hepatic resection, she is alive without any recurrence.

Keywords: breast cancer, hepatic neoplasms/surgery, liver/surgery, hepatectomy.

Introduction

Hepatic resection (HR) for liver metastasis of breast cancer (LMBC) has been a very studied topic over last years. Recent series has shown that HR for LMBC can lead long-term survival for many patients, especially those who are considered responders to systemic therapy. Therefore, in this specific sample, the overall survival has been comparable topatients with colorectal metastasis on the similar conditions. Finally, HR for LMBC has been considered anapproach reasonable for very selected situations.1–8

Recently, “first-liver approach” or reverse surgery has been extensively studied for treatment of synchronous liver metastasis of colorectal cancer (LMCRC). Long-term results may be similar to those observed when is performed the classical approach.9–11 However for other primaries beside CRC, this approach is little studied in the literature. Nonetheless, in our point of view, reverse approach can be also used in other very chemo-responsive primaries besides LMCRC as LMBC. Present authors report a case of synchronous bilateral LMBC that was successfully submitted a reverse approach after systemic response and she has presented long survival (30 months) without recurrence.

Case report

A 25-year-old female was referred to our unit with a 2-months history of lump in her right breast. Physical examination revealed a 6,0X5cm tumor in the lower outer quadrant of the right breast. Biopsy specimen by core needle biopsy from right breast lump showed an invasive ductal carcinoma (moderate grade) that was both estrogen receptor (ER)-and progesterone receptor (PgR)- negative with a HER2 of +3 by immunohistochemistry assay. A PET/CT scan showed uptake of 18F-fluoroglucose in the right breast besides right axillary lymph nodes and bilateral liver lesions. These hepatic lesions were small among 0,5 to 2,5cm. Systemic staging of this patient was considered T3N1M1 with exclusive hepatic metastases according to the UICC classification.

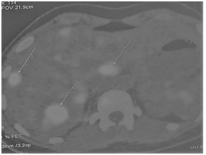
She received preoperative systemic chemotherapyassociated with target therapy. The scheme was the following: docetaxel and carboplatin associated with both trastuzumab and pertuzumab. She received six cycles with partial response of both primary lesion and hepatic metastases (Figure 1–PET-Scan). This way,we proposed a “first-liver approach” because it was observed a good response after systemic therapy besides that she was a healthy young woman. She underwent an open right hepatectomyand caudate lobectomy with atypical resection of three small lesions into left lobe. She was carried out at fifth postoperative day without any complication. Pathological evaluation showed only both fibrosis and necrosis in hepatic lesions. It was considered complete histological response. Subsequently, shereceived four more cycles of the same initial scheme (except carboplatin). There was maintenance of the response in primarytumor andshe was finally submitted to radical mastectomy with selective axillar lymphadenectomy. Pathological evaluationevidenced absence of microscopic residual tumor(complete pathogicalresponse). Since that time sheisreceiving only bothtrastuzumabandpertuzumab. To date, thirty months after hepatic resection,she is alive without any recurrence (Figure 2–PET-Scan). She presents a very good quality of her life.

Figure 1 PET-Scanafter initial treatment –bilateral hepatic metastases.

Figure 2 PET-scan–thirty months after hepatic resection of bilateral hepatic metastasis.

Discussion

Breast cancer is the most frequent malignant neoplasm in Brazil, it is estimated that there have been about 57000 new cases per yearof this disease in our country at 2014. Although, the liver is the third most frequent site of metastasis in BC, only 5-25% will have isolated liver metastasis. For these patients with disease exclusively confined to the liver, the HRcan be an alternative very interesting because can lead to prolonged survival. Recent studies have observed between 36 and 58% of 5-year survival rates.1–4 Theseresults seem similar the most recent series published by our team for the surgical treatment of LMCRC.12

Since for LMBC that were treated by means HR, long term survival or even cure can be attained. Ercolani et al.,1 in a large Italian series have observed 8,9% of 10-year survival rates without recurrence. As BC is usually very sensitive neoplasm to both chemotherapy and target therapy, the resection of LMBCafter systemic treatment seems to play an important role in the removal of clones which can beresistant to cytotoxic treatment. This aggressive approach can lead to long-term survival associated witha good quality of life due to the fact that these patients can avoid the use of cytotoxic therapy for long time after surgical debulking of liver metastases. This strategy has been designated as “adjuvant surgical debulking” when LMBC are resected by means hepatectomy after systemic therapy.1–6 Nowadaysthis approach has been widespread in oncological scenario around the world. However, many questions still need to be answered, for example: How should we choose or even select the patients whocan present a true benefit with an aggressive surgical treatment of LMBC? Better knowledge of the prognostic factors can help in the adequate selection of those cases that can benefit from surgical resection. Many prognostic factors (PG) have been studied in this particular scenario in order to select LMBC candidates to HR. The more important PG for LMBC that have been described in the literature are: both number and diameter of lesions, extra-hepatic disease, disease-free survival time between primary lesion treatment and development of liver metastasis, preoperative chemotherapy, response to chemotherapy, microscopic margins,microscopic vascular or lymphatic invasion, hormone receptors (ER and PgR) andmore recently receptor of HER2.1–8 These PG have been shown as significant to attain a long-term survival.1–8

