Submit manuscript...
eISSN: 2373-6372

Gastroenterology & Hepatology: Open Access

Clinical Paper Volume 13 Issue 2

Splenic abscess as a complication of HIV-AIDS: clinical case

Guillermo Padrón Arredondo

Department of General Surgery, General Hospital of Playa del Carmen, Mexico

Correspondence: Guillermo Padrón Arredondo, Department of General Surgery, General Hospital of Playa del Carmen, Mexico, Tel 9848762267

Received: March 11, 2022 | Published: March 29, 2022

Citation: Arredondo GP. Splenic abscess as a complication of HIV-AIDS: clinical case. Gastroenterol Hepatol Open Access. 2022;13(2):63-65. DOI: 10.15406/ghoa.2022.13.00496

Download PDF

Abstract

Introduction: Splenic abscess is a rare entity but it occurs in up to 72% of immunologically compromised patients such as type 2 diabetes mellitus, immunohematological disorders, acquired immunodeficiency syndrome. To date, around 1000 cases have been described in the world medical literature.

Clinical case: A 27-year-old male with a history of multiple hospitalizations and transfusions for dengue hemorrhagic fever, HIV (+) seven years ago with self-suspended treatment five months ago. She went to the emergency room due to abdominal pain in the epigastrium of three weeks' evolution accompanied by hyporexia, asthenia, and adynamia with hematochezia on one occasion, vomiting coffee grounds on one occasion with respiratory difficulty and dyspnea, denying fever or cough. Physical examination revealed moderate dehydration, pale integuments, tachypnea, and wheezing in the left hemithorax with wheezing in the right hemithorax, abdomen with signs of peritoneal irritation, vital signs: Blood pressure 100/60mmHg, heart rate 154/min, breaths 28/min, temp. 36.8oC. Diagnosis of probable community-acquired pneumonia plus upper gastrointestinal bleeding, severe dehydration and HIV, hypovolemic shock, and septic are included. Laboratories: hemoglobin 5.5g/dL, leukocytosis (31000/103/µl). The patient was admitted to the operating room for an exploratory laparotomy, a splenic abscess was identified on the diaphragmatic side and a splenectomy was performed.

Discussion: The abscess splenic can present unique (60-70%), as it was in our case, or multiple (30-40%), the mortality can be 13% when it is unique and 22% when it is multiple.

Conclusions: This case associated with HIV-AIDS is the first in our hospital.

Keywords: splenic abscess, splenectomy, immunodepression, HIV-Aids

Introduction

A splenic abscess (AE) is a rare entity that occurs in up to 72% of immunologically compromised patients such as type 2 diabetes mellitus, immunohematological disorders, acquired immunodeficiency syndrome, and in cases of abdominal trauma or splenic infarction. To date, around 1000 cases have been described in the world medical literature.1

Clinical case

A 27-year-old male with a history of multiple hospitalizations and transfusions for dengue hemorrhagic fever, HIV (+) seven years ago with self-suspended treatment five months ago. He went to the emergency room due to abdominal pain in the epigastrium of three weeks' evolution accompanied by hyporexia, asthenia, and adynamia with hematochezia on one occasion, vomiting coffee grounds on one occasion with respiratory difficulty and dyspnea, denying fever or cough. Physical examination revealed moderate dehydration, pale integuments, tachypnea, and wheezing in the left hemithorax with wheezing in the right hemithorax, abdomen with signs of peritoneal irritation, vital signs: BP 100/60 mmHg, HR 154/min, Breaths 28/min, temp. 36.8 °C. Diagnosis of probable community-acquired pneumonia plus upper gastrointestinal bleeding, severe dehydration and HIV, hypovolemic shock, and septic shock are included. Laboratories: hemoglobin 5.5g/dL, leukocytosis (31000/103/L, absolute neutrophils 28 302/103L, lactic acidosis (PCO2 20.300 mmHg, PO2 73.40mmHg, HCO3 11.50mEq/L and lactate 12.60mmol/L). Tomography with data of honeycombing in both lungs to rule out PTB vs. PCP (Pulmonar tuberculosis vs. Probable Candida parapsilosis), left pleural effusion, bilateral atelectasis, and free peritoneal fluid with suspicion of probable gastric perforation. A CT scan is performed without specifying the origin of the septic shock (Figure 1 & 2). The patient is admitted to the operating room for exploratory laparotomy, purulent fluid (2500ml) is aspirated, a splenic abscess is identified on the diaphragmatic side and splenectomy is performed with the standard technique, admission to the Register Intensive Care Unit, later to the general surgery floor with an in-hospital stay of 9days, he is discharged with control by internal medicine, surgery and SAIH (Hospital Comprehensive Care Services).



Figure 1 Tomography showing a perisplenic collection of heterogeneous density with water and gas density, suggestive of splenic abscess and reactive perihepatic free fluid.

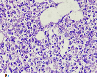
Figure 2 Photomicrographs with a diagnosis of perisplenic abscess and plasmatic cell infiltrate of the parenchyma.

Discussion

Splenic abscess can be single (60-70%), as in our case, or multiple (30-40%), mortality can be 13% when single and 22% when multiple. Generally, the origin of a splenic abscess is the hematogenous dissemination of the causal agent of the abscess, both anaerobic and aerobic bacterial but less frequently anaerobic, likewise, they can be caused by fungi, especially in cases of acquired immunodeficiency such as HIV, as well as viral infections, parasitic and opportunistic infections, as in our immunocompromised patient. Meyer et al.2,3 report a case of splenic abscess due to gangrenous necrosis with gas production in an immunocompetent patient.

Narra et al.4 report a case of pneumoperitoneum secondary to rupture of a splenic abscess secondary to type 2 diabetes mellitus. In our case, the patient had normal glucose but was associated with immunocompromised due to HIV without treatment adherence. Likewise, Agarwal N et al.5 report another case of splenic abscess rupture due to gas-producing germs that present pneumoperitoneum and where the differential diagnosis should be made with gastro duodenal ulcer perforation, perforated diverticulitis and appendicitis, lienteric perforation, perforation due to malignant diseases of the intestine, acute pancreatitis and strangulated intestinal obstruction.

In this case, the acute surgical abdomen led to an exploratory laparotomy, but in many cases, tomography is the diagnostic imaging method of choice, although in most cases it is not specific to guide an etiology.6 Regarding the management of this entity, there is the possibility of performing splenectomy or with percutaneous drainage, which requires a specialist in this technique to be available and in our case it was a surgical emergency and we proceeded traditionally since it has a survival of 86 to 94% overall.7

Di Mauro et al.8 recommend laparoscopic partial splenectomy to maintain the immunological function of the spleen, preferably with a harmonic scalpel; however, the cases must be selected and in cases of surgical urgency with a septic patient, we opted for it. Traditional splenectomy due to its ease, speed, and shorter surgical time.

Conclusions

This case associated with HIV-AIDS is the first in our hospital and there are few similar articles.

Acknowledgments

None.

Conflicts of interest

Author declares there are no conflicts of interest.

Financing

None.

References

Creative Commons Attribution License

©2022 Arredondo. This is an open access article distributed under the terms of the, which permits unrestricted use, distribution, and build upon your work non-commercially.