Currently, new biological prognostic factors have been largely studied in relation to BC, especially those designated as biomarkers. Both markers of immunohistochemistry and molecular biology have been useful instruments to choose good candidates for liver resection.1–8 Thus, it seems that the most important have been hormonereceptors,besides the size of lesions and the response to systemic therapy (as chemotherapy as hormone/target therapy).1–7

More recently, Temukai et al.8 have shown a case report where patient has presented long-term survival ( seven years) after aggressive HER2-directed chemotherapy and hepatic resection. Could we say that biomarkers are more important to select patients for HR than the classic prognostic factors? This question needs to be answered in order to further select the candidates for multimodal treatment with systemic therapy and HR.

In the last decade, a great knowledge on this topic has been producedmainly fortreatment of LMCRC. Nowadays, genetic signature of the CRC has been important to delineate your specific treatment. At same time HR for LMCRC has presented a great evolution even for synchronous lesions. The new principle of “first-liver approach” have presented a good results to the patients that have presented partial response to initial chemotherapy.4,5 Since massive hepatic disease generally causes death of patient, main principle of “First-Liver Approach” can offer adequate selection to surgical resection of LMCRC for patients who present partial response to initial systemic therapy . Thus, the hepatic disease is initially treated by means systemic therapy (when primary CRC is uncomplicated) following HR of LMCRC. Once hepatic control of the metastatic disease was observed, the primary tumor can finally be treated by means surgical resection. Long-term results of this “reverse approach” seemssimilar to classic approach.4,5 Althoughlaparoscopic approach has been our preferential via to treat liver metastasis, we have disagreed in treating bilateral hepatic lesions by means this specific approach.12 To our knowledge, this patient was the first reported case of “reverse approach” for treatment of LMBC. Perhaps this principle can also be used in other primary tumorsbesides CRC, especially for those that present a good response to upfront systemic therapy as BC. Furthermore, in this case, as described by Temukai et al.,8 our patient has presented a very favorable prognostic factor as positive HER2 receptor. In our viewpoint, this long-term result seems to signalize us that this new strategy can be also used in very selected cases of LMBC. Young fit patients with both good initial response to multimodal treatment and very favorable biomarkers can be selected for this approach. In fact, new studies must be performed to answer if this strategy can be validated.

Acknowledgements

None.

Conflict of interest

The author declares no conflict of interest.

References

  1. Ercolani G, Zanello M, Serenari M, et al. Ten-year survival after liver resection for breast metastases: a single-center experience. Dig Surg. 2018;10.1159/000486523.
  2. Bacalbasa N, Dima SO, Purnishescu-Purtan R, et al. Role of surgical treatment in breast cancer liver metastases: a single center experience. Anticancer Res. 2014;34(10):5563–5568.
  3. Ruiz A, Wicherts DA, Sebagh M, et al. Predictive profile-normogram for liver resection for breast cancer metastases: an aggressive approach with promising results. Ann Surg Oncol. 2017;24(2):535–545.
  4. Margonis GA, Buettner S, Sasaki K, et al. The Role of liver-directed surgery in patients with hepatic metastasis from primary breast cancer: a multi-institutional analysis. HPB (Oxford). 2016;18(8):700–705.
  5. Ruiz A, Sebagh M, Wicherts DA, et al. Long-term survival and cure model following liver resection for breast cancer metastases. Breast Cancer Res Treat. 2018:10.1007/s10549-018-4714-1.
  6. Tasleem S, Bolger JC, Kelly ME, et al. The role of liver resection in patients with metastatic breast cancer: systematic review examining the survival impact. Ir J Med Sci. 2018:10.1007/s11845-018-1746-9.
  7. Abbas H, Erridge S, Sodergren MH, et al. Breast cancer liver metastases in a UK tertiary centre: Outcomes following referral tumor board meeting. Int J Surg. 2017;44:152–159.
  8. Temukai M, Hikino H, Murata Y. Liver resection for HER2-enriched breast cancer metastasis: case report and review of the literature. Surg Case Rep. 2017;3(1):33.
  9. Patrlj L, Kopljar M, Klicek R, et al. The surgical treatment of patients with colorectal cancer and liver metastases in setting of the “liver first” approach. Hepatobiliary Surg Nutr. 2014;3(5):324–329.
  10. Waisberg J, Ivankovics IG. Liver-first approach of colorectal cancer with synchronous hepatic metastases: reverse strategy. World J Hepatol. 2015;7(11):1444–1449.
  11. Donati M, Stavrou GA, Stang A, et al. Liver-first approach for metastatic colorectal cancer. Future Oncol. 2015;11(8):1233–1242.
  12. Pais-Costa SR, Araújo SLM, Lima AOT, et al. Critical evaluation of long-term results of malignant hepatic tumors treated by means curative laparoscopic hepatectomy. Arq Bras Cir Dig. 2017;30(3):205–210.
Creative Commons Attribution License

©2018 Costa, et al. This is an open access article distributed under the terms of the, which permits unrestricted use, distribution, and build upon your work non-commercially.